JavaScript is disabled in your browser. Please enable JavaScript to view this website.
AB325605

Anti-ATR antibody [EPR30640-130]

Be the first to review this product! Submit a review

|

(0 Publication)

Rabbit Recombinant Monoclonal ATR antibody. Suitable for Dot, WB and reacts with Recombinant fragment - Human, Human samples.

View Alternative Names

FRP1, ATR, Serine/threonine-protein kinase ATR, Ataxia telangiectasia and Rad3-related protein, FRAP-related protein 1

3 Images
Western blot - Anti-ATR antibody [EPR30640-130] (AB325605)
  • WB

Lab

Western blot - Anti-ATR antibody [EPR30640-130] (AB325605)

Blocking and diluting buffer and concentration : 5% NFDM/TBST.

This blot was developed using a high-sensitivity ECL substrate, allowing for the detection of proteins in the mid-femtogram range.

To minimize protein degradation, the fresh lysates were lysed immediately after harvest and then applied to a gel and transfer membrane for Western blotting as soon as possible.

In Western blot, Anti-Vinculin antibody [EPR8185] (ab129002) (1 : 10000) (124KDa).

All lanes:

Western blot - Anti-ATR antibody [EPR30640-130] (ab325605) at 1/1000 dilution

Lane 1:

HeLa (human cervical adenocarcinoma epithelial cell) transfected with scrambled siRNA control whole cell lysate at 20 µg

Lane 2:

HeLa transfected with siRNA specifically targeting ATR whole cell lysate at 20 µg

Secondary

All lanes:

Western blot - Goat Anti-Rabbit IgG H&L (HRP) (<a href='/en-us/products/secondary-antibodies/goat-rabbit-igg-h-l-hrp-ab97051'>ab97051</a>) at 1/20000 dilution

Observed band size: 270 kDa,124 kDa

true

Exposure time: 180s

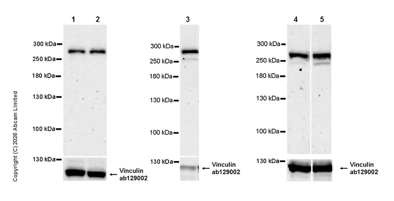
Western blot - Anti-ATR antibody [EPR30640-130] (AB325605)
  • WB

Lab

Western blot - Anti-ATR antibody [EPR30640-130] (AB325605)

Blocking and diluting buffer and concentration : 5% NFDM/TBST.

To minimize protein degradation, the fresh lysates were lysed immediately after harvest and then applied to a gel and transfer membrane for Western blotting as soon as possible.

In Western blot, Anti-Vinculin antibody [EPR8185] (ab129002) (1 : 10000) (124KDa).

All lanes:

Western blot - Anti-ATR antibody [EPR30640-130] (ab325605) at 1/1000 dilution

Lane 1:

HeLa (human cervical adenocarcinoma epithelial cell) whole cell lysate at 20 µg

Lane 2:

293T (human embryonic kidney epithelial cell) whole cell lysate at 20 µg

Lane 3:

Jurkat (human T cell leukemia T lymphocyte from peripheral blood) whole cell lysate at 20 µg

Lane 4:

K-562 (human chronic myelogenous leukemia lymphoblast) whole cell lysate at 48 µg

Lane 5:

MIA PaCa-2 (human pancreas epithelial cell) whole cell lysate at 48 µg

Secondary

All lanes:

Western blot - Goat Anti-Rabbit IgG H&L (HRP) (<a href='/en-us/products/secondary-antibodies/goat-rabbit-igg-h-l-hrp-ab97051'>ab97051</a>) at 1/20000 dilution

Observed band size: 270 kDa,124 kDa

false

Exposure time: 180s

Dot Blot - Anti-ATR antibody [EPR30640-130] (AB325605)
  • Dot

Lab

Dot Blot - Anti-ATR antibody [EPR30640-130] (AB325605)

Dot blot analysis of ATR using ab325605 at 1 : 1000 (0.462 ¦Мg/ml) followed by a Goat Anti-Rabbit IgG, (H+L), Peroxidase conjugated (ab97051) at 1 : 100,000 dilution.

