JavaScript is disabled in your browser. Please enable JavaScript to view this website.
AB157458

Anti-ATP6V1D antibody [EPR11326(B)]

Be the first to review this product! Submit a review

|

(12 Publications)

Rabbit Recombinant Monoclonal ATP6V1D antibody. Suitable for IHC-P, IP, WB, ICC/IF, Flow Cyt (Intra) and reacts with Human, Mouse, Rat samples. Cited in 12 publications.

View Alternative Names

ATP6M, VATD, ATP6V1D, V-type proton ATPase subunit D, V-ATPase subunit D, V-ATPase 28 kDa accessory protein, Vacuolar proton pump subunit D

6 Images
Immunohistochemistry (Formalin/PFA-fixed paraffin-embedded sections) - Anti-ATP6V1D antibody [EPR11326(B)] (AB157458)
  • IHC-P

Unknown

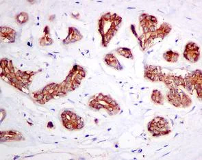
Immunohistochemistry (Formalin/PFA-fixed paraffin-embedded sections) - Anti-ATP6V1D antibody [EPR11326(B)] (AB157458)

Immunohistochemical analysis of Paraffin-embedded Human breast tissue labeling ATP6V1D with ab157458 at 1/50 dilution.

Perform heat mediated antigen retrieval before commencing with IHC staining protocol.

Immunocytochemistry/ Immunofluorescence - Anti-ATP6V1D antibody [EPR11326(B)] (AB157458)
  • ICC/IF

Unknown

Immunocytochemistry/ Immunofluorescence - Anti-ATP6V1D antibody [EPR11326(B)] (AB157458)

Immunofluorescent analysis of HeLa cells labeling ATP6V1D with ab157458 at 1/100 dilution.

Immunohistochemistry (Formalin/PFA-fixed paraffin-embedded sections) - Anti-ATP6V1D antibody [EPR11326(B)] (AB157458)
  • IHC-P

Unknown

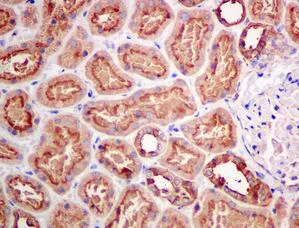
Immunohistochemistry (Formalin/PFA-fixed paraffin-embedded sections) - Anti-ATP6V1D antibody [EPR11326(B)] (AB157458)

Immunohistochemical analysis of Paraffin-embedded Human kidney tissue labeling ATP6V1D with ab157458 at 1/50 dilution

Perform heat mediated antigen retrieval before commencing with IHC staining protocol.

Flow Cytometry (Intracellular) - Anti-ATP6V1D antibody [EPR11326(B)] (AB157458)
  • Flow Cyt (Intra)

Unknown

Flow Cytometry (Intracellular) - Anti-ATP6V1D antibody [EPR11326(B)] (AB157458)

Intracellular flow cytometric analysis of permeabilized 293T cells labeling ATP6V1D with ab157458 at 1/10 dilution (red) or a rabbit IgG negative (green).

Immunoprecipitation - Anti-ATP6V1D antibody [EPR11326(B)] (AB157458)
  • IP

Unknown

Immunoprecipitation - Anti-ATP6V1D antibody [EPR11326(B)] (AB157458)

Detection of ATP6V1D by Western Blot of Immunprecipitate. Y79 cell lysate immunoprecipitated using ab157458 at 1/10 dilution.

All lanes:

Immunoprecipitation - Anti-ATP6V1D antibody [EPR11326(B)] (ab157458) at 1/10000 dilution

All lanes:

Immunoprecipitation pellet from Y79 cell lysate at 10 µg

Predicted band size: 28 kDa

false

Western blot - Anti-ATP6V1D antibody [EPR11326(B)] (AB157458)
  • WB

Unknown

Western blot - Anti-ATP6V1D antibody [EPR11326(B)] (AB157458)

All lanes:

Western blot - Anti-ATP6V1D antibody [EPR11326(B)] (ab157458) at 1/10000 dilution

Lane 1:

Human fetal brain lysate at 10 µg

Lane 2:

Y79 cell lysate at 10 µg

Lane 3:

293T cell lysate at 10 µg

Lane 4:

HeLa cell lysate at 10 µg

Secondary

All lanes:

