JavaScript is disabled in your browser. Please enable JavaScript to view this website.
AB232013

Anti-Aurora A antibody [EP1008Y] - BSA and Azide free

Be the first to review this product! Submit a review

|

(1 Publication)

Rabbit Recombinant Monoclonal Aurora A antibody. Carrier free. Suitable for IHC-P, IP, WB and reacts with Human samples. Cited in 1 publication.

View Alternative Names

AIK, AIRK1, ARK1, AURA, AYK1, BTAK, IAK1, STK15, STK6, AURKA, Aurora kinase A, Aurora 2, Aurora/IPL1-related kinase 1, Breast tumor-amplified kinase, Ipl1- and aurora-related kinase 1, Serine/threonine-protein kinase 15, Serine/threonine-protein kinase 6, Serine/threonine-protein kinase Ayk1, Serine/threonine-protein kinase aurora-A, ARK-1, Aurora-related kinase 1

1 Images
Immunohistochemistry (Formalin/PFA-fixed paraffin-embedded sections) - Anti-Aurora A antibody [EP1008Y] - BSA and Azide free (AB232013)
  • IHC-P

Unknown

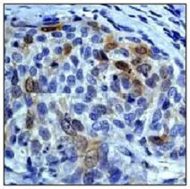
Immunohistochemistry (Formalin/PFA-fixed paraffin-embedded sections) - Anti-Aurora A antibody [EP1008Y] - BSA and Azide free (AB232013)

Formalin-fixed, paraffin-embedded human cervical carcinoma tissue stained for Aurora A with ab52973 (1/100 dilution) in immunohistochemical analysis. Inset panel is a larger magnification of the image.

This data was developed using the same antibody clone in a different buffer formulation containing PBS, BSA, glycerol, and sodium azide (ab52973).

Heat mediated antigen retrieval was performed before commencing with IHC staining protocol.

Key facts

Host species

Rabbit

Clonality

Monoclonal

Clone number

EP1008Y

Isotype

IgG

Carrier free

Yes

Reacts with

Human

Applications

IP, WB, IHC-P

applications

Immunogen

The exact immunogen used to generate this antibody is proprietary information.

Reactivity data

{ "title": "Reactivity Data", "filters": { "stats": ["", "Species", "Dilution Info", "Notes"], "tabs": { "all-applications": {"fullname" : "All Applications", "shortname": "All Applications"}, "IHCP" : {"fullname" : "Immunohistochemistry (Formalin/PFA-fixed paraffin-embedded sections)", "shortname":"IHC-P"}, "IP" : {"fullname" : "Immunoprecipitation", "shortname":"IP"}, "WB" : {"fullname" : "Western blot", "shortname":"WB"} }, "product-promise": { "all": "all", "testedAndGuaranteed": "tested", "guaranteed": "expected", "predicted": "predicted", "notRecommended": "not-recommended" } }, "values": { "Human": { "IHCP-species-checked": "testedAndGuaranteed", "IHCP-species-dilution-info": "", "IHCP-species-notes": "<p></p>", "IP-species-checked": "testedAndGuaranteed", "IP-species-dilution-info": "", "IP-species-notes": "<p></p>", "WB-species-checked": "testedAndGuaranteed", "WB-species-dilution-info": "", "WB-species-notes": "<p></p>" } } }

Product details

ab232013 is the carrier-free version of ab52973.

Species reactivity
Mouse, Rat: We have preliminary internal testing data to indicate this antibody may not react with these species.
Please contact us for more information.

Patented technology
Our RabMAb® technology is a patented hybridoma-based technology for making rabbit monoclonal antibodies. For details on our patents, please refer to RabMAb® patents.

What are the advantages of a recombinant monoclonal antibody?
This product is a recombinant monoclonal antibody, which offers several advantages including:

  • - High batch-to-batch consistency and reproducibility
  • - Improved sensitivity and specificity
  • - Long-term security of supply
  • - Animal-free batch production

For more information, read more on recombinant antibodies.

Conjugation ready
Our carrier-free antibodies are typically supplied in a PBS-only formulation, purified and free of BSA, sodium azide and glycerol. This conjugation-ready format is designed for use with fluorochromes, metal isotopes, oligonucleotides, and enzymes, which makes them ideal for antibody labelling, functional and cell-based assays, flow-based assays (e.g. mass cytometry) and Multiplex Imaging applications.

Use our conjugation kits for antibody conjugates that are ready-to-use in as little as 20 minutes with 1 minute hands-on-time and 100% antibody recovery: available for fluorescent dyes, HRP, biotin and gold.

Compatibility
This product is compatible with the Maxpar® Antibody Labeling Kit from Fluidigm, without the need for antibody preparation. Maxpar® is a trademark of Fluidigm Canada Inc.

Properties and storage information

Form
Liquid
Purification technique
Affinity purification Protein A
Storage buffer
pH: 7.2 - 7.4 Constituents: PBS
Shipped at conditions
Blue Ice
Appropriate short-term storage conditions
+4°C
Appropriate long-term storage conditions
+4°C
Storage information
Do Not Freeze

Supplementary information

This supplementary information is collated from multiple sources and compiled automatically.

