JavaScript is disabled in your browser. Please enable JavaScript to view this website.
AB231729

Anti-ATP4A antibody

Be the first to review this product! Submit a review

|

(2 Publications)

Rabbit Polyclonal ATP4A antibody. Suitable for WB, IHC-P and reacts with Mouse samples. Cited in 2 publications.

View Alternative Names

Potassium-transporting ATPase alpha chain 1, Gastric H(+)/K(+) ATPase subunit alpha, Proton pump, Atp4a

3 Images
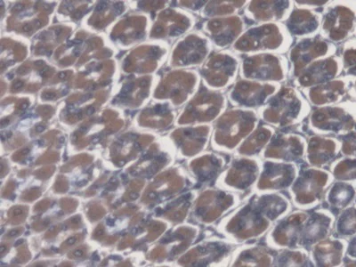
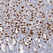
Immunohistochemistry (Formalin/PFA-fixed paraffin-embedded sections) - Anti-ATP4A antibody (AB231729)
  • IHC-P

Supplier Data

Immunohistochemistry (Formalin/PFA-fixed paraffin-embedded sections) - Anti-ATP4A antibody (AB231729)

Formalin-fixed, paraffin-embedded mouse stomach tissue stained for ATP4A using ab231729 at 20 μg/mL in immunohistochemical analysis. DAB staining.

Western blot - Anti-ATP4A antibody (AB231729)
  • WB

Supplier Data

Western blot - Anti-ATP4A antibody (AB231729)

All lanes:

Western blot - Anti-ATP4A antibody (ab231729) at 2 µg/mL

All lanes:

Recombinant mouse ATP4a protein

Predicted band size: 114 kDa

false

Western blot - Anti-ATP4A antibody (AB231729)
  • WB

Supplier Data

Western blot - Anti-ATP4A antibody (AB231729)

All lanes:

Western blot - Anti-ATP4A antibody (ab231729) at 3 µg/mL

Lane 1:

Mouse heart tissue

Lane 2:

Mouse brain tissue

Secondary

All lanes:

HRP-Linked Guinea pig Anti-Rabbit at 1/2000 dilution

Predicted band size: 114 kDa

false

Key facts

Host species

Rabbit

Clonality

Polyclonal

Isotype

IgG

Carrier free

No

Reacts with

Mouse

Applications

WB, IHC-P

applications

Reactivity data

{ "title": "Reactivity Data", "filters": { "stats": ["", "Species", "Dilution Info", "Notes"], "tabs": { "all-applications": {"fullname" : "All Applications", "shortname": "All Applications"}, "WB" : {"fullname" : "Western blot", "shortname":"WB"}, "IHCP" : {"fullname" : "Immunohistochemistry (Formalin/PFA-fixed paraffin-embedded sections)", "shortname":"IHC-P"} }, "product-promise": { "all": "all", "testedAndGuaranteed": "tested", "guaranteed": "expected", "predicted": "predicted", "notRecommended": "not-recommended" } }, "values": { "Human": { "WB-species-checked": "predicted", "WB-species-dilution-info": "", "WB-species-notes": "", "IHCP-species-checked": "predicted", "IHCP-species-dilution-info": "", "IHCP-species-notes": "" }, "Mouse": { "WB-species-checked": "testedAndGuaranteed", "WB-species-dilution-info": "0.5-2 µg/mL", "WB-species-notes": "<p></p>", "IHCP-species-checked": "testedAndGuaranteed", "IHCP-species-dilution-info": "5-20 µg/mL", "IHCP-species-notes": "<p></p>" }, "Rat": { "WB-species-checked": "predicted", "WB-species-dilution-info": "", "WB-species-notes": "", "IHCP-species-checked": "predicted", "IHCP-species-dilution-info": "", "IHCP-species-notes": "" }, "Dog": { "WB-species-checked": "predicted", "WB-species-dilution-info": "", "WB-species-notes": "", "IHCP-species-checked": "predicted", "IHCP-species-dilution-info": "", "IHCP-species-notes": "" }, "Pig": { "WB-species-checked": "predicted", "WB-species-dilution-info": "", "WB-species-notes": "", "IHCP-species-checked": "predicted", "IHCP-species-dilution-info": "", "IHCP-species-notes": "" }, "Rabbit": { "WB-species-checked": "predicted", "WB-species-dilution-info": "", "WB-species-notes": "", "IHCP-species-checked": "predicted", "IHCP-species-dilution-info": "", "IHCP-species-notes": "" } } }

