JavaScript is disabled in your browser. Please enable JavaScript to view this website.
AB231692

Anti-ATP5A antibody [EPR13030(B)] - BSA and Azide free

5

(2 Reviews)

|

(3 Publications)

Anti-ATP5A antibody [EPR13030(B)] - BSA and Azide free (ab231692) is a rabbit recombinant monoclonal antibody provided in a PBS only buffer for easy conjugation. Suitable for Western Blot, Flow Cytometry, IHC-P, ICC/IF in Human, Mouse, Rat.

- BSA, sodium azide, and glycerol-free for easy conjugation
- Biophysical QC for unrivalled batch-batch consistency

View Alternative Names

ATP5A, ATP5A1, ATP5AL2, ATPM, ATP5F1A, ATP synthase F1 subunit alpha

9 Images
Immunohistochemistry (Formalin/PFA-fixed paraffin-embedded sections) - Anti-ATP5A antibody [EPR13030(B)] - BSA and Azide free (AB231692)
  • IHC-P

Supplier Data

Immunohistochemistry (Formalin/PFA-fixed paraffin-embedded sections) - Anti-ATP5A antibody [EPR13030(B)] - BSA and Azide free (AB231692)

Immunohistochemical analysis of paraffin-embedded Human liver tissue labeling ATP5A using ab176569 (unpurified) at a 1/50 dilution.

This data was developed using the same antibody clone in a different buffer formulation containing PBS, BSA, glycerol, and sodium azide (ab176569).

Immunocytochemistry/ Immunofluorescence - Anti-ATP5A antibody [EPR13030(B)] - BSA and Azide free (AB231692)
  • ICC/IF

Lab

Immunocytochemistry/ Immunofluorescence - Anti-ATP5A antibody [EPR13030(B)] - BSA and Azide free (AB231692)

ab176569 (purified) staining ATP5A in HeLa (human cervix adenocarcinoma epithelial cell) by Immunocytochemistry/Immunofluorescence (ICC/IF). Cells were fixed with 4% paraformaldehyde and permeabilized n 0.1% TritonX-100. Samples were incubated with primary antibody at 1/500 dilution (4.2µg/ml).  An AlexaFluor®488 Goat anti-Rabbit (ab150077) was used as a secondary antibody at 1/1000 dilution (2µg/ml). DAPI was used as a nuclear counterstain. Confocal image showing cytoplasmic staining in HeLa cells.

This data was developed using the same antibody clone in a different buffer formulation containing PBS, BSA, glycerol, and sodium azide (ab176569).

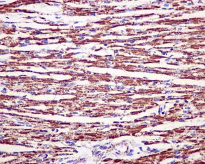
Immunohistochemistry (Formalin/PFA-fixed paraffin-embedded sections) - Anti-ATP5A antibody [EPR13030(B)] - BSA and Azide free (AB231692)
  • IHC-P

Supplier Data

Immunohistochemistry (Formalin/PFA-fixed paraffin-embedded sections) - Anti-ATP5A antibody [EPR13030(B)] - BSA and Azide free (AB231692)

Immunohistochemical analysis of paraffin-embedded Human fetal heart tissue labeling ATP5A using ab176569 (unpurified) at a 1/50 dilution.

This data was developed using the same antibody clone in a different buffer formulation containing PBS, BSA, glycerol, and sodium azide (ab176569).

Immunohistochemistry (Formalin/PFA-fixed paraffin-embedded sections) - Anti-ATP5A antibody [EPR13030(B)] - BSA and Azide free (AB231692)
  • IHC-P

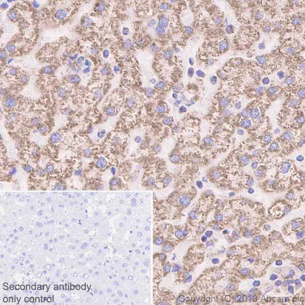
Unknown

Immunohistochemistry (Formalin/PFA-fixed paraffin-embedded sections) - Anti-ATP5A antibody [EPR13030(B)] - BSA and Azide free (AB231692)

Immunohistochemistry (Formalin/PFA-fixed paraffin-embedded sections) analysis of Human liver tissue sections labeling ATP5A with Purified ab176569 at 1 : 500 dilution (0.21 μg/ml). Heat mediated antigen retrieval was performed using ab93684 (Tris/EDTA buffer, pH 9.0). ImmunoHistoProbe one step HRP Polymer (ready to use)was used as the secondary antibody.Negative control : PBS instead of the primary antibody.Hematoxylin was used as a counterstain.This data was developed using the same antibody clone in a different buffer formulation containing PBS, BSA, glycerol, and sodium azide (ab176569).

