JavaScript is disabled in your browser. Please enable JavaScript to view this website.
AB272594

Anti-ATP6V1C1 antibody

Be the first to review this product! Submit a review

|

(1 Publication)

Rabbit Polyclonal ATP6V1C1 antibody. Suitable for IHC-P, WB and reacts with Human, Mouse, Rat samples. Cited in 1 publication. Immunogen corresponding to Recombinant Fragment Protein within Human ATP6V1C1 aa 300 to C-terminus.

View Alternative Names

ATP6C, ATP6D, VATC, ATP6V1C1, V-type proton ATPase subunit C 1, V-ATPase subunit C 1, Vacuolar proton pump subunit C 1

6 Images
Immunohistochemistry (Formalin/PFA-fixed paraffin-embedded sections) - Anti-ATP6V1C1 antibody (AB272594)
  • IHC-P

Supplier Data

Immunohistochemistry (Formalin/PFA-fixed paraffin-embedded sections) - Anti-ATP6V1C1 antibody (AB272594)

Immunohistochemistry (Formalin/PFA-fixed paraffin-embedded sections) analysis of human cerebral cortex tissue labelling ATP6V1C1 with ab272594 at 1/200 dilution. Heat mediated antigen retrieval performed with citrate buffer pH 6 before commencing with IHC staining protocol.

Immunohistochemistry (Formalin/PFA-fixed paraffin-embedded sections) - Anti-ATP6V1C1 antibody (AB272594)
  • IHC-P

Supplier Data

Immunohistochemistry (Formalin/PFA-fixed paraffin-embedded sections) - Anti-ATP6V1C1 antibody (AB272594)

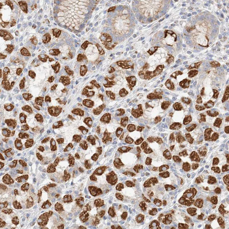
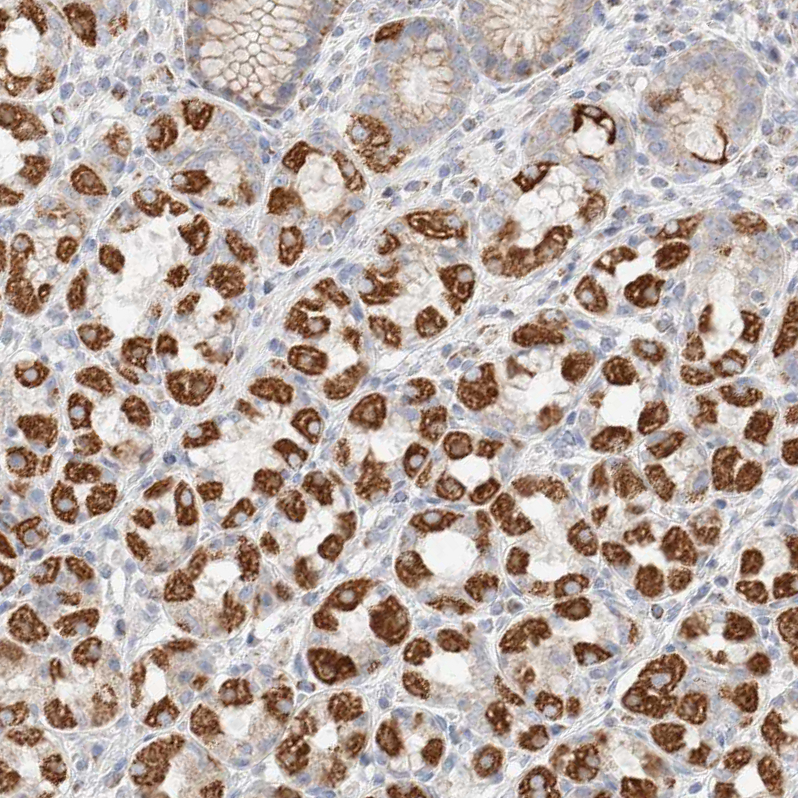
Immunohistochemistry (Formalin/PFA-fixed paraffin-embedded sections) analysis of human stomach tissue labelling ATP6V1C1 with ab272594 at 1/200 dilution. Heat mediated antigen retrieval performed with citrate buffer pH 6 before commencing with IHC staining protocol.

Immunohistochemistry (Formalin/PFA-fixed paraffin-embedded sections) - Anti-ATP6V1C1 antibody (AB272594)
  • IHC-P

Supplier Data

Immunohistochemistry (Formalin/PFA-fixed paraffin-embedded sections) - Anti-ATP6V1C1 antibody (AB272594)

Immunohistochemistry (Formalin/PFA-fixed paraffin-embedded sections) analysis of human cerebellum tissue labelling ATP6V1C1 with ab272594 at 1/200 dilution. Heat mediated antigen retrieval performed with citrate buffer pH 6 before commencing with IHC staining protocol.