Lane 1 : No-tagged human ATR recombinant protein fragment

Exposure time : 180 seconds.

Blocking and diluting buffer and concentration : 5% NFDM/TBST.

All lanes:

Dot Blot - Anti-ATR antibody [EPR30640-130] (ab325605) at 1/1000 dilution

All lanes:

No-tagged human ATR recombinant protein fragment

Secondary

All lanes:

Dot Blot - Goat Anti-Rabbit IgG H&L (HRP) (<a href='/en-us/products/secondary-antibodies/goat-rabbit-igg-h-l-hrp-ab97051'>ab97051</a>) at 1/100000 dilution

false

Exposure time: 180s

Key facts

Host species

Rabbit

Clonality

Monoclonal

Isotype

IgG

Carrier free

No

Reacts with

Human

Applications

WB, Dot

applications

Immunogen

The exact immunogen used to generate this antibody is proprietary information.

Reactivity data

{ "title": "Reactivity Data", "filters": { "stats": ["", "Species", "Dilution Info", "Notes"], "tabs": { "all-applications": {"fullname" : "All Applications", "shortname": "All Applications"}, "Dot" : {"fullname" : "Dot Blot", "shortname":"Dot"}, "WB" : {"fullname" : "Western blot", "shortname":"WB"}, "IP" : {"fullname" : "Immunoprecipitation", "shortname":"IP"}, "ICCIF" : {"fullname" : "Immunocytochemistry/ Immunofluorescence", "shortname":"ICC/IF"}, "IHCP" : {"fullname" : "Immunohistochemistry (Formalin/PFA-fixed paraffin-embedded sections)", "shortname":"IHC-P"} }, "product-promise": { "all": "all", "testedAndGuaranteed": "tested", "guaranteed": "expected", "predicted": "predicted", "notRecommended": "not-recommended" } }, "values": { "Human": { "Dot-species-checked": "guaranteed", "Dot-species-dilution-info": "", "Dot-species-notes": "", "WB-species-checked": "testedAndGuaranteed", "WB-species-dilution-info": "1/1000", "WB-species-notes": "<p></p>", "IP-species-checked": "notRecommended", "IP-species-dilution-info": "", "IP-species-notes": "<p></p>", "ICCIF-species-checked": "notRecommended", "ICCIF-species-dilution-info": "", "ICCIF-species-notes": "<p></p>", "IHCP-species-checked": "notRecommended", "IHCP-species-dilution-info": "", "IHCP-species-notes": "<p></p>" }, "Recombinant fragment - Human": { "Dot-species-checked": "testedAndGuaranteed", "Dot-species-dilution-info": "1/1000", "Dot-species-notes": "<p></p>", "WB-species-checked": "notRecommended", "WB-species-dilution-info": "", "WB-species-notes": "", "IP-species-checked": "notRecommended", "IP-species-dilution-info": "", "IP-species-notes": "", "ICCIF-species-checked": "notRecommended", "ICCIF-species-dilution-info": "", "ICCIF-species-notes": "", "IHCP-species-checked": "notRecommended", "IHCP-species-dilution-info": "", "IHCP-species-notes": "" } } }

Product details

Patented technology
Our RabMAb® technology is a patented hybridoma-based technology for making rabbit monoclonal antibodies. For details on our patents, please refer to RabMAb® patents.

What are the advantages of a recombinant monoclonal antibody?
This product is a recombinant monoclonal antibody, which offers several advantages including:

  • - High batch-to-batch consistency and reproducibility
  • - Improved sensitivity and specificity
  • - Long-term security of supply
  • - Animal-free batch production

For more information, read more on recombinant antibodies.

