JavaScript is disabled in your browser. Please enable JavaScript to view this website.
AB178407

Anti-ATR (phospho S428) antibody [EPR2184]

Be the first to review this product! Submit a review

|

(23 Publications)

Rabbit Recombinant Monoclonal ATR phospho S428 antibody. Suitable for IHC-P, Dot, WB and reacts with Human, Synthetic peptide samples. Cited in 23 publications.

View Alternative Names

FRP1, ATR, Serine/threonine-protein kinase ATR, Ataxia telangiectasia and Rad3-related protein, FRAP-related protein 1

5 Images
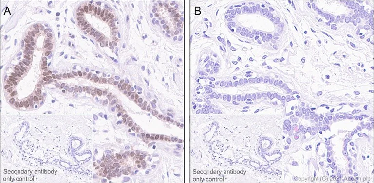
Immunohistochemistry (Formalin/PFA-fixed paraffin-embedded sections) - Anti-ATR (phospho S428) antibody [EPR2184] (AB178407)
  • IHC-P

Supplier Data

Immunohistochemistry (Formalin/PFA-fixed paraffin-embedded sections) - Anti-ATR (phospho S428) antibody [EPR2184] (AB178407)

Immunohistochemical analysis of Paraffin-embedded human thyroid tissue sections labelling ATR with ab178407 at 1/5000 dilution followed by ready to use secondary ab209101 Rabbit specific IHC polymer detection kit HRP/DAB. Counterstained with Hematoxylin. Heat mediated antigen retrieval using Bond™ Epitope Retrieval Solution 2 (pH 9.0) for 20 minutes.

Nuclear staining on human thyroid without alkaline phosphatase (or Lambda Protein Phosphatase) treatment; No signal was detected when tissues were treated with alkaline phosphatase (image B). The section was incubated with ab178407 for 30 mins at room temperature. The immunostaining was performed on a Leica Biosystems BOND® RX instrument

Western blot - Anti-ATR (phospho S428) antibody [EPR2184] (AB178407)
  • WB

Supplier Data

Western blot - Anti-ATR (phospho S428) antibody [EPR2184] (AB178407)

Blocking and diluting buffer : 5% NFDM/TBST

Exposure time : 60 seconds

We are unsure of the nature of the 160kDa band.

All lanes:

Western blot - Anti-ATR (phospho S428) antibody [EPR2184] (ab178407) at 1/1000 dilution

Lane 1:

Untreated HeLa (Human cervix adenocarcinoma epithelial cell) whole cell lysate at 15 µg

Lane 2:

HeLa treated with 4mM hydroxyurea for 20 hours whole cell lysate at 15 µg

Lane 3:

HeLa treated with 4mM hydroxyurea for 20 hours whole cell lysate, then the membrane treated with Alkaline Phosphatase for 1 hour at 15 µg

Secondary

All lanes:

Western blot - Goat Anti-Rabbit IgG H&L (HRP) (<a href='/en-us/products/secondary-antibodies/goat-rabbit-igg-h-l-hrp-ab97051'>ab97051</a>) at 1/20000 dilution

Predicted band size: 301 kDa

Observed band size: 270 kDa

false

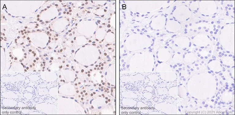
Immunohistochemistry (Formalin/PFA-fixed paraffin-embedded sections) - Anti-ATR (phospho S428) antibody [EPR2184] (AB178407)
  • IHC-P

Supplier Data

Immunohistochemistry (Formalin/PFA-fixed paraffin-embedded sections) - Anti-ATR (phospho S428) antibody [EPR2184] (AB178407)

Immunohistochemical analysis of Paraffin-embedded human breast tissue sections labelling ATR with ab178407 at 1/5000 dilution followed by ready to use secondary ab209101 Rabbit specific IHC polymer detection kit HRP/DAB. Counterstained with Hematoxylin. Heat mediated antigen retrieval using Bond™ Epitope Retrieval Solution 2 (pH 9.0) for 20 minutes.

