JavaScript is disabled in your browser. Please enable JavaScript to view this website.
AB115883

Anti-Aurora A antibody

Be the first to review this product! Submit a review

|

(2 Publications)

Goat Polyclonal Aurora A antibody. Suitable for IHC-P and reacts with Human samples. Cited in 2 publications. Immunogen corresponding to Synthetic Peptide within Human AURKA aa 250-300 conjugated to Keyhole Limpet Haemocyanin.

View Alternative Names

AIK, AIRK1, ARK1, AURA, AYK1, BTAK, IAK1, STK15, STK6, AURKA, Aurora kinase A, Aurora 2, Aurora/IPL1-related kinase 1, Breast tumor-amplified kinase, Ipl1- and aurora-related kinase 1, Serine/threonine-protein kinase 15, Serine/threonine-protein kinase 6, Serine/threonine-protein kinase Ayk1, Serine/threonine-protein kinase aurora-A, ARK-1, Aurora-related kinase 1

1 Images
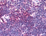
Immunohistochemistry (Formalin/PFA-fixed paraffin-embedded sections) - Anti-Aurora A antibody (AB115883)
  • IHC-P

Unknown

Immunohistochemistry (Formalin/PFA-fixed paraffin-embedded sections) - Anti-Aurora A antibody (AB115883)

Human Thymus (formalin-fixed, paraffin-embedded) stained with ab115883 at 10 ug/ml followed by biotinylated anti-goat IgG secondary antibody, alkaline phosphatase-streptavidin and chromogen.

Key facts

Host species

Goat

Clonality

Polyclonal

Isotype

IgG

Carrier free

No

Reacts with

Human

Applications

IHC-P

applications

Immunogen

Synthetic Peptide within Human AURKA aa 250-300 conjugated to Keyhole Limpet Haemocyanin. The exact immunogen used to generate this antibody is proprietary information.

O14965

Reactivity data

{ "title": "Reactivity Data", "filters": { "stats": ["", "Species", "Dilution Info", "Notes"], "tabs": { "all-applications": {"fullname" : "All Applications", "shortname": "All Applications"}, "IHCP" : {"fullname" : "Immunohistochemistry (Formalin/PFA-fixed paraffin-embedded sections)", "shortname":"IHC-P"} }, "product-promise": { "all": "all", "testedAndGuaranteed": "tested", "guaranteed": "expected", "predicted": "predicted", "notRecommended": "not-recommended" } }, "values": { "Human": { "IHCP-species-checked": "testedAndGuaranteed", "IHCP-species-dilution-info": "10 µg/mL", "IHCP-species-notes": "<p></p> Perform heat-mediated antigen retrieval with citrate buffer pH 6 before commencing with IHC staining protocol." } } }

Properties and storage information

Form
Liquid
Purification technique
Affinity purification Immunogen
Storage buffer
pH: 7.3 Preservative: 0.02% Sodium azide Constituents: 99% Tris buffered saline, 0.5% BSA
Shipped at conditions
Blue Ice
Appropriate short-term storage conditions
+4°C
Appropriate long-term storage conditions
-20°C
Aliquoting information
Upon delivery aliquot
Storage information
Avoid freeze / thaw cycle

Supplementary information

This supplementary information is collated from multiple sources and compiled automatically.

Aurora A also known as Aurora kinase A is an important serine/threonine kinase with a protein mass of approximately 46 kDa. It is commonly found in various tissues but its expression is particularly high during mitosis in dividing cells. Aurora A operates primarily at the centrosomes where it is pivotal for processes such as centrosome maturation separation and the establishment of the mitotic spindle. The kinase activity of Aurora A is important for proper chromosome alignment and segregation. Scientists often use Aurora A as a marker in studies related to cell division and cancer.
Biological function summary

Aurora A plays key roles in the regulation of the cell cycle and mitosis. It functions as part of the Aurora mouse kinase complex associating with other proteins to ensure accurate chromosomal segregation and cytokinesis. Aurora A is involved in centrosome dynamics and interacts with proteins such as 35C1 aiding its localization to the correct cellular structures. The protein’s role in the cell cycle and mitotic checkpoints makes it a subject of interest for researchers examining cancer proliferation.

Pathways

Aurora A integrates into both the mitotic spindle assembly checkpoint and DNA damage repair pathways. Within these pathways Aurora A partners with proteins like APC (Anaphase Promoting Complex) to ensure timely progression through mitosis and safeguard genomic stability. The spindle assembly pathway ensures that spindle fibers correctly attach to chromosomes a process in which Aurora A proves instrumental. Its interaction with other kinases and regulatory molecules in these pathways highlights its regulatory importance in cell proliferation.

