JavaScript is disabled in your browser. Please enable JavaScript to view this website.
AB97508

Anti-ATRX antibody

5

(3 Reviews)

|

(49 Publications)

Anti-ATRX antibody (ab97508) is a rabbit polyclonal antibody detecting ATRX in Western Blot, IP, IHC-P, ICC/IF. Suitable for Human, Mouse, Rat.

- Over 30 publications
- Trusted since 2010

View Alternative Names

RAD54L, XH2, ATRX, Transcriptional regulator ATRX, ATP-dependent helicase ATRX, X-linked helicase II, X-linked nuclear protein, Znf-HX, XNP

10 Images
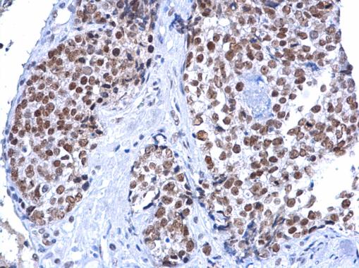
Immunohistochemistry (Formalin/PFA-fixed paraffin-embedded sections) - Anti-ATRX antibody (AB97508)
  • IHC-P

Supplier Data

Immunohistochemistry (Formalin/PFA-fixed paraffin-embedded sections) - Anti-ATRX antibody (AB97508)

Immunohistochemistry (Formalin/PFA-fixed paraffin-embedded sections) analysis of human breast carcinoma labeling ATRX with ab97508 at 1/500 dilution. Anti-ATRX antibody (ab97508) detects ATRX protein at nucleus on human breast carcinoma tissue sections.

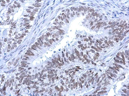
Immunohistochemistry (Formalin/PFA-fixed paraffin-embedded sections) - Anti-ATRX antibody (AB97508)
  • IHC-P

Supplier Data

Immunohistochemistry (Formalin/PFA-fixed paraffin-embedded sections) - Anti-ATRX antibody (AB97508)

Immunohistochemical analysis of paraffin-embedded human lung carcinoma,using ab97508 at 1/500 dilution.

Immunohistochemistry (Formalin/PFA-fixed paraffin-embedded sections) - Anti-ATRX antibody (AB97508)
  • IHC-P

Supplier Data

Immunohistochemistry (Formalin/PFA-fixed paraffin-embedded sections) - Anti-ATRX antibody (AB97508)

Immunohistochemistry (Formalin/PFA-fixed paraffin-embedded sections) analysis of endometrial carcinoma labeling ATRX with ab97508 at 1/500 dilution. Anti-ATRX antibody (ab97508) detects ATRX protein at nucleus on human endometrial carcinoma tissue sections.

Immunocytochemistry/ Immunofluorescence - Anti-ATRX antibody (AB97508)
  • ICC/IF

Unknown

Immunocytochemistry/ Immunofluorescence - Anti-ATRX antibody (AB97508)

Immunofluorescence analysis of paraformaldehyde-fixed HeLa cells, using ab97508 at 1/200 dilution. Lower image is merged with DNA probe.

Immunoprecipitation - Anti-ATRX antibody (AB97508)
  • IP

Supplier Data

Immunoprecipitation - Anti-ATRX antibody (AB97508)

ab97508 at 5μg immunoprecipitating ATRX in 293T whole cell extracts.

Lane 1 (input) : 293T whole cell extracts.
Lane 2 (-) : Rabbit IgG instead of ab97508 in 293T whole cell extracts.
Lane 3 (+) : Anti-ATRX antibody (ab97508) + 293T whole cell extracts.

All lanes:

Immunoprecipitation - Anti-ATRX antibody (ab97508)

Predicted band size: 282 kDa

false

Immunocytochemistry/ Immunofluorescence - Anti-ATRX antibody (AB97508)
  • ICC/IF

PubMed

Immunocytochemistry/ Immunofluorescence - Anti-ATRX antibody (AB97508)

Immunocytochemistry/ Immunofluorescence analysis of mouse brain labeling ATRX with ab97508 at 1/100 dilution. Left- DAPI (blue), middle - ATRX protein staining (red), right - merge.

