JavaScript is disabled in your browser. Please enable JavaScript to view this website.
AB251387

Anti-ATP6V0D1/P39 antibody [EPR18320-38] - BSA and Azide free

Be the first to review this product! Submit a review

|

(1 Publication)

Rabbit Recombinant Monoclonal ATP6V0D1/P39 antibody. Carrier free. Suitable for ICC/IF, IP, WB, Flow Cyt (Intra), IHC-P and reacts with Human, Mouse, Rat samples. Cited in 1 publication.

View Alternative Names

ATP6D, VPATPD, ATP6V0D1, V-type proton ATPase subunit d 1, V-ATPase subunit d 1, 32 kDa accessory protein, V-ATPase 40 kDa accessory protein, V-ATPase AC39 subunit, Vacuolar proton pump subunit d 1, p39

11 Images
Flow Cytometry (Intracellular) - Anti-ATP6V0D1/P39 antibody [EPR18320-38] - BSA and Azide free (AB251387)
  • Flow Cyt (Intra)

Unknown

Flow Cytometry (Intracellular) - Anti-ATP6V0D1/P39 antibody [EPR18320-38] - BSA and Azide free (AB251387)

This data was developed using ab202899, the same antibody clone in a different buffer formulation.

Intracellular Flow Cytometry analysis of HeLa cells labelling ATP6V0D1/P39 with ab202899 at 1/800 (red). Cells were fixed with 4% paraformaldehyde and permeabilized with 90% methanol. An Alexa Fluor® 488-conjugated goat anti-rabbit IgG (1/2000) was used as the secondary antibody. Black - Isotype control, rabbit monoclonal IgG. Blue - Unlabelled control, cells without incubation with primary and secondary antibodies.

Immunocytochemistry/ Immunofluorescence - Anti-ATP6V0D1/P39 antibody [EPR18320-38] - BSA and Azide free (AB251387)
  • ICC/IF

Supplier Data

Immunocytochemistry/ Immunofluorescence - Anti-ATP6V0D1/P39 antibody [EPR18320-38] - BSA and Azide free (AB251387)

This data was developed using ab202899, the same antibody clone in a different buffer formulation.

Immunofluorescent analysis of 4% paraformaldehyde-fixed, 0.1% Triton X-100 permeabilized HeLa (Human epithelial cells from cervix adenocarcinoma) cells labeling ATP6V0D1/P39 with ab202899 at 1/500 dilution, followed by Goat anti-rabbit IgG (Alexa Fluor® 488) (ab150077) secondary antibody at 1/1000 dilution (green). Cytoplasm staining on HeLa cell line is observed. The nuclear counterstain is DAPI (blue). Tubulin is detected with ab7291 (anti-Tubulin mouse mAb) at 1/1000 dilution and ab150120 (Alexa Fluor® 594 Goat anti-Mouse secondary) at 1/1000 dilution (red).
The negative controls are as follows : -
-ve control 1 - ab202899 at 1/500 dilution followed by ab150120 (Alexa Fluor® 594 Goat anti-Mouse secondary) at 1/1000 dilution.
-ve control 2. - ab7291 (anti-Tubulin mouse mAb) at 1/1000 dilution followed by ab150077 (Alexa Fluor® 488 Goat Anti-Rabbit IgG H&L) at 1/1000 dilution.

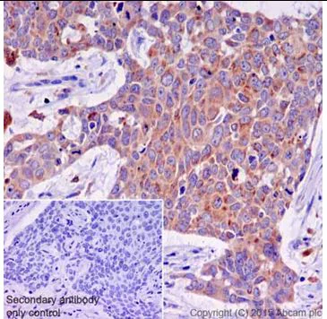
Immunohistochemistry (Formalin/PFA-fixed paraffin-embedded sections) - Anti-ATP6V0D1/P39 antibody [EPR18320-38] - BSA and Azide free (AB251387)
  • IHC-P

Supplier Data

Immunohistochemistry (Formalin/PFA-fixed paraffin-embedded sections) - Anti-ATP6V0D1/P39 antibody [EPR18320-38] - BSA and Azide free (AB251387)

This data was developed using ab202899, the same antibody clone in a different buffer formulation.