Nuclear staining on human breast without alkaline phosphatase (or Lambda Protein Phosphatase) treatment; No signal was detected when tissues were treated with alkaline phosphatase (image B). The section was incubated with ab178407 for 30 mins at room temperature. The immunostaining was performed on a Leica Biosystems BOND® RX instrument

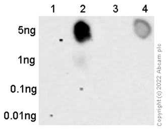
Dot Blot - Anti-ATR (phospho S428) antibody [EPR2184] (AB178407)
  • Dot

Supplier Data

Dot Blot - Anti-ATR (phospho S428) antibody [EPR2184] (AB178407)

Dot blot analysis using 1/1000 dilution ab178407 and Goat Anti-Rabbit IgG, (H+L), Peroxidase conjugated (ab97051) secondary at 1/100000 dilution.

Blocking and diluting buffer : 5% NFDM/TBST

Lane 1 : ATR non-phospho peptide

Lane 2 : ATR S428 phospho peptide

Lane 3 : ATR S435 phospho peptide

Lane 4 : ATR S428+S435 phospho peptide

Exposure time : 3 minutes

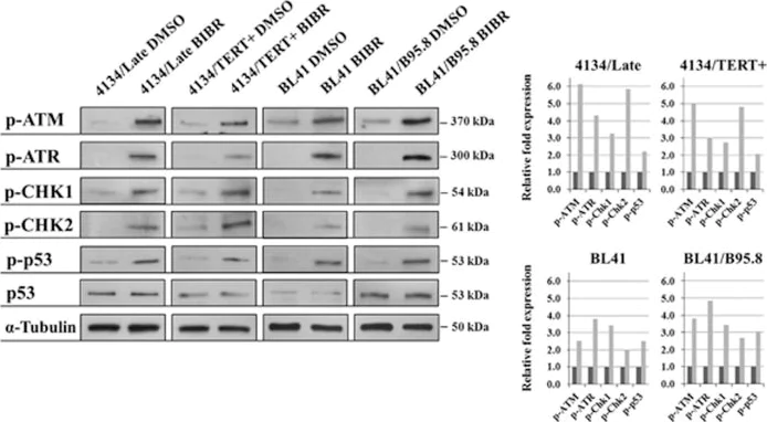
Western blot - Anti-ATR (phospho S428) antibody [EPR2184] (AB178407)
  • WB

CiteAb

Western blot - Anti-ATR (phospho S428) antibody [EPR2184] (AB178407)

ATR (phospho S428) western blot using anti-ATR (phospho S428) antibody [EPR2184] ab178407. Publication image and figure legend from Celeghin, A., Giunco, S., et al., 2016, Cell Death Dis, PubMed 28032863.

ab178407 was used in this publication in western blot. This may not be the same as the application(s) guaranteed by Abcam. For a full list of applications guaranteed by Abcam for ab178407 please see the product overview.

TERT inhibition activates the ATM and ATR cascades. TERT inhibition by BIBR results in activation of ATM/ATR pathways in 4134/Late, 4134/TERT+, BL41 and BL41/B95.8 cell lines. Cells were treated with BIBR (30 μM) and analyzed after 36 h of exposure by western blot. Phospho-ATM (p-ATM), phospho-ATR (p-ATR), phospho-CHK1 (p-CHK1), phospho-CHK2 (p-CHK2), phospho-p53 (p-p53) and p53 (p53) protein expression, detected by specific antibodies, are shown. Graphs on right : densitometry analysis in arbitrary units performed with ImageJ software (NIH, Bethesda, MD, USA), with value of 1 assigned to DMSO-treated control samples. Gray bars : BIBR-treated cells; black bars : DMSO-treated control cells

false

  • Carrier free

    Anti-ATR (phospho S428) antibody [EPR2184] - BSA and Azide free

Key facts

Host species

Rabbit

Clonality

Monoclonal

Clone number

EPR2184

Isotype

IgG

Carrier free

No

Reacts with

Human

Applications

WB, IHC-P, Dot

applications

Immunogen

The exact immunogen used to generate this antibody is proprietary information.

Specificity

Stimulation may be required to allow detection of the phosphorylated protein. Please see images below for recommended treatment conditions and positive controls.

