JavaScript is disabled in your browser. Please enable JavaScript to view this website.
AB184834

Anti-ATXN2L antibody

Be the first to review this product! Submit a review

|

(2 Publications)

Rabbit Polyclonal ATXN2L antibody. Suitable for IHC-P, WB, ICC/IF and reacts with Human samples. Cited in 2 publications. Immunogen corresponding to Recombinant Fragment Protein within Human ATXN2L aa 450-550.

View Alternative Names

A2D, A2LG, A2LP, A2RP, ATXN2L, Ataxin-2-like protein, Ataxin-2 domain protein, Ataxin-2-related protein

6 Images
Immunohistochemistry (Formalin/PFA-fixed paraffin-embedded sections) - Anti-ATXN2L antibody (AB184834)
  • IHC-P

Supplier Data

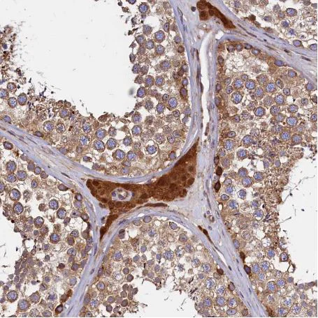
Immunohistochemistry (Formalin/PFA-fixed paraffin-embedded sections) - Anti-ATXN2L antibody (AB184834)

Immunohistochemical analysis of paraffin-embedded human testis tissue labeling ATXN2L in the cytoplasm of Leydig cells with ab184834 at a 1/50 dilution.

Performed heat mediated antigen retrieval with citrate buffer pH 6 before commencing with IHC staining protocol.

Immunohistochemistry (Formalin/PFA-fixed paraffin-embedded sections) - Anti-ATXN2L antibody (AB184834)
  • IHC-P

Supplier Data

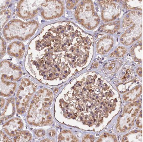
Immunohistochemistry (Formalin/PFA-fixed paraffin-embedded sections) - Anti-ATXN2L antibody (AB184834)

Immunohistochemical analysis of paraffin-embedded human kidney tissue labeling ATXN2L in the cytoplasm of glomeruli cells with ab184834 at a 1/50 dilution.

Performed heat mediated antigen retrieval with citrate buffer pH 6 before commencing with IHC staining protocol.

Immunohistochemistry (Formalin/PFA-fixed paraffin-embedded sections) - Anti-ATXN2L antibody (AB184834)
  • IHC-P

Supplier Data

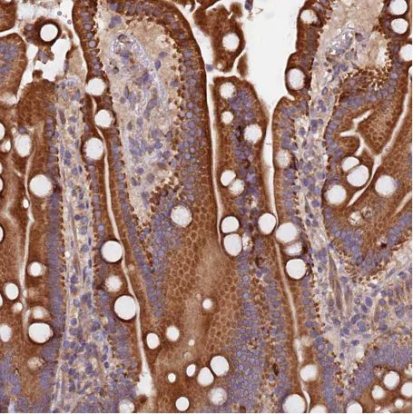
Immunohistochemistry (Formalin/PFA-fixed paraffin-embedded sections) - Anti-ATXN2L antibody (AB184834)

Immunohistochemical analysis of paraffin-embedded human duodenum tissue labeling ATXN2L in the cytoplasm of glandular cells with ab184834 at a 1/50 dilution.

Performed heat mediated antigen retrieval with citrate buffer pH 6 before commencing with IHC staining protocol.

Immunohistochemistry (Formalin/PFA-fixed paraffin-embedded sections) - Anti-ATXN2L antibody (AB184834)
  • IHC-P

Supplier Data

Immunohistochemistry (Formalin/PFA-fixed paraffin-embedded sections) - Anti-ATXN2L antibody (AB184834)

Immunohistochemical analysis of paraffin-embedded human tonsil tissue labeling ATXN2L in the cytoplasm of germinal center cells with ab184834 at a 1/50 dilution.

Performed heat mediated antigen retrieval with citrate buffer pH 6 before commencing with IHC staining protocol.

Immunocytochemistry/ Immunofluorescence - Anti-ATXN2L antibody (AB184834)
  • ICC/IF

Supplier Data

Immunocytochemistry/ Immunofluorescence - Anti-ATXN2L antibody (AB184834)

Immunofluorescent analysis of PFA/Triton X-100-treated A431 (human epidermoid carcinoma cell line) whole cells labeling ATXN2L in the cytosol with ab184834 at 2 μg/ml.

Western blot - Anti-ATXN2L antibody (AB184834)
  • WB

Supplier Data

Western blot - Anti-ATXN2L antibody (AB184834)

All lanes:

Western blot - Anti-ATXN2L antibody (ab184834) at 0.4 µg/mL

Lane 1:

Target specific siRNA probe #1 transfected into U-2 OS (human bone osteosarcoma epithelial cell line) whole cell lysate

Lane 2:

Target specific siRNA probe #2 transfected into U-2 OS whole cell lysate

Lane 3:

Control siRNA transfected into U-2 OS whole cell lysate

Predicted band size: 113 kDa

false

Key facts

Host species

Rabbit

Clonality

Polyclonal

Isotype

IgG

Carrier free

No

Reacts with

Human

Applications

IHC-P, ICC/IF, WB

applications

Immunogen

Recombinant Fragment Protein within Human ATXN2L aa 450-550. The exact immunogen used to generate this antibody is proprietary information.