Immunohistochemical analysis of paraffin-embedded Human breast carcinoma tissue labeling ATP6V0D1/P39 with ab202899 at 1/250 dilution followed by Goat Anti-Rabbit IgG H&L (HRP) (ab97051) at 1/500 dilution. Cytoplasmic staining on Human breast carcinoma tissue is observed. Counter stained with Hematoxylin.
Negative control : Used PBS instead of primary antibody, secondary antibody is Goat Anti-Rabbit IgG H&L (HRP) (ab97051).

Perform heat mediated antigen retrieval with Tris/EDTA buffer pH 9.0 before commencing with IHC staining protocol.

Immunocytochemistry/ Immunofluorescence - Anti-ATP6V0D1/P39 antibody [EPR18320-38] - BSA and Azide free (AB251387)
  • ICC/IF

Supplier Data

Immunocytochemistry/ Immunofluorescence - Anti-ATP6V0D1/P39 antibody [EPR18320-38] - BSA and Azide free (AB251387)

This data was developed using ab202899, the same antibody clone in a different buffer formulation.

Immunofluorescent analysis of 4% paraformaldehyde-fixed, 0.1% Triton X-100 permeabilized MCF-7 (Human breast adenocarcinoma) cells labeling ATP6V0D1/P39 with ab202899 at 1/500 dilution, followed by Goat anti-rabbit IgG (Alexa Fluor® 488) (ab150077) secondary antibody at 1/1000 dilution (green). Cytoplasm staining on MCF-7 cell line is observed. The nuclear counterstain is DAPI (blue). Tubulin is detected with ab7291 (anti-Tubulin mouse mAb) at 1/1000 dilution and ab150120 (Alexa Fluor® 594 Goat anti-Mouse secondary) at 1/1000 dilution (red).
The negative controls are as follows : -
-ve control 1 - ab202899 at 1/500 dilution followed byab150120 (Alexa Fluor® 594 Goat anti-Mouse secondary) at 1/1000 dilution.
-ve control 2 - ab7291 (anti-Tubulin mouse mAb) at 1/1000 dilution followed by ab150077 (Alexa Fluor® 488 Goat Anti-Rabbit IgG H&L) at 1/1000 dilution.

Immunohistochemistry (Formalin/PFA-fixed paraffin-embedded sections) - Anti-ATP6V0D1/P39 antibody [EPR18320-38] - BSA and Azide free (AB251387)
  • IHC-P

Supplier Data

Immunohistochemistry (Formalin/PFA-fixed paraffin-embedded sections) - Anti-ATP6V0D1/P39 antibody [EPR18320-38] - BSA and Azide free (AB251387)

This data was developed using ab202899, the same antibody clone in a different buffer formulation.

Immunohistochemical analysis of paraffin-embedded Human cervix carcinoma tissue labeling ATP6V0D1/P39 with ab202899 at 1/250 dilution followed by Goat Anti-Rabbit IgG H&L (HRP) (ab97051) at 1/500 dilution. Cytoplasmic staining on Human cervix carcinoma tissue is observed. Counter stained with Hematoxylin.
Negative control : Used PBS instead of primary antibody, secondary antibody is Goat Anti-Rabbit IgG H&L (HRP) (ab97051).

Perform heat mediated antigen retrieval with Tris/EDTA buffer pH 9.0 before commencing with IHC staining protocol.

Immunoprecipitation - Anti-ATP6V0D1/P39 antibody [EPR18320-38] - BSA and Azide free (AB251387)
  • IP

Supplier Data

Immunoprecipitation - Anti-ATP6V0D1/P39 antibody [EPR18320-38] - BSA and Azide free (AB251387)

This data was developed using ab202899, the same antibody clone in a different buffer formulation.

ATP6V0D1/P39 was immunoprecipitated from 1mg of MCF-7 (Human breast adenocarcinoma cell line) whole cell lysate with ab202899 at 1/50 dilution. Western blot was performed from the immunoprecipitate using ab202899 at 1/5000 dilution. Anti-Rabbit IgG (HRP), specific to the non-reduced form of IgG, was used as secondary antibody at 1/1500 dilution. Lane 1 : Input MCF-7 whole cell lysate (10 μg). Lane 2 : MCF-7 whole cell lysate following precipitation. Lane 3 : Rabbit monoclonal IgG (ab172730) instead of ab202899 in MCF-7 whole cell lysate.

