JavaScript is disabled in your browser. Please enable JavaScript to view this website.
AB251348

Anti-ATP6V1E1 antibody [EPR19602] - BSA and Azide free

Be the first to review this product! Submit a review

|

(1 Publication)

Rabbit Recombinant Monoclonal ATP6V1E1 antibody. Carrier free. Suitable for ICC/IF, IP, WB, Flow Cyt (Intra), IHC-P and reacts with Rat, Human, Mouse samples. Cited in 1 publication.

View Alternative Names

ATP6E, ATP6E2, ATP6V1E1, V-type proton ATPase subunit E 1, V-ATPase subunit E 1, V-ATPase 31 kDa subunit, Vacuolar proton pump subunit E 1, p31

9 Images
Flow Cytometry (Intracellular) - Anti-ATP6V1E1 antibody [EPR19602] - BSA and Azide free (AB251348)
  • Flow Cyt (Intra)

Supplier Data

Flow Cytometry (Intracellular) - Anti-ATP6V1E1 antibody [EPR19602] - BSA and Azide free (AB251348)

This data was developed using ab201468, the same antibody clone in a different buffer formulation.

Intracellular flow cytometric analysis of 4% paraformaldehyde-fixed HeLa (Human epithelial cells from cervix adenocarcinoma) cells labeling ATP6V1E1 with ab201468 at 1/60 dilution (red) compared with a rabbit monoclonal IgG isotype control (ab172730; black) and an unlabelled control (cells without incubation with primary antibody and secondary antibody; blue). Goat anti rabbit IgG (Alexa Fluor® 488) at 1/500 dilution was used as the secondary antibody.

Immunocytochemistry/ Immunofluorescence - Anti-ATP6V1E1 antibody [EPR19602] - BSA and Azide free (AB251348)
  • ICC/IF

Supplier Data

Immunocytochemistry/ Immunofluorescence - Anti-ATP6V1E1 antibody [EPR19602] - BSA and Azide free (AB251348)

This data was developed using ab201468, the same antibody clone in a different buffer formulation.

Immunofluorescent analysis of 4% paraformaldehyde-fixed, 0.1% Triton X-100 permeabilized HepG2 (Human liver hepatocellular carcinoma cell line) cells labeling ATP6V1E1 with ab201468 at 1/100 dilution, followed by Goat Anti-Rabbit IgG (Alexa Fluor® 488) (ab150077) secondary antibody at 1/1000 dilution (green). Confocal image showing cytoplasmic staining on HepG2 cell line. The nuclear counterstain is DAPI (blue).

Tubulin is detected with Anti-alpha Tubulin mouse MAb (ab7291) at 1/1000 dilution and Goat Anti-Mouse IgG H&L (Alexa Fluor® 594) (ab150120) secondary antibody at 1/1000 dilution (red).

The negative controls are as follows : -

-ve control 1 : ab201468 at 1/100 dilution followed by Goat Anti-Mouse IgG H&L (Alexa Fluor® 594) (ab150120) secondary antibody at 1/1000 dilution.

-ve control 2 : Anti-alpha Tubulin mouse MAb (ab7291) at 1/1000 dilution followed by Goat Anti-Rabbit IgG (Alexa Fluor® 488) (ab150077) secondary antibody at 1/1000 dilution.

Western blot - Anti-ATP6V1E1 antibody [EPR19602] - BSA and Azide free (AB251348)
  • WB

Supplier Data

Western blot - Anti-ATP6V1E1 antibody [EPR19602] - BSA and Azide free (AB251348)

This data was developed using ab201468, the same antibody clone in a different buffer formulation.

Blocking and dilution buffer : 5% NFDM/TBST.

Exposure times : Lane 1 : 1 minute; Lane 2 : 30 seconds; Lanes 3-4 : 3 minutes.

