JavaScript is disabled in your browser. Please enable JavaScript to view this website.
AB250158

Anti-ATP5G1/G2/G3 antibody [EPR13908] - BSA and Azide free

Be the first to review this product! Submit a review

|

(0 Publication)

Rabbit Recombinant Monoclonal ATP synthase C antibody. Carrier free. Suitable for WB, IHC-P and reacts with Human, Mouse, Rat samples.

View Alternative Names

ATP5G1, ATP5MC1, ATP synthase lipid-binding protein, ATP synthase membrane subunit c locus 1, ATP synthase proteolipid P1, ATP synthase proton-transporting mitochondrial F(0) complex subunit C1, ATPase protein 9, ATPase subunit c

5 Images
Immunohistochemistry (Formalin/PFA-fixed paraffin-embedded sections) - Anti-ATP5G1/G2/G3 antibody [EPR13908] - BSA and Azide free (AB250158)
  • IHC-P

Supplier Data

Immunohistochemistry (Formalin/PFA-fixed paraffin-embedded sections) - Anti-ATP5G1/G2/G3 antibody [EPR13908] - BSA and Azide free (AB250158)

This data was developed using ab180149, the same antibody clone in a different buffer formulation.

Immuohistochemical analysis of Paraffin-embedded Human liver tissue labeling ATP5G1 with unpurified ab180149 at 1/100 dilution, followed by prediluted Goat anti rabbit IgG (HRP). Counter stained with Hematoxylin.

Immunohistochemistry (Formalin/PFA-fixed paraffin-embedded sections) - Anti-ATP5G1/G2/G3 antibody [EPR13908] - BSA and Azide free (AB250158)
  • IHC-P

Unknown

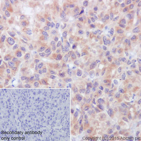
Immunohistochemistry (Formalin/PFA-fixed paraffin-embedded sections) - Anti-ATP5G1/G2/G3 antibody [EPR13908] - BSA and Azide free (AB250158)

This data was developed using ab180149, the same antibody clone in a different buffer formulation.Immunohistochemical staining of paraffin embedded human hepatocellular carcinoma with purified ab180149 at a working dilution of 1/50. The secondary antibody used is HRP goat anti-rabbit IgG H&L (ab97051) at 1/500. The sample is counter-stained with hematoxylin. Antigen retrieval was perfomed using Tris-EDTA buffer, pH 9.0. PBS was used instead of the primary antibody as the negative control, and is shown in the inset.

Western blot - Anti-ATP5G1/G2/G3 antibody [EPR13908] - BSA and Azide free (AB250158)
  • WB

Lab

Western blot - Anti-ATP5G1/G2/G3 antibody [EPR13908] - BSA and Azide free (AB250158)

This data was developed using ab180149, the same antibody clone in a different buffer formulation.

Blocking and dilution buffer : 5% NFDM/TBST.

All lanes:

Western blot - Anti-ATP5G1/G2/G3 antibody [EPR13908] (<a href='/en-us/products/primary-antibodies/atp5g1-g2-g3-antibody-epr13908-ab180149'>ab180149</a>) at 1/2000 dilution

All lanes:

human fetal heart tissue lysate at 10 µg

Secondary

All lanes:

HRP goat anti-rabbit IgG (H+L) at 1/1000 dilution

Predicted band size: 14 kDa,33 kDa,48 kDa

Observed band size: 37 kDa,48 kDa,8 kDa

false

Western blot - Anti-ATP5G1/G2/G3 antibody [EPR13908] - BSA and Azide free (AB250158)
  • WB

Lab

Western blot - Anti-ATP5G1/G2/G3 antibody [EPR13908] - BSA and Azide free (AB250158)

This data was developed using ab180149, the same antibody clone in a different buffer formulation.

Blocking and dilution buffer : 5% NFDM/TBST.

All lanes:

Western blot - Anti-ATP5G1/G2/G3 antibody [EPR13908] (<a href='/en-us/products/primary-antibodies/atp5g1-g2-g3-antibody-epr13908-ab180149'>ab180149</a>) at 1/2000 dilution

Lane 1:

mouse heart lysate at 10 µg

Lane 2:

rat heart lysate at 10 µg

Secondary

All lanes:

HRP goat anti-rabbit IgG (H+L) at 1/1000 dilution

Predicted band size: 14 kDa

Observed band size: 8 kDa

false

Western blot - Anti-ATP5G1/G2/G3 antibody [EPR13908] - BSA and Azide free (AB250158)
  • WB

Supplier Data

Western blot - Anti-ATP5G1/G2/G3 antibody [EPR13908] - BSA and Azide free (AB250158)

This data was developed using ab180149, the same antibody clone in a different buffer formulation.

