JavaScript is disabled in your browser. Please enable JavaScript to view this website.
AB315209

Anti-Aurora A+B+C antibody [4A7]

Be the first to review this product! Submit a review

|

(0 Publication)

Mouse Monoclonal Aurora A antibody. Suitable for WB, ICC/IF and reacts with Human samples. Immunogen corresponding to Recombinant Full Length Protein corresponding to Human AURKA.

View Alternative Names

AIK, AIRK1, ARK1, AURA, AYK1, BTAK, IAK1, STK15, STK6, AURKA, Aurora kinase A, Aurora 2, Aurora/IPL1-related kinase 1, Breast tumor-amplified kinase, Ipl1- and aurora-related kinase 1, Serine/threonine-protein kinase 15, Serine/threonine-protein kinase 6, Serine/threonine-protein kinase Ayk1, Serine/threonine-protein kinase aurora-A, ARK-1, Aurora-related kinase 1

2 Images
Immunocytochemistry/ Immunofluorescence - Anti-Aurora A+B+C antibody [4A7] (AB315209)
  • ICC/IF

Supplier Data

Immunocytochemistry/ Immunofluorescence - Anti-Aurora A+B+C antibody [4A7] (AB315209)

HeLa cell cultures were stained with ab315209 antibody (green). Strong staining in spindle poles is seen in cells at anaphase and the antibody also stains the midbodies between daughter cells. Cells were counterstained with EnCor chicken polyclonal antibody to vimentin CPCA-Vim in red, revealing cytoplasmic intermediate filaments. Blue is a DNA stain.

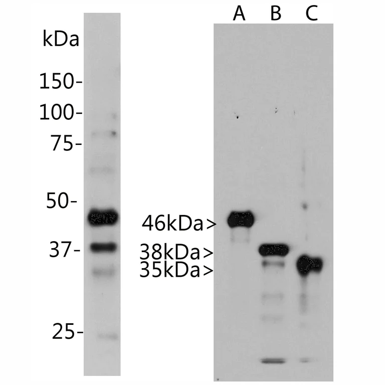
Western blot - Anti-Aurora A+B+C antibody [4A7] (AB315209)
  • WB

Supplier Data

Western blot - Anti-Aurora A+B+C antibody [4A7] (AB315209)

Left : Western blot analysis of ab315209 in HeLa cells. Blot of HeLa cells treated with 100ng/ml nocodazole for 18 hours was probed with ab315209. Nocodazole is a microtubule depolymerizating agent which induces cells to halt at the G2/M phase and also induces aurora kinase expression. The ab315209 monoclonal binds strongly to bands at about 46kDa and 38kDa, corresponding to aurora A and aurora B. It also recognizes a weak band at 35kDa which is aurora C. Right : Blot of recombinant full length human aurora A, B and C proteins were probed with ab315209. This antibody therefore reacts strongly with all three aurora kinases proteins.

All lanes:

Western blot - Anti-Aurora A+B+C antibody [4A7] (ab315209)

All lanes:

HeLa cell lysate

Observed band size: 46 kDa,38 kDa,35 kDa

false

Key facts

Host species

Mouse

Clonality

Monoclonal

Clone number

4A7

Isotype

IgG1

Carrier free

No

Reacts with

Human

Applications

WB, ICC/IF

applications

Immunogen

Recombinant Full Length Protein corresponding to Human AURKA.

O14965

Reactivity data

{ "title": "Reactivity Data", "filters": { "stats": ["", "Species", "Dilution Info", "Notes"], "tabs": { "all-applications": {"fullname" : "All Applications", "shortname": "All Applications"}, "WB" : {"fullname" : "Western blot", "shortname":"WB"}, "ICCIF" : {"fullname" : "Immunocytochemistry/ Immunofluorescence", "shortname":"ICC/IF"} }, "product-promise": { "all": "all", "testedAndGuaranteed": "tested", "guaranteed": "expected", "predicted": "predicted", "notRecommended": "not-recommended" } }, "values": { "Human": { "WB-species-checked": "testedAndGuaranteed", "WB-species-dilution-info": "", "WB-species-notes": "<p></p>", "ICCIF-species-checked": "testedAndGuaranteed", "ICCIF-species-dilution-info": "", "ICCIF-species-notes": "<p></p>" } } }

Properties and storage information

Form
Liquid
Storage buffer
pH: 7 - 8 Preservative: 0.03% Sodium azide Constituents: PBS, 50% Glycerol (glycerin, glycerine)
Shipped at conditions
Blue Ice
Appropriate short-term storage duration
1-2 weeks
Appropriate short-term storage conditions
+4°C
Appropriate long-term storage conditions
-20°C
Storage information
Avoid freeze / thaw cycle

Supplementary information

This supplementary information is collated from multiple sources and compiled automatically.