Properties and storage information

Form
Liquid
Purification technique
Affinity purification Protein A
Storage buffer
pH: 7.2 - 7.4 Preservative: 0.01% Sodium azide Constituents: PBS, 40% Glycerol (glycerin, glycerine), 0.05% BSA
Shipped at conditions
Blue Ice
Appropriate short-term storage duration
1-2 weeks
Appropriate short-term storage conditions
+4°C
Appropriate long-term storage conditions
-20°C
Aliquoting information
Upon delivery aliquot
Storage information
Avoid freeze / thaw cycle

Product protocols

For this product, it's our understanding that no specific protocols are required. You can visit:

Target data

Serine/threonine protein kinase which activates checkpoint signaling upon genotoxic stresses such as ionizing radiation (IR), ultraviolet light (UV), or DNA replication stalling, thereby acting as a DNA damage sensor (PubMed : 10597277, PubMed : 10608806, PubMed : 10859164, PubMed : 11721054, PubMed : 12791985, PubMed : 12814551, PubMed : 14657349, PubMed : 14729973, PubMed : 14742437, PubMed : 15210935, PubMed : 15496423, PubMed : 16260606, PubMed : 21144835, PubMed : 21777809, PubMed : 23273981, PubMed : 25083873, PubMed : 27723717, PubMed : 27723720, PubMed : 30139873, PubMed : 33848395, PubMed : 37788673, PubMed : 37832547, PubMed : 9427750, PubMed : 9636169). Recognizes the substrate consensus sequence [ST]-Q (PubMed : 10597277, PubMed : 10608806, PubMed : 10859164, PubMed : 11721054, PubMed : 12791985, PubMed : 12814551, PubMed : 14657349, PubMed : 14729973, PubMed : 14742437, PubMed : 15210935, PubMed : 15496423, PubMed : 16260606, PubMed : 21144835, PubMed : 23273981, PubMed : 27723717, PubMed : 27723720, PubMed : 33848395, PubMed : 9427750, PubMed : 9636169). Phosphorylates BRCA1, CHEK1, MCM2, RAD17, RBBP8, RPA2, SMC1 and p53/TP53, which collectively inhibit DNA replication and mitosis and promote DNA repair, recombination and apoptosis (PubMed : 11114888, PubMed : 11418864, PubMed : 11865061, PubMed : 21777809, PubMed : 23273981, PubMed : 25083873, PubMed : 9925639). Phosphorylates 'Ser-139' of histone variant H2AX at sites of DNA damage, thereby regulating DNA damage response mechanism (PubMed : 11673449). Required for FANCD2 ubiquitination (PubMed : 15314022). Critical for maintenance of fragile site stability and efficient regulation of centrosome duplication (PubMed : 12526805). Acts as a regulator of the S-G2 transition by restricting the activity of CDK1 during S-phase to prevent premature entry into G2 (PubMed : 30139873). Acts as a regulator of the nuclear envelope integrity in response to DNA damage and stress (PubMed : 25083873, PubMed : 37788673, PubMed : 37832547). Acts as a mechanical stress sensor at the nuclear envelope : relocalizes to the nuclear envelope in response to mechanical stress and mediates a checkpoint via phosphorylation of CHEK1 (PubMed : 25083873). Also promotes nuclear envelope rupture in response to DNA damage by mediating phosphorylation of LMNA at 'Ser-282', leading to lamin disassembly (PubMed : 37832547). Involved in the inflammatory response to genome instability and double-stranded DNA breaks : acts by localizing to micronuclei arising from genome instability and catalyzing phosphorylation of LMNA at 'Ser-395', priming LMNA for subsequent phosphorylation by CDK1 and micronuclei envelope rupture (PubMed : 37788673). The rupture of micronuclear envelope triggers the cGAS-STING pathway thereby activating the type I interferon response and innate immunity (PubMed : 37788673). Positively regulates the restart of stalled replication forks following activation by the KHDC3L-OOEP scaffold complex (By similarity).
See full target information ATR

Product promise

We are committed to supporting your work with high-quality reagents, and we're here for you every step of the way. In the unlikely event that one of our products does not perform as expected, you're protected by our Product Promise.
For full details, please see our Terms & Conditions

Please note: All products are 'FOR RESEARCH USE ONLY. NOT FOR USE IN DIAGNOSTIC OR THERAPEUTIC PROCEDURES'.

For licensing inquiries, please contact partnerships@abcam.com