All lanes:

Western blot - Anti-ATP5G1/G2/G3 antibody [EPR13908] (<a href='/en-us/products/primary-antibodies/atp5g1-g2-g3-antibody-epr13908-ab180149'>ab180149</a>) at 1/2000 dilution

Lane 1:

HeLa cell lysate at 20 µg

Lane 2:

Human fetal heart tissue lysate at 20 µg

Secondary

All lanes:

Western blot - Goat Anti-Rabbit IgG H&L (HRP) (<a href='/en-us/products/secondary-antibodies/goat-rabbit-igg-h-l-hrp-ab136636'>ab136636</a>) at 1/500 dilution

Predicted band size: 14 kDa

false

  • Unconjugated

    Anti-ATP5G1/G2/G3 antibody [EPR13908]

  • 578 PE

    PE Anti-ATP5G1/G2/G3 antibody [EPR13908]

  • 565 Alexa Fluor® 555

    Alexa Fluor® 555 Anti-ATP5G1/G2/G3 antibody [EPR13908]

  • 519 Alexa Fluor® 488

    Alexa Fluor® 488 Anti-ATP5G1/G2/G3 antibody [EPR13908]

  • 617 Alexa Fluor® 594

    Alexa Fluor® 594 Anti-ATP5G1/G2/G3 antibody [EPR13908]

  • 665 Alexa Fluor® 647

    Alexa Fluor® 647 Anti-ATP5G1/G2/G3 antibody [EPR13908]

  • 660 APC

    APC Anti-ATP5G1/G2/G3 antibody [EPR13908]

  • 775 Alexa Fluor® 750

    Alexa Fluor® 750 Anti-ATP5G1/G2/G3 antibody [EPR13908]

Key facts

Host species

Rabbit

Clonality

Monoclonal

Clone number

EPR13908

Isotype

IgG

Carrier free

Yes

Reacts with

Mouse, Rat, Human

Applications

WB, IHC-P

applications

Immunogen

The exact immunogen used to generate this antibody is proprietary information.

Reactivity data

{ "title": "Reactivity Data", "filters": { "stats": ["", "Species", "Dilution Info", "Notes"], "tabs": { "all-applications": {"fullname" : "All Applications", "shortname": "All Applications"}, "IP" : {"fullname" : "Immunoprecipitation", "shortname":"IP"}, "WB" : {"fullname" : "Western blot", "shortname":"WB"}, "IHCP" : {"fullname" : "Immunohistochemistry (Formalin/PFA-fixed paraffin-embedded sections)", "shortname":"IHC-P"} }, "product-promise": { "all": "all", "testedAndGuaranteed": "tested", "guaranteed": "expected", "predicted": "predicted", "notRecommended": "not-recommended" } }, "values": { "Human": { "IP-species-checked": "notRecommended", "IP-species-dilution-info": "", "IP-species-notes": "<p></p>", "WB-species-checked": "testedAndGuaranteed", "WB-species-dilution-info": "", "WB-species-notes": "<p></p>", "IHCP-species-checked": "testedAndGuaranteed", "IHCP-species-dilution-info": "", "IHCP-species-notes": "<p></p>" }, "Mouse": { "IP-species-checked": "notRecommended", "IP-species-dilution-info": "", "IP-species-notes": "<p></p>", "WB-species-checked": "testedAndGuaranteed", "WB-species-dilution-info": "", "WB-species-notes": "<p></p>", "IHCP-species-checked": "guaranteed", "IHCP-species-dilution-info": "", "IHCP-species-notes": "" }, "Rat": { "IP-species-checked": "notRecommended", "IP-species-dilution-info": "", "IP-species-notes": "<p></p>", "WB-species-checked": "testedAndGuaranteed", "WB-species-dilution-info": "", "WB-species-notes": "<p></p>", "IHCP-species-checked": "guaranteed", "IHCP-species-dilution-info": "", "IHCP-species-notes": "" } } }

Product details

ab250158 is the carrier-free version of ab180149.

Patented technology
Our RabMAb® technology is a patented hybridoma-based technology for making rabbit monoclonal antibodies. For details on our patents, please refer to RabMAb® patents.