All lanes:

Western blot - Anti-ATP6V1E1 antibody [EPR19602] (<a href='/en-us/products/primary-antibodies/atp6v1e1-antibody-epr19602-ab201468'>ab201468</a>) at 1/1000 dilution

Lane 1:

A-673 (Human muscle Ewing's Sarcoma cell line) whole cell lysate at 10 µg

Lane 2:

HEK-293 (Human epithelial cell line from embryonic kidney) whole cell lysate at 10 µg

Lane 3:

HeLa (Human epithelial cell line from cervix adenocarcinoma) whole cell lysate at 10 µg

Lane 4:

HepG2 (Human liver hepatocellular carcinoma cell line) whole cell lysate at 10 µg

Secondary

All lanes:

Western blot - Goat Anti-Rabbit IgG H&L (HRP) (<a href='/en-us/products/secondary-antibodies/goat-rabbit-igg-h-l-hrp-ab97051'>ab97051</a>) at 1/100000 dilution

Predicted band size: 26 kDa

Observed band size: 26 kDa

false

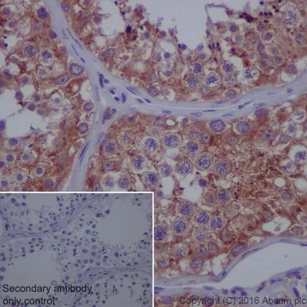
Immunohistochemistry (Formalin/PFA-fixed paraffin-embedded sections) - Anti-ATP6V1E1 antibody [EPR19602] - BSA and Azide free (AB251348)
  • IHC-P

Supplier Data

Immunohistochemistry (Formalin/PFA-fixed paraffin-embedded sections) - Anti-ATP6V1E1 antibody [EPR19602] - BSA and Azide free (AB251348)

This data was developed using ab201468, the same antibody clone in a different buffer formulation.

Immunohistochemical analysis of paraffin-embedded human testis tissue labeling ATP6V1E1 with ab201468 at 1/500 dilution, followed by Goat Anti-Rabbit IgG H&L (HRP) (ab97051) at 1/500 dilution.

Cytoplasm staining on human testis is observed.

Counter stained with Hematoxylin.

Secondary antibody only control : Used PBS instead of primary antibody, secondary antibody is Goat Anti-Rabbit IgG H&L (HRP) (ab97051) at 1/500 dilution.

Perform heat mediated antigen retrieval with Tris/EDTA buffer pH 9.0 before commencing with IHC staining protocol.

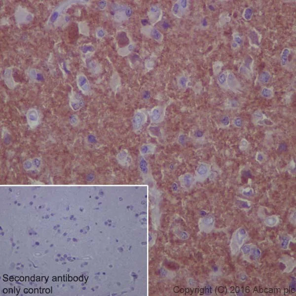
Immunohistochemistry (Formalin/PFA-fixed paraffin-embedded sections) - Anti-ATP6V1E1 antibody [EPR19602] - BSA and Azide free (AB251348)
  • IHC-P

Supplier Data

Immunohistochemistry (Formalin/PFA-fixed paraffin-embedded sections) - Anti-ATP6V1E1 antibody [EPR19602] - BSA and Azide free (AB251348)

This data was developed using ab201468, the same antibody clone in a different buffer formulation.

Immunohistochemical analysis of paraffin-embedded human glioma tissue labeling ATP6V1E1 with ab201468 at 1/500 dilution, followed by Goat Anti-Rabbit IgG H&L (HRP) (ab97051) at 1/500 dilution.

Cytoplasm staining on human glioma is observed.

Counter stained with Hematoxylin.

Secondary antibody only control : Used PBS instead of primary antibody, secondary antibody is Goat Anti-Rabbit IgG H&L (HRP) (ab97051) at 1/500 dilution.

Perform heat mediated antigen retrieval with Tris/EDTA buffer pH 9.0 before commencing with IHC staining protocol.

Immunocytochemistry/ Immunofluorescence - Anti-ATP6V1E1 antibody [EPR19602] - BSA and Azide free (AB251348)
  • ICC/IF

Supplier Data

Immunocytochemistry/ Immunofluorescence - Anti-ATP6V1E1 antibody [EPR19602] - BSA and Azide free (AB251348)

This data was developed using ab201468, the same antibody clone in a different buffer formulation.

Immunofluorescent analysis of 4% paraformaldehyde-fixed, 0.1% Triton X-100 permeabilized C6 (Rat glial tumor cell line) cells labeling ATP6V1E1 with ab201468 at 1/100 dilution, followed by Goat Anti-Rabbit IgG (Alexa Fluor® 488) (ab150077) secondary antibody at 1/1000 dilution (green). Confocal image showing cytoplasmic staining on C6 cell line. The nuclear counterstain is DAPI (blue).

Tubulin is detected with Anti-alpha Tubulin mouse MAb (ab7291) at 1/1000 dilution and Goat Anti-Mouse IgG H&L (Alexa Fluor® 594) (ab150120) secondary antibody at 1/1000 dilution (red).