Immunohistochemistry (Formalin/PFA-fixed paraffin-embedded sections) - Anti-ATP6V1C1 antibody (AB272594)
  • IHC-P

Supplier Data

Immunohistochemistry (Formalin/PFA-fixed paraffin-embedded sections) - Anti-ATP6V1C1 antibody (AB272594)

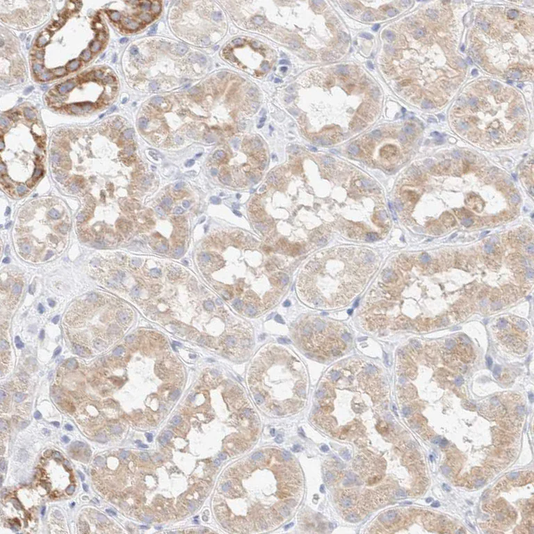
Immunohistochemistry (Formalin/PFA-fixed paraffin-embedded sections) analysis of human kidney tissue labelling ATP6V1C1 with ab272594 at 1/200 dilution. Heat mediated antigen retrieval performed with citrate buffer pH 6 before commencing with IHC staining protocol.

Western blot - Anti-ATP6V1C1 antibody (AB272594)
  • WB

Unknown

Western blot - Anti-ATP6V1C1 antibody (AB272594)

All lanes:

Western blot - Anti-ATP6V1C1 antibody (ab272594) at 0.4 µg/mL

All lanes:

A431 (Human epidermoid carcinoma cell line) cell lysate

Predicted band size: 44 kDa

false

Western blot - Anti-ATP6V1C1 antibody (AB272594)
  • WB

Unknown

Western blot - Anti-ATP6V1C1 antibody (AB272594)

All lanes:

Western blot - Anti-ATP6V1C1 antibody (ab272594) at 0.4 µg/mL

Lane 1:

NIH/3T3 (Mouse embryo fibroblast cell line) cell lysate

Lane 2:

NBT-II (Rat bladder carcinoma cell line) cell lysate

Predicted band size: 44 kDa

false

Key facts

Host species

Rabbit

Clonality

Polyclonal

Isotype

IgG

Carrier free

No

Reacts with

Mouse, Rat, Human

Applications

IHC-P, WB

applications

Immunogen

Recombinant Fragment Protein within Human ATP6V1C1 aa 300 to C-terminus. The exact immunogen used to generate this antibody is proprietary information.

P21283

Reactivity data

{ "title": "Reactivity Data", "filters": { "stats": ["", "Species", "Dilution Info", "Notes"], "tabs": { "all-applications": {"fullname" : "All Applications", "shortname": "All Applications"}, "IHCP" : {"fullname" : "Immunohistochemistry (Formalin/PFA-fixed paraffin-embedded sections)", "shortname":"IHC-P"}, "WB" : {"fullname" : "Western blot", "shortname":"WB"} }, "product-promise": { "all": "all", "testedAndGuaranteed": "tested", "guaranteed": "expected", "predicted": "predicted", "notRecommended": "not-recommended" } }, "values": { "Human": { "IHCP-species-checked": "testedAndGuaranteed", "IHCP-species-dilution-info": "1/200 - 1/500", "IHCP-species-notes": "<p></p> Perform heat-mediated antigen retrieval with citrate buffer pH 6 before commencing with IHC staining protocol.", "WB-species-checked": "testedAndGuaranteed", "WB-species-dilution-info": "0.04-0.4 µg/mL", "WB-species-notes": "<p></p>" }, "Mouse": { "IHCP-species-checked": "guaranteed", "IHCP-species-dilution-info": "", "IHCP-species-notes": "", "WB-species-checked": "testedAndGuaranteed", "WB-species-dilution-info": "0.04-0.4 µg/mL", "WB-species-notes": "<p></p>" }, "Rat": { "IHCP-species-checked": "guaranteed", "IHCP-species-dilution-info": "", "IHCP-species-notes": "", "WB-species-checked": "testedAndGuaranteed", "WB-species-dilution-info": "0.04-0.4 µg/mL", "WB-species-notes": "<p></p>" }, "Cow": { "IHCP-species-checked": "predicted", "IHCP-species-dilution-info": "", "IHCP-species-notes": "", "WB-species-checked": "predicted", "WB-species-dilution-info": "", "WB-species-notes": "" }, "Orangutan": { "IHCP-species-checked": "predicted", "IHCP-species-dilution-info": "", "IHCP-species-notes": "", "WB-species-checked": "predicted", "WB-species-dilution-info": "", "WB-species-notes": "" } } }