Blocking and dilution buffer : 5% NFDM/TBST.

All lanes:

Immunoprecipitation - Anti-ATP6V0D1/P39 antibody [EPR18320-38] (<a href='/en-us/products/primary-antibodies/atp6v0d1-p39-antibody-epr18320-38-ab202899'>ab202899</a>)

Predicted band size: 40 kDa

Observed band size: 40 kDa

false

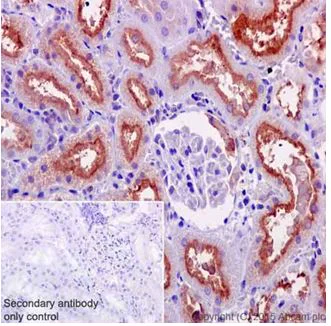
Immunohistochemistry (Formalin/PFA-fixed paraffin-embedded sections) - Anti-ATP6V0D1/P39 antibody [EPR18320-38] - BSA and Azide free (AB251387)
  • IHC-P

Supplier Data

Immunohistochemistry (Formalin/PFA-fixed paraffin-embedded sections) - Anti-ATP6V0D1/P39 antibody [EPR18320-38] - BSA and Azide free (AB251387)

This data was developed using ab202899, the same antibody clone in a different buffer formulation.

Immunohistochemical analysis of paraffin-embedded Mouse kidney tissue labeling ATP6V0D1/P39 with ab202899 at 1/250 dilution followed by Goat Anti-Rabbit IgG H&L (HRP) (ab97051) at 1/500 dilution. Cytoplasmic staining on Mouse kidney tissue is observed. Counter stained with Hematoxylin.
Negative control : Used PBS instead of primary antibody, secondary antibody is Goat Anti-Rabbit IgG H&L (HRP) (ab97051).

Perform heat mediated antigen retrieval with Tris/EDTA buffer pH 9.0 before commencing with IHC staining protocol.

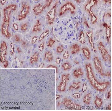
Immunohistochemistry (Formalin/PFA-fixed paraffin-embedded sections) - Anti-ATP6V0D1/P39 antibody [EPR18320-38] - BSA and Azide free (AB251387)
  • IHC-P

Supplier Data

Immunohistochemistry (Formalin/PFA-fixed paraffin-embedded sections) - Anti-ATP6V0D1/P39 antibody [EPR18320-38] - BSA and Azide free (AB251387)

This data was developed using ab202899, the same antibody clone in a different buffer formulation.

Immunohistochemical analysis of paraffin-embedded Rat kidney tissue labeling ATP6V0D1/P39 with ab202899 at 1/250 dilution followed by Goat Anti-Rabbit IgG H&L (HRP) (ab97051) at 1/500 dilution. Cytoplasmic staining on Rat kidney tissue is observed. Counter stained with Hematoxylin.
Negative control : Used PBS instead of primary antibody, secondary antibody is Goat Anti-Rabbit IgG H&L (HRP) (ab97051).

Perform heat mediated antigen retrieval with Tris/EDTA buffer pH 9.0 before commencing with IHC staining protocol.

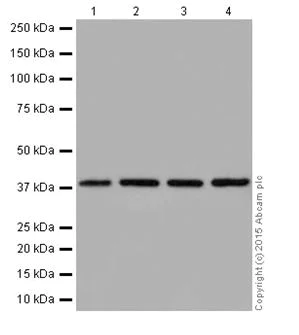
Western blot - Anti-ATP6V0D1/P39 antibody [EPR18320-38] - BSA and Azide free (AB251387)
  • WB

Supplier Data

Western blot - Anti-ATP6V0D1/P39 antibody [EPR18320-38] - BSA and Azide free (AB251387)

This data was developed using ab202899, the same antibody clone in a different buffer formulation.

Blocking and dilution buffer : 5% NFDM/TBST.