Aurora A B and C are serine-threonine kinases known for their key roles in cell cycle regulation. These kinases often referred to as Aurora kinases have molecular masses of approximately 46 kDa (Aurora A) 39 kDa (Aurora B) and 34 kDa (Aurora C). Aurora A is primarily expressed in centrosomes and spindle poles during mitosis. Aurora B localizes mainly to the inner centromere during early mitosis and relocates to the central spindle and midbody in later stages. Aurora C expression occurs predominantly in the testes and it also participates in meiotic cell division.
Biological function summary

The Aurora kinases are important in the regulation of mitosis. Aurora A facilitates centrosome maturation and bipolar spindle assembly while Aurora B functions as part of the chromosomal passenger complex that ensures accurate chromosome alignment and segregation. Aurora C although less studied appears to overlap in function with Aurora B particularly in meiosis. Together these kinases ensure the correct distribution of chromosomes to daughter cells maintaining genomic stability.

Pathways

Aurora kinases are integral components of the mitotic spindle assembly checkpoint and the cytokinesis process. They operate in synchrony with proteins like PLK1 and CENP-A ensuring precise temporal and spatial progression through cell division. In the p53 pathway Aurora A plays a role in cellular response to DNA damage influencing cell fate decisions. Their regulated activity helps maintain correct chromosome number and division fidelity during cell replication.

Incorrect regulation or overexpression of Aurora kinases associates with cancer and infertility. Aurora A and B are frequently upregulated in various cancers including breast and colorectal cancers where they may interact with oncogenic proteins like MYC and RAS. Aurora C mutations have been linked to cases of male infertility affecting processes important for successful spermatogenesis. These associations highlight the therapeutic potential of Aurora kinases as targets for drug development in cancer and reproductive health issues.

Product protocols

For this product, it's our understanding that no specific protocols are required. You can visit:

Target data

Mitotic serine/threonine kinase that contributes to the regulation of cell cycle progression (PubMed : 11039908, PubMed : 12390251, PubMed : 17125279, PubMed : 17360485, PubMed : 18615013, PubMed : 26246606). Associates with the centrosome and the spindle microtubules during mitosis and plays a critical role in various mitotic events including the establishment of mitotic spindle, centrosome duplication, centrosome separation as well as maturation, chromosomal alignment, spindle assembly checkpoint, and cytokinesis (PubMed : 14523000, PubMed : 26246606). Required for normal spindle positioning during mitosis and for the localization of NUMA1 and DCTN1 to the cell cortex during metaphase (PubMed : 27335426). Required for initial activation of CDK1 at centrosomes (PubMed : 13678582, PubMed : 15128871). Phosphorylates numerous target proteins, including ARHGEF2, BORA, BRCA1, CDC25B, DLGP5, HDAC6, KIF2A, LATS2, NDEL1, PARD3, PPP1R2, PLK1, RASSF1, TACC3, p53/TP53 and TPX2 (PubMed : 11551964, PubMed : 14702041, PubMed : 15128871, PubMed : 15147269, PubMed : 15987997, PubMed : 17604723, PubMed : 18056443, PubMed : 18615013). Regulates KIF2A tubulin depolymerase activity (PubMed : 19351716). Important for microtubule formation and/or stabilization (PubMed : 18056443). Required for normal axon formation (PubMed : 19812038). Plays a role in microtubule remodeling during neurite extension (PubMed : 19668197). Also acts as a key regulatory component of the p53/TP53 pathway, and particularly the checkpoint-response pathways critical for oncogenic transformation of cells, by phosphorylating and destabilizing p53/TP53 (PubMed : 14702041). Phosphorylates its own inhibitors, the protein phosphatase type 1 (PP1) isoforms, to inhibit their activity (PubMed : 11551964). Inhibits cilia outgrowth (By similarity). Required for cilia disassembly via phosphorylation of HDAC6 and subsequent deacetylation of alpha-tubulin (PubMed : 17604723, PubMed : 20643351). Regulates protein levels of the anti-apoptosis protein BIRC5 by suppressing the expression of the SCF(FBXL7) E3 ubiquitin-protein ligase substrate adapter FBXL7 through the phosphorylation of the transcription factor FOXP1 (PubMed : 28218735).
See full target information AURKA

Additional targets

AURKB,AURKC

Product promise

We are committed to supporting your work with high-quality reagents, and we're here for you every step of the way. In the unlikely event that one of our products does not perform as expected, you're protected by our Product Promise.
For full details, please see our Terms & Conditions

Please note: All products are 'FOR RESEARCH USE ONLY. NOT FOR USE IN DIAGNOSTIC OR THERAPEUTIC PROCEDURES'.

For licensing inquiries, please contact partnerships@abcam.com