Flow Cytometry (Intracellular) - Anti-ATP5A antibody [EPR13030(B)] - BSA and Azide free (AB231692)
  • Flow Cyt (Intra)

Unknown

Flow Cytometry (Intracellular) - Anti-ATP5A antibody [EPR13030(B)] - BSA and Azide free (AB231692)

Intracellular Flow Cytometry analysis of HeLa (Human cervix adenocarcinoma epithelial cell) cells labeling ATP5A with purified ab176569 at 1/60 dilution (10 μg/ml) (red). Cells were fixed with 4% Paraformaldehyde. A Goat anti rabbit IgG (Alexa Fluor® 488) secondary antibody was used at 1/2000 dilution. Isotype control - Rabbit monoclonal IgG (Black). Unlabeled control - Cell without incubation with primary antibody and secondary antibody (Blue). This data was developed using the same antibody clone in a different buffer formulation containing PBS, BSA, glycerol, and sodium azide (ab176569).

Immunocytochemistry/ Immunofluorescence - Anti-ATP5A antibody [EPR13030(B)] - BSA and Azide free (AB231692)
  • ICC/IF

Supplier Data

Immunocytochemistry/ Immunofluorescence - Anti-ATP5A antibody [EPR13030(B)] - BSA and Azide free (AB231692)

Immunofluorescence analysis of MCF7 cells labeling ATP5A using ab176569 (unpurified) at a 1/100 dilution (green). DAPI nuclear staining (blue).

This data was developed using the same antibody clone in a different buffer formulation containing PBS, BSA, glycerol, and sodium azide (ab176569).

Flow Cytometry (Intracellular) - Anti-ATP5A antibody [EPR13030(B)] - BSA and Azide free (AB231692)
  • Flow Cyt (Intra)

Supplier Data

Flow Cytometry (Intracellular) - Anti-ATP5A antibody [EPR13030(B)] - BSA and Azide free (AB231692)

Intracellular flow cytometric analysis of permeabilized HeLa cells labeling ATP5A using ab176569 (unpurified) at a 1/10 dilution (red) or a rabbit IgG negative control (green).

This data was developed using the same antibody clone in a different buffer formulation containing PBS, BSA, glycerol, and sodium azide (ab176569).

Immunohistochemistry (Formalin/PFA-fixed paraffin-embedded sections) - Anti-ATP5A antibody [EPR13030(B)] - BSA and Azide free (AB231692)
  • IHC-P

Unknown

Immunohistochemistry (Formalin/PFA-fixed paraffin-embedded sections) - Anti-ATP5A antibody [EPR13030(B)] - BSA and Azide free (AB231692)

Immunohistochemistry (Formalin/PFA-fixed paraffin-embedded sections) analysis of Rat kidney tissue sections labeling ATP5A with Purified ab176569 at 1 : 500 dilution (0.21 μg/ml). Heat mediated antigen retrieval was performed using ab93684 (Tris/EDTA buffer, pH 9.0). ImmunoHistoProbe one step HRP Polymer (ready to use)was used as the secondary antibody.Negative control : PBS instead of the primary antibody.Hematoxylin was used as a counterstain.This data was developed using the same antibody clone in a different buffer formulation containing PBS, BSA, glycerol, and sodium azide (ab176569).

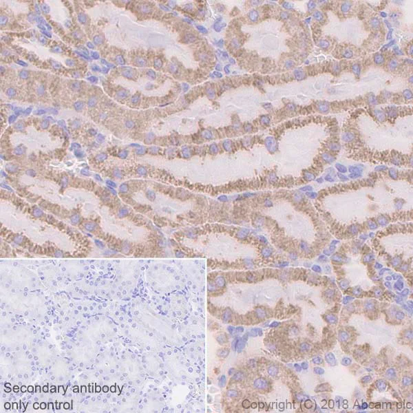
Immunohistochemistry (Formalin/PFA-fixed paraffin-embedded sections) - Anti-ATP5A antibody [EPR13030(B)] - BSA and Azide free (AB231692)
  • IHC-P

