JavaScript is disabled in your browser. Please enable JavaScript to view this website.
AB316925

Anti-ATR (phospho S428) antibody [EPR25772-3F09]

  • BOND RX™ Validated
  • 20ul selling size
  • Recombinant
  • RabMAb
  • What is this?

Be the first to review this product! Submit a review

|

(1 Publication)

Rabbit Recombinant Monoclonal ATR phospho S428 antibody. Suitable for I-ELISA, WB, IHC-P and reacts with Synthetic peptide - Human, Human, Mouse, Rat samples. Cited in 1 publication.

View Alternative Names

FRP1, ATR, Serine/threonine-protein kinase ATR, Ataxia telangiectasia and Rad3-related protein, FRAP-related protein 1

8 Images
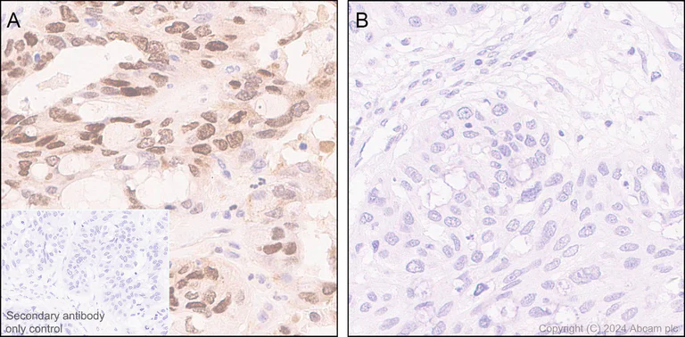
Immunohistochemistry (Formalin/PFA-fixed paraffin-embedded sections) - Anti-ATR (phospho S428) antibody [EPR25772-3F09] (AB316925)
  • IHC-P

Supplier Data

Immunohistochemistry (Formalin/PFA-fixed paraffin-embedded sections) - Anti-ATR (phospho S428) antibody [EPR25772-3F09] (AB316925)

Immunohistochemical analysis of paraffin-embedded Human ovarian cancer tissue labeling ATR (phospho S428) with ab316925 at 1/2000 (0.257 ug/ml) dilution, followed by a ready to use LeicaDS9800 (Bond™ Polymer Refine Detection).

Positive staining in human ovarian cancer without alkaline phosphatase treatment; No signal was detected when tissues were treated with alkaline phosphatase.
The section was incubated with ab316925 for 30 mins at room temperature.
The immunostaining was performed on a Leica Biosystems BOND® RX instrument

Counterstained with Hematoxylin.

Secondary antibody only control : Secondary antibody is a ready to use LeicaDS9800 (Bond™ Polymer Refine Detection).

Heat mediated antigen retrieval was performed with Tris-EDTA buffer (pH 9.0, Epitope Retrieval Solution2) for 20 mins

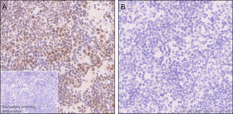
Immunohistochemistry (Formalin/PFA-fixed paraffin-embedded sections) - Anti-ATR (phospho S428) antibody [EPR25772-3F09] (AB316925)
  • IHC-P

Supplier Data

Immunohistochemistry (Formalin/PFA-fixed paraffin-embedded sections) - Anti-ATR (phospho S428) antibody [EPR25772-3F09] (AB316925)

Immunohistochemical analysis of paraffin-embedded Human spleen tissue labeling ATR (phospho S428) with ab316925 at 1/2000 (0.257 ug/ml) dilution, followed by a ready to use LeicaDS9800 (Bond™ Polymer Refine Detection).

Positive staining in human spleen without alkaline phosphatase treatment; No signal was detected when tissues were treated with alkaline phosphatase.
The section was incubated with ab316925 for 30 mins at room temperature.
The immunostaining was performed on a Leica Biosystems BOND® RX instrument

Counterstained with Hematoxylin.

Secondary antibody only control : Secondary antibody is a ready to use LeicaDS9800 (Bond™ Polymer Refine Detection).

Heat mediated antigen retrieval was performed with Tris-EDTA buffer (pH 9.0, Epitope Retrieval Solution2) for 20 mins

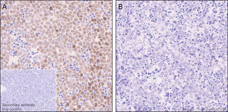
Immunohistochemistry (Formalin/PFA-fixed paraffin-embedded sections) - Anti-ATR (phospho S428) antibody [EPR25772-3F09] (AB316925)
  • IHC-P

Supplier Data

Immunohistochemistry (Formalin/PFA-fixed paraffin-embedded sections) - Anti-ATR (phospho S428) antibody [EPR25772-3F09] (AB316925)

Immunohistochemical analysis of paraffin-embedded Mouse Burkitt's lymphoma tissue labeling ATR (phospho S428) with ab316925 at 1/2000 (0.257 ug/ml) dilution, followed by a ready to use LeicaDS9800 (Bond™ Polymer Refine Detection).

