JavaScript is disabled in your browser. Please enable JavaScript to view this website.
AB239837

Anti-Aurora B antibody [EP1009Y] - BSA and Azide free

Be the first to review this product! Submit a review

|

(1 Publication)

Rabbit Recombinant Monoclonal Aurora B antibody. Carrier free. Suitable for ICC/IF, IP, WB, IHC-P, Flow Cyt (Intra) and reacts with Human samples. Cited in 1 publication.

View Alternative Names

AIK2, AIM1, AIRK2, ARK2, STK1, STK12, STK5, AURKB, Aurora kinase B, Aurora 1, Aurora- and IPL1-like midbody-associated protein 1, Aurora/IPL1-related kinase 2, STK-1, Serine/threonine-protein kinase 12, Serine/threonine-protein kinase 5, Serine/threonine-protein kinase aurora-B, AIM-1, ARK-2, Aurora-related kinase 2

5 Images
Flow Cytometry (Intracellular) - Anti-Aurora B antibody [EP1009Y] - BSA and Azide free (AB239837)
  • Flow Cyt (Intra)

Lab

Flow Cytometry (Intracellular) - Anti-Aurora B antibody [EP1009Y] - BSA and Azide free (AB239837)

This data was developed using ab45145, the same antibody clone in a different buffer formulation. Intracellular Flow Cytometry analysis of HeLa (Human cervix adenocarcinoma epithelial cell) cells labeling Aurora B with Purified ab45145 at 1/300 dilution (0.1 μg/ml) (Red). Cells were fixed with 4% Paraformaldehyde and permeabilised with 90% Methanol. A Goat anti rabbit IgG (Alexa Fluor® 488 ,ab150077) secondary antibody was used at 1/2000. Isotype control - Rabbit monoclonal IgG (Left). Unlabeled control - /.

Immunocytochemistry/ Immunofluorescence - Anti-Aurora B antibody [EP1009Y] - BSA and Azide free (AB239837)
  • ICC/IF

Lab

Immunocytochemistry/ Immunofluorescence - Anti-Aurora B antibody [EP1009Y] - BSA and Azide free (AB239837)

This data was developed using ab45145, the same antibody clone in a different buffer formulation.
Immunocytochemistry analysis of HeLa (Human cervix adenocarcinoma epithelial cell) cells labeling Aurora B with Purified ab45145 at 1 : 50 dilution (5.4 μg/ml). Cells were fixed in 4% Paraformaldehyde and permeabilized with 0.1% tritonX-100. Cells were counterstained with ab195889 Anti-alpha Tubulin antibody [DM1A] - Microtubule Marker (Alexa Fluor® 594) 1 : 200 (2.5 μg/ml). Goat anti rabbit IgG (Alexa Fluor® 488,ab150077) was used as the secondary antibody at 1 : 1000 (2 μg/ml) dilution. DAPI (blue) was used as nuclear counterstain. PBS instead of the primary antibody was used as the secondary antibody only control.

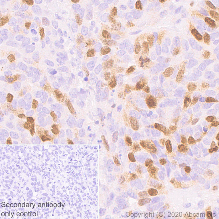
Immunohistochemistry (Formalin/PFA-fixed paraffin-embedded sections) - Anti-Aurora B antibody [EP1009Y] - BSA and Azide free (AB239837)
  • IHC-P

Lab

Immunohistochemistry (Formalin/PFA-fixed paraffin-embedded sections) - Anti-Aurora B antibody [EP1009Y] - BSA and Azide free (AB239837)

This data was developed using ab45145, the same antibody clone in a different buffer formulation.
Immunohistochemistry (Formalin/PFA-fixed paraffin-embedded sections) analysis of Human endometrium carcinoma tissue sections labeling Aurora B with purified ab45145 at 1/200 dilution (1.35 µg/mL). Heat mediated antigen retrieval using Bond™ Epitope Retrieval Solution 2 (pH 9.0). The immunostaining was performed on a Leica Biosystems BOND® RX instrument. Rabbit specific IHC polymer detection kit HRP/DAB (ab209101) was used as the secondary antibody. Negative control : PBS instead of the primary antibody. Hematoxylin was used as a counterstain.

