JavaScript is disabled in your browser. Please enable JavaScript to view this website.
AB231671

Anti-ATP1B3 antibody

Be the first to review this product! Submit a review

|

(2 Publications)

Rabbit Polyclonal ATP1B3 antibody. Suitable for WB, IHC-P and reacts with Mouse samples. Cited in 2 publications. Immunogen corresponding to Recombinant Fragment Protein within Mouse Sodium/potassium-transporting ATPase subunit beta-3 aa 50 to C-terminus.

View Alternative Names

CD298, Sodium/potassium-transporting ATPase subunit beta-3, Sodium/potassium-dependent ATPase subunit beta-3, ATPB-3, Atp1b3

4 Images
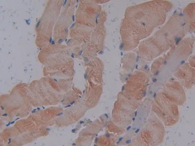
Immunohistochemistry (Formalin/PFA-fixed paraffin-embedded sections) - Anti-ATP1B3 antibody (AB231671)
  • IHC-P

Supplier Data

Immunohistochemistry (Formalin/PFA-fixed paraffin-embedded sections) - Anti-ATP1B3 antibody (AB231671)

Formalin-fixed, paraffin-embedded mouse skeletal muscle tissue stained for ATP1B3 using ab231671 at 20 μg/ml in immunohistochemical analysis. DAB staining.

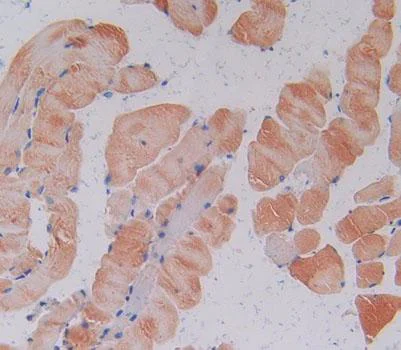
Immunohistochemistry (Formalin/PFA-fixed paraffin-embedded sections) - Anti-ATP1B3 antibody (AB231671)
  • IHC-P

Supplier Data

Immunohistochemistry (Formalin/PFA-fixed paraffin-embedded sections) - Anti-ATP1B3 antibody (AB231671)

Formalin-fixed, paraffin-embedded mouse skeletal muscle tissue stained for ATP1B3 using ab231671 at 20 μg/ml in immunohistochemical analysis. DAB staining.

Western blot - Anti-ATP1B3 antibody (AB231671)
  • WB

Supplier Data

Western blot - Anti-ATP1B3 antibody (AB231671)

All lanes:

Western blot - Anti-ATP1B3 antibody (ab231671) at 2 µg

All lanes:

Mouse heart lysate

Secondary

All lanes:

HRP-Linked Goat anti-Rabbit IgG at 0.2 µg/mL

Predicted band size: 32 kDa

false

Western blot - Anti-ATP1B3 antibody (AB231671)
  • WB

Supplier Data

Western blot - Anti-ATP1B3 antibody (AB231671)

All lanes:

Western blot - Anti-ATP1B3 antibody (ab231671) at 2 µg/mL

All lanes:

Recombinant mouse ATP1B3

Secondary

All lanes:

HRP-Linked Goat anti-Rabbit IgG at 0.2 µg/mL

Predicted band size: 32 kDa

false

Key facts

Host species

Rabbit

Clonality

Polyclonal

Isotype

IgG

Carrier free

No

Reacts with

Mouse

Applications

WB, IHC-P

applications

Immunogen

Recombinant Fragment Protein within Mouse Sodium/potassium-transporting ATPase subunit beta-3 aa 50 to C-terminus. The exact immunogen used to generate this antibody is proprietary information.

P97370

Reactivity data

{ "title": "Reactivity Data", "filters": { "stats": ["", "Species", "Dilution Info", "Notes"], "tabs": { "all-applications": {"fullname" : "All Applications", "shortname": "All Applications"}, "WB" : {"fullname" : "Western blot", "shortname":"WB"}, "IHCP" : {"fullname" : "Immunohistochemistry (Formalin/PFA-fixed paraffin-embedded sections)", "shortname":"IHC-P"} }, "product-promise": { "all": "all", "testedAndGuaranteed": "tested", "guaranteed": "expected", "predicted": "predicted", "notRecommended": "not-recommended" } }, "values": { "Mouse": { "WB-species-checked": "testedAndGuaranteed", "WB-species-dilution-info": "0.5-2 µg/mL", "WB-species-notes": "<p></p>", "IHCP-species-checked": "testedAndGuaranteed", "IHCP-species-dilution-info": "5-20 µg/mL", "IHCP-species-notes": "<p></p>" } } }