Unknown

Immunohistochemistry (Formalin/PFA-fixed paraffin-embedded sections) - Anti-ATP5A antibody [EPR13030(B)] - BSA and Azide free (AB231692)

Immunohistochemistry (Formalin/PFA-fixed paraffin-embedded sections) analysis of Mouse kidney tissue sections labeling ATP5A with Purified ab176569 at 1 : 500 dilution (0.21 μg/ml). Heat mediated antigen retrieval was performed using ab93684 (Tris/EDTA buffer, pH 9.0). ImmunoHistoProbe one step HRP Polymer (ready to use)was used as the secondary antibody.Negative control : PBS instead of the primary antibody.Hematoxylin was used as a counterstain.This data was developed using the same antibody clone in a different buffer formulation containing PBS, BSA, glycerol, and sodium azide (ab176569).

  • Unconjugated

    Anti-ATP5A antibody [EPR13030(B)] - Mitochondrial Marker

  • 519 Alexa Fluor® 488

    Alexa Fluor® 488 Anti-ATP5A antibody [EPR13030(B)] - Mitochondrial Marker

  • HRP

    HRP Anti-ATP5A antibody [EPR13030(B)] - Mitochondrial Marker

  • 617 Alexa Fluor® 594

    Alexa Fluor® 594 Anti-ATP5A antibody [EPR13030(B)] - Mitochondrial Marker

  • 665 Alexa Fluor® 647

    Alexa Fluor® 647 Anti-ATP5A antibody [EPR13030(B)] - Mitochondrial Marker

Key facts

Host species

Rabbit

Clonality

Monoclonal

Clone number

EPR13030(B)

Isotype

IgG

Carrier free

Yes

Reacts with

Mouse, Rat, Human

Applications

Flow Cyt (Intra), ICC/IF, WB, IHC-P

applications

Immunogen

The exact immunogen used to generate this antibody is proprietary information.

Reactivity data

{ "title": "Reactivity Data", "filters": { "stats": ["", "Species", "Dilution Info", "Notes"], "tabs": { "all-applications": {"fullname" : "All Applications", "shortname": "All Applications"}, "WB" : {"fullname" : "Western blot", "shortname":"WB"}, "ICCIF" : {"fullname" : "Immunocytochemistry/ Immunofluorescence", "shortname":"ICC/IF"}, "FlowCytIntra" : {"fullname" : "Flow Cytometry (Intracellular)", "shortname":"Flow Cyt (Intra)"}, "IHCP" : {"fullname" : "Immunohistochemistry (Formalin/PFA-fixed paraffin-embedded sections)", "shortname":"IHC-P"} }, "product-promise": { "all": "all", "testedAndGuaranteed": "tested", "guaranteed": "expected", "predicted": "predicted", "notRecommended": "not-recommended" } }, "values": { "Human": { "WB-species-checked": "testedAndGuaranteed", "WB-species-dilution-info": "", "WB-species-notes": "<p></p>", "ICCIF-species-checked": "testedAndGuaranteed", "ICCIF-species-dilution-info": "", "ICCIF-species-notes": "<p></p>", "FlowCytIntra-species-checked": "testedAndGuaranteed", "FlowCytIntra-species-dilution-info": "", "FlowCytIntra-species-notes": "<p></p>", "IHCP-species-checked": "testedAndGuaranteed", "IHCP-species-dilution-info": "", "IHCP-species-notes": "<p></p>" }, "Mouse": { "WB-species-checked": "testedAndGuaranteed", "WB-species-dilution-info": "", "WB-species-notes": "<p></p>", "ICCIF-species-checked": "guaranteed", "ICCIF-species-dilution-info": "", "ICCIF-species-notes": "", "FlowCytIntra-species-checked": "guaranteed", "FlowCytIntra-species-dilution-info": "", "FlowCytIntra-species-notes": "", "IHCP-species-checked": "testedAndGuaranteed", "IHCP-species-dilution-info": "", "IHCP-species-notes": "<p></p>" }, "Rat": { "WB-species-checked": "testedAndGuaranteed", "WB-species-dilution-info": "", "WB-species-notes": "<p></p>", "ICCIF-species-checked": "guaranteed", "ICCIF-species-dilution-info": "", "ICCIF-species-notes": "", "FlowCytIntra-species-checked": "guaranteed", "FlowCytIntra-species-dilution-info": "", "FlowCytIntra-species-notes": "", "IHCP-species-checked": "testedAndGuaranteed", "IHCP-species-dilution-info": "", "IHCP-species-notes": "<p></p>" } } }

Product details

What is this antibody validated in?
Anti-ATP5A antibody [EPR13030(B)] - BSA and Azide free (ab231692) is a rabbit recombinant monoclonal antibody and is validated for use in Western Blot (WB), Flow Cytometry (Intra), Flow Cytometry (Flow Cyt), Immunohistochemistry (IHC-P), Immunocytochemistry/immunofluorescence (ICC/IF) in Human, Mouse, Rat samples.

