JavaScript is disabled in your browser. Please enable JavaScript to view this website.
AB122537

Anti-ATP4A antibody

Be the first to review this product! Submit a review

|

(1 Publication)

Rabbit Polyclonal ATP4A antibody. Suitable for IHC-P and reacts with Human samples. Cited in 1 publication. Immunogen corresponding to Recombinant Fragment Protein within Human ATP4A aa 850-950.

View Alternative Names

Potassium-transporting ATPase alpha chain 1, Gastric H(+)/K(+) ATPase subunit alpha, Proton pump, ATP4A

1 Images
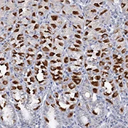
Immunohistochemistry (Formalin/PFA-fixed paraffin-embedded sections) - Anti-ATP4A antibody (AB122537)
  • IHC-P

Unknown

Immunohistochemistry (Formalin/PFA-fixed paraffin-embedded sections) - Anti-ATP4A antibody (AB122537)

ab122537, at 1/40 dilution, staining ATP4A in paraffin-embedded Human stomach tissue by Immunohistochemistry.

Key facts

Host species

Rabbit

Clonality

Polyclonal

Isotype

IgG

Carrier free

No

Reacts with

Human

Applications

IHC-P

applications

Immunogen

Recombinant Fragment Protein within Human ATP4A aa 850-950. The exact immunogen used to generate this antibody is proprietary information.

P20648

Reactivity data

{ "title": "Reactivity Data", "filters": { "stats": ["", "Species", "Dilution Info", "Notes"], "tabs": { "all-applications": {"fullname" : "All Applications", "shortname": "All Applications"}, "IHCP" : {"fullname" : "Immunohistochemistry (Formalin/PFA-fixed paraffin-embedded sections)", "shortname":"IHC-P"} }, "product-promise": { "all": "all", "testedAndGuaranteed": "tested", "guaranteed": "expected", "predicted": "predicted", "notRecommended": "not-recommended" } }, "values": { "Human": { "IHCP-species-checked": "testedAndGuaranteed", "IHCP-species-dilution-info": "1/50 - 1/200", "IHCP-species-notes": "<p></p> Perform heat-mediated antigen retrieval with citrate buffer pH 6 before commencing with IHC staining protocol." } } }

Properties and storage information

Form
Liquid
Purification technique
Affinity purification Immunogen
Storage buffer
pH: 7.2 Preservative: 0.02% Sodium azide Constituents: PBS, 40% Glycerol (glycerin, glycerine)
Shipped at conditions
Blue Ice
Appropriate short-term storage conditions
+4°C
Appropriate long-term storage conditions
-20°C
Aliquoting information
Upon delivery aliquot
Storage information
Avoid freeze / thaw cycle

Supplementary information

This supplementary information is collated from multiple sources and compiled automatically.

ATP4A also known as the gastric H+/K+ ATPase alpha subunit is an important enzyme in the gastric lining. It is a P-type ATPase with a molecular mass of approximately 100 kDa. ATP4A primarily expresses in the parietal cells of the stomach where it contributes to the secretion of hydrochloric acid. This alpha subunit forms a catalytic core that cooperates with the beta subunit to actively transport ions across the stomach cell membrane.
Biological function summary

ATP4A facilitates the acidification process necessary for digestion. It operates as part of the gastric proton pump complex. This complex exchanges K+ ions from the gastric lumen with H+ ions from within the parietal cell cytoplasm driving the generation of stomach acid. The enzyme's action is central to the maintenance of the acidic pH in the stomach which is important for proper protein digestion and absorption of various nutrients.

Pathways

ATP4A plays a major role in the gastric acid secretion pathway. This pathway includes interactions with the carbonic anhydrase enzyme which provides the necessary bicarbonate ions to initiate the acidification process. ATP4A also forms interactions with the Na+/K+ ATPase as a part of ion balance and energy supply ensuring that the ionic gradients are appropriately established for gastric functions.

ATP4A's function is directly related to conditions like peptic ulcer disease and gastric cancer. Hyperactivity of ATP4A can lead to excessive acid secretion contributing to peptic ulcers. Additionally its chronic overexpression may have links to gastric cancer through persistent mucosal damage. Research also explores its association with other proteins like the epidermal growth factor receptor (EGFR) which can influence gastric tissue proliferation and healing processes.

Product protocols

For this product, it's our understanding that no specific protocols are required. You can visit:

Target data

The catalytic subunit of the gastric H(+)/K(+) ATPase pump which transports H(+) ions in exchange for K(+) ions across the apical membrane of parietal cells. Uses ATP as an energy source to pump H(+) ions to the gastric lumen while transporting K(+) ion from the lumen into the cell (By similarity). Remarkably generates a million-fold proton gradient across the gastric parietal cell membrane, acidifying the gastric juice down to pH 1 (By similarity). Within a transport cycle, the transfer of a H(+) ion across the membrane is coupled to ATP hydrolysis and is associated with a transient phosphorylation that shifts the pump conformation from inward-facing (E1) to outward-facing state (E2). The release of the H(+) ion in the stomach lumen is followed by binding of K(+) ion converting the pump conformation back to the E1 state (By similarity).
See full target information ATP4A

Publications (1)

Recent publications for all applications. Explore the full list and refine your search

Open life sciences 18:20220784 PubMed38027223

2023

Small breast epithelial mucin as a useful prognostic marker for breast cancer patients.

Applications

Unspecified application

Species

Unspecified reactive species

Hui Hao,Lin Yang,Bingsheng Wang,Yinzhou Sang,Xueliang Liu
View all publications

Product promise

We are committed to supporting your work with high-quality reagents, and we're here for you every step of the way. In the unlikely event that one of our products does not perform as expected, you're protected by our Product Promise.
For full details, please see our Terms & Conditions

Please note: All products are 'FOR RESEARCH USE ONLY. NOT FOR USE IN DIAGNOSTIC OR THERAPEUTIC PROCEDURES'.

For licensing inquiries, please contact partnerships@abcam.com