Positive staining in mouse Burkitt's lymphoma without alkaline phosphatase treatment; No signal was detected when tissues were treated with alkaline phosphatase.
The section was incubated with ab316925 for 30 mins at room temperature.
The immunostaining was performed on a Leica Biosystems BOND® RX instrument

Counterstained with Hematoxylin.

Secondary antibody only control : Secondary antibody is a ready to use LeicaDS9800 (Bond™ Polymer Refine Detection).

Heat mediated antigen retrieval was performed with Tris-EDTA buffer (pH 9.0, Epitope Retrieval Solution2) for 20 mins

Immunohistochemistry (Formalin/PFA-fixed paraffin-embedded sections) - Anti-ATR (phospho S428) antibody [EPR25772-3F09] (AB316925)
  • IHC-P

Supplier Data

Immunohistochemistry (Formalin/PFA-fixed paraffin-embedded sections) - Anti-ATR (phospho S428) antibody [EPR25772-3F09] (AB316925)

Immunohistochemical analysis of paraffin-embedded Rat spleen tissue labeling ATR (phospho S428) with ab316925 at 1/2000 (0.257 ug/ml) dilution, followed by a ready to use LeicaDS9800 (Bond™ Polymer Refine Detection).

Positive staining in rat spleen without alkaline phosphatase treatment; No signal was detected when tissues were treated with alkaline phosphatase.
The section was incubated with ab316925 for 30 mins at room temperature.
The immunostaining was performed on a Leica Biosystems BOND® RX instrument

Counterstained with Hematoxylin.

Secondary antibody only control : Secondary antibody is a ready to use LeicaDS9800 (Bond™ Polymer Refine Detection).

Heat mediated antigen retrieval was performed with Tris-EDTA buffer (pH 9.0, Epitope Retrieval Solution2) for 20 mins

Immunohistochemistry (Formalin/PFA-fixed paraffin-embedded sections) - Anti-ATR (phospho S428) antibody [EPR25772-3F09] (AB316925)
  • IHC-P

Supplier Data

Immunohistochemistry (Formalin/PFA-fixed paraffin-embedded sections) - Anti-ATR (phospho S428) antibody [EPR25772-3F09] (AB316925)

Immunohistochemical analysis of paraffin-embedded Mouse spleen tissue labeling ATR (phospho S428) with ab316925 at 1/2000 (0.257 ug/ml) dilution, followed by a ready to use LeicaDS9800 (Bond™ Polymer Refine Detection).

Positive staining in mouse spleen without alkaline phosphatase treatment; No signal was detected when tissues were treated with alkaline phosphatase.
The section was incubated with ab316925 for 30 mins at room temperature.
The immunostaining was performed on a Leica Biosystems BOND® RX instrument

Counterstained with Hematoxylin.

Secondary antibody only control : Secondary antibody is a ready to use LeicaDS9800 (Bond™ Polymer Refine Detection).

Heat mediated antigen retrieval was performed with Tris-EDTA buffer (pH 9.0, Epitope Retrieval Solution2) for 20 mins

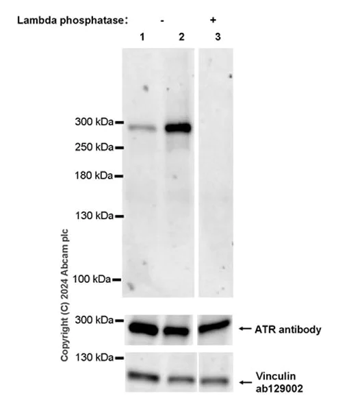
Western blot - Anti-ATR (phospho S428) antibody [EPR25772-3F09] (AB316925)
  • WB

Supplier Data

Western blot - Anti-ATR (phospho S428) antibody [EPR25772-3F09] (AB316925)

The identity of the bands between 100 kDa and 130 kDa are unknown.

In Western blot, Anti-Vinculin antibody [EPR8185] (ab129002) staining at 1/10000 dilution.

In Western blot, Anti-ATR antibody - Total protein control staining at 1/1000 dilution.

