JavaScript is disabled in your browser. Please enable JavaScript to view this website.
AB251145

Anti-ATP6V1B1 antibody [EPR16400] - BSA and Azide free

Be the first to review this product! Submit a review

|

(0 Publication)

Rabbit Recombinant Monoclonal ATP6V1B1 antibody. Carrier free. Suitable for WB, IHC-P and reacts with Human, Mouse, Rat samples.

View Alternative Names

ATP6B1, VATB, VPP3, ATP6V1B1, V-ATPase subunit B 1, Endomembrane proton pump 58 kDa subunit, Vacuolar proton pump subunit B 1

6 Images
Immunohistochemistry (Formalin/PFA-fixed paraffin-embedded sections) - Anti-ATP6V1B1 antibody [EPR16400] - BSA and Azide free (AB251145)
  • IHC-P

Unknown

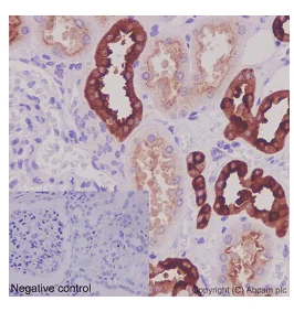
Immunohistochemistry (Formalin/PFA-fixed paraffin-embedded sections) - Anti-ATP6V1B1 antibody [EPR16400] - BSA and Azide free (AB251145)

This data was developed using ab192612, the same antibody clone in a different buffer formulation.

Immunohistochemical analysis of paraffin-embedded Human kidney tissue labeling ATP6V1B1 with ab192612 at 1/500 dilution (1.4 μg/ml) followed by pre-diluted HRP Polymer for Rabbit/Mouse IgG secondary antibody and counter-stained with Hematoxylin. (inset : negative control).

Perform heat mediated antigen retrieval with Tris/EDTA buffer pH 9.0 before commencing with IHC staining protocol.

Immunohistochemistry (Formalin/PFA-fixed paraffin-embedded sections) - Anti-ATP6V1B1 antibody [EPR16400] - BSA and Azide free (AB251145)
  • IHC-P

Supplier Data

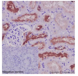
Immunohistochemistry (Formalin/PFA-fixed paraffin-embedded sections) - Anti-ATP6V1B1 antibody [EPR16400] - BSA and Azide free (AB251145)

This data was developed using ab192612, the same antibody clone in a different buffer formulation.

Immunohistochemical analysis of paraffin-embedded Mouse kidney tissue labeling ATP6V1B1 with ab192612 at 1/500 dilution (1.4 μg/ml) followed by pre-diluted HRP Polymer for Rabbit/Mouse IgG secondary antibody and counter-stained with Hematoxylin. (inset : negative control).

Perform heat mediated antigen retrieval with Tris/EDTA buffer pH 9.0 before commencing with IHC staining protocol.

Immunohistochemistry (Formalin/PFA-fixed paraffin-embedded sections) - Anti-ATP6V1B1 antibody [EPR16400] - BSA and Azide free (AB251145)
  • IHC-P

Supplier Data

Immunohistochemistry (Formalin/PFA-fixed paraffin-embedded sections) - Anti-ATP6V1B1 antibody [EPR16400] - BSA and Azide free (AB251145)

This data was developed using ab192612, the same antibody clone in a different buffer formulation.

Immunohistochemical analysis of paraffin-embedded Rat kidney tissue labeling ATP6V1B1 with ab192612 at 1/500 dilution (1.4 μg/ml) followed by pre-diluted HRP Polymer for Rabbit/Mouse IgG secondary antibody and counter-stained with Hematoxylin. (inset : negative control).

Perform heat mediated antigen retrieval with Tris/EDTA buffer pH 9.0 before commencing with IHC staining protocol.

Western blot - Anti-ATP6V1B1 antibody [EPR16400] - BSA and Azide free (AB251145)
  • WB

Supplier Data

Western blot - Anti-ATP6V1B1 antibody [EPR16400] - BSA and Azide free (AB251145)

This data was developed using ab192612, the same antibody clone in a different buffer formulation.