All lanes:

Western blot - Anti-ATP6V0D1/P39 antibody [EPR18320-38] (<a href='/en-us/products/primary-antibodies/atp6v0d1-p39-antibody-epr18320-38-ab202899'>ab202899</a>) at 1/10000 dilution

Lane 1:

Human fetal kidney at 20 µg

Lane 2:

HeLa (Human epithelial cells from cervix adenocarcinoma) at 20 µg

Lane 3:

MCF-7 (Human breast adenocarcinoma cell line) at 20 µg

Lane 4:

A431 (Human epidermoid carcinoma) at 20 µg

Secondary

Lanes 1 - 4:

Goat Anti-Rabbit IgG, (H+L), Peroxidase conjugated at 1/50000 dilution

Lanes 1 - 4:

Western blot - Goat Anti-Rabbit IgG H&L (HRP) (<a href='/en-us/products/secondary-antibodies/goat-rabbit-igg-h-l-hrp-ab97051'>ab97051</a>) at 1/50000 dilution

Predicted band size: 40 kDa

Observed band size: 40 kDa

false

Exposure time: 1min

Western blot - Anti-ATP6V0D1/P39 antibody [EPR18320-38] - BSA and Azide free (AB251387)
  • WB

Supplier Data

Western blot - Anti-ATP6V0D1/P39 antibody [EPR18320-38] - BSA and Azide free (AB251387)

This data was developed using ab202899, the same antibody clone in a different buffer formulation.

Blocking and dilution buffer : 5% NFDM/TBST.

All lanes:

Western blot - Anti-ATP6V0D1/P39 antibody [EPR18320-38] (<a href='/en-us/products/primary-antibodies/atp6v0d1-p39-antibody-epr18320-38-ab202899'>ab202899</a>) at 1/2000 dilution

All lanes:

Human fetal brain at 10 µg

Secondary

All lanes:

Anti-Rabbit IgG (HRP), specific to the non-reduced form of IgG at 1/1000 dilution

Predicted band size: 40 kDa

Observed band size: 40 kDa

false

Exposure time: 5s

Western blot - Anti-ATP6V0D1/P39 antibody [EPR18320-38] - BSA and Azide free (AB251387)
  • WB

Supplier Data

Western blot - Anti-ATP6V0D1/P39 antibody [EPR18320-38] - BSA and Azide free (AB251387)

This data was developed using ab202899, the same antibody clone in a different buffer formulation.

Blocking and dilution buffer : 5% NFDM/TBST.

All lanes:

Western blot - Anti-ATP6V0D1/P39 antibody [EPR18320-38] (<a href='/en-us/products/primary-antibodies/atp6v0d1-p39-antibody-epr18320-38-ab202899'>ab202899</a>) at 1/2000 dilution

Lane 1:

Mouse kidney at 10 µg

Lane 2:

Mouse spleen at 10 µg

Lane 3:

Rat spleen at 10 µg

Lane 4:

C6 (Rat glial tumor cells) at 10 µg

Lane 5:

PC-12 (Rat adrenal gland pheochromocytoma) at 10 µg

Lane 6:

NIH/3T3 (mouse embryo fibroblast cells) at 10 µg

Secondary

All lanes:

Goat Anti-Rabbit IgG, (H+L), Peroxidase conjugated (<a href='/en-us/products/secondary-antibodies/goat-rabbit-igg-h-l-hrp-ab97051'>ab97051</a>) at 1/50000 dilution

Predicted band size: 40 kDa

Observed band size: 40 kDa

false

Exposure time: 5s

Key facts

Host species

Rabbit

Clonality

Monoclonal

Clone number

EPR18320-38

Isotype

IgG

Carrier free

Yes

Reacts with

Mouse, Rat, Human

Applications

WB, ICC/IF, IHC-P, Flow Cyt (Intra), IP

applications

Immunogen

The exact immunogen used to generate this antibody is proprietary information.

