JavaScript is disabled in your browser. Please enable JavaScript to view this website.
AB56441

Anti-ATP6V0D1/P39 antibody [2G12]

5

(1 Review)

|

(26 Publications)

Mouse Monoclonal ATP6V0D1/P39 antibody. Suitable for Flow Cyt, WB, IHC-P, ICC/IF and reacts with Human samples. Cited in 26 publications. Immunogen corresponding to Recombinant Fragment Protein within Human ATP6V0D1 aa 200-350.

View Alternative Names

ATP6D, VPATPD, ATP6V0D1, V-type proton ATPase subunit d 1, V-ATPase subunit d 1, 32 kDa accessory protein, V-ATPase 40 kDa accessory protein, V-ATPase AC39 subunit, Vacuolar proton pump subunit d 1, p39

4 Images
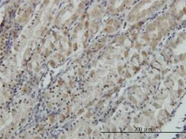
Immunohistochemistry (Formalin/PFA-fixed paraffin-embedded sections) - Anti-ATP6V0D1/P39 antibody [2G12] (AB56441)
  • IHC-P

Unknown

Immunohistochemistry (Formalin/PFA-fixed paraffin-embedded sections) - Anti-ATP6V0D1/P39 antibody [2G12] (AB56441)

ATP6V0D1/P39 antibody (ab56441) used in immunohistochemistry at 5ug/ml on formalin fixed and paraffin embedded human stomach.

This image was generated using the ascites version of the product.

Immunocytochemistry/ Immunofluorescence - Anti-ATP6V0D1/P39 antibody [2G12] (AB56441)
  • ICC/IF

Unknown

Immunocytochemistry/ Immunofluorescence - Anti-ATP6V0D1/P39 antibody [2G12] (AB56441)

ICC/IF image of ab56441 stained HeLa cells. The cells were 4% formaldehyde fixed (10 min) and then incubated in 1%BSA / 10% normal goat serum / 0.3M glycine in 0.1% PBS-Tween for 1h to permeabilise the cells and block non-specific protein-protein interactions. The cells were then incubated with the antibody (ab56441, 10μg/ml) overnight at +4°C. The secondary antibody (green) was Alexa Fluor® 488 goat anti-mouse IgG (H+L) used at a 1/1000 dilution for 1h. Alexa Fluor® 594 WGA was used to label plasma membranes (red) at a 1/200 dilution for 1h. DAPI was used to stain the cell nuclei (blue) at a concentration of 1.43μM.

This image was generated using the ascites version of the product.

Flow Cytometry - Anti-ATP6V0D1/P39 antibody [2G12] (AB56441)
  • Flow Cyt

Unknown

Flow Cytometry - Anti-ATP6V0D1/P39 antibody [2G12] (AB56441)

Overlay histogram showing HeLa cells stained with ab56441 (red line). The cells were fixed with 80% methanol (5 min) and then permeabilized with 0.1% PBS-Tween for 20 min. The cells were then incubated in 1x PBS / 10% normal goat serum / 0.3M glycine to block non-specific protein-protein interactions followed by the antibody (ab56441, 1μg/1x106 cells) for 30 min at 22°C. The secondary antibody used was DyLight® 488 goat anti-mouse IgG (H+L) (ab96879) at 1/500 dilution for 30 min at 22°C. Isotype control antibody (black line) was a mix of mouse IgG1 [ICIGG1], (ab91353, 2μg/1x106 cells) used under the same conditions. Acquisition of >5,000 events was performed. This antibody gave a positive signal in HeLa cells fixed with 4%PFA/permeabilized in 0.1% PBS-Tween used under the same conditions.

This image was generated using the ascites version of the product.

Western blot - Anti-ATP6V0D1/P39 antibody [2G12] (AB56441)
  • WB

Unknown

Western blot - Anti-ATP6V0D1/P39 antibody [2G12] (AB56441)

ATP6V0D1/P39 antibody (ab56441) at 1ug/lane + HeLa cell lysate at 25ug/lane.

This image was generated using the ascites version of the product.

All lanes:

Western blot - Anti-ATP6V0D1/P39 antibody [2G12] (ab56441)

Predicted band size: 40 kDa

false

Key facts

Host species

Mouse

Clonality

Monoclonal

Clone number

2G12

Isotype

IgG1

Light chain type

kappa

Carrier free

No

Reacts with

Human

Applications

IHC-P, ICC/IF, Flow Cyt, WB

applications

Immunogen

Recombinant Fragment Protein within Human ATP6V0D1 aa 200-350. The exact immunogen used to generate this antibody is proprietary information.

