JavaScript is disabled in your browser. Please enable JavaScript to view this website.
AB251266

Anti-ATP6V1A antibody [EPR19271] - BSA and Azide free

Be the first to review this product! Submit a review

|

(0 Publication)

Rabbit Recombinant Monoclonal ATP6V1A antibody. Carrier free. Suitable for IP, WB, IHC-P and reacts with Human, Mouse, Rat samples.

View Alternative Names

ATP6A1, ATP6V1A1, VPP2, ATP6V1A, V-type proton ATPase catalytic subunit A, V-ATPase subunit A, V-ATPase 69 kDa subunit, Vacuolar ATPase isoform VA68, Vacuolar proton pump subunit alpha

9 Images
Immunohistochemistry (Formalin/PFA-fixed paraffin-embedded sections) - Anti-ATP6V1A antibody [EPR19271] - BSA and Azide free (AB251266)
  • IHC-P

Supplier Data

Immunohistochemistry (Formalin/PFA-fixed paraffin-embedded sections) - Anti-ATP6V1A antibody [EPR19271] - BSA and Azide free (AB251266)

This data was developed using ab199325, the same antibody clone in a different buffer formulation.

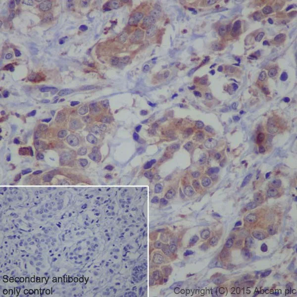
Immunohistochemical analysis of paraffin-embedded Human breast cancer tissue labeling ATP6V1A with ab199325 at 1/500 dilution, followed by Goat Anti-Rabbit IgG H&L (HRP) (ab97051) at 1/500 dilution. Cytoplasm staining on cancer cells of the breast is observed. Counter stained with Hematoxylin.

Secondary antibody only control : Used PBS instead of primary antibody, secondary antibody is Goat Anti-Rabbit IgG H&L (HRP) (ab97051) at 1/500 dilution.

Perform heat mediated antigen retrieval with Tris/EDTA buffer pH 9.0 before commencing with IHC staining protocol.

Immunohistochemistry (Formalin/PFA-fixed paraffin-embedded sections) - Anti-ATP6V1A antibody [EPR19271] - BSA and Azide free (AB251266)
  • IHC-P

Supplier Data

Immunohistochemistry (Formalin/PFA-fixed paraffin-embedded sections) - Anti-ATP6V1A antibody [EPR19271] - BSA and Azide free (AB251266)

This data was developed using ab199325, the same antibody clone in a different buffer formulation.

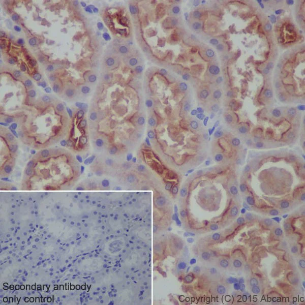
Immunohistochemical analysis of paraffin-embedded Human kidney tissue labeling ATP6V1A with ab199325 at 1/500 dilution, followed by Goat Anti-Rabbit IgG H&L (HRP) (ab97051) at 1/500 dilution. Cytoplasm staining on kidney tubules of normal Human kidney is observed. Counter stained with Hematoxylin.

Secondary antibody only control : Used PBS instead of primary antibody, secondary antibody is Goat Anti-Rabbit IgG H&L (HRP) (ab97051) at 1/500 dilution.

Perform heat mediated antigen retrieval with Tris/EDTA buffer pH 9.0 before commencing with IHC staining protocol.

Immunoprecipitation - Anti-ATP6V1A antibody [EPR19271] - BSA and Azide free (AB251266)
  • IP

Supplier Data

Immunoprecipitation - Anti-ATP6V1A antibody [EPR19271] - BSA and Azide free (AB251266)

This data was developed using ab199325, the same antibody clone in a different buffer formulation.