Properties and storage information

Form
Liquid
Purification technique
Affinity purification Immunogen
Storage buffer
pH: 7.2 Preservative: 0.02% Sodium azide Constituents: PBS, 40% Glycerol (glycerin, glycerine)
Shipped at conditions
Blue Ice
Appropriate short-term storage duration
1-2 weeks
Appropriate short-term storage conditions
+4°C
Appropriate long-term storage conditions
-20°C
Aliquoting information
Upon delivery aliquot
Storage information
Avoid freeze / thaw cycle

Supplementary information

This supplementary information is collated from multiple sources and compiled automatically.

ATP6V1C1 also known as ATPase H+ transporting V1 subunit C1 is a component of the V1 sector of the V-ATPase complex with a mass around 45 kDa. It is a part of the proton pump which plays an important role in acidifying intracellular compartments. ATP6V1C1 is expressed in various tissues with high levels seen in kidney liver and lungs. Its function as a subunit involves assembly stability and regulation of the ATPase complex which is essential for translocating protons across membranes.
Biological function summary

ATP6V1C1 functions within the V-ATPase complex that consists of V1 and V0 domains. This complex actively transports hydrogen ions (H+) across organelle membranes and plasma membranes which is important for processes such as protein degradation receptor-mediated endocytosis and neurotransmitter release. The activity of ATP6V1C1 supports cellular homeostasis by maintaining the acidic environment required for these processes.

Pathways

ATP6V1C1 plays a role in important pathways such as lysosomal acidification and bone resorption. It closely interacts with other V-ATPase subunits such as ATP6V0D1 in these pathways. The V-ATPase activity in lysosomal acidification facilitates the function of lysosomal enzymes while in bone resorption it helps osteoclasts to dissolve bone minerals highlighting its significance in both metabolic and skeletal systems.

ATP6V1C1 has a connection to osteopetrosis and renal tubular acidosis. Mutations or dysfunction in ATP6V1C1 may lead to impaired V-ATPase function influencing disease progression. Osteopetrosis is connected through its effect on osteoclast function while ATP6V1C1's role in acidifying urine implicates it in renal tubular acidosis. Its interactions with other proteins like ATP6V0A4 further elaborate its involvement in these diseases impacting treatment and research directions.

Product protocols

For this product, it's our understanding that no specific protocols are required. You can visit:

Target data

Subunit of the V1 complex of vacuolar(H+)-ATPase (V-ATPase), a multisubunit enzyme composed of a peripheral complex (V1) that hydrolyzes ATP and a membrane integral complex (V0) that translocates protons (PubMed : 33065002). V-ATPase is responsible for acidifying and maintaining the pH of intracellular compartments and in some cell types, is targeted to the plasma membrane, where it is responsible for acidifying the extracellular environment (By similarity). Subunit C is necessary for the assembly of the catalytic sector of the enzyme and is likely to have a specific function in its catalytic activity (By similarity).
See full target information ATP6V1C1

Publications (1)

Recent publications for all applications. Explore the full list and refine your search

Frontiers in oncology 11:683582 PubMed34222004

2021

Novel Prognostic Biomarkers in Gastric Cancer: CGB5, MKNK2, and PAPPA2.

Applications

Unspecified application

Species

Unspecified reactive species

Min Qin,Zhihai Liang,Heping Qin,Yifang Huo,Qing Wu,Huiying Yang,Guodu Tang
View all publications

Product promise

We are committed to supporting your work with high-quality reagents, and we're here for you every step of the way. In the unlikely event that one of our products does not perform as expected, you're protected by our Product Promise.
For full details, please see our Terms & Conditions

Please note: All products are 'FOR RESEARCH USE ONLY. NOT FOR USE IN DIAGNOSTIC OR THERAPEUTIC PROCEDURES'.

For licensing inquiries, please contact partnerships@abcam.com