Goat anti-rabbit HRP at 1/2000 dilution

Predicted band size: 28 kDa

false

  • Carrier free

    Anti-ATP6V1D antibody [EPR11326(B)] - BSA and Azide free

  • 660 APC

    APC Anti-ATP6V1D antibody [EPR11326(B)]

  • HRP

    HRP Anti-ATP6V1D antibody [EPR11326(B)]

  • 617 Alexa Fluor® 594

    Alexa Fluor® 594 Anti-ATP6V1D antibody [EPR11326(B)]

  • 519 Alexa Fluor® 488

    Alexa Fluor® 488 Anti-ATP6V1D antibody [EPR11326(B)]

  • 665 Alexa Fluor® 647

    Alexa Fluor® 647 Anti-ATP6V1D antibody [EPR11326(B)]

  • 603 Alexa Fluor® 568

    Alexa Fluor® 568 Anti-ATP6V1D antibody [EPR11326(B)]

  • 565 Alexa Fluor® 555

    Alexa Fluor® 555 Anti-ATP6V1D antibody [EPR11326(B)]

  • 578 PE

    PE Anti-ATP6V1D antibody [EPR11326(B)]

  • 775 Alexa Fluor® 750

    Alexa Fluor® 750 Anti-ATP6V1D antibody [EPR11326(B)]

Key facts

Host species

Rabbit

Clonality

Monoclonal

Clone number

EPR11326(B)

Isotype

IgG

Carrier free

No

Reacts with

Human

Applications

ICC/IF, IHC-P, IP, Flow Cyt (Intra), WB

applications

Immunogen

The exact immunogen used to generate this antibody is proprietary information.

Reactivity data

{ "title": "Reactivity Data", "filters": { "stats": ["", "Species", "Dilution Info", "Notes"], "tabs": { "all-applications": {"fullname" : "All Applications", "shortname": "All Applications"}, "IHCP" : {"fullname" : "Immunohistochemistry (Formalin/PFA-fixed paraffin-embedded sections)", "shortname":"IHC-P"}, "IP" : {"fullname" : "Immunoprecipitation", "shortname":"IP"}, "WB" : {"fullname" : "Western blot", "shortname":"WB"}, "ICCIF" : {"fullname" : "Immunocytochemistry/ Immunofluorescence", "shortname":"ICC/IF"}, "FlowCytIntra" : {"fullname" : "Flow Cytometry (Intracellular)", "shortname":"Flow Cyt (Intra)"} }, "product-promise": { "all": "all", "testedAndGuaranteed": "tested", "guaranteed": "expected", "predicted": "predicted", "notRecommended": "not-recommended" } }, "values": { "Human": { "IHCP-species-checked": "testedAndGuaranteed", "IHCP-species-dilution-info": "1/50 - 1/100", "IHCP-species-notes": "<p></p>", "IP-species-checked": "testedAndGuaranteed", "IP-species-dilution-info": "1/10 - 1/100", "IP-species-notes": "<p></p>", "WB-species-checked": "testedAndGuaranteed", "WB-species-dilution-info": "1/10000 - 1/50000", "WB-species-notes": "<p></p>", "ICCIF-species-checked": "testedAndGuaranteed", "ICCIF-species-dilution-info": "1/100 - 1/250", "ICCIF-species-notes": "<p></p>", "FlowCytIntra-species-checked": "testedAndGuaranteed", "FlowCytIntra-species-dilution-info": "1/10 - 1/100", "FlowCytIntra-species-notes": "<p><a href='/en-us/products/primary-antibodies/rabbit-igg-monoclonal-epr25a-isotype-control-ab172730'>ab172730</a> - Rabbit monoclonal IgG, is suitable for use as an isotype control with this antibody.</p>" }, "Mouse": { "IHCP-species-checked": "predicted", "IHCP-species-dilution-info": "", "IHCP-species-notes": "", "IP-species-checked": "predicted", "IP-species-dilution-info": "", "IP-species-notes": "", "WB-species-checked": "guaranteed", "WB-species-dilution-info": "", "WB-species-notes": "<p></p>", "ICCIF-species-checked": "predicted", "ICCIF-species-dilution-info": "", "ICCIF-species-notes": "", "FlowCytIntra-species-checked": "predicted", "FlowCytIntra-species-dilution-info": "", "FlowCytIntra-species-notes": "" }, "Rat": { "IHCP-species-checked": "predicted", "IHCP-species-dilution-info": "", "IHCP-species-notes": "", "IP-species-checked": "predicted", "IP-species-dilution-info": "", "IP-species-notes": "", "WB-species-checked": "guaranteed", "WB-species-dilution-info": "", "WB-species-notes": "<p></p>", "ICCIF-species-checked": "predicted", "ICCIF-species-dilution-info": "", "ICCIF-species-notes": "", "FlowCytIntra-species-checked": "predicted", "FlowCytIntra-species-dilution-info": "", "FlowCytIntra-species-notes": "" } } }

Product details

Patented technology
Our RabMAb® technology is a patented hybridoma-based technology for making rabbit monoclonal antibodies. For details on our patents, please refer to RabMAb® patents.