All lanes:

Western blot - Anti-ATP6V1B1 antibody [EPR16400] (<a href='/en-us/products/primary-antibodies/atp6v1b1-antibody-epr16400-ab192612'>ab192612</a>) at 1/1000 dilution

All lanes:

JAR cell lysate at 20 µg

Secondary

All lanes:

Goat Anti-Rabbit IgG, (H+L), Peroxidase conjugate at 1/1000 dilution

Predicted band size: 57 kDa,79 kDa

false

Western blot - Anti-ATP6V1B1 antibody [EPR16400] - BSA and Azide free (AB251145)
  • WB

Supplier Data

Western blot - Anti-ATP6V1B1 antibody [EPR16400] - BSA and Azide free (AB251145)

This data was developed using ab192612, the same antibody clone in a different buffer formulation.

All lanes:

Western blot - Anti-ATP6V1B1 antibody [EPR16400] (<a href='/en-us/products/primary-antibodies/atp6v1b1-antibody-epr16400-ab192612'>ab192612</a>) at 1/10000 dilution

All lanes:

Human fetal kidney lysate at 20 µg

Secondary

All lanes:

Goat Anti-Rabbit IgG, (H+L), Peroxidase conjugate at 1/1000 dilution

Predicted band size: 57 kDa

false

Western blot - Anti-ATP6V1B1 antibody [EPR16400] - BSA and Azide free (AB251145)
  • WB

Supplier Data

Western blot - Anti-ATP6V1B1 antibody [EPR16400] - BSA and Azide free (AB251145)

This data was developed using ab192612, the same antibody clone in a different buffer formulation.

All lanes:

Western blot - Anti-ATP6V1B1 antibody [EPR16400] (<a href='/en-us/products/primary-antibodies/atp6v1b1-antibody-epr16400-ab192612'>ab192612</a>) at 1/1000 dilution

Lane 1:

Mouse kidney tissue lysate at 10 µg

Lane 2:

Mouse spleen tissue lysate at 10 µg

Lane 3:

Rat kidney tissue lysate at 10 µg

Secondary

All lanes:

Goat Anti-Rabbit IgG, (H+L), Peroxidase conjugate at 1/1000 dilution

Predicted band size: 57 kDa

false

Key facts

Host species

Rabbit

Clonality

Monoclonal

Clone number

EPR16400

Isotype

IgG

Carrier free

Yes

Reacts with

Mouse, Rat, Human

Applications

IHC-P, WB

applications

Immunogen

The exact immunogen used to generate this antibody is proprietary information.

Reactivity data

{ "title": "Reactivity Data", "filters": { "stats": ["", "Species", "Dilution Info", "Notes"], "tabs": { "all-applications": {"fullname" : "All Applications", "shortname": "All Applications"}, "WB" : {"fullname" : "Western blot", "shortname":"WB"}, "IHCP" : {"fullname" : "Immunohistochemistry (Formalin/PFA-fixed paraffin-embedded sections)", "shortname":"IHC-P"} }, "product-promise": { "all": "all", "testedAndGuaranteed": "tested", "guaranteed": "expected", "predicted": "predicted", "notRecommended": "not-recommended" } }, "values": { "Human": { "WB-species-checked": "testedAndGuaranteed", "WB-species-dilution-info": "", "WB-species-notes": "<p></p>", "IHCP-species-checked": "testedAndGuaranteed", "IHCP-species-dilution-info": "", "IHCP-species-notes": "<p></p>" }, "Mouse": { "WB-species-checked": "testedAndGuaranteed", "WB-species-dilution-info": "", "WB-species-notes": "<p></p>", "IHCP-species-checked": "testedAndGuaranteed", "IHCP-species-dilution-info": "", "IHCP-species-notes": "<p></p>" }, "Rat": { "WB-species-checked": "testedAndGuaranteed", "WB-species-dilution-info": "", "WB-species-notes": "<p></p>", "IHCP-species-checked": "testedAndGuaranteed", "IHCP-species-dilution-info": "", "IHCP-species-notes": "<p></p>" } } }

Product details

ab251145 is the carrier-free version of ab192612.

Patented technology
Our RabMAb® technology is a patented hybridoma-based technology for making rabbit monoclonal antibodies. For details on our patents, please refer to RabMAb® patents.

