JavaScript is disabled in your browser. Please enable JavaScript to view this website.
AB248092

Anti-ATTY antibody [EPR6121] - BSA and Azide free

Be the first to review this product! Submit a review

|

(0 Publication)

Rabbit Recombinant Monoclonal ATTY antibody. Carrier free. Suitable for IHC-P, WB and reacts with Human samples.

View Alternative Names

Tyrosine aminotransferase, TAT, L-tyrosine:2-oxoglutarate aminotransferase

3 Images
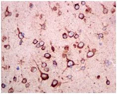
Immunohistochemistry (Formalin/PFA-fixed paraffin-embedded sections) - Anti-ATTY antibody [EPR6121] - BSA and Azide free (AB248092)
  • IHC-P

Unknown

Immunohistochemistry (Formalin/PFA-fixed paraffin-embedded sections) - Anti-ATTY antibody [EPR6121] - BSA and Azide free (AB248092)

This data was developed using ab125000, the same antibody clone in a different buffer formulation.

ab125000 at 1/50 dilution staining ATTY in paraffin-embedded Human brain tissue by Immunohistochemistry.

Perform heat mediated antigen retrieval before commencing with IHC staining protocol.

Western blot - Anti-ATTY antibody [EPR6121] - BSA and Azide free (AB248092)
  • WB

Unknown

Western blot - Anti-ATTY antibody [EPR6121] - BSA and Azide free (AB248092)

This data was developed using ab125000, the same antibody clone in a different buffer formulation.

All lanes:

Western blot - Anti-ATTY antibody [EPR6121] (<a href='/en-us/products/primary-antibodies/atty-antibody-epr6121-ab125000'>ab125000</a>) at 1/1000 dilution

Lane 1:

HepG2 cell lysate, treated with insulin at 10 µg

Lane 2:

HepG2 cell lysate, untreated at 10 µg

Lane 3:

A549 cell lysate at 10 µg

Secondary

All lanes:

Goat anti-Rabbit HRP at 1/2000 dilution

Predicted band size: 50 kDa

false

OI-RD Scanning - Anti-ATTY antibody [EPR6121] - BSA and Azide free (AB248092)
  • OI-RD Scanning

Unknown

OI-RD Scanning - Anti-ATTY antibody [EPR6121] - BSA and Azide free (AB248092)

We have systematically measured KD (the equilibrium dissociation constant between the antibody and its antigen), of more than 840 recombinant antibodies to assess not only their individual KD values but also to see the average affinity of antibody. Based on the comparison with published literature values for mouse monoclonal antibodies, Recombinant antibodies appear to be on average 1-2 order of magnitude higher affinity.

Key facts

Host species

Rabbit

Clonality

Monoclonal

Clone number

EPR6121

Isotype

IgG

Carrier free

Yes

Reacts with

Human

Applications

WB, IHC-P

applications

Immunogen

The exact immunogen used to generate this antibody is proprietary information.

Reactivity data

{ "title": "Reactivity Data", "filters": { "stats": ["", "Species", "Dilution Info", "Notes"], "tabs": { "all-applications": {"fullname" : "All Applications", "shortname": "All Applications"}, "IHCP" : {"fullname" : "Immunohistochemistry (Formalin/PFA-fixed paraffin-embedded sections)", "shortname":"IHC-P"}, "IP" : {"fullname" : "Immunoprecipitation", "shortname":"IP"}, "FlowCyt" : {"fullname" : "Flow Cytometry", "shortname":"Flow Cyt"}, "WB" : {"fullname" : "Western blot", "shortname":"WB"} }, "product-promise": { "all": "all", "testedAndGuaranteed": "tested", "guaranteed": "expected", "predicted": "predicted", "notRecommended": "not-recommended" } }, "values": { "Human": { "IHCP-species-checked": "testedAndGuaranteed", "IHCP-species-dilution-info": "", "IHCP-species-notes": "<p>For antigen retrieval, heat up to 98 degree C, below boiling, and then let cool for 10-20 minutes.</p>", "IP-species-checked": "notRecommended", "IP-species-dilution-info": "", "IP-species-notes": "<p></p>", "FlowCyt-species-checked": "notRecommended", "FlowCyt-species-dilution-info": "", "FlowCyt-species-notes": "<p></p>", "WB-species-checked": "testedAndGuaranteed", "WB-species-dilution-info": "", "WB-species-notes": "<p></p>" }, "Mouse": { "IHCP-species-checked": "predicted", "IHCP-species-dilution-info": "", "IHCP-species-notes": "", "IP-species-checked": "notRecommended", "IP-species-dilution-info": "", "IP-species-notes": "", "FlowCyt-species-checked": "notRecommended", "FlowCyt-species-dilution-info": "", "FlowCyt-species-notes": "", "WB-species-checked": "predicted", "WB-species-dilution-info": "", "WB-species-notes": "" }, "Rat": { "IHCP-species-checked": "predicted", "IHCP-species-dilution-info": "", "IHCP-species-notes": "", "IP-species-checked": "notRecommended", "IP-species-dilution-info": "", "IP-species-notes": "", "FlowCyt-species-checked": "notRecommended", "FlowCyt-species-dilution-info": "", "FlowCyt-species-notes": "", "WB-species-checked": "predicted", "WB-species-dilution-info": "", "WB-species-notes": "" } } }

