JavaScript is disabled in your browser. Please enable JavaScript to view this website.
AB251071

Anti-ATP5L2 + ATP5L antibody [EPR15636] - BSA and Azide free

Be the first to review this product! Submit a review

|

(0 Publication)

Rabbit Recombinant Monoclonal ATP5L2 antibody. Carrier free. Suitable for ICC/IF, IP, WB, IHC-P and reacts with Human samples.

View Alternative Names

ATP5K2, ATP5L2, ATP5MGL, ATPase subunit g 2, ATP synthase membrane subunit g-like protein

4 Images
Immunocytochemistry/ Immunofluorescence - Anti-ATP5L2 + ATP5L antibody [EPR15636] - BSA and Azide free (AB251071)
  • ICC/IF

Supplier Data

Immunocytochemistry/ Immunofluorescence - Anti-ATP5L2 + ATP5L antibody [EPR15636] - BSA and Azide free (AB251071)

This data was developed using ab191417, the same antibody clone in a different buffer formulation.

Immunofluorescent analysis of HeLa cells (4% Paraformaldehyde-fixed, 0.1% tritonX-100 permeabilized) labeling ATP5L2 + ATP5L with ab191417 at 1/100 dilution (19μg/mL) followed by Goat anti rabbit IgG (AlexaFluor® 488) (ab150077) secondary at 1/200 dilution and counter-stained with DAPI (blue).

Negative controls : anti-ATP5L2 at 1/100 dilution, Secondary ab (Goat anti mouse IgG (Alexa Fluor®594)) at 1/400 dilution.

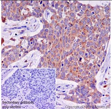
Immunohistochemistry (Formalin/PFA-fixed paraffin-embedded sections) - Anti-ATP5L2 + ATP5L antibody [EPR15636] - BSA and Azide free (AB251071)
  • IHC-P

Supplier Data

Immunohistochemistry (Formalin/PFA-fixed paraffin-embedded sections) - Anti-ATP5L2 + ATP5L antibody [EPR15636] - BSA and Azide free (AB251071)

This data was developed using ab191417, the same antibody clone in a different buffer formulation.

Immunohistochemical analysis of paraffin-embedded Human kidney tissue labeling ATP5L2 + ATP5L with ab191417 at 1/100 dilution (19.4 μg/ml) followed by pre-diluted HRP Polymer for Rabbit IgG secondary antibody and counter-stained with Hematoxylin.
Inset : Negative control : using PBS instead of primary antibody.

Perform heat mediated antigen retrieval with Tris/EDTA buffer pH 9.0 before commencing with IHC staining protocol.

Immunoprecipitation - Anti-ATP5L2 + ATP5L antibody [EPR15636] - BSA and Azide free (AB251071)
  • IP

Supplier Data

Immunoprecipitation - Anti-ATP5L2 + ATP5L antibody [EPR15636] - BSA and Azide free (AB251071)

This data was developed using ab191417, the same antibody clone in a different buffer formulation.

Western blot analysis of immunoprecipitation pellet from Human fetal liver lysate immunoprecipitated using ab191417 at 1/100 dilution.
Secondary : Goat Anti-Rabbit IgG, (H+L), Peroxidase conjugate at 1/1000 dilution.

All lanes:

Immunoprecipitation - Anti-ATP5L2 + ATP5L antibody [EPR15636] (<a href='/en-us/products/primary-antibodies/atp5l2-atp5l-antibody-epr15636-ab191417'>ab191417</a>)

false

Western blot - Anti-ATP5L2 + ATP5L antibody [EPR15636] - BSA and Azide free (AB251071)
  • WB

Supplier Data

Western blot - Anti-ATP5L2 + ATP5L antibody [EPR15636] - BSA and Azide free (AB251071)

This data was developed using ab191417, the same antibody clone in a different buffer formulation.

All lanes:

Western blot - Anti-ATP5L2 + ATP5L antibody [EPR15636] (<a href='/en-us/products/primary-antibodies/atp5l2-atp5l-antibody-epr15636-ab191417'>ab191417</a>) at 1/1000 dilution

Lane 1:

HeLa cell lysate at 20 µg

Lane 2:

Human fetal liver tissue lysate at 20 µg

Lane 3:

Human pancreas tissue lysate at 20 µg

Secondary

All lanes:

Goat Anti-Rabbit IgG, (H+L), Peroxidase conjugated at 1/1000 dilution

Predicted band size: 11 kDa

false

Key facts

Host species

Rabbit

Clonality

Monoclonal

Clone number

EPR15636

Isotype

IgG

Carrier free

Yes

Reacts with

Human

Applications

WB, ICC/IF, IHC-P, IP

applications

Immunogen

The exact immunogen used to generate this antibody is proprietary information.

