JavaScript is disabled in your browser. Please enable JavaScript to view this website.
AB308579

Anti-ATP6V1H antibody [HL1316]

Be the first to review this product! Submit a review

|

(0 Publication)

Rabbit Recombinant Monoclonal ATP6V1H antibody. Carrier free. Suitable for IHC-P, WB and reacts with Mouse, Human samples. Immunogen corresponding to Recombinant Fragment Protein within Human ATP6V1H.

View Alternative Names

CGI-11, ATP6V1H, V-type proton ATPase subunit H, V-ATPase subunit H, Nef-binding protein 1, Protein VMA13 homolog, V-ATPase 50/57 kDa subunits, Vacuolar proton pump subunit H, Vacuolar proton pump subunit SFD, NBP1

4 Images
Immunohistochemistry paraffin embedded sections - Anti-ATP6V1H antibody [HL1316] (AB308579)
  • IHC-P

Supplier Data

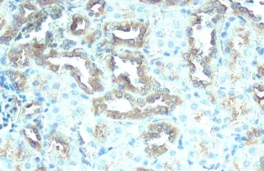
Immunohistochemistry paraffin embedded sections - Anti-ATP6V1H antibody [HL1316] (AB308579)

Immunohistochemical analysis of paraffin-embedded mouse kidney labeling ATP6V1H protein with ab308579 at 1/100. Antigen retrieval was performed using Citrate buffer, pH 6.0, 15 min

Immunohistochemistry paraffin embedded sections - Anti-ATP6V1H antibody [HL1316] (AB308579)
  • IHC-P

Supplier Data

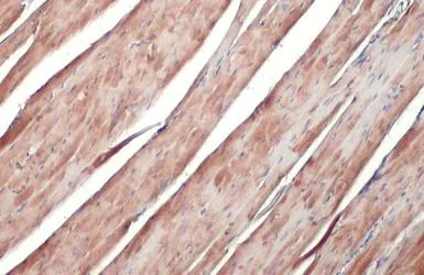
Immunohistochemistry paraffin embedded sections - Anti-ATP6V1H antibody [HL1316] (AB308579)

Immunohistochemical analysis of paraffin-embedded mouse muscle labeling ATP6V1H protein with ab308579 at 1/200. Antigen retrieval was performed using Citrate buffer, pH 6.0, 15 min

Immunohistochemistry paraffin embedded sections - Anti-ATP6V1H antibody [HL1316] (AB308579)
  • IHC-P

Supplier Data

Immunohistochemistry paraffin embedded sections - Anti-ATP6V1H antibody [HL1316] (AB308579)

Immunohistochemical analysis of paraffin-embedded mouse heart labeling ATP6V1H protein with ab308579 at 1/200. Antigen retrieval was performed using Citrate buffer, pH 6.0, 15 min

Western blot - Anti-ATP6V1H antibody [HL1316] (AB308579)
  • WB

Supplier Data

Western blot - Anti-ATP6V1H antibody [HL1316] (AB308579)

Various whole cell extracts (30 µg) were separated by 10% SDS-PAGE, and the membrane was blotted with ATP6V1H antibody HL1316 (ab308579) diluted at 1/1000. A HRP-conjugated anti-rabbit IgG antibody was used to detect the primary antibody.

All lanes:

Western blot - Anti-ATP6V1H antibody [HL1316] (ab308579) at 1/1000 dilution

Lane 1:

T47D cell lysate at 30 µg

Lane 2:

RMS13 cell lysate at 30 µg

Secondary

All lanes:

HRP-conjugated anti-rabbit IgG antibody

Predicted band size: 55.88 kDa

false

Key facts

Host species

Rabbit

Clonality

Monoclonal

Clone number

HL1316

Isotype

IgG

Carrier free

Yes

Reacts with

Mouse, Human

Applications

IHC-P, WB

applications

Immunogen

Recombinant Fragment Protein within Human ATP6V1H. The exact immunogen used to generate this antibody is proprietary information.

Q9UI12

Reactivity data

{ "title": "Reactivity Data", "filters": { "stats": ["", "Species", "Dilution Info", "Notes"], "tabs": { "all-applications": {"fullname" : "All Applications", "shortname": "All Applications"}, "IHCP" : {"fullname" : "Immunohistochemistry (Formalin/PFA-fixed paraffin-embedded sections)", "shortname":"IHC-P"}, "WB" : {"fullname" : "Western blot", "shortname":"WB"} }, "product-promise": { "all": "all", "testedAndGuaranteed": "tested", "guaranteed": "expected", "predicted": "predicted", "notRecommended": "not-recommended" } }, "values": { "Human": { "IHCP-species-checked": "guaranteed", "IHCP-species-dilution-info": "", "IHCP-species-notes": "", "WB-species-checked": "testedAndGuaranteed", "WB-species-dilution-info": "1/500 - 1/3000", "WB-species-notes": "<p></p>" }, "Mouse": { "IHCP-species-checked": "testedAndGuaranteed", "IHCP-species-dilution-info": "1/100 - 1/200", "IHCP-species-notes": "<p></p>", "WB-species-checked": "guaranteed", "WB-species-dilution-info": "", "WB-species-notes": "" } } }