Reactivity data

{ "title": "Reactivity Data", "filters": { "stats": ["", "Species", "Dilution Info", "Notes"], "tabs": { "all-applications": {"fullname" : "All Applications", "shortname": "All Applications"}, "ICCIF" : {"fullname" : "Immunocytochemistry/ Immunofluorescence", "shortname":"ICC/IF"}, "IP" : {"fullname" : "Immunoprecipitation", "shortname":"IP"}, "WB" : {"fullname" : "Western blot", "shortname":"WB"}, "FlowCytIntra" : {"fullname" : "Flow Cytometry (Intracellular)", "shortname":"Flow Cyt (Intra)"}, "IHCP" : {"fullname" : "Immunohistochemistry (Formalin/PFA-fixed paraffin-embedded sections)", "shortname":"IHC-P"} }, "product-promise": { "all": "all", "testedAndGuaranteed": "tested", "guaranteed": "expected", "predicted": "predicted", "notRecommended": "not-recommended" } }, "values": { "Human": { "ICCIF-species-checked": "testedAndGuaranteed", "ICCIF-species-dilution-info": "", "ICCIF-species-notes": "<p></p>", "IP-species-checked": "testedAndGuaranteed", "IP-species-dilution-info": "", "IP-species-notes": "<p></p>", "WB-species-checked": "testedAndGuaranteed", "WB-species-dilution-info": "", "WB-species-notes": "<p></p>", "FlowCytIntra-species-checked": "testedAndGuaranteed", "FlowCytIntra-species-dilution-info": "", "FlowCytIntra-species-notes": "<p></p>", "IHCP-species-checked": "testedAndGuaranteed", "IHCP-species-dilution-info": "", "IHCP-species-notes": "<p></p>" }, "Mouse": { "ICCIF-species-checked": "guaranteed", "ICCIF-species-dilution-info": "", "ICCIF-species-notes": "", "IP-species-checked": "guaranteed", "IP-species-dilution-info": "", "IP-species-notes": "", "WB-species-checked": "testedAndGuaranteed", "WB-species-dilution-info": "", "WB-species-notes": "<p></p>", "FlowCytIntra-species-checked": "guaranteed", "FlowCytIntra-species-dilution-info": "", "FlowCytIntra-species-notes": "", "IHCP-species-checked": "testedAndGuaranteed", "IHCP-species-dilution-info": "", "IHCP-species-notes": "<p></p>" }, "Rat": { "ICCIF-species-checked": "guaranteed", "ICCIF-species-dilution-info": "", "ICCIF-species-notes": "", "IP-species-checked": "guaranteed", "IP-species-dilution-info": "", "IP-species-notes": "", "WB-species-checked": "testedAndGuaranteed", "WB-species-dilution-info": "", "WB-species-notes": "<p></p>", "FlowCytIntra-species-checked": "guaranteed", "FlowCytIntra-species-dilution-info": "", "FlowCytIntra-species-notes": "", "IHCP-species-checked": "testedAndGuaranteed", "IHCP-species-dilution-info": "", "IHCP-species-notes": "<p></p>" } } }

Product details

ab251387 is the carrier-free version of ab202899.

Patented technology
Our RabMAb® technology is a patented hybridoma-based technology for making rabbit monoclonal antibodies. For details on our patents, please refer to RabMAb® patents.

What are the advantages of a recombinant monoclonal antibody?
This product is a recombinant monoclonal antibody, which offers several advantages including:

  • - High batch-to-batch consistency and reproducibility
  • - Improved sensitivity and specificity
  • - Long-term security of supply
  • - Animal-free batch production

For more information, read more on recombinant antibodies.

Conjugation ready
Our carrier-free antibodies are typically supplied in a PBS-only formulation, purified and free of BSA, sodium azide and glycerol. This conjugation-ready format is designed for use with fluorochromes, metal isotopes, oligonucleotides, and enzymes, which makes them ideal for antibody labelling, functional and cell-based assays, flow-based assays (e.g. mass cytometry) and Multiplex Imaging applications.

Use our conjugation kits for antibody conjugates that are ready-to-use in as little as 20 minutes with 1 minute hands-on-time and 100% antibody recovery: available for fluorescent dyes, HRP, biotin and gold.