Properties and storage information

Form
Liquid
Purification technique
Affinity purification Immunogen
Purification notes
ab231671 was purified by antigen-specific affinity chromatography followed by Protein A affinity chromatography.
Storage buffer
pH: 7.4 Preservative: 0.02% Sodium azide Constituents: PBS, 55.77% Glycerol (glycerin, glycerine)
Shipped at conditions
Blue Ice
Appropriate short-term storage duration
1-2 weeks
Appropriate short-term storage conditions
+4°C
Appropriate long-term storage conditions
-20°C
Aliquoting information
Upon delivery aliquot
Storage information
Avoid freeze / thaw cycle

Supplementary information

This supplementary information is collated from multiple sources and compiled automatically.

ATP1B3 also known as ATPase Na+/K+ transporting subunit beta-3 is a protein involved in ion transport. It has a molecular mass of around 31 kDa. ATP1B3 is part of the Na+/K+ ATPase complex which maintains electrochemical gradients across cell membranes by pumping sodium out of and potassium into the cell using ATP as energy source. It is widely expressed in different tissues with notable expression in the kidneys brain and heart. This protein plays a functional role by serving as an accessory subunit that stabilizes and regulates the enzyme complex.
Biological function summary

ATP1B3 supports the proper functioning of the Na+/K+ ATPase by influencing the conformation and activity of the enzyme complex. The protein ensures that the ion gradients needed for basic cellular activities such as electrical excitability and nutrient uptake are preserved. It along with alpha subunits forms heterodimeric complexes required for ion exchange. Its presence ensures that the complex works effectively supporting various physiological functions across multiple organ systems.

Pathways

It aligns with the ion transport and signal transduction pathways related to maintaining cellular homeostasis. ATP1B3 interacts with other proteins like the alpha-1 subunit of the Na+/K+ ATPase important for regulating membrane potentials. The protein plays a role in the Wnt signaling pathway influencing processes such as cell proliferation and migration. Understanding ATP1B3 in these pathways helps unveil its broad functional implications.

ATP1B3 associates with both cardiovascular diseases and neurological disturbances. Mutations or altered expression of this protein disrupt ion exchange which can lead to heart failure or epilepsy. In these conditions blurred regulation of ATP1B3 affects the Na+/K+ ATPase complex composed of alpha and gamma subunits. This can result in imbalanced ion homeostasis emphasizing the importance of ATP1B3 in maintaining normal physiological conditions.

Product protocols

For this product, it's our understanding that no specific protocols are required. You can visit:

Target data

This is the non-catalytic component of the active enzyme, which catalyzes the hydrolysis of ATP coupled with the exchange of Na(+) and K(+) ions across the plasma membrane. The exact function of the beta-3 subunit is not known.
See full target information Sodium/potassium-transporting ATPase subunit beta-3

Publications (2)

Recent publications for all applications. Explore the full list and refine your search

International journal of molecular sciences 23: PubMed36077468

2022

Membrane-Bound EMC10 Is Required for Sperm Motility via Maintaining the Homeostasis of Cytoplasm Sodium in Sperm.

Applications

Unspecified application

Species

Unspecified reactive species

Lijie Liu,Shanhua Mao,Kuangyang Chen,Jiarong Dai,Shuoshuo Jin,Lijiao Chen,Yahao Wang,Lina Guo,Yiting Yang,Chongwen Zhan,Zuquan Xiong,Hua Diao,Yuchuan Zhou,Qiang Ding,Xuanchun Wang

Nature metabolism 3:1202-1216 PubMed34552271

2021

Diet-induced alteration of intestinal stem cell function underlies obesity and prediabetes in mice.

Applications

Unspecified application

Species

Unspecified reactive species

Alexandra Aliluev,Sophie Tritschler,Michael Sterr,Lena Oppenländer,Julia Hinterdobler,Tobias Greisle,Martin Irmler,Johannes Beckers,Na Sun,Axel Walch,Kerstin Stemmer,Alida Kindt,Jan Krumsiek,Matthias H Tschöp,Malte D Luecken,Fabian J Theis,Heiko Lickert,Anika Böttcher
View all publications

Product promise

We are committed to supporting your work with high-quality reagents, and we're here for you every step of the way. In the unlikely event that one of our products does not perform as expected, you're protected by our Product Promise.
For full details, please see our Terms & Conditions

Please note: All products are 'FOR RESEARCH USE ONLY. NOT FOR USE IN DIAGNOSTIC OR THERAPEUTIC PROCEDURES'.

For licensing inquiries, please contact partnerships@abcam.com