Product details

What are the advantages of a recombinant monoclonal antibody?
This product is a recombinant monoclonal antibody, which offers several advantages including:

  • - High batch-to-batch consistency and reproducibility
  • - Improved sensitivity and specificity
  • - Long-term security of supply
  • - Animal-free batch production

For more information, read more on recombinant antibodies.

Conjugation ready
Our carrier-free antibodies are typically supplied in a PBS-only formulation, purified and free of BSA, sodium azide and glycerol. This conjugation-ready format is designed for use with fluorochromes, metal isotopes, oligonucleotides, and enzymes, which makes them ideal for antibody labelling, functional and cell-based assays, flow-based assays (e.g. mass cytometry) and Multiplex Imaging applications.

Use our conjugation kits for antibody conjugates that are ready-to-use in as little as 20 minutes with 1 minute hands-on-time and 100% antibody recovery: available for fluorescent dyes, HRP, biotin and gold.

Properties and storage information

Form
Liquid
Purification technique
Affinity purification Protein A
Storage buffer
pH: 7.4 Constituents: PBS
Shipped at conditions
Blue Ice
Appropriate short-term storage duration
1-2 weeks
Appropriate short-term storage conditions
+4°C
Appropriate long-term storage conditions
+4°C
Aliquoting information
Upon delivery aliquot
Storage information
Avoid freeze / thaw cycle

Supplementary information

This supplementary information is collated from multiple sources and compiled automatically.

ATP6V1H also known as VMA13 or V1H is a subunit of the V1 domain in vacuolar ATPases (V-ATPases). It plays a role in the formation of proton channels important for acidifying vesicular environments. The protein has a mass of approximately 54 kDa. The gene encoding ATP6V1H is expressed in various tissues with higher levels observed in the kidney and brain indicating a more demanding need for ion transport and homeostasis in these tissues.
Biological function summary

ATP6V1H functions within the V-ATPase complex which is essential for acidifying intracellular organelles such as lysosomes and endosomes. This subunit contributes to energy-dependent proton transport affecting pH regulation within cells and intracellular processes like protein degradation and receptor-mediated endocytosis. It often cooperates with other subunits within the V-ATPase complex to maintain proper cell function and homeostasis.

Pathways

ATP6V1H participates in critical processes such as endocytosis and protein sorting pathways. These pathways influence cellular environment and nutrient sensing. The ATP6V1H subunit interacts with proteins like ATP6V1A and ATP6V0C which are other components of the V-ATPase complex. Together they form a complex vital for membrane-mediated transport and cellular signaling pathways.

ATP6V1H has been linked to conditions like osteoporosis and neurodegenerative diseases. The protein's malfunction can lead to improper acidification within the cell affecting bone resorption and neural activity. Disorders related to ATP6V1H often involve mutations in the associated V-ATPase complex subunits such as ATP6V1B1. These dysfunctional pathways highlight the importance of ATP6V1H in maintaining normal cellular and physiological functions.

Product protocols

For this product, it's our understanding that no specific protocols are required. You can visit:

Target data

Subunit of the V1 complex of vacuolar(H+)-ATPase (V-ATPase), a multisubunit enzyme composed of a peripheral complex (V1) that hydrolyzes ATP and a membrane integral complex (V0) that translocates protons (PubMed : 33065002). V-ATPase is responsible for acidifying and maintaining the pH of intracellular compartments and in some cell types, is targeted to the plasma membrane, where it is responsible for acidifying the extracellular environment (By similarity). Subunit H is essential for V-ATPase activity, but not for the assembly of the complex (By similarity). Involved in the endocytosis mediated by clathrin-coated pits, required for the formation of endosomes (PubMed : 12032142).
See full target information ATP6V1H

Product promise

We are committed to supporting your work with high-quality reagents, and we're here for you every step of the way. In the unlikely event that one of our products does not perform as expected, you're protected by our Product Promise.
For full details, please see our Terms & Conditions

Please note: All products are 'FOR RESEARCH USE ONLY. NOT FOR USE IN DIAGNOSTIC OR THERAPEUTIC PROCEDURES'.

For licensing inquiries, please contact partnerships@abcam.com