All lanes:

Western blot - Anti-ATR (phospho S428) antibody [EPR25772-3F09] (ab316925) at 1/1000 dilution

Lane 1:

Untreated HT-29 (human colorectal adenocarcinoma epithelial cell) whole cell lysate (untreated membrane) at 20 µg

Lane 2:

HT-29 treated with 100mJ/cm2 UV, then recovery for 30 minutes, whole cell lysate (untreated membrane) at 20 µg

Lane 3:

HT-29 treated with 100mJ/cm2 UV, then recovery for 30 minutes, whole cell lysate (Lambda phosphatase treated membrane) at 20 µg

Secondary

All lanes:

Western blot - Goat Anti-Rabbit IgG H&L (HRP) (<a href='/en-us/products/secondary-antibodies/goat-rabbit-igg-h-l-hrp-ab97051'>ab97051</a>) at 1/20000 dilution

Observed band size: 290 kDa,124 kDa

true

Exposure time: 180s

Western blot - Anti-ATR (phospho S428) antibody [EPR25772-3F09] (AB316925)
  • WB

Supplier Data

Western blot - Anti-ATR (phospho S428) antibody [EPR25772-3F09] (AB316925)

In Western blot, Anti-Vinculin antibody [EPR8185] (ab129002) staining at 1/10000 dilution.

In Western blot, Anti-ATR antibody - Total protein control staining at 1/1000 dilution.

All lanes:

Western blot - Anti-ATR (phospho S428) antibody [EPR25772-3F09] (ab316925) at 1/1000 dilution

Lane 1:

Untreated RAW264.7 (mouse Abelson murine leukemia virus-induced tumor macrophage) whole cell lysate (untreated membrane) at 20 µg

Lane 2:

RAW264.7 treated with 100J/m2 UV, then recovery for 4 hours, whole cell lysate (untreated membrane) at 20 µg

Lane 3:

RAW264.7 treated with 100J/m2 UV, then recovery for 4 hours, whole cell lysate (Lambda phosphatase treated membrane) at 20 µg

Secondary

All lanes:

Western blot - Goat Anti-Rabbit IgG H&L (HRP) (<a href='/en-us/products/secondary-antibodies/goat-rabbit-igg-h-l-hrp-ab97051'>ab97051</a>) at 1/20000 dilution

Observed band size: 290 kDa,124 kDa

false

Exposure time: 180s

Indirect ELISA - Anti-ATR (phospho S428) antibody [EPR25772-3F09] (AB316925)
  • I-ELISA

Supplier Data

Indirect ELISA - Anti-ATR (phospho S428) antibody [EPR25772-3F09] (AB316925)

Indirect ELISA analysis of ab316925 at 1000-0 ng/ml. The Secondary antibody used was Alkaline Phosphatase-conjugated AffiniPure Goat Anti-Rabbit IgG (H+L) at 1 : 2500 dilution.

Antigen : Human ATR (phospho S428) peptide a,Human ATR (phospho S435) peptide b,Human ATR (phospho S428+S435) peptide c,Human ATR non-phospho peptide.

Antigen concentration : 1000 ng/ml

  • Carrier free

    Anti-ATR (phospho S428) antibody [EPR25772-3F09] - BSA and Azide free

Key facts

Host species

Rabbit

Clonality

Monoclonal

Clone number

EPR25772-3F09

Isotype

IgG

Carrier free

No

Reacts with

Human, Mouse, Rat

Applications

WB, IHC-P, I-ELISA

applications

Immunogen

The exact immunogen used to generate this antibody is proprietary information.