What is the molecular weight of ATP5A?
Anti-ATP5A [EPR13030(B)] - BSA and Azide free (ab231692) specifically detects a band for ATP5A (UniProt: P25705) at a molecular weight of 60kDa.

Trial sizes available!
Test your antibody or perform pre-screening before committing to a larger quantity. Sold in 10µl. Discover our selection of trial-size antibodies.

Other related products
We have a range of other formats of antibody clone [EPR13030(B)] also available for your convenience: ab176569, HRP - ab195891, Alexa Fluor® 647 - ab196198, Alexa Fluor® 488 - ab196467, Alexa Fluor® 594 - ab216385, Carrier free - ab231692

Patented technology
Our RabMAb® technology is a patented hybridoma-based technology for making rabbit monoclonal antibodies. For details on our patents, please refer to RabMAb® patents.

What are the advantages of a recombinant monoclonal antibody?
This product is a recombinant monoclonal antibody, which offers several advantages including:

  • - High batch-to-batch consistency and reproducibility
  • - Improved sensitivity and specificity
  • - Long-term security of supply
  • - Animal-free batch production

For more information, read more on recombinant antibodies.

Conjugation ready
Our carrier-free antibodies are typically supplied in a PBS-only formulation, purified and free of BSA, sodium azide and glycerol. This conjugation-ready format is designed for use with fluorochromes, metal isotopes, oligonucleotides, and enzymes, which makes them ideal for antibody labelling, functional and cell-based assays, flow-based assays (e.g. mass cytometry) and Multiplex Imaging applications.

Use our conjugation kits for antibody conjugates that are ready-to-use in as little as 20 minutes with 1 minute hands-on-time and 100% antibody recovery: available for fluorescent dyes, HRP, biotin and gold.

Compatibility
This product is compatible with the Maxpar® Antibody Labeling Kit from Fluidigm, without the need for antibody preparation. Maxpar® is a trademark of Fluidigm Canada Inc.

Properties and storage information

Form
Liquid
Purification technique
Affinity purification Protein A
Storage buffer
pH: 7.2 - 7.4 Constituents: PBS
Shipped at conditions
Blue Ice
Appropriate short-term storage conditions
+4°C
Appropriate long-term storage conditions
+4°C
Storage information
Do Not Freeze

Supplementary information

This supplementary information is collated from multiple sources and compiled automatically.

ATP5A also known as ATP synthase F1 subunit alpha is a protein important for cellular energy production. As part of the ATP synthase complex it plays a mechanical role in synthesizing ATP from ADP and inorganic phosphate. The ATP5A protein has a molecular weight of approximately 55 kDa and is widely expressed in the inner mitochondrial membrane across different cell types. Its central function lies in its ability to harness the energy of the proton gradient generated by the electron transport chain to catalyze ATP synthesis.
Biological function summary

ATP5A is essential in cellular respiration serving as a catalytic core of the F1 component of ATP synthase. As part of the multi-subunit enzyme complex ATP synthase is responsible for ATP production the primary energy currency in cells. The ATP5A subunit works in conjunction with other subunits of the enzyme oligomer to facilitate the conversion of energy released during oxidative phosphorylation into a usable form. The protein's efficiency in this biological role underpins its importance in sustaining cellular energy homeostasis.

Pathways

ATP5A plays a pivotal role in oxidative phosphorylation and the electron transport chain integral components of cellular respiration. The oxidative phosphorylation pathway depends on this protein to manage the synthesis of ATP molecules while the electron transport chain creates the proton gradient necessary for ATP production. ATP5A is functionally connected to other proteins in these pathways such as ATP5B and cytochrome c oxidase working in a coordinated manner to ensure efficient energy transfer and maintenance.