Compatibility
This product is compatible with the Maxpar® Antibody Labeling Kit from Fluidigm, without the need for antibody preparation. Maxpar® is a trademark of Fluidigm Canada Inc.

Properties and storage information

Form
Liquid
Purification technique
Affinity purification Protein A
Storage buffer
pH: 7.2 - 7.4 Constituents: PBS
Shipped at conditions
Blue Ice
Appropriate short-term storage conditions
+4°C
Appropriate long-term storage conditions
+4°C
Storage information
Do Not Freeze

Supplementary information

This supplementary information is collated from multiple sources and compiled automatically.

ATP6V0D1 also known as P39 is a subunit of the V0 domain of the vacuolar ATPase (V-ATPase) complex. This protein has an approximate mass of 39 kDa. ATP6V0D1 is broadly expressed in various tissues with higher levels in metabolically active cells such as kidney and liver cells. The V-ATPase complex is essential for acidifying intracellular compartments which aids in numerous cellular processes including protein degradation and receptor-mediated endocytosis.
Biological function summary

ATP6V0D1 impacts the acidification necessary for intracellular processes by being a component of the V-ATPase complex. This complex functions as a proton pump moving protons across membranes to regulate pH in cellular compartments like lysosomes and endosomes. Proper function of V-ATPase and thereby of ATP6V0D1 is important for cellular homeostasis and energy metabolism. Disruption of these processes could impair critical functions such as protein degradation and nutrient processing.

Pathways

ATP6V0D1 plays roles in key cellular pathways such as the glucose metabolism pathway and protein processing in the endoplasmic reticulum. In these pathways ATP6V0D1 works closely with other proteins like ATP6V1 subunits within the V-ATPase complex. Its involvement in these pathways highlights not only its importance in cellular energy balance but also in maintaining the structural integrity of cells under varying metabolic conditions.

ATP6V0D1 is linked to conditions such as osteopetrosis and renal tubular acidosis. These disorders relate to the malfunction of acidification in cells where ATP6V0D1 expression is important highlighting the connection between disrupted ATP6V0D1 function and impaired cellular processes. Proteins like ATP6V0A1 another subunit of the V-ATPase complex also play a role in these conditions emphasizing the need for functional cooperation among these proteins to maintain normal physiological states.

Product protocols

For this product, it's our understanding that no specific protocols are required. You can visit:

Target data

Subunit of the V0 complex of vacuolar(H+)-ATPase (V-ATPase), a multisubunit enzyme composed of a peripheral complex (V1) that hydrolyzes ATP and a membrane integral complex (V0) that translocates protons (PubMed : 28296633, PubMed : 30374053, PubMed : 33065002). V-ATPase is responsible for acidifying and maintaining the pH of intracellular compartments and in some cell types, is targeted to the plasma membrane, where it is responsible for acidifying the extracellular environment (PubMed : 30374053). May play a role in coupling of proton transport and ATP hydrolysis (By similarity). In aerobic conditions, involved in intracellular iron homeostasis, thus triggering the activity of Fe(2+) prolyl hydroxylase (PHD) enzymes, and leading to HIF1A hydroxylation and subsequent proteasomal degradation (PubMed : 28296633). May play a role in cilium biogenesis through regulation of the transport and the localization of proteins to the cilium (By similarity).
See full target information ATP6V0D1

Publications (1)

Recent publications for all applications. Explore the full list and refine your search

Journal of nanobiotechnology 22:800 PubMed39731111

2024

Role of PCBP2 in regulating nanovesicles loaded with curcumin to mitigate neuroferroptosis in neural damage caused by heat stroke.

Applications

Unspecified application

Species

Unspecified reactive species

Fei Guo,Yizhan Wu,Guangjun Wang,Jiangwei Liu
View all publications

Product promise

We are committed to supporting your work with high-quality reagents, and we're here for you every step of the way. In the unlikely event that one of our products does not perform as expected, you're protected by our Product Promise.
For full details, please see our Terms & Conditions

Please note: All products are 'FOR RESEARCH USE ONLY. NOT FOR USE IN DIAGNOSTIC OR THERAPEUTIC PROCEDURES'.

For licensing inquiries, please contact partnerships@abcam.com