ATP6V1A was immunoprecipitated from 1mg of HeLa (Human epithelial cell line from cervix adenocarcinoma) whole cell lysate with ab199325 at 1/50 dilution. Western blot was performed from the immunoprecipitate using ab199325 at 1/1000 dilution. VeriBlot for IP Detection Reagent (HRP) (ab131366), was used for detection at 1/10000 dilution.
Lane 1 : HeLa whole cell lysate 10μg (Input).
Lane 2 : ab199325 IP in HeLa whole cell lysate.
Lane 3 : Rabbit monoclonal IgG (ab172730) instead of ab199325 in HeLa whole cell lysate.
Blocking and dilution buffer and concentration : 5% NFDM/TBST.
Exposure time : 3 seconds.

All lanes:

Immunoprecipitation - Anti-ATP6V1A antibody [EPR19271] (<a href='/en-us/products/primary-antibodies/atp6v1a-antibody-epr19271-ab199325'>ab199325</a>)

Predicted band size: 68 kDa

false

Immunohistochemistry (Formalin/PFA-fixed paraffin-embedded sections) - Anti-ATP6V1A antibody [EPR19271] - BSA and Azide free (AB251266)
  • IHC-P

Supplier Data

Immunohistochemistry (Formalin/PFA-fixed paraffin-embedded sections) - Anti-ATP6V1A antibody [EPR19271] - BSA and Azide free (AB251266)

This data was developed using ab199325, the same antibody clone in a different buffer formulation.

Immunohistochemical analysis of paraffin-embedded mouse cerebrum tissue labeling ATP6V1A with ab199325 at 1/500 dilution, followed by Goat Anti-Rabbit IgG H&L (HRP) (ab97051) at 1/500 dilution. Cytoplasm staining on neurons of the mouse cerebrum is observed. Counter stained with Hematoxylin.

Secondary antibody only control : Used PBS instead of primary antibody, secondary antibody is Goat Anti-Rabbit IgG H&L (HRP) (ab97051) at 1/500 dilution.

Perform heat mediated antigen retrieval with Tris/EDTA buffer pH 9.0 before commencing with IHC staining protocol.

Immunohistochemistry (Formalin/PFA-fixed paraffin-embedded sections) - Anti-ATP6V1A antibody [EPR19271] - BSA and Azide free (AB251266)
  • IHC-P

Supplier Data

Immunohistochemistry (Formalin/PFA-fixed paraffin-embedded sections) - Anti-ATP6V1A antibody [EPR19271] - BSA and Azide free (AB251266)

This data was developed using ab199325, the same antibody clone in a different buffer formulation.

Immunohistochemical analysis of paraffin-embedded rat kidney tissue labeling ATP6V1A with ab199325 at 1/500 dilution, followed by Goat Anti-Rabbit IgG H&L (HRP) (ab97051) at 1/500 dilution. Cytoplasm staining on kidney tubules of the rat kidney is observed. Counter stained with Hematoxylin.

Secondary antibody only control : Used PBS instead of primary antibody, secondary antibody is Goat Anti-Rabbit IgG H&L (HRP) (ab97051) at 1/500 dilution.

Perform heat mediated antigen retrieval with Tris/EDTA buffer pH 9.0 before commencing with IHC staining protocol.

Western blot - Anti-ATP6V1A antibody [EPR19271] - BSA and Azide free (AB251266)
  • WB

Supplier Data

Western blot - Anti-ATP6V1A antibody [EPR19271] - BSA and Azide free (AB251266)

This data was developed using ab199325, the same antibody clone in a different buffer formulation.

Blocking and dilution buffer : 5% NFDM/TBST.