Image from Heckman, L. D., et al. eLife 3 (2014): e02676. doi: 10.7554/eLife.02676. Fig 4D. Reproduced under the Creative Commons license http://creativecommons.org/licenses/by/4.0/

Western blot - Anti-ATRX antibody (AB97508)
  • WB

Unknown

Western blot - Anti-ATRX antibody (AB97508)

5% SDS-PAGE

All lanes:

Western blot - Anti-ATRX antibody (ab97508) at 1/500 dilution

Lane 1:

293T whole cell lysate at 30 µg

Lane 2:

HepG2 whole cell lysate at 30 µg

Lane 3:

Raji whole cell lysate at 30 µg

Predicted band size: 282 kDa

false

Western blot - Anti-ATRX antibody (AB97508)
  • WB

Supplier Data

Western blot - Anti-ATRX antibody (AB97508)

Western blot of (lane1) PC12 (brain)whole cell extracts, (lane 2) Rat 2 (embryo) whole cell extracts, at 30μg per lane, labeling ATRX with ab97508 at 1 : 1000. A HRP-conjugated anti-rabbit IgG antibody was used to detect the primary antibody.

All lanes:

Western blot - Anti-ATRX antibody (ab97508)

Predicted band size: 282 kDa

false

Western blot - Anti-ATRX antibody (AB97508)
  • WB

Unknown

Western blot - Anti-ATRX antibody (AB97508)

5% SDS-PAGE

All lanes:

Western blot - Anti-ATRX antibody (ab97508) at 1/1000 dilution

All lanes:

NIH-3T3 whole cell lysate at 30 µg

Predicted band size: 282 kDa

false

Western blot - Anti-ATRX antibody (AB97508)
  • WB

Supplier Data

Western blot - Anti-ATRX antibody (AB97508)

All lanes:

Western blot - Anti-ATRX antibody (ab97508) at 1/1000 dilution

All lanes:

NIH3T3 whole cell extracts at 30 µg

Predicted band size: 282 kDa

false

Key facts

Host species

Rabbit

Clonality

Polyclonal

Isotype

IgG

Carrier free

No

Reacts with

Mouse, Rat, Human

Applications

IP, IHC-P, WB, ICC/IF

applications

Immunogen

Recombinant Fragment Protein within Human ATRX aa 2200-2450. The exact immunogen used to generate this antibody is proprietary information.

P46100

Reactivity data

{ "title": "Reactivity Data", "filters": { "stats": ["", "Species", "Dilution Info", "Notes"], "tabs": { "all-applications": {"fullname" : "All Applications", "shortname": "All Applications"}, "IP" : {"fullname" : "Immunoprecipitation", "shortname":"IP"}, "WB" : {"fullname" : "Western blot", "shortname":"WB"}, "IHCP" : {"fullname" : "Immunohistochemistry (Formalin/PFA-fixed paraffin-embedded sections)", "shortname":"IHC-P"}, "ICCIF" : {"fullname" : "Immunocytochemistry/ Immunofluorescence", "shortname":"ICC/IF"} }, "product-promise": { "all": "all", "testedAndGuaranteed": "tested", "guaranteed": "expected", "predicted": "predicted", "notRecommended": "not-recommended" } }, "values": { "Human": { "IP-species-checked": "testedAndGuaranteed", "IP-species-dilution-info": "1/100 - 1/500", "IP-species-notes": "<p></p>", "WB-species-checked": "testedAndGuaranteed", "WB-species-dilution-info": "1/500 - 1/3000", "WB-species-notes": "<p></p>", "IHCP-species-checked": "testedAndGuaranteed", "IHCP-species-dilution-info": "1/100 - 1/1000", "IHCP-species-notes": "<p></p>", "ICCIF-species-checked": "testedAndGuaranteed", "ICCIF-species-dilution-info": "1/100 - 1/1000", "ICCIF-species-notes": "<p></p>" }, "Mouse": { "IP-species-checked": "guaranteed", "IP-species-dilution-info": "", "IP-species-notes": "", "WB-species-checked": "testedAndGuaranteed", "WB-species-dilution-info": "1/500 - 1/3000", "WB-species-notes": "<p></p>", "IHCP-species-checked": "guaranteed", "IHCP-species-dilution-info": "", "IHCP-species-notes": "", "ICCIF-species-checked": "guaranteed", "ICCIF-species-dilution-info": "", "ICCIF-species-notes": "" }, "Rat": { "IP-species-checked": "guaranteed", "IP-species-dilution-info": "", "IP-species-notes": "", "WB-species-checked": "testedAndGuaranteed", "WB-species-dilution-info": "1/500 - 1/3000", "WB-species-notes": "<p></p>", "IHCP-species-checked": "guaranteed", "IHCP-species-dilution-info": "", "IHCP-species-notes": "", "ICCIF-species-checked": "guaranteed", "ICCIF-species-dilution-info": "", "ICCIF-species-notes": "" } } }