Product details

ab248092 is the carrier-free version of ab125000.

Patented technology
Our RabMAb® technology is a patented hybridoma-based technology for making rabbit monoclonal antibodies. For details on our patents, please refer to RabMAb® patents.

What are the advantages of a recombinant monoclonal antibody?
This product is a recombinant monoclonal antibody, which offers several advantages including:

  • - High batch-to-batch consistency and reproducibility
  • - Improved sensitivity and specificity
  • - Long-term security of supply
  • - Animal-free batch production

For more information, read more on recombinant antibodies.

Conjugation ready
Our carrier-free antibodies are typically supplied in a PBS-only formulation, purified and free of BSA, sodium azide and glycerol. This conjugation-ready format is designed for use with fluorochromes, metal isotopes, oligonucleotides, and enzymes, which makes them ideal for antibody labelling, functional and cell-based assays, flow-based assays (e.g. mass cytometry) and Multiplex Imaging applications.

Use our conjugation kits for antibody conjugates that are ready-to-use in as little as 20 minutes with 1 minute hands-on-time and 100% antibody recovery: available for fluorescent dyes, HRP, biotin and gold.

Compatibility
This product is compatible with the Maxpar® Antibody Labeling Kit from Fluidigm, without the need for antibody preparation. Maxpar® is a trademark of Fluidigm Canada Inc.

Properties and storage information

Form
Liquid
Purification technique
Affinity purification Protein A
Storage buffer
pH: 7.2 - 7.4 Constituents: PBS
Shipped at conditions
Blue Ice
Appropriate short-term storage conditions
+4°C
Appropriate long-term storage conditions
+4°C
Storage information
Do Not Freeze

Supplementary information

This supplementary information is collated from multiple sources and compiled automatically.

ATTY is a protein with a recognized role in cellular processes. It is also known as gene product X and carries a molecular mass of approximately 58 kDa. This protein shows high expression in tissues such as the brain and heart suggesting its involvement in key processes within these areas. ATTY is primarily located in the cytoplasm where it engages in interactions essential for its mechanical function.
Biological function summary

ATTY contributes significantly to intracellular signaling. It acts as a scaffold for assembling protein complexes which enables efficient signal transduction. Within the cell ATTY interacts with other proteins to help modulate signal pathways integral to cellular communication and response. This role highlights the importance of ATTY in maintaining cellular homeostasis and function.

Pathways

Involvement extends to two significant biological pathways: the MAP kinase signaling pathway and the PI3K-Akt pathway. ATTY influences various signaling cascades that play roles in cell growth survival and proliferation. In these pathways it interacts with proteins such as ERK and Akt linking it to mechanisms that control cell fate and metabolism.

ATTY's function relates closely to conditions like neurodegenerative diseases and cardiovascular disorders. In Alzheimer's disease alterations in ATTY expression are observed and these changes may correlate with disease progression. Additionally in cardiovascular disorders ATTY's interactions with cardiac-specific proteins such as troponin may affect heart muscle function. Identifying these relationships allows for a better understanding of ATTY's role in pathology and potential therapeutic targeting.

Product protocols

For this product, it's our understanding that no specific protocols are required. You can visit:

Target data

Transaminase involved in tyrosine breakdown. Converts tyrosine to p-hydroxyphenylpyruvate. Can catalyze the reverse reaction, using glutamic acid, with 2-oxoglutarate as cosubstrate (in vitro). Has much lower affinity and transaminase activity towards phenylalanine.
See full target information TAT

Product promise

We are committed to supporting your work with high-quality reagents, and we're here for you every step of the way. In the unlikely event that one of our products does not perform as expected, you're protected by our Product Promise.
For full details, please see our Terms & Conditions

Please note: All products are 'FOR RESEARCH USE ONLY. NOT FOR USE IN DIAGNOSTIC OR THERAPEUTIC PROCEDURES'.

For licensing inquiries, please contact partnerships@abcam.com