The negative controls are as follows : -

-ve control 1 : ab201468 at 1/100 dilution followed by Goat Anti-Mouse IgG H&L (Alexa Fluor® 594) (ab150120) secondary antibody at 1/1000 dilution.

-ve control 2 : Anti-alpha Tubulin mouse MAb (ab7291) at 1/1000 dilution followed by Goat Anti-Rabbit IgG (Alexa Fluor® 488) (ab150077) secondary antibody at 1/1000 dilution.

Immunoprecipitation - Anti-ATP6V1E1 antibody [EPR19602] - BSA and Azide free (AB251348)
  • IP

Supplier Data

Immunoprecipitation - Anti-ATP6V1E1 antibody [EPR19602] - BSA and Azide free (AB251348)

This data was developed using ab201468, the same antibody clone in a different buffer formulation.

ATP6V1E1 was immunoprecipitated from 0.35mg of HepG2 (Human liver hepatocellular carcinoma cell line) whole cell lysate with ab201468 at 1/40 dilution.

Western blot was performed from the immunoprecipitate using ab201468 at 1/500 dilution.

VeriBlot for IP Detection Reagent (HRP) (ab131366), was used for detection at 1/1000 dilution.

Lane 1 : HepG2 whole cell lysate 10μg (Input).
Lane 2 : ab201468 IP in HepG2 whole cell lysate.
Lane 3 : Rabbit monoclonal IgG (ab172730) instead of ab201468 in HepG2 whole cell lysate.

Blocking and dilution buffer and concentration : 5% NFDM/TBST.

Exposure time : 3 seconds.

All lanes:

Immunoprecipitation - Anti-ATP6V1E1 antibody [EPR19602] (<a href='/en-us/products/primary-antibodies/atp6v1e1-antibody-epr19602-ab201468'>ab201468</a>)

Predicted band size: 26 kDa

false

Western blot - Anti-ATP6V1E1 antibody [EPR19602] - BSA and Azide free (AB251348)
  • WB

Supplier Data

Western blot - Anti-ATP6V1E1 antibody [EPR19602] - BSA and Azide free (AB251348)

This data was developed using ab201468, the same antibody clone in a different buffer formulation.

Blocking and dilution buffer : 5% NFDM/TBST.

Exposure times : Lanes 1 and 3 : 3 minutes; Lane 2 : 1 minute.

All lanes:

Western blot - Anti-ATP6V1E1 antibody [EPR19602] (<a href='/en-us/products/primary-antibodies/atp6v1e1-antibody-epr19602-ab201468'>ab201468</a>) at 1/1000 dilution

Lane 1:

Human kidney lysate at 10 µg

Lane 2:

Human liver lysate at 10 µg

Lane 3:

Human brain lysate at 10 µg

Secondary

All lanes:

Western blot - Goat Anti-Rabbit IgG H&L (HRP) (<a href='/en-us/products/secondary-antibodies/goat-rabbit-igg-h-l-hrp-ab97051'>ab97051</a>) at 1/100000 dilution

Predicted band size: 26 kDa,66 kDa,97 kDa

Observed band size: 120 kDa,26 kDa,68 kDa

false

Western blot - Anti-ATP6V1E1 antibody [EPR19602] - BSA and Azide free (AB251348)
  • WB

Supplier Data

Western blot - Anti-ATP6V1E1 antibody [EPR19602] - BSA and Azide free (AB251348)

This data was developed using ab201468, the same antibody clone in a different buffer formulation.

Blocking and dilution buffer : 5% NFDM/TBST.

All lanes:

Western blot - Anti-ATP6V1E1 antibody [EPR19602] (<a href='/en-us/products/primary-antibodies/atp6v1e1-antibody-epr19602-ab201468'>ab201468</a>) at 1/1000 dilution

Lane 1:

Mouse brain lysate at 10 µg

Lane 2:

Mouse kidney lysate at 10 µg

Lane 3:

Rat brain lysate at 10 µg

Lane 4:

RAW 264.7 (Mouse macrophage cell line transformed with Abelson murine leukemia virus) whole cell lysate at 10 µg

Secondary

All lanes:

Western blot - Goat Anti-Rabbit IgG H&L (HRP) (<a href='/en-us/products/secondary-antibodies/goat-rabbit-igg-h-l-hrp-ab97051'>ab97051</a>) at 1/100000 dilution

Predicted band size: 26 kDa

Observed band size: 26 kDa

false

Exposure time: 3min

Key facts

Host species

Rabbit

Clonality

Monoclonal

Clone number

EPR19602

Isotype

IgG

Carrier free

Yes

Reacts with

Mouse, Rat, Human

Applications

ICC/IF, Flow Cyt (Intra), WB, IP, IHC-P

applications

Immunogen

The exact immunogen used to generate this antibody is proprietary information.