Product details

What is this antibody validated in?
Anti-ATRX antibody (ab97508) is a rabbit polyclonal antibody and is validated for use in Western Blot (WB), Immunoprecipitation (IP), Immunohistochemistry (IHC-P), Immunocytochemistry/immunofluorescence (ICC/IF) in Human, Mouse, Rat samples.

What is the molecular weight of ATRX?
Anti-ATRX (ab97508) specifically detects a band for ATRX (UniProt: P46100) at a molecular weight of 283kDa.

Trusted by the scientific community
Anti-ATRX (ab97508) was first used in a scientific publication in 2010 and has been cited over 30 times in peer-reviewed journals.

Properties and storage information

Form
Liquid
Purification technique
Affinity purification Immunogen
Storage buffer
pH: 7 Preservative: 0.025% Proclin 300 Constituents: PBS, 20% Glycerol (glycerin, glycerine)
Shipped at conditions
Blue Ice
Appropriate short-term storage conditions
+4°C
Appropriate long-term storage conditions
-20°C
Aliquoting information
Upon delivery aliquot
Storage information
Avoid freeze / thaw cycle

Supplementary information

This supplementary information is collated from multiple sources and compiled automatically.

The ATRX protein also recognized as alpha thalassemia/mental retardation syndrome X-linked (ATR-X) is a chromatin remodeler with a molecular weight of approximately 280 kDa. Expressed predominantly in the brain and thymus ATRX plays an important role in regulating gene expression by modulating chromatin structure. Its expression in neural tissues suggests its importance in brain development where it aids in transcriptional regulation and maintenance of genomic stability.
Biological function summary

ATRX functions by forming part of the ATRX-DAXX complex. This complex plays a vital role in the deposition of the histone variant H3.3 into heterochromatin regions affecting the structure and function of these genomic segments. ATRX through the ATRX-DAXX complex also maintains telomere integrity by preventing uncontrolled telomere elongation. As such ATRX is important in cellular processes like DNA replication repair and mitotic progression emphasizing its role in maintaining genetic fidelity across cell divisions.

Pathways

ATRX is an important component in chromatin remodeling and telomere maintenance pathways. It interacts closely with the DAXX protein within these pathways affecting the histone exchange mechanisms. ATRX also engages with other proteins such as p53 integrating its function into the DNA damage repair pathway. Through these pathways ATRX ensures proper chromatin dynamics and participates in mechanisms guarding genomic stability.

ATRX mutations have significant implications for conditions such as alpha thalassemia/mental retardation syndrome and certain cancers. The protein's altered functions can lead to alpha thalassemia due to improper blood cell gene expression and mental retardation from impaired brain development. In cancers mutations in ATRX often disrupt telomere maintenance contributing to oncogenesis. The relationship between ATRX and telomerase highlights the complex network through which ATRX mutations can influence telomere dynamics in cancer progression.