Reactivity data

{ "title": "Reactivity Data", "filters": { "stats": ["", "Species", "Dilution Info", "Notes"], "tabs": { "all-applications": {"fullname" : "All Applications", "shortname": "All Applications"}, "IELISA" : {"fullname" : "Indirect ELISA", "shortname":"I-ELISA"}, "WB" : {"fullname" : "Western blot", "shortname":"WB"}, "IHCP" : {"fullname" : "Immunohistochemistry (Formalin/PFA-fixed paraffin-embedded sections)", "shortname":"IHC-P"}, "ICCIF" : {"fullname" : "Immunocytochemistry/ Immunofluorescence", "shortname":"ICC/IF"} }, "product-promise": { "all": "all", "testedAndGuaranteed": "tested", "guaranteed": "expected", "predicted": "predicted", "notRecommended": "not-recommended" } }, "values": { "Human": { "IELISA-species-checked": "guaranteed", "IELISA-species-dilution-info": "", "IELISA-species-notes": "", "WB-species-checked": "testedAndGuaranteed", "WB-species-dilution-info": "1/1000", "WB-species-notes": "<p></p>", "IHCP-species-checked": "testedAndGuaranteed", "IHCP-species-dilution-info": "1/2000", "IHCP-species-notes": "<p></p> Perform heat-mediated antigen retrieval with Tris/EDTA buffer pH 9.0 before commencing with IHC staining protocol.", "ICCIF-species-checked": "notRecommended", "ICCIF-species-dilution-info": "", "ICCIF-species-notes": "<p></p>" }, "Mouse": { "IELISA-species-checked": "guaranteed", "IELISA-species-dilution-info": "", "IELISA-species-notes": "", "WB-species-checked": "testedAndGuaranteed", "WB-species-dilution-info": "1/1000", "WB-species-notes": "<p></p>", "IHCP-species-checked": "testedAndGuaranteed", "IHCP-species-dilution-info": "1/2000", "IHCP-species-notes": "<p></p> Perform heat-mediated antigen retrieval with Tris/EDTA buffer pH 9.0 before commencing with IHC staining protocol.", "ICCIF-species-checked": "notRecommended", "ICCIF-species-dilution-info": "", "ICCIF-species-notes": "<p></p>" }, "Rat": { "IELISA-species-checked": "guaranteed", "IELISA-species-dilution-info": "", "IELISA-species-notes": "", "WB-species-checked": "guaranteed", "WB-species-dilution-info": "", "WB-species-notes": "", "IHCP-species-checked": "testedAndGuaranteed", "IHCP-species-dilution-info": "1/2000", "IHCP-species-notes": "<p></p> Perform heat-mediated antigen retrieval with Tris/EDTA buffer pH 9.0 before commencing with IHC staining protocol.", "ICCIF-species-checked": "notRecommended", "ICCIF-species-dilution-info": "", "ICCIF-species-notes": "" }, "Synthetic peptide - Human": { "IELISA-species-checked": "testedAndGuaranteed", "IELISA-species-dilution-info": "1000 ng/mL", "IELISA-species-notes": "<p></p>", "WB-species-checked": "notRecommended", "WB-species-dilution-info": "", "WB-species-notes": "", "IHCP-species-checked": "notRecommended", "IHCP-species-dilution-info": "", "IHCP-species-notes": "", "ICCIF-species-checked": "notRecommended", "ICCIF-species-dilution-info": "", "ICCIF-species-notes": "" } } }

Product details

Patented technology
Our RabMAb® technology is a patented hybridoma-based technology for making rabbit monoclonal antibodies. For details on our patents, please refer to RabMAb® patents.

What are the advantages of a recombinant monoclonal antibody?
This product is a recombinant monoclonal antibody, which offers several advantages including:

  • - High batch-to-batch consistency and reproducibility
  • - Improved sensitivity and specificity
  • - Long-term security of supply
  • - Animal-free batch production

For more information, read more on recombinant antibodies.

Properties and storage information

Form
Liquid
Purification technique
Affinity purification Protein A
Storage buffer
pH: 7.2 - 7.4 Preservative: 0.01% Sodium azide Constituents: PBS, 40% Glycerol (glycerin, glycerine), 0.05% BSA
Shipped at conditions
Blue Ice
Appropriate short-term storage duration
1-2 weeks
Appropriate short-term storage conditions
+4°C
Appropriate long-term storage conditions
-20°C
Aliquoting information
Upon delivery aliquot
Storage information
Avoid freeze / thaw cycle

Supplementary information

This supplementary information is collated from multiple sources and compiled automatically.

ATR also known as Ataxia Telangiectasia and Rad3-related protein is a serine/threonine kinase with a molecular weight of approximately 301 kDa. This protein localizes mainly in the nucleus where it functions as an important component in the cellular response to DNA damage and replication stress. ATR detects DNA strand breaks and ssDNA coated with RPA and becomes activated to phosphorylate several downstream targets initiating the DNA damage response. High expression of ATR occurs in proliferative tissues emphasizing its role in cell cycle regulation.
Biological function summary

ATR plays an essential role in maintaining genomic stability. It is part of a larger protein complex that includes ATRIP (ATR-interacting protein) which helps in localizing ATR to sites of DNA damage. Once activated ATR phosphorylates various substrates including CHK1 a critical checkpoint kinase involved in cell cycle arrest during DNA repair processes. The ability of ATR to coordinate with these proteins helps cells manage DNA damage effectively and prevent genomic instability.

Pathways

ATR functions centrally in the DNA damage response and repair mechanisms particularly the ATR-Chk1 pathway. This pathway interacts closely with the ATM (Ataxia Telangiectasia Mutated) pathway which also responds to DNA damage but usually to double-strand breaks. ATR primarily acts in response to replication stress and its activation leads to the arrest of the cell cycle allowing DNA repair to occur. This cooperation between ATR and ATM highlights their complementary roles in safeguarding genomic integrity under stress.

