JavaScript is disabled in your browser. Please enable JavaScript to view this website.
AB204169

Anti-ATRX antibody

Be the first to review this product! Submit a review

|

(2 Publications)

Rabbit Polyclonal ATRX antibody. Suitable for IHC-P, WB, ICC/IF and reacts with Human samples. Cited in 2 publications. Immunogen corresponding to Recombinant Fragment Protein within Human ATRX aa 2250-2450.

View Alternative Names

RAD54L, XH2, ATRX, Transcriptional regulator ATRX, ATP-dependent helicase ATRX, X-linked helicase II, X-linked nuclear protein, Znf-HX, XNP

7 Images
Immunohistochemistry (Formalin/PFA-fixed paraffin-embedded sections) - Anti-ATRX antibody (AB204169)
  • IHC-P

Supplier Data

Immunohistochemistry (Formalin/PFA-fixed paraffin-embedded sections) - Anti-ATRX antibody (AB204169)

Immunohistochemical analysis of human liver tissue labeling ATRX in the hepatocytes with ab204169 at a 1/500 dilution. No positivity as expected.

Performed heat mediated antigen retrieval with citrate buffer pH 6 before commencing with IHC staining protocol.

Immunocytochemistry/ Immunofluorescence - Anti-ATRX antibody (AB204169)
  • ICC/IF

Supplier Data

Immunocytochemistry/ Immunofluorescence - Anti-ATRX antibody (AB204169)

Immunocytochemical analysis of A549 (Human lung carcinoma cell line) whole cells labeling ATRX in the nucleoplasm and nuclear bodies with ab204169 at 2 μg/ml.

Performed heat mediated antigen retrieval with citrate buffer pH 6 before commencing with IHC staining protocol.

Immunohistochemistry (Formalin/PFA-fixed paraffin-embedded sections) - Anti-ATRX antibody (AB204169)
  • IHC-P

Supplier Data

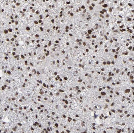
Immunohistochemistry (Formalin/PFA-fixed paraffin-embedded sections) - Anti-ATRX antibody (AB204169)

Immunohistochemical analysis of human glioma tissue labeling ATRX in the nucleus of tumor cells with ab204169 at a 1/500 dilution.

Performed heat mediated antigen retrieval with citrate buffer pH 6 before commencing with IHC staining protocol.

Immunohistochemistry (Formalin/PFA-fixed paraffin-embedded sections) - Anti-ATRX antibody (AB204169)
  • IHC-P

Supplier Data

Immunohistochemistry (Formalin/PFA-fixed paraffin-embedded sections) - Anti-ATRX antibody (AB204169)

Immunohistochemical analysis of human cerebral cortex tissue labeling ATRX in the nucleus of neurons and glial cells with ab204169 at a 1/500 dilution.

Performed heat mediated antigen retrieval with citrate buffer pH 6 before commencing with IHC staining protocol.

Immunohistochemistry (Formalin/PFA-fixed paraffin-embedded sections) - Anti-ATRX antibody (AB204169)
  • IHC-P

Supplier Data

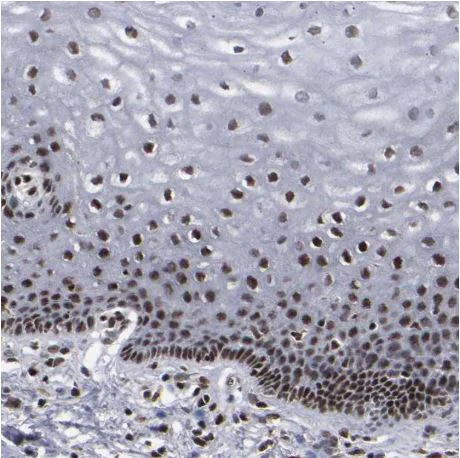
Immunohistochemistry (Formalin/PFA-fixed paraffin-embedded sections) - Anti-ATRX antibody (AB204169)

Immunohistochemical analysis of human uterine cervix tissue labeling ATRX in the nucleus of squamous epithelial cells with ab204169 at a 1/500 dilution.