Product protocols

For this product, it's our understanding that no specific protocols are required. You can visit:

Target data

Involved in transcriptional regulation and chromatin remodeling. Facilitates DNA replication in multiple cellular environments and is required for efficient replication of a subset of genomic loci. Binds to DNA tandem repeat sequences in both telomeres and euchromatin and in vitro binds DNA quadruplex structures. May help stabilizing G-rich regions into regular chromatin structures by remodeling G4 DNA and incorporating H3.3-containing nucleosomes. Catalytic component of the chromatin remodeling complex ATRX : DAXX which has ATP-dependent DNA translocase activity and catalyzes the replication-independent deposition of histone H3.3 in pericentric DNA repeats outside S-phase and telomeres, and the in vitro remodeling of H3.3-containing nucleosomes. Its heterochromatin targeting is proposed to involve a combinatorial readout of histone H3 modifications (specifically methylation states of H3K9 and H3K4) and association with CBX5. Involved in maintaining telomere structural integrity in embryonic stem cells which probably implies recruitment of CBX5 to telomeres. Reports on the involvement in transcriptional regulation of telomeric repeat-containing RNA (TERRA) are conflicting; according to a report, it is not sufficient to decrease chromatin condensation at telomeres nor to increase expression of telomeric RNA in fibroblasts (PubMed : 24500201). May be involved in telomere maintenance via recombination in ALT (alternative lengthening of telomeres) cell lines. Acts as a negative regulator of chromatin incorporation of transcriptionally repressive histone MACROH2A1, particularily at telomeres and the alpha-globin cluster in erythroleukemic cells. Participates in the allele-specific gene expression at the imprinted IGF2/H19 gene locus. On the maternal allele, required for the chromatin occupancy of SMC1 and CTCTF within the H19 imprinting control region (ICR) and involved in esatblishment of histone tails modifications in the ICR. May be involved in brain development and facial morphogenesis. Binds to zinc-finger coding genes with atypical chromatin signatures and regulates its H3K9me3 levels. Forms a complex with ZNF274, TRIM28 and SETDB1 to facilitate the deposition and maintenance of H3K9me3 at the 3' exons of zinc-finger genes (PubMed : 27029610).
See full target information ATRX

Publications (49)

Recent publications for all applications. Explore the full list and refine your search

Cell death & disease 16:586 PubMed40753178

2025

Enlarged PML-nuclear bodies trigger conflicting cell cycle signal-mediated cytotoxicity in leukemia cells.

Applications

Unspecified application

Species

Unspecified reactive species

Tomohisa Baba,Soichiro Kumamoto,Yuta Moriguchi,Soji Morishita,Atsushi Hirao,Yoshikazu Johmura

iScience 28:112357 PubMed40292316

2025

Loss of function of recapitulates phenotypes of alternative lengthening of telomeres in a primary mouse model of sarcoma.

Applications

Unspecified application

Species

Unspecified reactive species

Matthew Pierpoint,Warren Floyd,Amy J Wisdom,Lixia Luo,Yan Ma,Brendan C Dickson,Matthew S Waitkus,David G Kirsch

MedComm 6:e70138 PubMed40264576

2025

Integrating Multiplex Immunohistochemistry and Machine Learning for Glioma Subtyping and Prognosis Prediction.

Applications

Unspecified application

Species

Unspecified reactive species

Houshi Xu,Zhen Fan,Shan Jiang,Maoyuan Sun,Huihui Chai,Ruize Zhu,Xiaoyu Liu,Yue Wang,Jiawen Chen,Junji Wei,Ying Mao,Zhifeng Shi

FASEB journal : official publication of the Federation of American Societies for Experimental Biology 39:e70521 PubMed40198006

2025

The Involvement of CSRP1 in Neuroblastoma Differentiation and Apoptosis Impacting Tumor-Suppressive Therapeutic Responses.