Reactivity data

{ "title": "Reactivity Data", "filters": { "stats": ["", "Species", "Dilution Info", "Notes"], "tabs": { "all-applications": {"fullname" : "All Applications", "shortname": "All Applications"}, "ICCIF" : {"fullname" : "Immunocytochemistry/ Immunofluorescence", "shortname":"ICC/IF"}, "IP" : {"fullname" : "Immunoprecipitation", "shortname":"IP"}, "WB" : {"fullname" : "Western blot", "shortname":"WB"}, "FlowCytIntra" : {"fullname" : "Flow Cytometry (Intracellular)", "shortname":"Flow Cyt (Intra)"}, "IHCP" : {"fullname" : "Immunohistochemistry (Formalin/PFA-fixed paraffin-embedded sections)", "shortname":"IHC-P"} }, "product-promise": { "all": "all", "testedAndGuaranteed": "tested", "guaranteed": "expected", "predicted": "predicted", "notRecommended": "not-recommended" } }, "values": { "Human": { "ICCIF-species-checked": "testedAndGuaranteed", "ICCIF-species-dilution-info": "", "ICCIF-species-notes": "<p>ICC is recommended for human and rat only.</p>", "IP-species-checked": "testedAndGuaranteed", "IP-species-dilution-info": "", "IP-species-notes": "<p></p>", "WB-species-checked": "testedAndGuaranteed", "WB-species-dilution-info": "", "WB-species-notes": "<p></p>", "FlowCytIntra-species-checked": "testedAndGuaranteed", "FlowCytIntra-species-dilution-info": "", "FlowCytIntra-species-notes": "<p></p>", "IHCP-species-checked": "testedAndGuaranteed", "IHCP-species-dilution-info": "", "IHCP-species-notes": "<p>IHC is recommended for human only.</p> Perform heat-mediated antigen retrieval with Tris/EDTA buffer pH 9.0 before commencing with IHC staining protocol." }, "Mouse": { "ICCIF-species-checked": "guaranteed", "ICCIF-species-dilution-info": "", "ICCIF-species-notes": "", "IP-species-checked": "guaranteed", "IP-species-dilution-info": "", "IP-species-notes": "", "WB-species-checked": "testedAndGuaranteed", "WB-species-dilution-info": "", "WB-species-notes": "<p></p>", "FlowCytIntra-species-checked": "guaranteed", "FlowCytIntra-species-dilution-info": "", "FlowCytIntra-species-notes": "", "IHCP-species-checked": "guaranteed", "IHCP-species-dilution-info": "", "IHCP-species-notes": "" }, "Rat": { "ICCIF-species-checked": "testedAndGuaranteed", "ICCIF-species-dilution-info": "", "ICCIF-species-notes": "<p>ICC is recommended for human and rat only.</p> Perform heat-mediated antigen retrieval with Tris/EDTA buffer pH 9.0 before commencing with IHC staining protocol.", "IP-species-checked": "guaranteed", "IP-species-dilution-info": "", "IP-species-notes": "", "WB-species-checked": "testedAndGuaranteed", "WB-species-dilution-info": "", "WB-species-notes": "<p></p>", "FlowCytIntra-species-checked": "guaranteed", "FlowCytIntra-species-dilution-info": "", "FlowCytIntra-species-notes": "", "IHCP-species-checked": "guaranteed", "IHCP-species-dilution-info": "", "IHCP-species-notes": "" } } }

Product details

ab251348 is the carrier-free version of ab201468.

Patented technology
Our RabMAb® technology is a patented hybridoma-based technology for making rabbit monoclonal antibodies. For details on our patents, please refer to RabMAb® patents.

What are the advantages of a recombinant monoclonal antibody?
This product is a recombinant monoclonal antibody, which offers several advantages including:

  • - High batch-to-batch consistency and reproducibility
  • - Improved sensitivity and specificity
  • - Long-term security of supply
  • - Animal-free batch production

For more information, read more on recombinant antibodies.