Reactivity data

{ "title": "Reactivity Data", "filters": { "stats": ["", "Species", "Dilution Info", "Notes"], "tabs": { "all-applications": {"fullname" : "All Applications", "shortname": "All Applications"}, "IHCP" : {"fullname" : "Immunohistochemistry (Formalin/PFA-fixed paraffin-embedded sections)", "shortname":"IHC-P"}, "IP" : {"fullname" : "Immunoprecipitation", "shortname":"IP"}, "FlowCyt" : {"fullname" : "Flow Cytometry", "shortname":"Flow Cyt"}, "Dot" : {"fullname" : "Dot Blot", "shortname":"Dot"}, "WB" : {"fullname" : "Western blot", "shortname":"WB"}, "ICCIF" : {"fullname" : "Immunocytochemistry/ Immunofluorescence", "shortname":"ICC/IF"} }, "product-promise": { "all": "all", "testedAndGuaranteed": "tested", "guaranteed": "expected", "predicted": "predicted", "notRecommended": "not-recommended" } }, "values": { "Human": { "IHCP-species-checked": "testedAndGuaranteed", "IHCP-species-dilution-info": "1/50 - 1/100", "IHCP-species-notes": "<p></p> Perform heat-mediated antigen retrieval before commencing with IHC staining protocol.", "IP-species-checked": "notRecommended", "IP-species-dilution-info": "", "IP-species-notes": "<p></p>", "FlowCyt-species-checked": "notRecommended", "FlowCyt-species-dilution-info": "", "FlowCyt-species-notes": "<p></p>", "Dot-species-checked": "guaranteed", "Dot-species-dilution-info": "", "Dot-species-notes": "", "WB-species-checked": "testedAndGuaranteed", "WB-species-dilution-info": "1/1000 - 1/10000", "WB-species-notes": "<p></p>", "ICCIF-species-checked": "notRecommended", "ICCIF-species-dilution-info": "", "ICCIF-species-notes": "<p></p>" }, "Mouse": { "IHCP-species-checked": "notRecommended", "IHCP-species-dilution-info": "1/50 - 1/100", "IHCP-species-notes": "<p></p> Perform heat-mediated antigen retrieval before commencing with IHC staining protocol.", "IP-species-checked": "notRecommended", "IP-species-dilution-info": "", "IP-species-notes": "<p></p>", "FlowCyt-species-checked": "notRecommended", "FlowCyt-species-dilution-info": "", "FlowCyt-species-notes": "<p></p>", "Dot-species-checked": "notRecommended", "Dot-species-dilution-info": "1/1000", "Dot-species-notes": "<p></p>", "WB-species-checked": "notRecommended", "WB-species-dilution-info": "1/1000 - 1/10000", "WB-species-notes": "<p></p>", "ICCIF-species-checked": "notRecommended", "ICCIF-species-dilution-info": "", "ICCIF-species-notes": "<p></p>" }, "Rat": { "IHCP-species-checked": "notRecommended", "IHCP-species-dilution-info": "1/50 - 1/100", "IHCP-species-notes": "<p></p> Perform heat-mediated antigen retrieval before commencing with IHC staining protocol.", "IP-species-checked": "notRecommended", "IP-species-dilution-info": "", "IP-species-notes": "<p></p>", "FlowCyt-species-checked": "notRecommended", "FlowCyt-species-dilution-info": "", "FlowCyt-species-notes": "<p></p>", "Dot-species-checked": "notRecommended", "Dot-species-dilution-info": "1/1000", "Dot-species-notes": "<p></p>", "WB-species-checked": "notRecommended", "WB-species-dilution-info": "1/1000 - 1/10000", "WB-species-notes": "<p></p>", "ICCIF-species-checked": "notRecommended", "ICCIF-species-dilution-info": "", "ICCIF-species-notes": "<p></p>" }, "Synthetic peptide": { "IHCP-species-checked": "notRecommended", "IHCP-species-dilution-info": "", "IHCP-species-notes": "", "IP-species-checked": "notRecommended", "IP-species-dilution-info": "", "IP-species-notes": "", "FlowCyt-species-checked": "notRecommended", "FlowCyt-species-dilution-info": "", "FlowCyt-species-notes": "", "Dot-species-checked": "testedAndGuaranteed", "Dot-species-dilution-info": "1/1000", "Dot-species-notes": "<p></p>", "WB-species-checked": "notRecommended", "WB-species-dilution-info": "", "WB-species-notes": "", "ICCIF-species-checked": "notRecommended", "ICCIF-species-dilution-info": "", "ICCIF-species-notes": "" } } }

Product details

Patented technology
Our RabMAb® technology is a patented hybridoma-based technology for making rabbit monoclonal antibodies. For details on our patents, please refer to RabMAb® patents.