Performed heat mediated antigen retrieval with citrate buffer pH 6 before commencing with IHC staining protocol.

Western blot - Anti-ATRX antibody (AB204169)
  • WB

Supplier Data

Western blot - Anti-ATRX antibody (AB204169)

Loading control : Anti-GAPDH.

All lanes:

Western blot - Anti-ATRX antibody (ab204169) at 0.4 µg/mL

Lane 1:

Control siRNA - A549 (Human lung carcinoma cell line) whole cell lysate

Lane 2:

siRNA probe #1 - A549 whole cell lysate

Lane 3:

siRNA probe #2 - A549 whole cell lysate

Predicted band size: 282 kDa

false

Western blot - Anti-ATRX antibody (AB204169)
  • WB

Lab

Western blot - Anti-ATRX antibody (AB204169)

Western blot : Anti-ATRX antibody staining at 0.4 ug/ml, shown in black; Mouse anti-Alpha Tubulin [DM1A] (ab7291) loading control staining at 1/20000 dilution, shown in red. In Western blot, the antibody was shown to bind specifically to ATRX. A band was observed at 150/180/350 kDa in wild-type HCT 116 cell lysates with no signal observed at this size in ATRX knockout cell line ab287231. To generate this image, wild-type and ATRX knockout HCT 116 cell lysates were analysed. First, samples were run on an SDS-PAGE gel then transferred onto a nitrocellulose membrane. Membranes were blocked in 5 % milk in TBS-0.1 % Tween® 20 (TBS-T) before incubation with primary antibodies overnight at 4 °C. Blots were washed four times in TBS-T, incubated with secondary antibodies for 1 h at room temperature, washed again four times before development with a high-sensitivity ECL substrate kit and imaged with 12 minutes exposure time. Secondary antibodies used were HRP conjugated Goat anti-Rabbit (H+L) and Goat anti-Mouse IgG H&L 680RD at 1/20000 dilution.

All lanes:

Western blot - Anti-ATRX antibody (ab204169) at 0.4 µg/mL

Lane 1:

Wild-type HCT 116 cell lysate at 20 µg

Lane 2:

Western blot - Human ATRX knockout HCT116 cell line (<a href='/en-us/products/cell-lines/human-atrx-knockout-hct116-cell-line-ab287231'>ab287231</a>)

Lane 2:

HCT 116 cell lysate at 20 µg

Lane 3:

U-2 OS cell lysate at 20 µg

Secondary

All lanes:

HRP conjugated Goat anti-Rabbit (H+L) and Goat anti-Mouse IgG H&L 680RD at 1/20000 dilution

Predicted band size: 282 kDa

false

Key facts

Host species

Rabbit

Clonality

Polyclonal

Isotype

IgG

Carrier free

No

Reacts with

Human

Applications

ICC/IF, IHC-P, WB

applications

Immunogen

Recombinant Fragment Protein within Human ATRX aa 2250-2450. The exact immunogen used to generate this antibody is proprietary information.

