JavaScript is disabled in your browser. Please enable JavaScript to view this website.
AB289363

Anti-ATR (phospho T1989) antibody [HL132] - BSA and Azide free

Be the first to review this product! Submit a review

|

(3 Publications)

Rabbit Recombinant Monoclonal ATR phospho T1989 antibody. Carrier free. Suitable for WB, IHC-P, ICC/IF and reacts with Human, Mouse, Rat samples. Cited in 3 publications. Immunogen corresponding to Synthetic Peptide within Human ATR phospho T1989.

View Alternative Names

FRP1, ATR, Serine/threonine-protein kinase ATR, Ataxia telangiectasia and Rad3-related protein, FRAP-related protein 1

6 Images
Immunocytochemistry/ Immunofluorescence - Anti-ATR (phospho T1989) antibody [HL132] - BSA and Azide free (AB289363)
  • ICC/IF

Supplier Data

Immunocytochemistry/ Immunofluorescence - Anti-ATR (phospho T1989) antibody [HL132] - BSA and Azide free (AB289363)

ab289363, ATR (phospho Thr1989) antibody [HL132] detects ATR (phospho Thr1989) protein by immunofluorescent analysis.
Sample : Mock and treated HeLa cells were fixed in 4% paraformaldehyde at RT for 15 min.
Green : ATR (phospho Thr1989) stained by ATR (phospho Thr1989) antibody [HL132] (ab289363) diluted at 1 : 500.
Blue : Fluoroshield with DAPI.

Immunohistochemistry (Formalin/PFA-fixed paraffin-embedded sections) - Anti-ATR (phospho T1989) antibody [HL132] - BSA and Azide free (AB289363)
  • IHC-P

Supplier Data

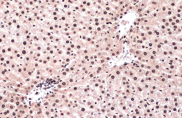
Immunohistochemistry (Formalin/PFA-fixed paraffin-embedded sections) - Anti-ATR (phospho T1989) antibody [HL132] - BSA and Azide free (AB289363)

ATR (phospho Thr1989) antibody [HL132] detects ATR (phospho Thr1989) protein at nucleus by immunohistochemical analysis.
Sample : Paraffin-embedded mouse liver.
ATR (phospho Thr1989) stained by ATR (phospho Thr1989) antibody [HL132] (ab289363) diluted at 1 : 50.
Antigen Retrieval : Citrate buffer, pH 6.0, 15 min

Immunohistochemistry (Formalin/PFA-fixed paraffin-embedded sections) - Anti-ATR (phospho T1989) antibody [HL132] - BSA and Azide free (AB289363)
  • IHC-P

Supplier Data

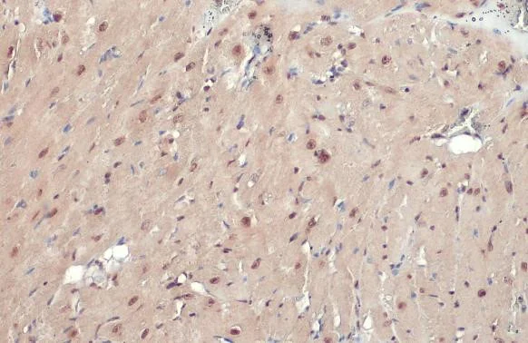
Immunohistochemistry (Formalin/PFA-fixed paraffin-embedded sections) - Anti-ATR (phospho T1989) antibody [HL132] - BSA and Azide free (AB289363)

ATR (phospho Thr1989) antibody [HL132] detects ATR (phospho Thr1989) protein at nucleus by immunohistochemical analysis.
Sample : Paraffin-embedded mouse heart.
ATR (phospho Thr1989) stained by ATR (phospho Thr1989) antibody [HL132] (ab289363) diluted at 1 : 100.
Antigen Retrieval : Citrate buffer, pH 6.0, 15 min

Immunohistochemistry (Formalin/PFA-fixed paraffin-embedded sections) - Anti-ATR (phospho T1989) antibody [HL132] - BSA and Azide free (AB289363)
  • IHC-P

Supplier Data

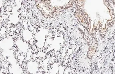
Immunohistochemistry (Formalin/PFA-fixed paraffin-embedded sections) - Anti-ATR (phospho T1989) antibody [HL132] - BSA and Azide free (AB289363)

Paraffin-embedded rat lung tissue stained for ATR (phospho Thr1989) protein at nucleus with ab289363 at a 1/200 dilution in immunohistochemical analysis.