P61421

Reactivity data

{ "title": "Reactivity Data", "filters": { "stats": ["", "Species", "Dilution Info", "Notes"], "tabs": { "all-applications": {"fullname" : "All Applications", "shortname": "All Applications"}, "FlowCyt" : {"fullname" : "Flow Cytometry", "shortname":"Flow Cyt"}, "WB" : {"fullname" : "Western blot", "shortname":"WB"}, "IHCP" : {"fullname" : "Immunohistochemistry (Formalin/PFA-fixed paraffin-embedded sections)", "shortname":"IHC-P"}, "ICCIF" : {"fullname" : "Immunocytochemistry/ Immunofluorescence", "shortname":"ICC/IF"} }, "product-promise": { "all": "all", "testedAndGuaranteed": "tested", "guaranteed": "expected", "predicted": "predicted", "notRecommended": "not-recommended" } }, "values": { "Human": { "FlowCyt-species-checked": "testedAndGuaranteed", "FlowCyt-species-dilution-info": "", "FlowCyt-species-notes": "<p><a href='/en-us/products/primary-antibodies/mouse-igg1-kappa-monoclonal-15-6e10a7-isotype-control-ab170190'>ab170190</a> - Mouse monoclonal IgG1, is suitable for use as an isotype control with this antibody.</p>", "WB-species-checked": "testedAndGuaranteed", "WB-species-dilution-info": "", "WB-species-notes": "<p></p>", "IHCP-species-checked": "testedAndGuaranteed", "IHCP-species-dilution-info": "", "IHCP-species-notes": "<p></p>", "ICCIF-species-checked": "testedAndGuaranteed", "ICCIF-species-dilution-info": "", "ICCIF-species-notes": "<p></p>" } } }

Product details

This product was changed from ascites to tissue culture supernatant on 13th Feb 2019. Please note that the dilutions may need to be adjusted accordingly. If you have any questions, please do not hesitate to contact our scientific support team.

Properties and storage information

Form
Liquid
Purity
Tissue culture supernatant
Storage buffer
pH: 7.4
Shipped at conditions
Blue Ice
Appropriate short-term storage conditions
+4°C
Appropriate long-term storage conditions
-20°C
Aliquoting information
Upon delivery aliquot
Storage information
Avoid freeze / thaw cycle

Supplementary information

This supplementary information is collated from multiple sources and compiled automatically.

ATP6V0D1 also known as P39 is a subunit of the V0 domain of the vacuolar ATPase (V-ATPase) complex. This protein has an approximate mass of 39 kDa. ATP6V0D1 is broadly expressed in various tissues with higher levels in metabolically active cells such as kidney and liver cells. The V-ATPase complex is essential for acidifying intracellular compartments which aids in numerous cellular processes including protein degradation and receptor-mediated endocytosis.
Biological function summary

ATP6V0D1 impacts the acidification necessary for intracellular processes by being a component of the V-ATPase complex. This complex functions as a proton pump moving protons across membranes to regulate pH in cellular compartments like lysosomes and endosomes. Proper function of V-ATPase and thereby of ATP6V0D1 is important for cellular homeostasis and energy metabolism. Disruption of these processes could impair critical functions such as protein degradation and nutrient processing.

Pathways

ATP6V0D1 plays roles in key cellular pathways such as the glucose metabolism pathway and protein processing in the endoplasmic reticulum. In these pathways ATP6V0D1 works closely with other proteins like ATP6V1 subunits within the V-ATPase complex. Its involvement in these pathways highlights not only its importance in cellular energy balance but also in maintaining the structural integrity of cells under varying metabolic conditions.

ATP6V0D1 is linked to conditions such as osteopetrosis and renal tubular acidosis. These disorders relate to the malfunction of acidification in cells where ATP6V0D1 expression is important highlighting the connection between disrupted ATP6V0D1 function and impaired cellular processes. Proteins like ATP6V0A1 another subunit of the V-ATPase complex also play a role in these conditions emphasizing the need for functional cooperation among these proteins to maintain normal physiological states.

Product protocols

For this product, it's our understanding that no specific protocols are required. You can visit:

Target data

Subunit of the V0 complex of vacuolar(H+)-ATPase (V-ATPase), a multisubunit enzyme composed of a peripheral complex (V1) that hydrolyzes ATP and a membrane integral complex (V0) that translocates protons (PubMed : 28296633, PubMed : 30374053, PubMed : 33065002). V-ATPase is responsible for acidifying and maintaining the pH of intracellular compartments and in some cell types, is targeted to the plasma membrane, where it is responsible for acidifying the extracellular environment (PubMed : 30374053). May play a role in coupling of proton transport and ATP hydrolysis (By similarity). In aerobic conditions, involved in intracellular iron homeostasis, thus triggering the activity of Fe(2+) prolyl hydroxylase (PHD) enzymes, and leading to HIF1A hydroxylation and subsequent proteasomal degradation (PubMed : 28296633). May play a role in cilium biogenesis through regulation of the transport and the localization of proteins to the cilium (By similarity).
See full target information ATP6V0D1

Publications (26)

Recent publications for all applications. Explore the full list and refine your search

Autophagy 21:1192-1211 PubMed39757940

2025

Nonreceptor tyrosine kinase ABL1 regulates lysosomal acidification by phosphorylating the ATP6V1B2 subunit of the vacuolar-type H-ATPase.