What are the advantages of a recombinant monoclonal antibody?
This product is a recombinant monoclonal antibody, which offers several advantages including:

  • - High batch-to-batch consistency and reproducibility
  • - Improved sensitivity and specificity
  • - Long-term security of supply
  • - Animal-free batch production

For more information, read more on recombinant antibodies.

Properties and storage information

Form
Liquid
Purification technique
Affinity purification Protein A
Storage buffer
pH: 7.2 - 7.4 Preservative: 0.01% Sodium azide Constituents: PBS, 40% Glycerol (glycerin, glycerine), 0.05% BSA
Shipped at conditions
Blue Ice
Appropriate short-term storage duration
1-2 weeks
Appropriate short-term storage conditions
+4°C
Appropriate long-term storage conditions
-20°C
Aliquoting information
Upon delivery aliquot
Storage information
Avoid freeze / thaw cycle

Supplementary information

This supplementary information is collated from multiple sources and compiled automatically.

ATR also known as Ataxia Telangiectasia and Rad3-related protein is a serine/threonine kinase with a molecular weight of approximately 301 kDa. This protein localizes mainly in the nucleus where it functions as an important component in the cellular response to DNA damage and replication stress. ATR detects DNA strand breaks and ssDNA coated with RPA and becomes activated to phosphorylate several downstream targets initiating the DNA damage response. High expression of ATR occurs in proliferative tissues emphasizing its role in cell cycle regulation.
Biological function summary

ATR plays an essential role in maintaining genomic stability. It is part of a larger protein complex that includes ATRIP (ATR-interacting protein) which helps in localizing ATR to sites of DNA damage. Once activated ATR phosphorylates various substrates including CHK1 a critical checkpoint kinase involved in cell cycle arrest during DNA repair processes. The ability of ATR to coordinate with these proteins helps cells manage DNA damage effectively and prevent genomic instability.

Pathways

ATR functions centrally in the DNA damage response and repair mechanisms particularly the ATR-Chk1 pathway. This pathway interacts closely with the ATM (Ataxia Telangiectasia Mutated) pathway which also responds to DNA damage but usually to double-strand breaks. ATR primarily acts in response to replication stress and its activation leads to the arrest of the cell cycle allowing DNA repair to occur. This cooperation between ATR and ATM highlights their complementary roles in safeguarding genomic integrity under stress.

ATR mutations and dysregulation have strong associations with cancer and Seckel syndrome. In the context of cancer ATR often works in concert with ATM to manage DNA repair and cancer cells frequently overexpress ATR to cope with high levels of replication stress. This makes ATR a potential target for cancer therapy where its inhibition could sensitize tumor cells to chemotherapy. In Seckel syndrome ATR mutations result in developmental anomalies showcasing the important role ATR plays in cellular replication and repair processes.

Product protocols

For this product, it's our understanding that no specific protocols are required. You can visit:

Target data

Serine/threonine protein kinase which activates checkpoint signaling upon genotoxic stresses such as ionizing radiation (IR), ultraviolet light (UV), or DNA replication stalling, thereby acting as a DNA damage sensor (PubMed : 10597277, PubMed : 10608806, PubMed : 10859164, PubMed : 11721054, PubMed : 12791985, PubMed : 12814551, PubMed : 14657349, PubMed : 14729973, PubMed : 14742437, PubMed : 15210935, PubMed : 15496423, PubMed : 16260606, PubMed : 21144835, PubMed : 21777809, PubMed : 23273981, PubMed : 25083873, PubMed : 27723717, PubMed : 27723720, PubMed : 30139873, PubMed : 33848395, PubMed : 37788673, PubMed : 37832547, PubMed : 9427750, PubMed : 9636169). Recognizes the substrate consensus sequence [ST]-Q (PubMed : 10597277, PubMed : 10608806, PubMed : 10859164, PubMed : 11721054, PubMed : 12791985, PubMed : 12814551, PubMed : 14657349, PubMed : 14729973, PubMed : 14742437, PubMed : 15210935, PubMed : 15496423, PubMed : 16260606, PubMed : 21144835, PubMed : 23273981, PubMed : 27723717, PubMed : 27723720, PubMed : 33848395, PubMed : 9427750, PubMed : 9636169). Phosphorylates BRCA1, CHEK1, MCM2, RAD17, RBBP8, RPA2, SMC1 and p53/TP53, which collectively inhibit DNA replication and mitosis and promote DNA repair, recombination and apoptosis (PubMed : 11114888, PubMed : 11418864, PubMed : 11865061, PubMed : 21777809, PubMed : 23273981, PubMed : 25083873, PubMed : 9925639). Phosphorylates 'Ser-139' of histone variant H2AX at sites of DNA damage, thereby regulating DNA damage response mechanism (PubMed : 11673449). Required for FANCD2 ubiquitination (PubMed : 15314022). Critical for maintenance of fragile site stability and efficient regulation of centrosome duplication (PubMed : 12526805). Acts as a regulator of the S-G2 transition by restricting the activity of CDK1 during S-phase to prevent premature entry into G2 (PubMed : 30139873). Acts as a regulator of the nuclear envelope integrity in response to DNA damage and stress (PubMed : 25083873, PubMed : 37788673, PubMed : 37832547). Acts as a mechanical stress sensor at the nuclear envelope : relocalizes to the nuclear envelope in response to mechanical stress and mediates a checkpoint via phosphorylation of CHEK1 (PubMed : 25083873). Also promotes nuclear envelope rupture in response to DNA damage by mediating phosphorylation of LMNA at 'Ser-282', leading to lamin disassembly (PubMed : 37832547). Involved in the inflammatory response to genome instability and double-stranded DNA breaks : acts by localizing to micronuclei arising from genome instability and catalyzing phosphorylation of LMNA at 'Ser-395', priming LMNA for subsequent phosphorylation by CDK1 and micronuclei envelope rupture (PubMed : 37788673). The rupture of micronuclear envelope triggers the cGAS-STING pathway thereby activating the type I interferon response and innate immunity (PubMed : 37788673). Positively regulates the restart of stalled replication forks following activation by the KHDC3L-OOEP scaffold complex (By similarity).
See full target information ATR phospho S428

Publications (23)

Recent publications for all applications. Explore the full list and refine your search

Nature communications 14:7430 PubMed37973845

2023

Repression of LSD1 potentiates homologous recombination-proficient ovarian cancer to PARP inhibitors through down-regulation of BRCA1/2 and RAD51.

Applications

Unspecified application

Species

Unspecified reactive species

Lei Tao,Yue Zhou,Xiangyu Pan,Yuan Luo,Jiahao Qiu,Xia Zhou,Zhiqian Chen,Yan Li,Lian Xu,Yang Zhou,Zeping Zuo,Chunqi Liu,Liang Wang,Xiaocong Liu,Xinyu Tian,Na Su,Zhengnan Yang,Yu Zhang,Kun Gou,Na Sang,Huan Liu,Jiao Zou,Yuzhou Xiao,Xi Zhong,Jing Xu,Xinyu Yang,Kai Xiao,Yanyang Liu,Shengyong Yang,Yong Peng,Junhong Han,Xiaobo Cen,Yinglan Zhao

Journal of bone and mineral research : the official journal of the American Society for Bone and Mineral Research 38:427-442 PubMed36625422

2023

Bmi-1 Overexpression Improves Sarcopenia Induced by 1,25(OH) D Deficiency and Downregulates GATA4-Dependent Rela Transcription.

Applications

Unspecified application

Species

Unspecified reactive species

Qiuyi Wang,Jingyu Zhao,Haiyun Chen,Jiawen Zhou,Ao Chen,Jin'ge Zhang,Yue Wang,Zhiyuan Mao,Jiachen Wang,Xuehan Qiu,Yutong Chen,Rong Wang,Yongjie Zhang,Dengshun Miao,Jianliang Jin

Scientific reports 12:19752 PubMed36396667

2022

Ginsenoside Rh2 sensitizes the anti-cancer effects of sunitinib by inducing cell cycle arrest in renal cell carcinoma.

Applications

Unspecified application

Species

Unspecified reactive species

Hyun Ji Hwang,Seong Hwi Hong,Hong Sang Moon,Young Eun Yoon,Sung Yul Park

The Journal of pathology 259:194-204 PubMed36373784

2022

Nuclear pCHK1 as a potential biomarker of increased sensitivity to ATR inhibition.

Applications

Unspecified application

Species

Unspecified reactive species

Vignesh Sundararajan,Tuan Zea Tan,Diana Lim,Yanfen Peng,Antje Margret Wengner,Natalie Yan Li Ngoi,Anand D Jeyasekharan,David Shao Peng Tan

Cell biology international 47:188-200 PubMed36183369

2022

HELQ suppresses migration and proliferation of non-small cell lung cancer cells by repairing DNA damage and inducing necrosis.