What are the advantages of a recombinant monoclonal antibody?
This product is a recombinant monoclonal antibody, which offers several advantages including:

  • - High batch-to-batch consistency and reproducibility
  • - Improved sensitivity and specificity
  • - Long-term security of supply
  • - Animal-free batch production

For more information, read more on recombinant antibodies.

Conjugation ready
Our carrier-free antibodies are typically supplied in a PBS-only formulation, purified and free of BSA, sodium azide and glycerol. This conjugation-ready format is designed for use with fluorochromes, metal isotopes, oligonucleotides, and enzymes, which makes them ideal for antibody labelling, functional and cell-based assays, flow-based assays (e.g. mass cytometry) and Multiplex Imaging applications.

Use our conjugation kits for antibody conjugates that are ready-to-use in as little as 20 minutes with 1 minute hands-on-time and 100% antibody recovery: available for fluorescent dyes, HRP, biotin and gold.

Compatibility
This product is compatible with the Maxpar® Antibody Labeling Kit from Fluidigm, without the need for antibody preparation. Maxpar® is a trademark of Fluidigm Canada Inc.

Properties and storage information

Form
Liquid
Purification technique
Affinity purification Protein A
Storage buffer
pH: 7.2 - 7.4 Constituents: PBS
Shipped at conditions
Blue Ice
Appropriate short-term storage conditions
+4°C
Appropriate long-term storage conditions
+4°C
Storage information
Do Not Freeze

Supplementary information

This supplementary information is collated from multiple sources and compiled automatically.

ATP6V1B1 also known as V-type proton ATPase subunit B1 is an important component of the vacuolar ATPase (V-ATPase) complex. It plays an important role in the acidification of intracellular compartments by facilitating proton translocation across membranes. The molecular mass of ATP6V1B1 is approximately 58 kDa. ATP6V1B1 expresses prominently in the kidney specifically in the epithelial cells of the distal tubules and collecting ducts as well as in the inner ear.
Biological function summary

ATP6V1B1 is involved in cellular processes that require the maintenance of pH gradients across membranes. It forms part of the V-ATPase complex which consists of multiple subunits working together to pump protons into the vacuoles and other organelles effectuating an acidic environment. These acidic environments are important for protein sorting zymogen activation and receptor-mediated endocytosis.

Pathways

ATP6V1B1 contributes directly to the endocytic and lysosomal degradation pathways playing an essential role in cellular homeostasis. The protein interacts with other V-ATPase subunits such as ATP6V1E1 and ATP6V1C1 within these pathways to ensure the proper functioning of organelles. It also assists in maintaining the acidification essential for the processing and transport of molecules inside cells.

Mutations in the ATP6V1B1 gene associate strongly with distal renal tubular acidosis (dRTA) and sensorineural hearing loss. In dRTA disrupted acidification in the kidney impairs the body's ability to excrete acids or balance pH. Furthermore ATP6V1B1's interaction with proteins like ATP6V0A4 is significant as mutations in both proteins are linked to a similar disorder highlighting their role in maintaining renal and auditory function.

Product protocols

For this product, it's our understanding that no specific protocols are required. You can visit:

Target data

Non-catalytic subunit of the V1 complex of vacuolar(H+)-ATPase (V-ATPase), a multisubunit enzyme composed of a peripheral complex (V1) that hydrolyzes ATP and a membrane integral complex (V0) that translocates protons (PubMed : 16769747). V-ATPase is responsible for acidifying and maintaining the pH of intracellular compartments and in some cell types, is targeted to the plasma membrane, where it is responsible for acidifying the extracellular environment (PubMed : 32001091). Essential for the proper assembly and activity of V-ATPase (PubMed : 16769747). In renal intercalated cells, mediates secretion of protons (H+) into the urine thereby ensuring correct urinary acidification (PubMed : 16769747). Required for optimal olfactory function by mediating the acidification of the nasal olfactory epithelium (By similarity).
See full target information ATP6V1B1

Product promise

We are committed to supporting your work with high-quality reagents, and we're here for you every step of the way. In the unlikely event that one of our products does not perform as expected, you're protected by our Product Promise.
For full details, please see our Terms & Conditions

Please note: All products are 'FOR RESEARCH USE ONLY. NOT FOR USE IN DIAGNOSTIC OR THERAPEUTIC PROCEDURES'.

For licensing inquiries, please contact partnerships@abcam.com