What are the advantages of a recombinant monoclonal antibody?
This product is a recombinant monoclonal antibody, which offers several advantages including:

  • - High batch-to-batch consistency and reproducibility
  • - Improved sensitivity and specificity
  • - Long-term security of supply
  • - Animal-free batch production

For more information, read more on recombinant antibodies.

Properties and storage information

Form
Liquid
Purification technique
Affinity purification Protein A
Storage buffer
pH: 7.2 - 7.4 Preservative: 0.01% Sodium azide Constituents: PBS, 50% Tissue culture supernatant, 40% Glycerol (glycerin, glycerine), 0.05% BSA
Shipped at conditions
Blue Ice
Appropriate short-term storage duration
1-2 weeks
Appropriate short-term storage conditions
+4°C
Appropriate long-term storage conditions
-20°C
Aliquoting information
Upon delivery aliquot
Storage information
Avoid freeze / thaw cycle

Supplementary information

This supplementary information is collated from multiple sources and compiled automatically.

ATP6V1D also known as V1D is a subunit of the V1 domain of vacuolar ATPase (V-ATPase). This enzyme is essential for catalyzing ATP hydrolysis and is mitochondrial proton pump playing roles in acidifying various cell compartments. With a molecular weight of approximately 36 kDa ATP6V1D is expressed in many tissues with higher levels noted in the kidney liver and brain. It helps regulate the pH of intracellular compartments important for cellular processes like protein degradation and neurotransmitter uptake.
Biological function summary

ATP6V1D is an integral part of the V-ATPase complex. The V-ATPases have a critical role in the acidification of eukaryotic intracellular compartments which are important for processes such as protein sorting zymogen activation and receptor-mediated endocytosis. This complex operates in various cell types and facilitates the transport of protons across membranes maintaining the acidic environments required for enzyme activity and molecular processing.

Pathways

ATP6V1D participates in key cellular functions such as the Wnt signaling pathway and endocytosis. In the Wnt pathway it contributes to regulating cellular growth and differentiation and interacts with other proteins like ATP6V1A and ATP6V1F to sustain vesicular trafficking and pH homeostasis. These interactions support the movement and function of vesicles affecting the fusion of endosomes and lysosomes essential for cellular responses to external stimuli.

Abnormalities involving ATP6V1D have been linked to neurodegenerative diseases and renal tubular acidosis. Researchers have observed that malfunction of V-ATPases including the ATP6V1D subunit can alter pH regulation in neurons associated with Alzheimer's disease. Furthermore ATP6V1D interactions with proteins such as ATP6V1C1 in the context of impaired proton pumping contribute to metabolic acidosis affecting kidney function and leading to conditions like Type I renal tubular acidosis.

Product protocols

For this product, it's our understanding that no specific protocols are required. You can visit:

Target data

Subunit of the V1 complex of vacuolar(H+)-ATPase (V-ATPase), a multisubunit enzyme composed of a peripheral complex (V1) that hydrolyzes ATP and a membrane integral complex (V0) that translocates protons (PubMed : 33065002). V-ATPase is responsible for acidifying and maintaining the pH of intracellular compartments and in some cell types, is targeted to the plasma membrane, where it is responsible for acidifying the extracellular environment (By similarity). May play a role in cilium biogenesis through regulation of the transport and the localization of proteins to the cilium (PubMed : 21844891).
See full target information ATP6V1D

Publications (12)

Recent publications for all applications. Explore the full list and refine your search

Autophagy reports 4:2476218 PubMed40458442

2025

The TECPR1:ATG5-ATG12 complex conjugates LC3/ATG8 to damaged lysosomes that expose luminal glycans in response to osmotic imbalance.