All lanes:

Western blot - Anti-ATP6V1A antibody [EPR19271] (<a href='/en-us/products/primary-antibodies/atp6v1a-antibody-epr19271-ab199325'>ab199325</a>) at 1/5000 dilution

Lane 1:

HeLa (Human epithelial cell line from cervix adenocarcinoma) whole cell lysate at 20 µg

Lane 2:

K562 (Human chronic myelogenous leukemia cell line from bone marrow) whole cell lysate at 20 µg

Lane 3:

HEK-293 (Human epithelial cell line from embryonic kidney) whole cell lysate at 20 µg

Secondary

All lanes:

Western blot - Goat Anti-Rabbit IgG H&L (HRP) (<a href='/en-us/products/secondary-antibodies/goat-rabbit-igg-h-l-hrp-ab97051'>ab97051</a>) at 1/100000 dilution

Predicted band size: 46 kDa,68 kDa

Observed band size: 46 kDa,68 kDa

false

Exposure time: 5s

Western blot - Anti-ATP6V1A antibody [EPR19271] - BSA and Azide free (AB251266)
  • WB

Supplier Data

Western blot - Anti-ATP6V1A antibody [EPR19271] - BSA and Azide free (AB251266)

This data was developed using ab199325, the same antibody clone in a different buffer formulation.

Blocking and dilution buffer : 5% NFDM/TBST.

Exposure times : Lanes 1-2 : 8 seconds; Lane 3 : 3 seconds.

All lanes:

Western blot - Anti-ATP6V1A antibody [EPR19271] (<a href='/en-us/products/primary-antibodies/atp6v1a-antibody-epr19271-ab199325'>ab199325</a>) at 1/2000 dilution

Lane 1:

Human fetal liver lysate at 10 µg

Lane 2:

Human fetal heart lysate at 10 µg

Lane 3:

Human fetal kidney lysate at 10 µg

Secondary

All lanes:

Goat Anti-Rabbit IgG Peroxidase Conjugate, specific to the non-reduced form of IgG at 1/10000 dilution

Predicted band size: 68 kDa

Observed band size: 68 kDa

false

Western blot - Anti-ATP6V1A antibody [EPR19271] - BSA and Azide free (AB251266)
  • WB

Supplier Data

Western blot - Anti-ATP6V1A antibody [EPR19271] - BSA and Azide free (AB251266)

This data was developed using ab199325, the same antibody clone in a different buffer formulation.

Blocking and dilution buffer : 5% NFDM/TBST.

Exposure times : Lanes 1-3 : 3 seconds; Lane 4 : 1 second.

All lanes:

Western blot - Anti-ATP6V1A antibody [EPR19271] (<a href='/en-us/products/primary-antibodies/atp6v1a-antibody-epr19271-ab199325'>ab199325</a>) at 1/2000 dilution

Lane 1:

C6 (Rat glial tumor cell line) whole cell lysate

Lane 2:

PC-12 (Rat adrenal gland pheochromocytoma cell line) whole cell lysate

Lane 3:

NIH/3T3 (Mouse embryonic fibroblast cell line) whole cell lysate

Lane 4:

RAW 264.7 (Mouse macrophage cell line transformed with Abelson murine leukemia virus) whole cell lysate

Secondary

All lanes:

Western blot - Goat Anti-Rabbit IgG H&L (HRP) (<a href='/en-us/products/secondary-antibodies/goat-rabbit-igg-h-l-hrp-ab97051'>ab97051</a>) at 1/100000 dilution

Predicted band size: 68 kDa

Observed band size: 68 kDa

false

Western blot - Anti-ATP6V1A antibody [EPR19271] - BSA and Azide free (AB251266)
  • WB

Supplier Data

Western blot - Anti-ATP6V1A antibody [EPR19271] - BSA and Azide free (AB251266)

This data was developed using ab199325, the same antibody clone in a different buffer formulation.

Blocking and dilution buffer : 5% NFDM/TBST.

Exposure time : Lanes 1-2 : 1 second; Lane 3 : 3 seconds; Lanes 4-5 : 1 second; Lane 6 : 3 seconds.