P46100

Reactivity data

{ "title": "Reactivity Data", "filters": { "stats": ["", "Species", "Dilution Info", "Notes"], "tabs": { "all-applications": {"fullname" : "All Applications", "shortname": "All Applications"}, "IHCP" : {"fullname" : "Immunohistochemistry (Formalin/PFA-fixed paraffin-embedded sections)", "shortname":"IHC-P"}, "WB" : {"fullname" : "Western blot", "shortname":"WB"}, "ICCIF" : {"fullname" : "Immunocytochemistry/ Immunofluorescence", "shortname":"ICC/IF"} }, "product-promise": { "all": "all", "testedAndGuaranteed": "tested", "guaranteed": "expected", "predicted": "predicted", "notRecommended": "not-recommended" } }, "values": { "Human": { "IHCP-species-checked": "testedAndGuaranteed", "IHCP-species-dilution-info": "1/500 - 1/1000", "IHCP-species-notes": "<p></p> Perform heat-mediated antigen retrieval with citrate buffer pH 6 before commencing with IHC staining protocol.", "WB-species-checked": "testedAndGuaranteed", "WB-species-dilution-info": "0.04-0.4 µg/mL", "WB-species-notes": "<p></p>", "ICCIF-species-checked": "testedAndGuaranteed", "ICCIF-species-dilution-info": "0.25-2 µg/mL", "ICCIF-species-notes": "<p>Fixation/Permeabilization: PFA/Triton X-100</p>" }, "Mouse": { "IHCP-species-checked": "predicted", "IHCP-species-dilution-info": "", "IHCP-species-notes": "", "WB-species-checked": "predicted", "WB-species-dilution-info": "", "WB-species-notes": "", "ICCIF-species-checked": "predicted", "ICCIF-species-dilution-info": "", "ICCIF-species-notes": "" }, "Rat": { "IHCP-species-checked": "predicted", "IHCP-species-dilution-info": "", "IHCP-species-notes": "", "WB-species-checked": "predicted", "WB-species-dilution-info": "", "WB-species-notes": "", "ICCIF-species-checked": "predicted", "ICCIF-species-dilution-info": "", "ICCIF-species-notes": "" }, "Chimpanzee": { "IHCP-species-checked": "predicted", "IHCP-species-dilution-info": "", "IHCP-species-notes": "", "WB-species-checked": "predicted", "WB-species-dilution-info": "", "WB-species-notes": "", "ICCIF-species-checked": "predicted", "ICCIF-species-dilution-info": "", "ICCIF-species-notes": "" } } }

Properties and storage information

Form
Liquid
Purification technique
Affinity purification Immunogen
Storage buffer
pH: 7.2 Preservative: 0.02% Sodium azide Constituents: PBS, 40% Glycerol (glycerin, glycerine)
Shipped at conditions
Blue Ice
Appropriate short-term storage duration
1-2 weeks
Appropriate short-term storage conditions
+4°C
Appropriate long-term storage conditions
-20°C
Aliquoting information
Upon delivery aliquot
Storage information
Avoid freeze / thaw cycle

Supplementary information

This supplementary information is collated from multiple sources and compiled automatically.

The ATRX protein also recognized as alpha thalassemia/mental retardation syndrome X-linked (ATR-X) is a chromatin remodeler with a molecular weight of approximately 280 kDa. Expressed predominantly in the brain and thymus ATRX plays an important role in regulating gene expression by modulating chromatin structure. Its expression in neural tissues suggests its importance in brain development where it aids in transcriptional regulation and maintenance of genomic stability.
Biological function summary

ATRX functions by forming part of the ATRX-DAXX complex. This complex plays a vital role in the deposition of the histone variant H3.3 into heterochromatin regions affecting the structure and function of these genomic segments. ATRX through the ATRX-DAXX complex also maintains telomere integrity by preventing uncontrolled telomere elongation. As such ATRX is important in cellular processes like DNA replication repair and mitotic progression emphasizing its role in maintaining genetic fidelity across cell divisions.

Pathways

ATRX is an important component in chromatin remodeling and telomere maintenance pathways. It interacts closely with the DAXX protein within these pathways affecting the histone exchange mechanisms. ATRX also engages with other proteins such as p53 integrating its function into the DNA damage repair pathway. Through these pathways ATRX ensures proper chromatin dynamics and participates in mechanisms guarding genomic stability.

