JavaScript is disabled in your browser. Please enable JavaScript to view this website.
AB217299

Anti-ATP7b antibody - C-terminal

Be the first to review this product! Submit a review

|

(1 Publication)

Rabbit Polyclonal ATP7B antibody. C-terminal. Suitable for IHC-P and reacts with Rat samples. Cited in 1 publication. Immunogen corresponding to Synthetic Peptide within Human ATP7B aa 1400 to C-terminus conjugated to Keyhole Limpet Haemocyanin.

View Alternative Names

PWD, WC1, WND, ATP7B, Copper-transporting ATPase 2, Copper pump 2, Wilson disease-associated protein

1 Images
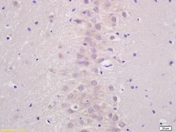
Immunohistochemistry (Formalin/PFA-fixed paraffin-embedded sections) - Anti-ATP7b antibody - C-terminal (AB217299)
  • IHC-P

Supplier Data

Immunohistochemistry (Formalin/PFA-fixed paraffin-embedded sections) - Anti-ATP7b antibody - C-terminal (AB217299)

Immunohistochemical analysis of formalin-fixed and paraffin-embedded rat brain tissue labeling ATP7b with ab217299 at 1/200 dilution, followed by conjugation to the secondary antibody and DAB staining.

Key facts

Host species

Rabbit

Clonality

Polyclonal

Isotype

IgG

Carrier free

No

Reacts with

Rat

Applications

IHC-P

applications

Immunogen

Synthetic Peptide within Human ATP7B aa 1400 to C-terminus conjugated to Keyhole Limpet Haemocyanin. The exact immunogen used to generate this antibody is proprietary information.

P35670

Reactivity data

{ "title": "Reactivity Data", "filters": { "stats": ["", "Species", "Dilution Info", "Notes"], "tabs": { "all-applications": {"fullname" : "All Applications", "shortname": "All Applications"}, "IHCP" : {"fullname" : "Immunohistochemistry (Formalin/PFA-fixed paraffin-embedded sections)", "shortname":"IHC-P"} }, "product-promise": { "all": "all", "testedAndGuaranteed": "tested", "guaranteed": "expected", "predicted": "predicted", "notRecommended": "not-recommended" } }, "values": { "Human": { "IHCP-species-checked": "predicted", "IHCP-species-dilution-info": "", "IHCP-species-notes": "" }, "Mouse": { "IHCP-species-checked": "predicted", "IHCP-species-dilution-info": "", "IHCP-species-notes": "" }, "Rat": { "IHCP-species-checked": "testedAndGuaranteed", "IHCP-species-dilution-info": "1/100 - 1/500", "IHCP-species-notes": "<p></p>" } } }

Properties and storage information

Form
Liquid
Purification technique
Affinity purification Protein A
Storage buffer
pH: 7.4 Preservative: 0.02% Proclin 300 Constituents: 50% Glycerol (glycerin, glycerine), 48.98% TBS, 1X, 1% BSA
Shipped at conditions
Blue Ice
Appropriate short-term storage duration
1-2 weeks
Appropriate short-term storage conditions
+4°C
Appropriate long-term storage conditions
-20°C
Aliquoting information
Upon delivery aliquot
Storage information
Avoid freeze / thaw cycle

Supplementary information

This supplementary information is collated from multiple sources and compiled automatically.

ATP7B also known as Wilson disease protein is a copper-transporting ATPase. This protein has a mass of approximately 146 kDa. It is mainly expressed in the liver kidney placenta and brain. ATP7B functions mechanically by transporting copper across different cellular compartments. It utilizes ATP hydrolysis to pump copper ions helping the body regulate copper homeostasis. This transport activity is located predominantly in the trans-Golgi network where ATP7B assists in incorporating copper into ceruloplasmin a critical copper-carrying blood plasma protein.
Biological function summary

ATP7B plays a significant role in maintaining copper balance within the body. It associates with intracellular vesicles and through its catalytic activity influences various cellular metabolic processes. Although ATP7B does not typically form large complexes its interaction with other proteins and cellular organelles contributes to copper ion binding and transfer. Proper ATP7B function ensures that copper is channeled effectively to places where it is required for enzymatic activity or is expelled from cells to prevent accumulation.

Pathways

ATP7B is a central figure in the copper transport and homeostasis pathway. Its role is directly connected to the biosynthesis of copper-dependent enzymes. The protein impacts the pathway involving ceruloplasmin biosynthesis by regulating copper ion incorporation. ATP7A another copper-transporting ATPase shares similar pathway responsibilities but in different tissues showing divergence in their specific biological roles. Together they ensure whole-body copper balance.

ATP7B mutations or dysfunction is strongly implicated in Wilson's disease a genetic disorder characterized by excessive copper accumulation. This can result in hepatic neurological and psychiatric symptoms due to copper buildup. The protein's relationship to Wilson's disease suggests its critical role in preventing copper toxicity. There is also evidence linking ATP7B with Menkes disease but ATP7A plays a more direct role in Menkes highlighting the distinct responsibilities these ATPases have in different tissues and conditions.

Product protocols

For this product, it's our understanding that no specific protocols are required. You can visit:

Target data

Copper ion transmembrane transporter involved in the export of copper out of the cells. It is involved in copper homeostasis in the liver, where it ensures the efflux of copper from hepatocytes into the bile in response to copper overload.
See full target information ATP7B

Publications (1)

Recent publications for all applications. Explore the full list and refine your search

eLife 11: PubMed36355419

2022

SRSF10 is essential for progenitor spermatogonia expansion by regulating alternative splicing.

Applications

Unspecified application

Species

Unspecified reactive species

Wenbo Liu,Xukun Lu,Zheng-Hui Zhao,Ruibao Su,Qian-Nan Li Li,Yue Xue,Zheng Gao,Si-Min Sun Sun,Wen-Long Lei,Lei Li,Geng An,Hanyan Liu,Zhiming Han,Ying-Chun Ouyang,Yi Hou,Zhen-Bo Wang,Qing-Yuan Sun,Jianqiao Liu
View all publications

Product promise

We are committed to supporting your work with high-quality reagents, and we're here for you every step of the way. In the unlikely event that one of our products does not perform as expected, you're protected by our Product Promise.
For full details, please see our Terms & Conditions

Please note: All products are 'FOR RESEARCH USE ONLY. NOT FOR USE IN DIAGNOSTIC OR THERAPEUTIC PROCEDURES'.

For licensing inquiries, please contact partnerships@abcam.com