All lanes:

Western blot - Anti-ATP6V1A antibody [EPR19271] (<a href='/en-us/products/primary-antibodies/atp6v1a-antibody-epr19271-ab199325'>ab199325</a>) at 1/2000 dilution

Lane 1:

Mouse brain lysate at 10 µg

Lane 2:

Mouse kidney lysate at 10 µg

Lane 3:

Mouse spleen lysate at 10 µg

Lane 4:

Rat brain lysate at 10 µg

Lane 5:

Rat kidney lysate at 10 µg

Lane 6:

Rat spleen lysate at 10 µg

Secondary

All lanes:

Western blot - Goat Anti-Rabbit IgG H&L (HRP) (<a href='/en-us/products/secondary-antibodies/goat-rabbit-igg-h-l-hrp-ab97051'>ab97051</a>) at 1/100000 dilution

Predicted band size: 68 kDa

Observed band size: 68 kDa

false

Key facts

Host species

Rabbit

Clonality

Monoclonal

Clone number

EPR19271

Isotype

IgG

Carrier free

Yes

Reacts with

Mouse, Rat, Human

Applications

WB, IHC-P, IP

applications

Immunogen

The exact immunogen used to generate this antibody is proprietary information.

Reactivity data

{ "title": "Reactivity Data", "filters": { "stats": ["", "Species", "Dilution Info", "Notes"], "tabs": { "all-applications": {"fullname" : "All Applications", "shortname": "All Applications"}, "IP" : {"fullname" : "Immunoprecipitation", "shortname":"IP"}, "WB" : {"fullname" : "Western blot", "shortname":"WB"}, "IHCP" : {"fullname" : "Immunohistochemistry (Formalin/PFA-fixed paraffin-embedded sections)", "shortname":"IHC-P"} }, "product-promise": { "all": "all", "testedAndGuaranteed": "tested", "guaranteed": "expected", "predicted": "predicted", "notRecommended": "not-recommended" } }, "values": { "Human": { "IP-species-checked": "testedAndGuaranteed", "IP-species-dilution-info": "", "IP-species-notes": "<p></p>", "WB-species-checked": "testedAndGuaranteed", "WB-species-dilution-info": "", "WB-species-notes": "<p></p>", "IHCP-species-checked": "testedAndGuaranteed", "IHCP-species-dilution-info": "", "IHCP-species-notes": "<p></p>" }, "Mouse": { "IP-species-checked": "guaranteed", "IP-species-dilution-info": "", "IP-species-notes": "", "WB-species-checked": "testedAndGuaranteed", "WB-species-dilution-info": "", "WB-species-notes": "<p></p>", "IHCP-species-checked": "testedAndGuaranteed", "IHCP-species-dilution-info": "", "IHCP-species-notes": "<p></p>" }, "Rat": { "IP-species-checked": "guaranteed", "IP-species-dilution-info": "", "IP-species-notes": "", "WB-species-checked": "testedAndGuaranteed", "WB-species-dilution-info": "", "WB-species-notes": "<p></p>", "IHCP-species-checked": "testedAndGuaranteed", "IHCP-species-dilution-info": "", "IHCP-species-notes": "<p></p>" } } }

Product details

ab251266 is the carrier-free version of ab199325.

Patented technology
Our RabMAb® technology is a patented hybridoma-based technology for making rabbit monoclonal antibodies. For details on our patents, please refer to RabMAb® patents.

What are the advantages of a recombinant monoclonal antibody?
This product is a recombinant monoclonal antibody, which offers several advantages including:

  • - High batch-to-batch consistency and reproducibility
  • - Improved sensitivity and specificity
  • - Long-term security of supply
  • - Animal-free batch production

For more information, read more on recombinant antibodies.

Conjugation ready
Our carrier-free antibodies are typically supplied in a PBS-only formulation, purified and free of BSA, sodium azide and glycerol. This conjugation-ready format is designed for use with fluorochromes, metal isotopes, oligonucleotides, and enzymes, which makes them ideal for antibody labelling, functional and cell-based assays, flow-based assays (e.g. mass cytometry) and Multiplex Imaging applications.