Applications

Unspecified application

Species

Unspecified reactive species

Yu-Han Lin,Jyun-Hong Jiang,Hui-Ching Chuang,Chao-Cheng Huang,Wen-Ming Hsu,Min-Tsui Wu,Ting-Ya Chen,Wei-Shiung Lian,Jiin-Haur Chuang

Nucleic acids research 53: PubMed39945321

2025

The G-quadruplex experimental drug QN-302 impairs liposarcoma cell growth by inhibiting MDM2 expression and restoring p53 levels.

Applications

Unspecified application

Species

Unspecified reactive species

Beatrice Tosoni,Eisa Naghshineh,Irene Zanin,Irene Gallina,Lorenzo Di Pietro,Loredana Cleris,Matteo Nadai,Mara Lecchi,Paolo Verderio,Pietro Pratesi,Sandro Pasquali,Nadia Zaffaroni,Stephen Neidle,Marco Folini,Sara N Richter

Nucleic acids research 53: PubMed39921567

2025

Elevated reactive oxygen species can drive the alternative lengthening of telomeres pathway in ATRX-null cancers.

Applications

Unspecified application

Species

Unspecified reactive species

Tomas Goncalves,Siobhan Cunniffe,Tiffany S Ma,Natalie Mattis,Andrew W Rose,Thomas Kent,David R Mole,Helene E B Geiller,Linda van Bijsterveldt,Timothy C Humphrey,Ester M Hammond,Richard J Gibbons,David Clynes,Anna M Rose

The Journal of clinical investigation 135: PubMed39744954

2025

ATRX silences Cartpt expression in osteoblastic cells during skeletal development.

Applications

Unspecified application

Species

Unspecified reactive species

Yi-Ting Chen,Ming-Ming Jiang,Carolina Leynes,Mary Adeyeye,Camilla F Majano,Barakat Ibrahim,Urszula Polak,George Hung,Zixue Jin,Denise G Lanza,Lan Liao,Brian Dawson,Yuqing Chen-Evenson,Oscar E Ruiz,Richard J Gibbons,Jason D Heaney,Yangjin Bae,Brendan Lee

Open biology 14:240205 PubMed39657822

2024

Phosphorylation of 'SDT-like' motifs in ATRX mediates its interaction with the MRN complex and is important for ALT pathway suppression.

Applications

Unspecified application

Species

Unspecified reactive species

Tomas Goncalves,Harshangda Bhatnagar,Siobhan Cunniffe,Richard J Gibbons,Anna M Rose,David Clynes

PLoS pathogens 20:e1012516 PubMed39236084

2024

ATRX restricts Human Cytomegalovirus (HCMV) viral DNA replication through heterochromatinization and minimizes unpackaged viral genomes.

Applications

Unspecified application

Species

Unspecified reactive species

Ryan M Walter,Kinjal Majumder,Robert F Kalejta

International journal of molecular sciences 25: PubMed38673919

2024

D-Loop Mutations as Prognostic Markers in Glioblastoma-A Pilot Study.

Applications

Unspecified application

Species

Unspecified reactive species

Bartosz Szmyd,Patrycja Stanisławska,Małgorzata Podstawka,Karol Zaczkowski,Patryk M Izbiński,Dominika Kulczycka-Wojdala,Robert Stawski,Karol Wiśniewski,Karolina Janczar,Marcin Braun,Piotr Białasiewicz,Dariusz J Jaskólski,Ernest J Bobeff
View all publications

Product promise

We are committed to supporting your work with high-quality reagents, and we're here for you every step of the way. In the unlikely event that one of our products does not perform as expected, you're protected by our Product Promise.
For full details, please see our Terms & Conditions

Please note: All products are 'FOR RESEARCH USE ONLY. NOT FOR USE IN DIAGNOSTIC OR THERAPEUTIC PROCEDURES'.

For licensing inquiries, please contact partnerships@abcam.com