Applications

Unspecified application

Species

Unspecified reactive species

Nan Shan Zhong,Wei Lai Tong,Yu Zhang,Shi Ning Xiao,Jia Ming Liu,An An Li,Ge Liang Yao,Qing Lin,Zhi Li Liu

The journal of histochemistry and cytochemistry : official journal of the Histochemistry Society 70:199-210 PubMed34978208

2022

Prognostic Value of the Immunohistochemical Expression of RAD51 and BRCA2 in Gastric Adenocarcinoma.

Applications

Unspecified application

Species

Unspecified reactive species

Joel Del Bel Pádua,Carolline Fontes Alves Mariano,Alexandre Todorovic Fabro,Daniela Pretti da Cunha Tirapelli,Ajith Kumar Sankarankutty,José Sebastião Dos Santos,Mariângela Ottoboni Brunaldi

Journal of cellular and molecular medicine 25:11157-11169 PubMed34761497

2021

MET inhibition enhances PARP inhibitor efficacy in castration-resistant prostate cancer by suppressing the ATM/ATR and PI3K/AKT pathways.

Applications

Unspecified application

Species

Unspecified reactive species

Sihai Zhou,Zhihong Dai,Liang Wang,Xiang Gao,Liqin Yang,Zhenwei Wang,Qi Wang,Zhiyu Liu

Pathology oncology research : POR 27:1609844 PubMed34483751

2021

Vasculogenic Mimicry Formation Predicts Tumor Progression in Oligodendroglioma.

Applications

Unspecified application

Species

Unspecified reactive species

Jing Xie,Xue Kong,Wei Wang,Yuan Li,Mengyu Lin,Heng Li,Jingjing Chen,Wenchao Zhou,Jie He,Haibo Wu

Molecular medicine reports 23: PubMed33537816

2021

Notoginsenoside R1 induces DNA damage via PHF6 protein to inhibit cervical carcinoma cell proliferation.

Applications

Unspecified application

Species

Unspecified reactive species

Ting Cai,Wenquan Wu,Longhua Guo,Yongwu Xia,Xiaoxin Jiang,Limei Zhang,Feiding Peng,Pinghong Ming

Therapeutic advances in medical oncology 12:1758835920982853 PubMed33854565

2020

ATR and p-ATR are emerging prognostic biomarkers and DNA damage response targets in ovarian cancer.

Applications

Unspecified application

Species

Unspecified reactive species

Wenlong Feng,Dylan C Dean,Francis J Hornicek,Jinglu Wang,Yanyan Jia,Zhenfeng Duan,Huirong Shi
View all publications

Product promise

We are committed to supporting your work with high-quality reagents, and we're here for you every step of the way. In the unlikely event that one of our products does not perform as expected, you're protected by our Product Promise.
For full details, please see our Terms & Conditions

Associated Products

Select an associated product type
Alternative Product
Primary Antibodies

AB184137

Anti-ATR antibody

primary-antibodies

atr-antibody-ab184137

0

(0 reviews)

Alternative Product
Primary Antibodies

AB10312

Anti-ATR antibody

primary-antibodies

atr-antibody-ab10312

0

(0 reviews)

Alternative Product
Primary Antibodies

AB237563

Anti-ATR (phospho T1989) antibody [EPR21991] - BSA and Azide free

primary-antibodies

atr-phospho-t1989-antibody-epr21991-bsa-and-azide-free-ab237563

0

(0 reviews)

Alternative Product
Primary Antibodies

AB223258

Anti-ATR (phospho T1989) antibody [EPR21991]

primary-antibodies

atr-phospho-t1989-antibody-epr21991-ab223258

5

(1 reviews)

Alternative Product
Primary Antibodies

AB2905

Anti-ATR antibody

primary-antibodies

atr-antibody-ab2905

4

(23 reviews)

Alternative Product
Primary Antibodies

AB222820

Anti-ATR antibody

primary-antibodies

atr-antibody-ab222820

0

(0 reviews)

Please note: All products are 'FOR RESEARCH USE ONLY. NOT FOR USE IN DIAGNOSTIC OR THERAPEUTIC PROCEDURES'.

For licensing inquiries, please contact partnerships@abcam.com