Q8WWM7

Reactivity data

{ "title": "Reactivity Data", "filters": { "stats": ["", "Species", "Dilution Info", "Notes"], "tabs": { "all-applications": {"fullname" : "All Applications", "shortname": "All Applications"}, "IHCP" : {"fullname" : "Immunohistochemistry (Formalin/PFA-fixed paraffin-embedded sections)", "shortname":"IHC-P"}, "WB" : {"fullname" : "Western blot", "shortname":"WB"}, "ICCIF" : {"fullname" : "Immunocytochemistry/ Immunofluorescence", "shortname":"ICC/IF"} }, "product-promise": { "all": "all", "testedAndGuaranteed": "tested", "guaranteed": "expected", "predicted": "predicted", "notRecommended": "not-recommended" } }, "values": { "Human": { "IHCP-species-checked": "testedAndGuaranteed", "IHCP-species-dilution-info": "1/50 - 1/200", "IHCP-species-notes": "<p></p> Perform heat-mediated antigen retrieval with citrate buffer pH 6 before commencing with IHC staining protocol.", "WB-species-checked": "testedAndGuaranteed", "WB-species-dilution-info": "0.04-0.4 µg/mL", "WB-species-notes": "<p></p>", "ICCIF-species-checked": "testedAndGuaranteed", "ICCIF-species-dilution-info": "0.25-2 µg/mL", "ICCIF-species-notes": "<p>Fixation/Permeabilization: PFA/Triton X-100</p>" } } }

Properties and storage information

Form
Liquid
Purification technique
Affinity purification Immunogen
Storage buffer
pH: 7.2 Preservative: 0.02% Sodium azide Constituents: PBS, 40% Glycerol (glycerin, glycerine)
Shipped at conditions
Blue Ice
Appropriate short-term storage duration
1-2 weeks
Appropriate short-term storage conditions
+4°C
Appropriate long-term storage conditions
-20°C
Aliquoting information
Upon delivery aliquot
Storage information
Avoid freeze / thaw cycle

Supplementary information

This supplementary information is collated from multiple sources and compiled automatically.

ATXN2L also known as ataxin-2-like protein is a protein encoded by the ATXN2L gene. This protein has a mass of approximately 130 kilodaltons. It is widely expressed in various tissues including the brain and liver. Structurally ATXN2L contains multiple HEAT repeat sequences which facilitate its role in protein-protein interactions. The protein localizes primarily to the cytoplasm and is involved in the modulation of RNA metabolism.
Biological function summary

The ATXN2L protein interacts with other cellular components to influence mRNA stability and translation. It forms part of RNA granules structures that play a significant role in the post-transcriptional regulation of gene expression. Through these interactions ATXN2L can affect the cellular response to stress by managing the translation of stress response genes. Its function is critical in maintaining proper RNA homeostasis under various cellular conditions.

Pathways

Various interacting partners connect ATXN2L to fundamental biological processes. It is involved in the insulin signaling pathway which is important for energy balance and cellular growth. Additionally it participates in stress granule assembly involving other proteins such as G3BP1 and EIF2α. These pathways highlight the protein's importance in cellular stress responses and metabolism regulation.

Disruptions in ATXN2L function are associated with neurodegenerative conditions and metabolic syndrome. Mutations or altered expressions may link to amyotrophic lateral sclerosis (ALS) where it interacts with proteins like TDP-43 influencing disease progression. Furthermore its role in the insulin signaling pathway connects ATXN2L to type 2 diabetes implicating it in the development of insulin resistance.

Product protocols

For this product, it's our understanding that no specific protocols are required. You can visit:

Target data

Involved in the regulation of stress granule and P-body formation.
See full target information ATXN2L

Publications (2)

Recent publications for all applications. Explore the full list and refine your search

Diabetology & metabolic syndrome 17:229 PubMed40533826

2025

Exosomal FOXL1 from bone marrow mesenchymal stem cells activates the METTL3/ATXN2L pathway to ameliorate high glucose-induced human retinal microvascular endothelial cell injury.

Applications

Unspecified application

Species

Unspecified reactive species

Chao Niu,Daoquan Dong,Longjiang Cui,Yingli Dong,Wei Wang

Gut and liver 7:739-46 PubMed24312717

2013

Expression of heat shock protein 70 modulates the chemoresponsiveness of pancreatic cancer.

Applications

Unspecified application

Species

Unspecified reactive species

Jong Jin Hyun,Hong Sik Lee,Bora Keum,Yeon Seok Seo,Yoon Tae Jeen,Hoon Jai Chun,Soon Ho Um,Chang Duck Kim
View all publications

Product promise

We are committed to supporting your work with high-quality reagents, and we're here for you every step of the way. In the unlikely event that one of our products does not perform as expected, you're protected by our Product Promise.
For full details, please see our Terms & Conditions

Please note: All products are 'FOR RESEARCH USE ONLY. NOT FOR USE IN DIAGNOSTIC OR THERAPEUTIC PROCEDURES'.

For licensing inquiries, please contact partnerships@abcam.com