Antigen Retrieval : Citrate buffer, pH 6.0, 15 min.

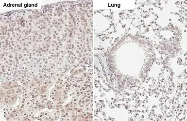
Immunohistochemistry (Formalin/PFA-fixed paraffin-embedded sections) - Anti-ATR (phospho T1989) antibody [HL132] - BSA and Azide free (AB289363)
  • IHC-P

Supplier Data

Immunohistochemistry (Formalin/PFA-fixed paraffin-embedded sections) - Anti-ATR (phospho T1989) antibody [HL132] - BSA and Azide free (AB289363)

Paraffin-embedded mouse adrenal gland and lung tissue stained for ATR (phospho Thr1989) protein with ab289363 at a 1/200 dilution in immunohistochemical analysis.

Antigen Retrieval : Citrate buffer, pH 6.0, 15 min.

Western blot - Anti-ATR (phospho T1989) antibody [HL132] - BSA and Azide free (AB289363)
  • WB

Supplier Data

Western blot - Anti-ATR (phospho T1989) antibody [HL132] - BSA and Azide free (AB289363)

Samples were separated by 5% SDS-PAGE. The signal was developed with ECL.

All lanes:

Western blot - Anti-ATR (phospho T1989) antibody [HL132] - BSA and Azide free (ab289363) at 1/500 dilution

Lane 1:

Untreated (–) HeLa whole cell extracts at 30 µg

Lane 2:

Treated (+) HeLa whole cell extracts at 30 µg

Secondary

All lanes:

HRP-conjugated anti-rabbit IgG antibody

Predicted band size: 301 kDa

true

Key facts

Host species

Rabbit

Clonality

Monoclonal

Clone number

HL132

Isotype

IgG

Carrier free

Yes

Reacts with

Mouse, Human, Rat

Applications

ICC/IF, IHC-P, WB

applications

Immunogen

Synthetic Peptide within Human ATR phospho T1989. The exact immunogen used to generate this antibody is proprietary information.

Q13535

Reactivity data

{ "title": "Reactivity Data", "filters": { "stats": ["", "Species", "Dilution Info", "Notes"], "tabs": { "all-applications": {"fullname" : "All Applications", "shortname": "All Applications"}, "WB" : {"fullname" : "Western blot", "shortname":"WB"}, "IHCP" : {"fullname" : "Immunohistochemistry (Formalin/PFA-fixed paraffin-embedded sections)", "shortname":"IHC-P"}, "ICCIF" : {"fullname" : "Immunocytochemistry/ Immunofluorescence", "shortname":"ICC/IF"} }, "product-promise": { "all": "all", "testedAndGuaranteed": "tested", "guaranteed": "expected", "predicted": "predicted", "notRecommended": "not-recommended" } }, "values": { "Human": { "WB-species-checked": "testedAndGuaranteed", "WB-species-dilution-info": "1/500 - 1/3000", "WB-species-notes": "<p></p>", "IHCP-species-checked": "guaranteed", "IHCP-species-dilution-info": "", "IHCP-species-notes": "", "ICCIF-species-checked": "testedAndGuaranteed", "ICCIF-species-dilution-info": "1/500", "ICCIF-species-notes": "<p></p>" }, "Mouse": { "WB-species-checked": "guaranteed", "WB-species-dilution-info": "", "WB-species-notes": "", "IHCP-species-checked": "testedAndGuaranteed", "IHCP-species-dilution-info": "1/50 - 1/100", "IHCP-species-notes": "<p></p>", "ICCIF-species-checked": "guaranteed", "ICCIF-species-dilution-info": "", "ICCIF-species-notes": "" }, "Rat": { "WB-species-checked": "guaranteed", "WB-species-dilution-info": "", "WB-species-notes": "", "IHCP-species-checked": "testedAndGuaranteed", "IHCP-species-dilution-info": "1/50 - 1/100", "IHCP-species-notes": "<p></p>", "ICCIF-species-checked": "guaranteed", "ICCIF-species-dilution-info": "", "ICCIF-species-notes": "" } } }

Product details

What are the advantages of a recombinant monoclonal antibody?
This product is a recombinant monoclonal antibody, which offers several advantages including:

  • - High batch-to-batch consistency and reproducibility
  • - Improved sensitivity and specificity
  • - Long-term security of supply
  • - Animal-free batch production

For more information, read more on recombinant antibodies.

