JavaScript is disabled in your browser. Please enable JavaScript to view this website.
AB122012

Anti-ATP6V1G3 antibody

Be the first to review this product! Submit a review

|

(2 Publications)

Rabbit Polyclonal ATP6V1G3 antibody. Suitable for IHC-P, WB and reacts with Human samples. Cited in 2 publications. Immunogen corresponding to Recombinant Fragment Protein within Human ATP6V1G3 aa 1 to C-terminus.

View Alternative Names

ATP6G3, ATP6V1G3, V-type proton ATPase subunit G 3, V-ATPase subunit G 3, V-ATPase 13 kDa subunit 3, Vacuolar proton pump subunit G 3

2 Images
Western blot - Anti-ATP6V1G3 antibody (AB122012)
  • WB

Unknown

Western blot - Anti-ATP6V1G3 antibody (AB122012)

All lanes:

Western blot - Anti-ATP6V1G3 antibody (ab122012) at 1/250 dilution

Lane 1:

RT-4 lysate

Lane 2:

U-251 MG lysate

Lane 3:

Human plasma

Lane 4:

Human Liver lysate

Lane 5:

Human Tonsil lysate

Predicted band size: 14 kDa

true

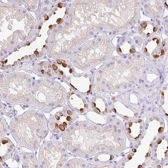
Immunohistochemistry (Formalin/PFA-fixed paraffin-embedded sections) - Anti-ATP6V1G3 antibody (AB122012)
  • IHC-P

Supplier Data

Immunohistochemistry (Formalin/PFA-fixed paraffin-embedded sections) - Anti-ATP6V1G3 antibody (AB122012)

Immunohistochemical (Formalin/PFA-fixed paraffin-embedded sections) analysis in human kidney tissue labeling ATP6V1G3 with ab122012 at 1/5000 dilution. Antigen retrieval was heat mediated with citrate buffer pH 6 before commencing with IHC staining protocol.

Key facts

Host species

Rabbit

Clonality

Polyclonal

Isotype

IgG

Carrier free

No

Reacts with

Human

Applications

IHC-P, WB

applications

Immunogen

Recombinant Fragment Protein within Human ATP6V1G3 aa 1 to C-terminus. The exact immunogen used to generate this antibody is proprietary information.

Q96LB4

Reactivity data

{ "title": "Reactivity Data", "filters": { "stats": ["", "Species", "Dilution Info", "Notes"], "tabs": { "all-applications": {"fullname" : "All Applications", "shortname": "All Applications"}, "IHCP" : {"fullname" : "Immunohistochemistry (Formalin/PFA-fixed paraffin-embedded sections)", "shortname":"IHC-P"}, "WB" : {"fullname" : "Western blot", "shortname":"WB"} }, "product-promise": { "all": "all", "testedAndGuaranteed": "tested", "guaranteed": "expected", "predicted": "predicted", "notRecommended": "not-recommended" } }, "values": { "Human": { "IHCP-species-checked": "testedAndGuaranteed", "IHCP-species-dilution-info": "1/1000 - 1/5000", "IHCP-species-notes": "<p></p> Perform heat-mediated antigen retrieval with citrate buffer pH 6 before commencing with IHC staining protocol.", "WB-species-checked": "testedAndGuaranteed", "WB-species-dilution-info": "1/250 - 1/500", "WB-species-notes": "<p></p>" } } }

Properties and storage information

Form
Liquid
Purification technique
Affinity purification Immunogen
Storage buffer
pH: 7.2 Preservative: 0.02% Sodium azide Constituents: PBS, 40% Glycerol (glycerin, glycerine)
Shipped at conditions
Blue Ice
Appropriate short-term storage conditions
+4°C
Appropriate long-term storage conditions
-20°C
Aliquoting information
Upon delivery aliquot
Storage information
Avoid freeze / thaw cycle

Supplementary information

This supplementary information is collated from multiple sources and compiled automatically.

ATP6V1G3 also known as V-type proton ATPase subunit G3 is a component of the vacuolar ATPase (V-ATPase) complex. This protein is involved in the assembly of the V1 domain responsible for ATP hydrolysis and has a molecular mass of approximately 14 kDa. ATP6V1G3 expresses in various tissues including renal and ocular tissues. The expression patterns suggest a link to specialized functions in cellular processes requiring vacuolar acidification.
Biological function summary

ATP6V1G3 functions as part of the larger V-ATPase complex which participates in acidifying intracellular compartments. This proton pump complex is essential for many cellular processes including protein degradation neurotransmitter loading and pH regulation. By regulating the acidification of vesicles ATP6V1G3 indirectly supports essential cellular functions such as endocytosis and exocytosis.

Pathways

ATP6V1G3 and the V-ATPase complex play significant roles in the endocytic and exocytic pathways. They are interconnected with the mTOR signaling pathway which controls cell growth and metabolism in response to nutrient availability. ATP6V1G3 also associates with other subunits of the V-ATPase complex such as ATP6V1A and ATP6V0C which collaborate in maintaining the proper function of the aforementioned pathways.

ATP6V1G3 has been implicated in nephronophthisis and glaucoma. Its function in renal acidification might link to nephronophthisis a disorder characterized by renal impairment. In ocular tissues altered regulation of ATP6V1G3 and its associated V-ATPase components like ATP6V1E1 has been observed in the pathogenesis of glaucoma. These connections highlight the importance of ATP6V1G3 in maintaining cellular homeostasis particularly in specific tissues.

Product protocols

For this product, it's our understanding that no specific protocols are required. You can visit:

Target data

Subunit of the V1 complex of vacuolar(H+)-ATPase (V-ATPase), a multisubunit enzyme composed of a peripheral complex (V1) that hydrolyzes ATP and a membrane integral complex (V0) that translocates protons. V-ATPase is responsible for acidifying and maintaining the pH of intracellular compartments and in some cell types, is targeted to the plasma membrane, where it is responsible for acidifying the extracellular environment.
See full target information ATP6V1G3

Publications (2)

Recent publications for all applications. Explore the full list and refine your search

American journal of physiology. Renal physiology 325:F770-F778 PubMed37823193

2023

Generation of -Cre mice for investigation of intercalated cells and the collecting duct.

Applications

Unspecified application

Species

Unspecified reactive species

Vijay Saxena,Samuel Arregui,Shaobo Zhang,Jorge Canas,Xuebin Qin,David S Hains,Andrew L Schwaderer

Nature neuroscience 17:1720-7 PubMed25347353

2014

Locus-specific epigenetic remodeling controls addiction- and depression-related behaviors.

Applications

Unspecified application

Species

Unspecified reactive species

Elizabeth A Heller,Hannah M Cates,Catherine J Peña,Haosheng Sun,Ningyi Shao,Jian Feng,Sam A Golden,James P Herman,Jessica J Walsh,Michelle Mazei-Robison,Deveroux Ferguson,Scott Knight,Mark A Gerber,Christian Nievera,Ming-Hu Han,Scott J Russo,Carol S Tamminga,Rachael L Neve,Li Shen,H Steve Zhang,Feng Zhang,Eric J Nestler
View all publications

Product promise

We are committed to supporting your work with high-quality reagents, and we're here for you every step of the way. In the unlikely event that one of our products does not perform as expected, you're protected by our Product Promise.
For full details, please see our Terms & Conditions

Please note: All products are 'FOR RESEARCH USE ONLY. NOT FOR USE IN DIAGNOSTIC OR THERAPEUTIC PROCEDURES'.

For licensing inquiries, please contact partnerships@abcam.com