ATRX mutations have significant implications for conditions such as alpha thalassemia/mental retardation syndrome and certain cancers. The protein's altered functions can lead to alpha thalassemia due to improper blood cell gene expression and mental retardation from impaired brain development. In cancers mutations in ATRX often disrupt telomere maintenance contributing to oncogenesis. The relationship between ATRX and telomerase highlights the complex network through which ATRX mutations can influence telomere dynamics in cancer progression.

Product protocols

For this product, it's our understanding that no specific protocols are required. You can visit:

Target data

Involved in transcriptional regulation and chromatin remodeling. Facilitates DNA replication in multiple cellular environments and is required for efficient replication of a subset of genomic loci. Binds to DNA tandem repeat sequences in both telomeres and euchromatin and in vitro binds DNA quadruplex structures. May help stabilizing G-rich regions into regular chromatin structures by remodeling G4 DNA and incorporating H3.3-containing nucleosomes. Catalytic component of the chromatin remodeling complex ATRX : DAXX which has ATP-dependent DNA translocase activity and catalyzes the replication-independent deposition of histone H3.3 in pericentric DNA repeats outside S-phase and telomeres, and the in vitro remodeling of H3.3-containing nucleosomes. Its heterochromatin targeting is proposed to involve a combinatorial readout of histone H3 modifications (specifically methylation states of H3K9 and H3K4) and association with CBX5. Involved in maintaining telomere structural integrity in embryonic stem cells which probably implies recruitment of CBX5 to telomeres. Reports on the involvement in transcriptional regulation of telomeric repeat-containing RNA (TERRA) are conflicting; according to a report, it is not sufficient to decrease chromatin condensation at telomeres nor to increase expression of telomeric RNA in fibroblasts (PubMed : 24500201). May be involved in telomere maintenance via recombination in ALT (alternative lengthening of telomeres) cell lines. Acts as a negative regulator of chromatin incorporation of transcriptionally repressive histone MACROH2A1, particularily at telomeres and the alpha-globin cluster in erythroleukemic cells. Participates in the allele-specific gene expression at the imprinted IGF2/H19 gene locus. On the maternal allele, required for the chromatin occupancy of SMC1 and CTCTF within the H19 imprinting control region (ICR) and involved in esatblishment of histone tails modifications in the ICR. May be involved in brain development and facial morphogenesis. Binds to zinc-finger coding genes with atypical chromatin signatures and regulates its H3K9me3 levels. Forms a complex with ZNF274, TRIM28 and SETDB1 to facilitate the deposition and maintenance of H3K9me3 at the 3' exons of zinc-finger genes (PubMed : 27029610).
See full target information ATRX

Publications (2)

Recent publications for all applications. Explore the full list and refine your search

Neuroendocrinology 112:510-522 PubMed34348341

2021

Alternative Lengthening of Telomeres Phenotype Predicts Progression Risk in Noninsulinomas in a Chinese Cohort.

Applications

Unspecified application

Species

Unspecified reactive species

Xinchao Ban,Shengwei Mo,Zhaohui Lu,Congwei Jia,Huilin Shao,Jie Yan,Xiaoyan Chang,Xinxin Mao,Yan Wu,Yue Zhang,Xiaojie Fan,Shuangni Yu,Jie Chen

Cancer cell international 19:237 PubMed31516394

2019

Cell-type specific concentration regulation of the basal transcription factor TFIIH in XPB mice model.

Applications

Unspecified application

Species

Unspecified reactive species

Lise-Marie Donnio,Catherine Miquel,Wim Vermeulen,Giuseppina Giglia-Mari,Pierre-Olivier Mari
View all publications

Product promise

We are committed to supporting your work with high-quality reagents, and we're here for you every step of the way. In the unlikely event that one of our products does not perform as expected, you're protected by our Product Promise.
For full details, please see our Terms & Conditions

Please note: All products are 'FOR RESEARCH USE ONLY. NOT FOR USE IN DIAGNOSTIC OR THERAPEUTIC PROCEDURES'.

For licensing inquiries, please contact partnerships@abcam.com