Conjugation ready
Our carrier-free antibodies are typically supplied in a PBS-only formulation, purified and free of BSA, sodium azide and glycerol. This conjugation-ready format is designed for use with fluorochromes, metal isotopes, oligonucleotides, and enzymes, which makes them ideal for antibody labelling, functional and cell-based assays, flow-based assays (e.g. mass cytometry) and Multiplex Imaging applications.

Use our conjugation kits for antibody conjugates that are ready-to-use in as little as 20 minutes with 1 minute hands-on-time and 100% antibody recovery: available for fluorescent dyes, HRP, biotin and gold.

Properties and storage information

Form
Liquid
Purification technique
Affinity purification Protein A
Storage buffer
pH: 7.4 Constituents: PBS
Shipped at conditions
Blue Ice
Appropriate short-term storage conditions
+4°C
Appropriate long-term storage conditions
+4°C

Supplementary information

This supplementary information is collated from multiple sources and compiled automatically.

ATR also known as Ataxia Telangiectasia and Rad3-related protein is a serine/threonine kinase with a molecular weight of approximately 301 kDa. This protein localizes mainly in the nucleus where it functions as an important component in the cellular response to DNA damage and replication stress. ATR detects DNA strand breaks and ssDNA coated with RPA and becomes activated to phosphorylate several downstream targets initiating the DNA damage response. High expression of ATR occurs in proliferative tissues emphasizing its role in cell cycle regulation.
Biological function summary

ATR plays an essential role in maintaining genomic stability. It is part of a larger protein complex that includes ATRIP (ATR-interacting protein) which helps in localizing ATR to sites of DNA damage. Once activated ATR phosphorylates various substrates including CHK1 a critical checkpoint kinase involved in cell cycle arrest during DNA repair processes. The ability of ATR to coordinate with these proteins helps cells manage DNA damage effectively and prevent genomic instability.

Pathways

ATR functions centrally in the DNA damage response and repair mechanisms particularly the ATR-Chk1 pathway. This pathway interacts closely with the ATM (Ataxia Telangiectasia Mutated) pathway which also responds to DNA damage but usually to double-strand breaks. ATR primarily acts in response to replication stress and its activation leads to the arrest of the cell cycle allowing DNA repair to occur. This cooperation between ATR and ATM highlights their complementary roles in safeguarding genomic integrity under stress.

ATR mutations and dysregulation have strong associations with cancer and Seckel syndrome. In the context of cancer ATR often works in concert with ATM to manage DNA repair and cancer cells frequently overexpress ATR to cope with high levels of replication stress. This makes ATR a potential target for cancer therapy where its inhibition could sensitize tumor cells to chemotherapy. In Seckel syndrome ATR mutations result in developmental anomalies showcasing the important role ATR plays in cellular replication and repair processes.

Product protocols

For this product, it's our understanding that no specific protocols are required. You can visit:

Target data

Serine/threonine protein kinase which activates checkpoint signaling upon genotoxic stresses such as ionizing radiation (IR), ultraviolet light (UV), or DNA replication stalling, thereby acting as a DNA damage sensor (PubMed : 10597277, PubMed : 10608806, PubMed : 10859164, PubMed : 11721054, PubMed : 12791985, PubMed : 12814551, PubMed : 14657349, PubMed : 14729973, PubMed : 14742437, PubMed : 15210935, PubMed : 15496423, PubMed : 16260606, PubMed : 21144835, PubMed : 21777809, PubMed : 23273981, PubMed : 25083873, PubMed : 27723717, PubMed : 27723720, PubMed : 30139873, PubMed : 33848395, PubMed : 37788673, PubMed : 37832547, PubMed : 9427750, PubMed : 9636169). Recognizes the substrate consensus sequence [ST]-Q (PubMed : 10597277, PubMed : 10608806, PubMed : 10859164, PubMed : 11721054, PubMed : 12791985, PubMed : 12814551, PubMed : 14657349, PubMed : 14729973, PubMed : 14742437, PubMed : 15210935, PubMed : 15496423, PubMed : 16260606, PubMed : 21144835, PubMed : 23273981, PubMed : 27723717, PubMed : 27723720, PubMed : 33848395, PubMed : 9427750, PubMed : 9636169). Phosphorylates BRCA1, CHEK1, MCM2, RAD17, RBBP8, RPA2, SMC1 and p53/TP53, which collectively inhibit DNA replication and mitosis and promote DNA repair, recombination and apoptosis (PubMed : 11114888, PubMed : 11418864, PubMed : 11865061, PubMed : 21777809, PubMed : 23273981, PubMed : 25083873, PubMed : 9925639). Phosphorylates 'Ser-139' of histone variant H2AX at sites of DNA damage, thereby regulating DNA damage response mechanism (PubMed : 11673449). Required for FANCD2 ubiquitination (PubMed : 15314022). Critical for maintenance of fragile site stability and efficient regulation of centrosome duplication (PubMed : 12526805). Acts as a regulator of the S-G2 transition by restricting the activity of CDK1 during S-phase to prevent premature entry into G2 (PubMed : 30139873). Acts as a regulator of the nuclear envelope integrity in response to DNA damage and stress (PubMed : 25083873, PubMed : 37788673, PubMed : 37832547). Acts as a mechanical stress sensor at the nuclear envelope : relocalizes to the nuclear envelope in response to mechanical stress and mediates a checkpoint via phosphorylation of CHEK1 (PubMed : 25083873). Also promotes nuclear envelope rupture in response to DNA damage by mediating phosphorylation of LMNA at 'Ser-282', leading to lamin disassembly (PubMed : 37832547). Involved in the inflammatory response to genome instability and double-stranded DNA breaks : acts by localizing to micronuclei arising from genome instability and catalyzing phosphorylation of LMNA at 'Ser-395', priming LMNA for subsequent phosphorylation by CDK1 and micronuclei envelope rupture (PubMed : 37788673). The rupture of micronuclear envelope triggers the cGAS-STING pathway thereby activating the type I interferon response and innate immunity (PubMed : 37788673). Positively regulates the restart of stalled replication forks following activation by the KHDC3L-OOEP scaffold complex (By similarity).
See full target information ATR phospho T1989

Publications (3)

Recent publications for all applications. Explore the full list and refine your search

Cancer communications (London, England) 45:218-244 PubMed39698847

2024

Radiotherapy-resistant prostate cancer cells escape immune checkpoint blockade through the senescence-related ataxia telangiectasia and Rad3-related protein.

Applications

Unspecified application

Species

Unspecified reactive species

Chenyi Shao,Yingyi Zhang,Hang Li,Jiajia Chen,Ting Huang,Jiaze Li,Simeng Wen,Sen Wang,Saijun Fan,Yu Zhao

World journal of gastrointestinal oncology 16:4716-4727 PubMed39678812

2024

Enhancing the radiosensitivity of colorectal cancer cells by reducing spermine synthase through promoting autophagy and DNA damage.

Applications

Unspecified application

Species

Unspecified reactive species

Yu-Bin Guo,Yue-Ming Wu,Zhi-Zhao Lin

Journal of experimental & clinical cancer research : CR 42:256 PubMed37775817

2023

ATR-binding lncRNA ScaRNA2 promotes cancer resistance through facilitating efficient DNA end resection during homologous recombination repair.

Applications

Unspecified application

Species

Unspecified reactive species

Yuanyuan Chen,Hui Shen,Tingting Liu,Kun Cao,Zhijie Wan,Zhipeng Du,Hang Wang,Yue Yu,Shengzhe Ma,Edward Lu,Wei Zhang,Jianming Cai,Fu Gao,Yanyong Yang
View all publications

Product promise

We are committed to supporting your work with high-quality reagents, and we're here for you every step of the way. In the unlikely event that one of our products does not perform as expected, you're protected by our Product Promise.
For full details, please see our Terms & Conditions

Please note: All products are 'FOR RESEARCH USE ONLY. NOT FOR USE IN DIAGNOSTIC OR THERAPEUTIC PROCEDURES'.

For licensing inquiries, please contact partnerships@abcam.com