Conjugation ready
Our carrier-free antibodies are typically supplied in a PBS-only formulation, purified and free of BSA, sodium azide and glycerol. This conjugation-ready format is designed for use with fluorochromes, metal isotopes, oligonucleotides, and enzymes, which makes them ideal for antibody labelling, functional and cell-based assays, flow-based assays (e.g. mass cytometry) and Multiplex Imaging applications.

Use our conjugation kits for antibody conjugates that are ready-to-use in as little as 20 minutes with 1 minute hands-on-time and 100% antibody recovery: available for fluorescent dyes, HRP, biotin and gold.

Compatibility
This product is compatible with the Maxpar® Antibody Labeling Kit from Fluidigm, without the need for antibody preparation. Maxpar® is a trademark of Fluidigm Canada Inc.

Properties and storage information

Form
Liquid
Purification technique
Affinity purification Protein A
Storage buffer
pH: 7.2 - 7.4 Constituents: PBS
Shipped at conditions
Blue Ice
Appropriate short-term storage conditions
+4°C
Appropriate long-term storage conditions
+4°C
Storage information
Do Not Freeze

Supplementary information

This supplementary information is collated from multiple sources and compiled automatically.

ATP6V1E1 also known as V-type proton ATPase subunit E1 is a component of the vacuolar ATPase (V-ATPase) complex which is key in cellular processes like acidification of intracellular organelles. This protein has a mass of approximately 31 kDa and is found extensively in the cytosol. ATP6V1E1 is expressed in various tissues including those in the kidney liver and brain indicating its widespread significance in cellular function.
Biological function summary

ATP6V1E1 plays a role in energizing the V-ATPase complex which contributes to proton translocation across intracellular membranes. The protein acts within the V1 domain of the V-ATPase a multi-subunit enzyme responsible for acidifying compartments such as endosomes lysosomes and the Golgi apparatus. This acidification is important for protein degradation receptor-mediated endocytosis and neurotransmitter uptake highlighting ATP6V1E1's role in maintaining cellular homeostasis.

Pathways

ATP6V1E1 is integrated into processes like the autophagy and endocytic pathways. It interacts with other proteins within the V-ATPase complex to regulate organelle pH and support vital functions such as lysosomal degradation. ATP6V1E1's interactions with proteins like ATP6V1A highlights its involvement in these metabolic pathways demonstrating how these components work together to regulate cellular energy and waste management.

ATP6V1E1 has connections to disorders including renal tubular acidosis and osteopetrosis. Mutations in this protein can disrupt the normal acidification process leading to these conditions. Through its role in the V-ATPase complex ATP6V1E1 is functionally linked to other subunits like ATP6V1A. Together they influence the pathophysiology of these diseases by impacting the regulatory mechanisms necessary for stable cellular pH and related metabolic activities.

Product protocols

For this product, it's our understanding that no specific protocols are required. You can visit:

Target data

Subunit of the V1 complex of vacuolar(H+)-ATPase (V-ATPase), a multisubunit enzyme composed of a peripheral complex (V1) that hydrolyzes ATP and a membrane integral complex (V0) that translocates protons (PubMed : 32001091, PubMed : 33065002). V-ATPase is responsible for acidifying and maintaining the pH of intracellular compartments and in some cell types, is targeted to the plasma membrane, where it is responsible for acidifying the extracellular environment (PubMed : 32001091).
See full target information ATP6V1E1

Publications (1)

Recent publications for all applications. Explore the full list and refine your search

Journal of nanobiotechnology 22:800 PubMed39731111

2024

Role of PCBP2 in regulating nanovesicles loaded with curcumin to mitigate neuroferroptosis in neural damage caused by heat stroke.

Applications

Unspecified application

Species

Unspecified reactive species

Fei Guo,Yizhan Wu,Guangjun Wang,Jiangwei Liu
View all publications

Product promise

We are committed to supporting your work with high-quality reagents, and we're here for you every step of the way. In the unlikely event that one of our products does not perform as expected, you're protected by our Product Promise.
For full details, please see our Terms & Conditions

Please note: All products are 'FOR RESEARCH USE ONLY. NOT FOR USE IN DIAGNOSTIC OR THERAPEUTIC PROCEDURES'.

For licensing inquiries, please contact partnerships@abcam.com