Properties and storage information

Form
Liquid
Purification technique
Affinity purification Protein A
Purification notes
Followed by Protein A affinity chromatography.
Storage buffer
pH: 7.4 Preservative: 0.02% Sodium azide Constituents: 55.77% Glycerol (glycerin, glycerine), 44.12% PBS
Shipped at conditions
Blue Ice
Appropriate short-term storage duration
1-2 weeks
Appropriate short-term storage conditions
+4°C
Appropriate long-term storage conditions
-20°C
Aliquoting information
Upon delivery aliquot
Storage information
Avoid freeze / thaw cycle

Supplementary information

This supplementary information is collated from multiple sources and compiled automatically.

ATP4A also known as the gastric H+/K+ ATPase alpha subunit is an important enzyme in the gastric lining. It is a P-type ATPase with a molecular mass of approximately 100 kDa. ATP4A primarily expresses in the parietal cells of the stomach where it contributes to the secretion of hydrochloric acid. This alpha subunit forms a catalytic core that cooperates with the beta subunit to actively transport ions across the stomach cell membrane.
Biological function summary

ATP4A facilitates the acidification process necessary for digestion. It operates as part of the gastric proton pump complex. This complex exchanges K+ ions from the gastric lumen with H+ ions from within the parietal cell cytoplasm driving the generation of stomach acid. The enzyme's action is central to the maintenance of the acidic pH in the stomach which is important for proper protein digestion and absorption of various nutrients.

Pathways

ATP4A plays a major role in the gastric acid secretion pathway. This pathway includes interactions with the carbonic anhydrase enzyme which provides the necessary bicarbonate ions to initiate the acidification process. ATP4A also forms interactions with the Na+/K+ ATPase as a part of ion balance and energy supply ensuring that the ionic gradients are appropriately established for gastric functions.

ATP4A's function is directly related to conditions like peptic ulcer disease and gastric cancer. Hyperactivity of ATP4A can lead to excessive acid secretion contributing to peptic ulcers. Additionally its chronic overexpression may have links to gastric cancer through persistent mucosal damage. Research also explores its association with other proteins like the epidermal growth factor receptor (EGFR) which can influence gastric tissue proliferation and healing processes.

Product protocols

For this product, it's our understanding that no specific protocols are required. You can visit:

Target data

The catalytic subunit of the gastric H(+)/K(+) ATPase pump which transports H(+) ions in exchange for K(+) ions across the apical membrane of parietal cells (PubMed : 7762614). Uses ATP as an energy source to pump H(+) ions to the gastric lumen while transporting K(+) ion from the lumen into the cell (PubMed : 7762614). Remarkably generates a million-fold proton gradient across the gastric parietal cell membrane, acidifying the gastric juice down to pH 1 (PubMed : 10764766). Within a transport cycle, the transfer of a H(+) ion across the membrane is coupled to ATP hydrolysis and is associated with a transient phosphorylation that shifts the pump conformation from inward-facing (E1) to outward-facing state (E2). The release of the H(+) ion in the stomach lumen is followed by binding of K(+) ion converting the pump conformation back to the E1 state (By similarity) (PubMed : 7762614).
See full target information Atp4a

Publications (2)

Recent publications for all applications. Explore the full list and refine your search

Annals of translational medicine 10:218 PubMed35280359

2022

Panax notoginseng attenuates hypoxia-induced glycolysis in colonic mucosal epithelial cells in DSS-induced colitis.

Applications

Unspecified application

Species

Unspecified reactive species

Wei He,Huafeng Pan,Ping Tao,Jiang Lin,Beiping Zhang,Shiying Wang

Computational and mathematical methods in medicine 2021:9932088 PubMed34367321

2021

The High Expression of PTPRH Is Associated with Poor Prognosis of Human Lung Adenocarcinoma.

Applications

Unspecified application

Species

Unspecified reactive species

Aifeng Chen,Shibiao Ding,Xiaoqiang Shen,Xuai Lin
View all publications

Product promise

We are committed to supporting your work with high-quality reagents, and we're here for you every step of the way. In the unlikely event that one of our products does not perform as expected, you're protected by our Product Promise.
For full details, please see our Terms & Conditions

Please note: All products are 'FOR RESEARCH USE ONLY. NOT FOR USE IN DIAGNOSTIC OR THERAPEUTIC PROCEDURES'.

For licensing inquiries, please contact partnerships@abcam.com