ATP5A is implicative in mitochondrial disorders and neurodegenerative diseases such as Leigh syndrome and Parkinson's disease. These conditions often arise from deficits in ATP production where ineffective ATP synthase activity can contribute to cellular energy failures. In the context of Parkinson's disease for instance ATP5A interactions with other proteins like Parkin can contribute to mitochondrial dysfunction an important pathological feature of the disorder. Through such associations alterations in ATP5A activity can significantly impact disease progression and symptomatology.

Product protocols

For this product, it's our understanding that no specific protocols are required. You can visit:

Target data

Mitochondrial membrane ATP synthase (F(1)F(0) ATP synthase or Complex V) produces ATP from ADP in the presence of a proton gradient across the membrane which is generated by electron transport complexes of the respiratory chain. F-type ATPases consist of two structural domains, F(1) - containing the extramembraneous catalytic core, and F(0) - containing the membrane proton channel, linked together by a central stalk and a peripheral stalk. During catalysis, ATP synthesis in the catalytic domain of F(1) is coupled via a rotary mechanism of the central stalk subunits to proton translocation. Subunits alpha and beta form the catalytic core in F(1). Rotation of the central stalk against the surrounding alpha(3)beta(3) subunits leads to hydrolysis of ATP in three separate catalytic sites on the beta subunits. Subunit alpha does not bear the catalytic high-affinity ATP-binding sites (By similarity). Binds the bacterial siderophore enterobactin and can promote mitochondrial accumulation of enterobactin-derived iron ions (PubMed : 30146159).
See full target information ATP5F1A

Publications (3)

Recent publications for all applications. Explore the full list and refine your search

Nature 644:790-798 PubMed40533564

2025

Kupffer cell programming by maternal obesity triggers fatty liver disease.

Applications

Unspecified application

Species

Unspecified reactive species

Hao Huang,Nora R Balzer,Lea Seep,Iva Splichalova,Nelli Blank-Stein,Maria Francesca Viola,Eliana Franco Taveras,Kerim Acil,Diana Fink,Franzisca Petrovic,Nikola Makdissi,Seyhmus Bayar,Katharina Mauel,Carolin Radwaniak,Jelena Zurkovic,Amir H Kayvanjoo,Klaus Wunderling,Malin Jessen,Mohamed H Yaghmour,Lukas Kenner,Thomas Ulas,Stephan Grein,Joachim L Schultze,Charlotte L Scott,Martin Guilliams,Zhaoyuan Liu,Florent Ginhoux,Marc D Beyer,Christoph Thiele,Felix Meissner,Jan Hasenauer,Dagmar Wachten,Elvira Mass

The Journal of clinical investigation 134: PubMed38954588

2024

Inhibiting the NADase CD38 improves cytomegalovirus-specific CD8+ T cell functionality and metabolism.

Applications

Unspecified application

Species

Unspecified reactive species

Nils Mülling,Felix M Behr,Graham A Heieis,Kristina Boss,Suzanne van Duikeren,Floortje J van Haften,Iris N Pardieck,Esmé Ti van der Gracht,Ward Vleeshouwers,Tetje C van der Sluis,J Fréderique de Graaf,Dominique Mb Veerkamp,Kees Lmc Franken,Xin Lei,Lukas van de Sand,Sjoerd H van der Burg,Marij Jp Welters,Sebastiaan Heidt,Wesley Huisman,Simon P Jochems,Martin Giera,Oliver Witzke,Aiko Pj de Vries,Andreas Kribben,Bart Everts,Benjamin Wilde,Ramon Arens

Nature communications 14:5627 PubMed37699869

2023

Metabolic heterogeneity of tissue-resident macrophages in homeostasis and during helminth infection.

Applications

Flow Cyt (Intra)

Species

Mouse

Graham A Heieis,Thiago A Patente,Luís Almeida,Frank Vrieling,Tamar Tak,Georgia Perona-Wright,Rick M Maizels,Rinke Stienstra,Bart Everts
View all publications

Product promise

We are committed to supporting your work with high-quality reagents, and we're here for you every step of the way. In the unlikely event that one of our products does not perform as expected, you're protected by our Product Promise.
For full details, please see our Terms & Conditions

Please note: All products are 'FOR RESEARCH USE ONLY. NOT FOR USE IN DIAGNOSTIC OR THERAPEUTIC PROCEDURES'.

For licensing inquiries, please contact partnerships@abcam.com