What are the advantages of a recombinant monoclonal antibody?
This product is a recombinant monoclonal antibody, which offers several advantages including:

  • - High batch-to-batch consistency and reproducibility
  • - Improved sensitivity and specificity
  • - Long-term security of supply
  • - Animal-free batch production

For more information, read more on recombinant antibodies.

Conjugation ready
Our carrier-free antibodies are typically supplied in a PBS-only formulation, purified and free of BSA, sodium azide and glycerol. This conjugation-ready format is designed for use with fluorochromes, metal isotopes, oligonucleotides, and enzymes, which makes them ideal for antibody labelling, functional and cell-based assays, flow-based assays (e.g. mass cytometry) and Multiplex Imaging applications.

Use our conjugation kits for antibody conjugates that are ready-to-use in as little as 20 minutes with 1 minute hands-on-time and 100% antibody recovery: available for fluorescent dyes, HRP, biotin and gold.

Compatibility
This product is compatible with the Maxpar® Antibody Labeling Kit from Fluidigm, without the need for antibody preparation. Maxpar® is a trademark of Fluidigm Canada Inc.

Properties and storage information

Form
Liquid
Purification technique
Affinity purification Protein A
Storage buffer
pH: 7.2 - 7.4 Constituents: PBS
Shipped at conditions
Blue Ice
Appropriate short-term storage conditions
+4°C
Appropriate long-term storage conditions
+4°C
Storage information
Do Not Freeze

Supplementary information

This supplementary information is collated from multiple sources and compiled automatically.

ATP5G1 ATP5G2 and ATP5G3 also known as subunits c of the mitochondrial ATP synthase are integral components of the F0 membrane sector of ATP synthase. These proteins have a mass of approximately 8.2 kilodaltons and play an important role in the proton-conducting pore of the enzyme. Expression occurs mainly in tissues with high energy demands such as cardiac and skeletal muscles. As integral membrane proteins they anchor as oligomers in the inner mitochondrial membrane and participate in the process of ATP production.
Biological function summary

ATP5G1 ATP5G2 and ATP5G3 form part of the ATP synthase complex which is essential for oxidative phosphorylation and cellular energy production. The ATP synthase complex consists of two main parts: F1 and F0. The subunits c encoded by ATP5G1 ATP5G2 and ATP5G3 construct a rotary motor within the F0 complex that allows proton translocation across the inner mitochondrial membrane. This process facilitates the production of ATP from ADP and inorganic phosphate which is the primary energy currency of the cell.

Pathways

ATP5G1 ATP5G2 and ATP5G3 subunits participate in the oxidative phosphorylation pathway an important component of cellular respiration. This pathway plays a major role in energy generation by creating ATP through electron transport and chemiosmotic coupling mechanisms. The ATP synthase complex works in conjunction with other proteins like cytochrome c oxidase in the electron transport chain. Efficient functioning of these proteins ensures ATP production which is vital for various cellular processes.

Defects or malfunctions in ATP5G1 ATP5G2 and ATP5G3 have associations with mitochondrial disorders and neuromuscular diseases. Dysfunction in the ATP synthase complex can lead to conditions such as Leigh syndrome and other mitochondrial encephalomyopathies. The subunits are also connected with proteins involved in these disorders including the adenine nucleotide translocase. Understanding these relationships helps in diagnosing and developing therapeutic strategies for these energy deficiency-related conditions.

Product protocols

For this product, it's our understanding that no specific protocols are required. You can visit:

Target data

Mitochondrial membrane ATP synthase (F(1)F(0) ATP synthase or Complex V) produces ATP from ADP in the presence of a proton gradient across the membrane which is generated by electron transport complexes of the respiratory chain. F-type ATPases consist of two structural domains, F(1) - containing the extramembraneous catalytic core and F(0) - containing the membrane proton channel, linked together by a central stalk and a peripheral stalk. During catalysis, ATP synthesis in the catalytic domain of F(1) is coupled via a rotary mechanism of the central stalk subunits to proton translocation. Part of the complex F(0) domain. A homomeric c-ring of probably 10 subunits is part of the complex rotary element.
See full target information ATP5MC1

Product promise

We are committed to supporting your work with high-quality reagents, and we're here for you every step of the way. In the unlikely event that one of our products does not perform as expected, you're protected by our Product Promise.
For full details, please see our Terms & Conditions

Please note: All products are 'FOR RESEARCH USE ONLY. NOT FOR USE IN DIAGNOSTIC OR THERAPEUTIC PROCEDURES'.

For licensing inquiries, please contact partnerships@abcam.com