JavaScript is disabled in your browser. Please enable JavaScript to view this website.
AB85175

Anti-ATRAP antibody

Be the first to review this product! Submit a review

|

(3 Publications)

Rabbit Polyclonal ATRAP antibody. Suitable for WB, IHC-P and reacts with Human samples. Cited in 3 publications. Immunogen corresponding to Synthetic Peptide within Human AGTRAP.

View Alternative Names

ATRAP, AGTRAP, Type-1 angiotensin II receptor-associated protein, AT1 receptor-associated protein

2 Images
Western blot - Anti-ATRAP antibody (AB85175)
  • WB

Supplier Data

Western blot - Anti-ATRAP antibody (AB85175)

All lanes:

Western blot - Anti-ATRAP antibody (ab85175) at 1/500 dilution

Lane 1:

HeLa cell lysate

Lane 2:

HepG2 cell lysate

Lane 3:

SK0V3 cell lysate

Lane 4:

MCF-7 cell lysate

Lane 5:

MDA-MD-231 cell lysate

Predicted band size: 17 kDa

false

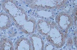
Immunohistochemistry (Formalin/PFA-fixed paraffin-embedded sections) - Anti-ATRAP antibody (AB85175)
  • IHC-P

Unknown

Immunohistochemistry (Formalin/PFA-fixed paraffin-embedded sections) - Anti-ATRAP antibody (AB85175)

ab85175, at 1/100 dilution, staining ATRAP in formalin-fixed, paraffin-embedded human kidney by Immunohistochemistry. Note cytoplasmic staining.

Key facts

Host species

Rabbit

Clonality

Polyclonal

Isotype

IgG

Carrier free

No

Reacts with

Human

Applications

IHC-P, WB

applications

Immunogen

Synthetic Peptide within Human AGTRAP. The exact immunogen used to generate this antibody is proprietary information.

Q6RW13

Reactivity data

{ "title": "Reactivity Data", "filters": { "stats": ["", "Species", "Dilution Info", "Notes"], "tabs": { "all-applications": {"fullname" : "All Applications", "shortname": "All Applications"}, "WB" : {"fullname" : "Western blot", "shortname":"WB"}, "IHCP" : {"fullname" : "Immunohistochemistry (Formalin/PFA-fixed paraffin-embedded sections)", "shortname":"IHC-P"} }, "product-promise": { "all": "all", "testedAndGuaranteed": "tested", "guaranteed": "expected", "predicted": "predicted", "notRecommended": "not-recommended" } }, "values": { "Human": { "WB-species-checked": "testedAndGuaranteed", "WB-species-dilution-info": "1/200 - 1/1000", "WB-species-notes": "<p></p>", "IHCP-species-checked": "testedAndGuaranteed", "IHCP-species-dilution-info": "1/50 - 1/200", "IHCP-species-notes": "<p></p>" } } }

Properties and storage information

Form
Lyophilized
Reconstitution
reconstitute with water at 200µL
Purification technique
Affinity purification Immunogen
Storage buffer
pH: 7.2 Preservative: 0.02% Sodium azide Constituents: 1% BSA
Shipped at conditions
Blue Ice
Appropriate short-term storage duration
1-2 weeks
Appropriate short-term storage conditions
+4°C
Appropriate long-term storage conditions
-20°C
Aliquoting information
Upon delivery aliquot
Storage information
Avoid freeze / thaw cycle

Supplementary information

This supplementary information is collated from multiple sources and compiled automatically.

ATRAP also known as Angiotensin II Type 1 Receptor-Associated Protein functions mainly by interacting directly with the Angiotensin II Type 1 Receptor (AT1R) to modulate its signaling. It weighs approximately 17 kDa and is expressed widely in tissues particularly within the kidney cardiovascular system and adipose tissues. ATRAP influences membrane localization and activity of the AT1R impacting various cellular responses.
Biological function summary

ATRAP limits excessive angiotensin II signaling by promoting internalization and degradation of the AT1R. Through this process it helps reduce cellular proliferation and inflammation often mediated by the receptor. ATRAP operates as a negative regulator maintaining balance in the renin-angiotensin system. It can function as part of multiprotein complexes involving AT1R and other signaling intermediates.