Applications

Unspecified application

Species

Unspecified reactive species

Yingxue Wang,Matthew Jefferson,Maria Ramos,Matthew Whelband,Kristin Kreuzer,Grace Khuu,Michael Lazarou,James Mccoll,James Lazenby,Cynthia B Whitchurch,Paul Verkade,Ulrike Mayer,Thomas Wileman

Science advances 11:eadt3311 PubMed40138395

2025

phagosome Ca leakage triggers multimembrane ATG8/LC3 lipidation to restrict damage in human macrophages.

Applications

Unspecified application

Species

Unspecified reactive species

Di Chen,Antony Fearns,Maximiliano G Gutierrez

Proceedings of the National Academy of Sciences of the United States of America 122:e2415422122 PubMed39982740

2025

STING-induced noncanonical autophagy regulates endolysosomal homeostasis.

Applications

Unspecified application

Species

Unspecified reactive species

Tuozhi Huang,Chenglong Sun,Fenghe Du,Zhijian J Chen

Autophagy 21:513-529 PubMed39316516

2024

ATP6V1D drives hepatocellular carcinoma stemness and progression via both lysosome acidification-dependent and -independent mechanisms.

Applications

Unspecified application

Species

Unspecified reactive species

Zhijie Xu,Ruiyang Liu,Haoying Ke,Fuyuan Xu,Pengfei Yang,Weiyu Zhang,Yi Zhan,Zhiju Zhao,Fei Xiao

Journal of virology 97:e0133823 PubMed38009916

2023

The role of lysosomes as intermediates in betacoronavirus PHEV egress from nerve cells.

Applications

Unspecified application

Species

Unspecified reactive species

Zhenzhen Wang,Wenqi He,Caili Li,Yuzhu Chen,Zi Li,Yubo Jiao,Jing Zhang,Junchao Shi,Gaili Wang,Jiyu Guan,Kui Zhao,Deguang Song,Feng Gao,Yungang Lan

Proceedings of the National Academy of Sciences of the United States of America 119:e2207280119 PubMed36252040

2022

Endocytosis triggers V-ATPase-SYK-mediated priming of cGAS activation and innate immune response.

Applications

Unspecified application

Species

Unspecified reactive species

Yu-Lin Yang,Li-Bo Cao,Wen-Rui He,Li Zhong,Yi Guo,Qing Yang,Hong-Bing Shu,Ming-Ming Hu

Cell reports 37:109899 PubMed34706226

2021

Subtractive CRISPR screen identifies the ATG16L1/vacuolar ATPase axis as required for non-canonical LC3 lipidation.

Applications

Unspecified application

Species

Unspecified reactive species

Rachel Ulferts,Elena Marcassa,Lewis Timimi,Liam Changwoo Lee,Andrew Daley,Beatriz Montaner,Suzanne Dawn Turner,Oliver Florey,John Kenneth Baillie,Rupert Beale

Pharmaceutics 13: PubMed33572458

2021

Disruption of pH Dynamics Suppresses Proliferation and Potentiates Doxorubicin Cytotoxicity in Breast Cancer Cells.

Applications

Unspecified application

Species

Unspecified reactive species

Diana Tavares-Valente,Bárbara Sousa,Fernando Schmitt,Fátima Baltazar,Odília Queirós

The Journal of cell biology 219: PubMed33201170

2020

STING induces LC3B lipidation onto single-membrane vesicles via the V-ATPase and ATG16L1-WD40 domain.

Applications

Unspecified application

Species

Unspecified reactive species

Tara D Fischer,Chunxin Wang,Benjamin S Padman,Michael Lazarou,Richard J Youle

Cell 178:552-566.e20 PubMed31327526

2019

A Bacterial Effector Reveals the V-ATPase-ATG16L1 Axis that Initiates Xenophagy.

Applications

Unspecified application

Species

Unspecified reactive species

Yue Xu,Ping Zhou,Sen Cheng,Qiuhe Lu,Kathrin Nowak,Ann-Katrin Hopp,Lin Li,Xuyan Shi,Zhiwei Zhou,Wenqing Gao,Da Li,Huabin He,Xiaoyun Liu,Jingjin Ding,Michael O Hottiger,Feng Shao
View all publications

Product promise

We are committed to supporting your work with high-quality reagents, and we're here for you every step of the way. In the unlikely event that one of our products does not perform as expected, you're protected by our Product Promise.
For full details, please see our Terms & Conditions

Please note: All products are 'FOR RESEARCH USE ONLY. NOT FOR USE IN DIAGNOSTIC OR THERAPEUTIC PROCEDURES'.

For licensing inquiries, please contact partnerships@abcam.com