Research identifies Aurora A's association with oncological conditions such as breast and ovarian cancers. Overexpression or amplification of Aurora A correlates with tumor progression and poor prognosis as it can lead to chromosomal instability. In these diseases Aurora A activity is linked with dysregulated pathways involving proteins like p53 and BRCA1 which normally function in DNA damage response and repair. Targeted inhibition of Aurora A represents a promising avenue in cancer therapy as it might restore normal cell cycle control and reduce cancer cell viability.

Product protocols

For this product, it's our understanding that no specific protocols are required. You can visit:

Target data

Mitotic serine/threonine kinase that contributes to the regulation of cell cycle progression (PubMed : 11039908, PubMed : 12390251, PubMed : 17125279, PubMed : 17360485, PubMed : 18615013, PubMed : 26246606). Associates with the centrosome and the spindle microtubules during mitosis and plays a critical role in various mitotic events including the establishment of mitotic spindle, centrosome duplication, centrosome separation as well as maturation, chromosomal alignment, spindle assembly checkpoint, and cytokinesis (PubMed : 14523000, PubMed : 26246606). Required for normal spindle positioning during mitosis and for the localization of NUMA1 and DCTN1 to the cell cortex during metaphase (PubMed : 27335426). Required for initial activation of CDK1 at centrosomes (PubMed : 13678582, PubMed : 15128871). Phosphorylates numerous target proteins, including ARHGEF2, BORA, BRCA1, CDC25B, DLGP5, HDAC6, KIF2A, LATS2, NDEL1, PARD3, PPP1R2, PLK1, RASSF1, TACC3, p53/TP53 and TPX2 (PubMed : 11551964, PubMed : 14702041, PubMed : 15128871, PubMed : 15147269, PubMed : 15987997, PubMed : 17604723, PubMed : 18056443, PubMed : 18615013). Regulates KIF2A tubulin depolymerase activity (PubMed : 19351716). Important for microtubule formation and/or stabilization (PubMed : 18056443). Required for normal axon formation (PubMed : 19812038). Plays a role in microtubule remodeling during neurite extension (PubMed : 19668197). Also acts as a key regulatory component of the p53/TP53 pathway, and particularly the checkpoint-response pathways critical for oncogenic transformation of cells, by phosphorylating and destabilizing p53/TP53 (PubMed : 14702041). Phosphorylates its own inhibitors, the protein phosphatase type 1 (PP1) isoforms, to inhibit their activity (PubMed : 11551964). Inhibits cilia outgrowth (By similarity). Required for cilia disassembly via phosphorylation of HDAC6 and subsequent deacetylation of alpha-tubulin (PubMed : 17604723, PubMed : 20643351). Regulates protein levels of the anti-apoptosis protein BIRC5 by suppressing the expression of the SCF(FBXL7) E3 ubiquitin-protein ligase substrate adapter FBXL7 through the phosphorylation of the transcription factor FOXP1 (PubMed : 28218735).
See full target information AURKA

Publications (2)

Recent publications for all applications. Explore the full list and refine your search

Diabetes : PubMed34957485

2021

Loss of Functional SCO2 Attenuates Oxidative Stress in Diabetic Kidney Disease.

Applications

Unspecified application

Species

Unspecified reactive species

Nehaben A Gujarati,Alexandra R Leonardo,Jessica M Vasquez,Yiqing Guo,Bismark O Frimpong,Elbek Fozilov,Monica P Revelo,Ilse S Daehn,John C He,Daniel Bogenhagen,Sandeep K Mallipattu

Nature communications 12:2409 PubMed33893302

2021

Inhibition of polar actin assembly by astral microtubules is required for cytokinesis.

Applications

Unspecified application

Species

Unspecified reactive species

Anan Chen,Luisa Ulloa Severino,Thomas C Panagiotou,Trevor F Moraes,Darren A Yuen,Brigitte D Lavoie,Andrew Wilde
View all publications

Product promise

We are committed to supporting your work with high-quality reagents, and we're here for you every step of the way. In the unlikely event that one of our products does not perform as expected, you're protected by our Product Promise.
For full details, please see our Terms & Conditions

Please note: All products are 'FOR RESEARCH USE ONLY. NOT FOR USE IN DIAGNOSTIC OR THERAPEUTIC PROCEDURES'.

For licensing inquiries, please contact partnerships@abcam.com