Pathways

ATRAP plays a role within the renin-angiotensin-aldosterone system (RAAS) which is critical for blood pressure regulation and fluid balance. It interacts with proteins like AT1R to modulate effects of angiotensin II. The action of ATRAP affects pathways connected to oxidative stress and inflammation indicating its broader influence in cardiovascular modulation.

ATRAP has involvement in hypertension and cardiovascular disease. Its ability to modulate AT1R signaling links it to conditions characterized by heightened angiotensin II activity. Research connects ATRAP with cardiac remodeling highlighting it alongside proteins like angiotensin-converting enzyme (ACE) in disease progression. Increasing ATRAP levels may provide therapeutic benefits in managing these conditions.

Product protocols

For this product, it's our understanding that no specific protocols are required. You can visit:

Target data

Appears to be a negative regulator of type-1 angiotensin II receptor-mediated signaling by regulating receptor internalization as well as mechanism of receptor desensitization such as phosphorylation. Induces also a decrease in cell proliferation and angiotensin II-stimulated transcriptional activity.
See full target information AGTRAP

Publications (3)

Recent publications for all applications. Explore the full list and refine your search

Alzheimer's & dementia : the journal of the Alzheimer's Association 21:e70103 PubMed40189804

2025

Structural changes in cerebral microvasculature induced by ferroptosis contribute to blood-brain barrier disruption in Alzheimer's disease: an autopsy study.

Applications

Unspecified application

Species

Unspecified reactive species

Yuan Cao,Mei-Ying Huang,Chen-Hui Mao,Xue Wang,Yuan-Yuan Xu,Xiao-Jing Qian,Chao Ma,Wen-Ying Qiu,Yi-Cheng Zhu

International journal of biological sciences 18:2452-2471 PubMed35414770

2022

USF1-ATRAP-PBX3 Axis Promote Breast Cancer Glycolysis and Malignant Phenotype by Activating AKT/mTOR Signaling.

Applications

Unspecified application

Species

Unspecified reactive species

Dandan Wang,Xiaoying Jin,Mengxia Lei,Ying Jiang,Yali Liu,Fei Yu,Yan Guo,Bing Han,Yue Yang,Weiling Sun,Ying Liu,Guangchun Zeng,Feng Liu,Jing Hu,Xuesong Chen

Scientific reports 9:16550 PubMed31719572

2019

Angiotensin II type 1 receptor-associated protein deficiency attenuates sirtuin1 expression in an immortalised human renal proximal tubule cell line.

Applications

Unspecified application

Species

Unspecified reactive species

Takahiro Yamaji,Akio Yamashita,Hiromichi Wakui,Kengo Azushima,Kazushi Uneda,Yumiko Fujikawa,Sona Haku,Ryu Kobayashi,Kohji Ohki,Kotaro Haruhara,Sho Kinguchi,Takeo Ishii,Takayuki Yamada,Shingo Urate,Toru Suzuki,Eriko Abe,Shohei Tanaka,Daisuke Kamimura,Tomoaki Ishigami,Yoshiyuki Toya,Hidehisa Takahashi,Kouichi Tamura
View all publications

Product promise

We are committed to supporting your work with high-quality reagents, and we're here for you every step of the way. In the unlikely event that one of our products does not perform as expected, you're protected by our Product Promise.
For full details, please see our Terms & Conditions

Please note: All products are 'FOR RESEARCH USE ONLY. NOT FOR USE IN DIAGNOSTIC OR THERAPEUTIC PROCEDURES'.

For licensing inquiries, please contact partnerships@abcam.com