Use our conjugation kits for antibody conjugates that are ready-to-use in as little as 20 minutes with 1 minute hands-on-time and 100% antibody recovery: available for fluorescent dyes, HRP, biotin and gold.

Compatibility
This product is compatible with the Maxpar® Antibody Labeling Kit from Fluidigm, without the need for antibody preparation. Maxpar® is a trademark of Fluidigm Canada Inc.

Properties and storage information

Form
Liquid
Storage buffer
pH: 7.2 - 7.4 Constituents: PBS
Shipped at conditions
Blue Ice
Appropriate short-term storage conditions
+4°C
Appropriate long-term storage conditions
+4°C
Storage information
Do Not Freeze

Supplementary information

This supplementary information is collated from multiple sources and compiled automatically.

ATP6V1A also known as V-ATPase subunit A is a component of the V1 domain of the vacuolar ATPase (V-ATPase) which is a large enzyme responsible for acidifying intracellular compartments. This protein has a mass of approximately 70 kDa and operates in cellular processes by hydrolyzing ATP to drive protons across membranes. ATP6V1A displays significant expression in several cell types including neurons epithelial cells and osteoclasts. The protein enables V-ATPase functionality important for maintaining the pH balance inside cells and organelles facilitating various physiological processes.
Biological function summary

ATP6V1A is an integral part of the V1 domain of the V-ATPase complex a multi-subunit assembly critical for the acidification of intracellular organelles such as lysosomes endosomes and the Golgi apparatus. This activity supports processes like protein degradation receptor-mediated endocytosis and membrane trafficking. The V-ATPase containing ATP6V1A uses energy from ATP hydrolysis to pump protons which is essential for cellular homeostasis and ion transport.

Pathways

ATP6V1A plays an important role in the endocytosis and autophagy pathways. These pathways depend on the acidification of intracellular compartments enabling processes such as the breakdown and recycling of cellular components. ATP6V1A is related to proteins like V-ATPase subunit c (ATP6V1C) and other subunits that form the V-ATPase enzyme. These protein interactions allow the modulation and execution of cellular transport and hormone regulation pathways.

Mutations or dysregulation of ATP6V1A have been linked to renal tubular acidosis and osteoporosis where improper acidification impacts bone resorption and kidney function. The protein connections include its interaction with other V-ATPase subunits like ATP6V0A3 which can also result in osteopetrosis when defective. Such conditions demonstrate how ATP6V1A's role in acidification processes is important for normal physiological function and how its dysfunction leads to disease.

Product protocols

For this product, it's our understanding that no specific protocols are required. You can visit:

Target data

Catalytic subunit of the V1 complex of vacuolar(H+)-ATPase (V-ATPase), a multisubunit enzyme composed of a peripheral complex (V1) that hydrolyzes ATP and a membrane integral complex (V0) that translocates protons (PubMed : 8463241). V-ATPase is responsible for acidifying and maintaining the pH of intracellular compartments and in some cell types, is targeted to the plasma membrane, where it is responsible for acidifying the extracellular environment (PubMed : 32001091). In aerobic conditions, involved in intracellular iron homeostasis, thus triggering the activity of Fe(2+) prolyl hydroxylase (PHD) enzymes, and leading to HIF1A hydroxylation and subsequent proteasomal degradation (PubMed : 28296633). May play a role in neurite development and synaptic connectivity (PubMed : 29668857).. (Microbial infection) Plays an important role in virion uncoating during Rabies virus replication after membrane fusion. Specifically, participates in the dissociation of incoming viral matrix M proteins uncoating through direct interaction.
See full target information ATP6V1A

Product promise

We are committed to supporting your work with high-quality reagents, and we're here for you every step of the way. In the unlikely event that one of our products does not perform as expected, you're protected by our Product Promise.
For full details, please see our Terms & Conditions

Please note: All products are 'FOR RESEARCH USE ONLY. NOT FOR USE IN DIAGNOSTIC OR THERAPEUTIC PROCEDURES'.

For licensing inquiries, please contact partnerships@abcam.com