Reactivity data

{ "title": "Reactivity Data", "filters": { "stats": ["", "Species", "Dilution Info", "Notes"], "tabs": { "all-applications": {"fullname" : "All Applications", "shortname": "All Applications"}, "ICCIF" : {"fullname" : "Immunocytochemistry/ Immunofluorescence", "shortname":"ICC/IF"}, "IP" : {"fullname" : "Immunoprecipitation", "shortname":"IP"}, "WB" : {"fullname" : "Western blot", "shortname":"WB"}, "IHCP" : {"fullname" : "Immunohistochemistry (Formalin/PFA-fixed paraffin-embedded sections)", "shortname":"IHC-P"} }, "product-promise": { "all": "all", "testedAndGuaranteed": "tested", "guaranteed": "expected", "predicted": "predicted", "notRecommended": "not-recommended" } }, "values": { "Human": { "ICCIF-species-checked": "testedAndGuaranteed", "ICCIF-species-dilution-info": "", "ICCIF-species-notes": "<p></p>", "IP-species-checked": "testedAndGuaranteed", "IP-species-dilution-info": "", "IP-species-notes": "<p></p>", "WB-species-checked": "testedAndGuaranteed", "WB-species-dilution-info": "", "WB-species-notes": "<p></p>", "IHCP-species-checked": "testedAndGuaranteed", "IHCP-species-dilution-info": "", "IHCP-species-notes": "<p></p>" }, "Mouse": { "ICCIF-species-checked": "predicted", "ICCIF-species-dilution-info": "", "ICCIF-species-notes": "", "IP-species-checked": "predicted", "IP-species-dilution-info": "", "IP-species-notes": "", "WB-species-checked": "predicted", "WB-species-dilution-info": "", "WB-species-notes": "", "IHCP-species-checked": "predicted", "IHCP-species-dilution-info": "", "IHCP-species-notes": "" } } }

Product details

ab251071 is the carrier-free version of ab191417.

Patented technology
Our RabMAb® technology is a patented hybridoma-based technology for making rabbit monoclonal antibodies. For details on our patents, please refer to RabMAb® patents.

What are the advantages of a recombinant monoclonal antibody?
This product is a recombinant monoclonal antibody, which offers several advantages including:

  • - High batch-to-batch consistency and reproducibility
  • - Improved sensitivity and specificity
  • - Long-term security of supply
  • - Animal-free batch production

For more information, read more on recombinant antibodies.

Conjugation ready
Our carrier-free antibodies are typically supplied in a PBS-only formulation, purified and free of BSA, sodium azide and glycerol. This conjugation-ready format is designed for use with fluorochromes, metal isotopes, oligonucleotides, and enzymes, which makes them ideal for antibody labelling, functional and cell-based assays, flow-based assays (e.g. mass cytometry) and Multiplex Imaging applications.

Use our conjugation kits for antibody conjugates that are ready-to-use in as little as 20 minutes with 1 minute hands-on-time and 100% antibody recovery: available for fluorescent dyes, HRP, biotin and gold.

Compatibility
This product is compatible with the Maxpar® Antibody Labeling Kit from Fluidigm, without the need for antibody preparation. Maxpar® is a trademark of Fluidigm Canada Inc.

Properties and storage information

Form
Liquid
Storage buffer
pH: 7.2 - 7.4 Constituents: PBS
Shipped at conditions
Blue Ice
Appropriate short-term storage conditions
+4°C
Appropriate long-term storage conditions
+4°C
Storage information
Do Not Freeze

Supplementary information

This supplementary information is collated from multiple sources and compiled automatically.

ATP5L2 and ATP5L are subunits of the mitochondrial ATP synthase complex also known as Complex V which plays an important role in cellular energy production. ATP5L also known as OLigo1 consists of approximately 19 kDa mass. ATP5L2 has a similar role and size. Both subunits are essential parts of the F1F0 ATP synthase complex located in the inner mitochondrial membrane. These proteins are expressed in tissues with high energy demands such as cardiac and skeletal muscles liver and neuronal tissue.
Biological function summary

These subunits contribute to ATP synthesis which is critical for providing the energy required for various cellular functions. They are integral parts of the F1F0 ATP synthase complex which couples proton transport across the inner mitochondrial membrane to ATP generation from ADP and inorganic phosphate. This process is important for maintaining cellular energy balance and disruptions can lead to impaired cellular functions or energy deficits.

Pathways

ATP5L and ATP5L2 are integral to the oxidative phosphorylation pathway part of cellular respiration. This pathway is critical for efficient ATP production and involves other complexes such as NADH dehydrogenase and cytochrome c oxidase. These subunits interact with essential proteins like ATP5B another ATP synthase subunit ensuring the ATP synthase complex properly functions within this pathway.

Altered expression or mutations in ATP synthase complex components including ATP5L and ATP5L2 can link to metabolic disorders such as mitochondrial myopathy and neurodegenerative diseases like Alzheimer's. These disorders often involve other proteins such as cytochrome c and amyloid precursor protein which further disrupt mitochondrial function and cellular energy homeostasis. Understanding these connections provides insight into the potential therapeutic targets for these conditions.

Product protocols

For this product, it's our understanding that no specific protocols are required. You can visit:

Target data

Mitochondrial membrane ATP synthase (F(1)F(0) ATP synthase or Complex V) produces ATP from ADP in the presence of a proton gradient across the membrane which is generated by electron transport complexes of the respiratory chain. F-type ATPases consist of two structural domains, F(1) - containing the extramembraneous catalytic core, and F(0) - containing the membrane proton channel, linked together by a central stalk and a peripheral stalk. During catalysis, ATP synthesis in the catalytic domain of F(1) is coupled via a rotary mechanism of the central stalk subunits to proton translocation. Part of the complex F(0) domain. Minor subunit located with subunit a in the membrane (By similarity).
See full target information ATP5MGL

Additional targets

ATP5MG

Product promise

We are committed to supporting your work with high-quality reagents, and we're here for you every step of the way. In the unlikely event that one of our products does not perform as expected, you're protected by our Product Promise.
For full details, please see our Terms & Conditions

Please note: All products are 'FOR RESEARCH USE ONLY. NOT FOR USE IN DIAGNOSTIC OR THERAPEUTIC PROCEDURES'.

For licensing inquiries, please contact partnerships@abcam.com