ATR mutations and dysregulation have strong associations with cancer and Seckel syndrome. In the context of cancer ATR often works in concert with ATM to manage DNA repair and cancer cells frequently overexpress ATR to cope with high levels of replication stress. This makes ATR a potential target for cancer therapy where its inhibition could sensitize tumor cells to chemotherapy. In Seckel syndrome ATR mutations result in developmental anomalies showcasing the important role ATR plays in cellular replication and repair processes.

Product protocols

For this product, it's our understanding that no specific protocols are required. You can visit:

Target data

Serine/threonine protein kinase which activates checkpoint signaling upon genotoxic stresses such as ionizing radiation (IR), ultraviolet light (UV), or DNA replication stalling, thereby acting as a DNA damage sensor (PubMed : 10597277, PubMed : 10608806, PubMed : 10859164, PubMed : 11721054, PubMed : 12791985, PubMed : 12814551, PubMed : 14657349, PubMed : 14729973, PubMed : 14742437, PubMed : 15210935, PubMed : 15496423, PubMed : 16260606, PubMed : 21144835, PubMed : 21777809, PubMed : 23273981, PubMed : 25083873, PubMed : 27723717, PubMed : 27723720, PubMed : 30139873, PubMed : 33848395, PubMed : 37788673, PubMed : 37832547, PubMed : 9427750, PubMed : 9636169). Recognizes the substrate consensus sequence [ST]-Q (PubMed : 10597277, PubMed : 10608806, PubMed : 10859164, PubMed : 11721054, PubMed : 12791985, PubMed : 12814551, PubMed : 14657349, PubMed : 14729973, PubMed : 14742437, PubMed : 15210935, PubMed : 15496423, PubMed : 16260606, PubMed : 21144835, PubMed : 23273981, PubMed : 27723717, PubMed : 27723720, PubMed : 33848395, PubMed : 9427750, PubMed : 9636169). Phosphorylates BRCA1, CHEK1, MCM2, RAD17, RBBP8, RPA2, SMC1 and p53/TP53, which collectively inhibit DNA replication and mitosis and promote DNA repair, recombination and apoptosis (PubMed : 11114888, PubMed : 11418864, PubMed : 11865061, PubMed : 21777809, PubMed : 23273981, PubMed : 25083873, PubMed : 9925639). Phosphorylates 'Ser-139' of histone variant H2AX at sites of DNA damage, thereby regulating DNA damage response mechanism (PubMed : 11673449). Required for FANCD2 ubiquitination (PubMed : 15314022). Critical for maintenance of fragile site stability and efficient regulation of centrosome duplication (PubMed : 12526805). Acts as a regulator of the S-G2 transition by restricting the activity of CDK1 during S-phase to prevent premature entry into G2 (PubMed : 30139873). Acts as a regulator of the nuclear envelope integrity in response to DNA damage and stress (PubMed : 25083873, PubMed : 37788673, PubMed : 37832547). Acts as a mechanical stress sensor at the nuclear envelope : relocalizes to the nuclear envelope in response to mechanical stress and mediates a checkpoint via phosphorylation of CHEK1 (PubMed : 25083873). Also promotes nuclear envelope rupture in response to DNA damage by mediating phosphorylation of LMNA at 'Ser-282', leading to lamin disassembly (PubMed : 37832547). Involved in the inflammatory response to genome instability and double-stranded DNA breaks : acts by localizing to micronuclei arising from genome instability and catalyzing phosphorylation of LMNA at 'Ser-395', priming LMNA for subsequent phosphorylation by CDK1 and micronuclei envelope rupture (PubMed : 37788673). The rupture of micronuclear envelope triggers the cGAS-STING pathway thereby activating the type I interferon response and innate immunity (PubMed : 37788673). Positively regulates the restart of stalled replication forks following activation by the KHDC3L-OOEP scaffold complex (By similarity).
See full target information ATR phospho S428

Publications (1)

Recent publications for all applications. Explore the full list and refine your search

Inflammation 48:3077-3096 PubMed39903421

2025

AZD6738 Attenuates LPS-Induced Corneal Inflammation and Fibrosis by Modulating Macrophage Function and Polarization.

Applications

Unspecified application

Species

Unspecified reactive species

Longxiang Huang,Youfang Luo
View all publications

Product promise

We are committed to supporting your work with high-quality reagents, and we're here for you every step of the way. In the unlikely event that one of our products does not perform as expected, you're protected by our Product Promise.
For full details, please see our Terms & Conditions

Please note: All products are 'FOR RESEARCH USE ONLY. NOT FOR USE IN DIAGNOSTIC OR THERAPEUTIC PROCEDURES'.

For licensing inquiries, please contact partnerships@abcam.com