Applications

Unspecified application

Species

Unspecified reactive species

Caiwei Song,Qincai Dong,Yi Yao,Yan Cui,Chunmei Zhang,Lijun Lin,Lin Zhu,Yong Hu,Hainan Liu,Yanwen Jin,Ping Li,Xuan Liu,Cheng Cao

Translational neurodegeneration 13:54 PubMed39497162

2024

Critical role of ROCK1 in AD pathogenesis via controlling lysosomal biogenesis and acidification.

Applications

Unspecified application

Species

Unspecified reactive species

Chenghuan Song,Wanying Huang,Pingao Zhang,Jiyun Shi,Ting Yu,Jing Wang,Yongbo Hu,Lanxue Zhao,Rui Zhang,Gang Wang,Yongfang Zhang,Hongzhuan Chen,Hao Wang

Infection and immunity 92:e0014124 PubMed38722166

2024

Group A induces lysosomal dysfunction in THP-1 macrophages.

Applications

Unspecified application

Species

Unspecified reactive species

Scott T Nishioka,Joshua Snipper,Jimin Lee,Joshua Schapiro,Robert Z Zhang,Hyewon Abe,Andreas Till,Cheryl Y M Okumura

Developmental cell 59:1571-1592.e9 PubMed38626765

2024

Accumulation of APP C-terminal fragments causes endolysosomal dysfunction through the dysregulation of late endosome to lysosome-ER contact sites.

Applications

Unspecified application

Species

Unspecified reactive species

Marine Bretou,Ragna Sannerud,Abril Escamilla-Ayala,Tom Leroy,Céline Vrancx,Zoë P Van Acker,Anika Perdok,Wendy Vermeire,Inge Vorsters,Sophie Van Keymolen,Michelle Maxson,Benjamin Pavie,Keimpe Wierda,Eeva-Liisa Eskelinen,Wim Annaert

The Journal of cell biology 222: PubMed37796195

2023

Lysosome damage triggers direct ATG8 conjugation and ATG2 engagement via non-canonical autophagy.

Applications

Unspecified application

Species

Unspecified reactive species

Jake Cross,Joanne Durgan,David G McEwan,Matthew Tayler,Kevin M Ryan,Oliver Florey

Nature biotechnology 40:1834-1844 PubMed35879364

2022

Ras-mutant cancers are sensitive to small molecule inhibition of V-type ATPases in mice.

Applications

Unspecified application

Species

Unspecified reactive species

Bhairavi Tolani,Anna Celli,Yanmin Yao,Yong Zi Tan,Richard Fetter,Christina R Liem,Adam J de Smith,Thamiya Vasanthakumar,Paola Bisignano,Adam D Cotton,Ian B Seiple,John L Rubinstein,Marco Jost,Jonathan S Weissman

The Journal of cell biology 221: PubMed35511089

2022

V-ATPase is a universal regulator of LC3-associated phagocytosis and non-canonical autophagy.

Applications

Unspecified application

Species

Unspecified reactive species

Kirsty M Hooper,Elise Jacquin,Taoyingnan Li,Jonathan M Goodwin,John H Brumell,Joanne Durgan,Oliver Florey

Allergy, asthma & immunology research 13:479-497 PubMed33733641

2021

ATP6V0d2 Suppresses Alveoli Macrophage Alternative Polarization and Allergic Asthma via Degradation of PU.1.

Applications

Unspecified application

Species

Unspecified reactive species

Na Liu,Yuchen Feng,Huicheng Liu,Wenliang Wu,Yuxia Liang,Pingfei Li,Zhengping Wei,Min Wu,Zhao Hui Tang,Junyan Han,Xiang Cheng,Zheng Liu,Arian Laurence,Huabin Li,Guohua Zhen,Xiang Ping Yang

Molecular neurodegeneration 15:35 PubMed32517777

2020

Sex-dependent calcium hyperactivity due to lysosomal-related dysfunction in astrocytes from APOE4 versus APOE3 gene targeted replacement mice.

Applications

Unspecified application

Species

Unspecified reactive species

Raquel Larramona-Arcas,Candela González-Arias,Gertrudis Perea,Antonia Gutiérrez,Javier Vitorica,Tamara García-Barrera,José Luis Gómez-Ariza,Raquel Pascua-Maestro,María Dolores Ganfornina,Eleanna Kara,Eloise Hudry,Marta Martinez-Vicente,Miquel Vila,Elena Galea,Roser Masgrau

The Journal of biological chemistry 295:9433-9444 PubMed32409581

2020

AKT Ser/Thr kinase increases V-ATPase-dependent lysosomal acidification in response to amino acid starvation in mammalian cells.

Applications

Unspecified application

Species

Unspecified reactive species

Michael P Collins,Laura A Stransky,Michael Forgac
View all publications

Product promise

We are committed to supporting your work with high-quality reagents, and we're here for you every step of the way. In the unlikely event that one of our products does not perform as expected, you're protected by our Product Promise.
For full details, please see our Terms & Conditions

Please note: All products are 'FOR RESEARCH USE ONLY. NOT FOR USE IN DIAGNOSTIC OR THERAPEUTIC PROCEDURES'.

For licensing inquiries, please contact partnerships@abcam.com