Aurora A also known as Aurora kinase A is an important serine/threonine kinase with a protein mass of approximately 46 kDa. It is commonly found in various tissues but its expression is particularly high during mitosis in dividing cells. Aurora A operates primarily at the centrosomes where it is pivotal for processes such as centrosome maturation separation and the establishment of the mitotic spindle. The kinase activity of Aurora A is important for proper chromosome alignment and segregation. Scientists often use Aurora A as a marker in studies related to cell division and cancer.
Biological function summary

Aurora A plays key roles in the regulation of the cell cycle and mitosis. It functions as part of the Aurora mouse kinase complex associating with other proteins to ensure accurate chromosomal segregation and cytokinesis. Aurora A is involved in centrosome dynamics and interacts with proteins such as 35C1 aiding its localization to the correct cellular structures. The protein’s role in the cell cycle and mitotic checkpoints makes it a subject of interest for researchers examining cancer proliferation.

Pathways

Aurora A integrates into both the mitotic spindle assembly checkpoint and DNA damage repair pathways. Within these pathways Aurora A partners with proteins like APC (Anaphase Promoting Complex) to ensure timely progression through mitosis and safeguard genomic stability. The spindle assembly pathway ensures that spindle fibers correctly attach to chromosomes a process in which Aurora A proves instrumental. Its interaction with other kinases and regulatory molecules in these pathways highlights its regulatory importance in cell proliferation.

Research identifies Aurora A's association with oncological conditions such as breast and ovarian cancers. Overexpression or amplification of Aurora A correlates with tumor progression and poor prognosis as it can lead to chromosomal instability. In these diseases Aurora A activity is linked with dysregulated pathways involving proteins like p53 and BRCA1 which normally function in DNA damage response and repair. Targeted inhibition of Aurora A represents a promising avenue in cancer therapy as it might restore normal cell cycle control and reduce cancer cell viability.

Product protocols

For this product, it's our understanding that no specific protocols are required. You can visit:

Target data

Mitotic serine/threonine kinase that contributes to the regulation of cell cycle progression (PubMed : 11039908, PubMed : 12390251, PubMed : 17125279, PubMed : 17360485, PubMed : 18615013, PubMed : 26246606). Associates with the centrosome and the spindle microtubules during mitosis and plays a critical role in various mitotic events including the establishment of mitotic spindle, centrosome duplication, centrosome separation as well as maturation, chromosomal alignment, spindle assembly checkpoint, and cytokinesis (PubMed : 14523000, PubMed : 26246606). Required for normal spindle positioning during mitosis and for the localization of NUMA1 and DCTN1 to the cell cortex during metaphase (PubMed : 27335426). Required for initial activation of CDK1 at centrosomes (PubMed : 13678582, PubMed : 15128871). Phosphorylates numerous target proteins, including ARHGEF2, BORA, BRCA1, CDC25B, DLGP5, HDAC6, KIF2A, LATS2, NDEL1, PARD3, PPP1R2, PLK1, RASSF1, TACC3, p53/TP53 and TPX2 (PubMed : 11551964, PubMed : 14702041, PubMed : 15128871, PubMed : 15147269, PubMed : 15987997, PubMed : 17604723, PubMed : 18056443, PubMed : 18615013). Regulates KIF2A tubulin depolymerase activity (PubMed : 19351716). Important for microtubule formation and/or stabilization (PubMed : 18056443). Required for normal axon formation (PubMed : 19812038). Plays a role in microtubule remodeling during neurite extension (PubMed : 19668197). Also acts as a key regulatory component of the p53/TP53 pathway, and particularly the checkpoint-response pathways critical for oncogenic transformation of cells, by phosphorylating and destabilizing p53/TP53 (PubMed : 14702041). Phosphorylates its own inhibitors, the protein phosphatase type 1 (PP1) isoforms, to inhibit their activity (PubMed : 11551964). Inhibits cilia outgrowth (By similarity). Required for cilia disassembly via phosphorylation of HDAC6 and subsequent deacetylation of alpha-tubulin (PubMed : 17604723, PubMed : 20643351). Regulates protein levels of the anti-apoptosis protein BIRC5 by suppressing the expression of the SCF(FBXL7) E3 ubiquitin-protein ligase substrate adapter FBXL7 through the phosphorylation of the transcription factor FOXP1 (PubMed : 28218735).
See full target information AURKA

Publications (1)

Recent publications for all applications. Explore the full list and refine your search

Molecular therapy. Oncology 33:200915 PubMed39802675

2025

Cell-derived Newcastle disease virus variant with two amino acid substitutions near cleavage site of F shows favorable traits as oncolytic virus.

Applications

Unspecified application

Species

Unspecified reactive species

Marco Huberts,J Fréderique de Graaf,Daphne Groeneveld,Stefan van Nieuwkoop,Ron A M Fouchier,Bernadette G van den Hoogen
View all publications

Product promise

We are committed to supporting your work with high-quality reagents, and we're here for you every step of the way. In the unlikely event that one of our products does not perform as expected, you're protected by our Product Promise.
For full details, please see our Terms & Conditions

Please note: All products are 'FOR RESEARCH USE ONLY. NOT FOR USE IN DIAGNOSTIC OR THERAPEUTIC PROCEDURES'.

For licensing inquiries, please contact partnerships@abcam.com