Immunoprecipitation - Anti-Aurora B antibody [EP1009Y] - BSA and Azide free (AB239837)
  • IP

Lab

Immunoprecipitation - Anti-Aurora B antibody [EP1009Y] - BSA and Azide free (AB239837)

This data was developed using ab45145, the same antibody clone in a different buffer formulation.
Purified ab45145 at 1/20 dilution (1μg) immunoprecipitating Aurora B in HeLa whole cell lysate.
Lane 1 (input) : HeLa (Human cervix adenocarcinoma epithelial cell) whole cell lysate 10μg
Lane 2 (+) : ab45145 + HeLa whole cell lysate.
Lane 3 (-) : Rabbit monoclonal IgG (ab172730) instead of ab45145 in HeLa whole cell lysate.
VeriBlot for IP Detection Reagent (HRP) (ab131366) (1/1000 dilution) was used for Western blotting.
Blocking Buffer and concentration : 5% NFDM/TBST.
Diluting buffer and concentration : 5% NFDM/TBST.
Observed band size : 39 kDa

All lanes:

Immunoprecipitation - Anti-Aurora B antibody [EP1009Y] (<a href='/en-us/products/primary-antibodies/aurora-b-antibody-ep1009y-ab45145'>ab45145</a>)

Predicted band size: 39 kDa

false

OI-RD Scanning - Anti-Aurora B antibody [EP1009Y] - BSA and Azide free (AB239837)
  • OI-RD Scanning

Unknown

OI-RD Scanning - Anti-Aurora B antibody [EP1009Y] - BSA and Azide free (AB239837)

We have systematically measured KD (the equilibrium dissociation constant between the antibody and its antigen), of more than 840 recombinant antibodies to assess not only their individual KD values but also to see the average affinity of antibody. Based on the comparison with published literature values for mouse monoclonal antibodies, Recombinant antibodies appear to be on average 1-2 order of magnitude higher affinity.

  • Unconjugated

    Anti-Aurora B antibody [EP1009Y]

  • 775 Alexa Fluor® 750

    Alexa Fluor® 750 Anti-Aurora B antibody [EP1009Y]

  • 578 PE

    PE Anti-Aurora B antibody [EP1009Y]

  • 660 APC

    APC Anti-Aurora B antibody [EP1009Y]

  • 617 Alexa Fluor® 594

    Alexa Fluor® 594 Anti-Aurora B antibody [EP1009Y]

  • 519 Alexa Fluor® 488

    Alexa Fluor® 488 Anti-Aurora B antibody [EP1009Y]

  • 603 Alexa Fluor® 568

    Alexa Fluor® 568 Anti-Aurora B antibody [EP1009Y]

  • 665 Alexa Fluor® 647

    Alexa Fluor® 647 Anti-Aurora B antibody [EP1009Y]

  • HRP

    HRP Anti-Aurora B antibody [EP1009Y]

  • 565 Alexa Fluor® 555

    Alexa Fluor® 555 Anti-Aurora B antibody [EP1009Y]

Key facts

Host species

Rabbit

Clonality

Monoclonal

Clone number

EP1009Y

Isotype

IgG

Carrier free

Yes

Reacts with

Human

Applications

WB, ICC/IF, Flow Cyt (Intra), IP, IHC-P

applications

Immunogen

The exact immunogen used to generate this antibody is proprietary information.

Reactivity data

{ "title": "Reactivity Data", "filters": { "stats": ["", "Species", "Dilution Info", "Notes"], "tabs": { "all-applications": {"fullname" : "All Applications", "shortname": "All Applications"}, "ICCIF" : {"fullname" : "Immunocytochemistry/ Immunofluorescence", "shortname":"ICC/IF"}, "IP" : {"fullname" : "Immunoprecipitation", "shortname":"IP"}, "WB" : {"fullname" : "Western blot", "shortname":"WB"}, "IHCP" : {"fullname" : "Immunohistochemistry (Formalin/PFA-fixed paraffin-embedded sections)", "shortname":"IHC-P"}, "FlowCytIntra" : {"fullname" : "Flow Cytometry (Intracellular)", "shortname":"Flow Cyt (Intra)"} }, "product-promise": { "all": "all", "testedAndGuaranteed": "tested", "guaranteed": "expected", "predicted": "predicted", "notRecommended": "not-recommended" } }, "values": { "Human": { "ICCIF-species-checked": "testedAndGuaranteed", "ICCIF-species-dilution-info": "", "ICCIF-species-notes": "<p></p>", "IP-species-checked": "testedAndGuaranteed", "IP-species-dilution-info": "", "IP-species-notes": "<p></p>", "WB-species-checked": "guaranteed", "WB-species-dilution-info": "", "WB-species-notes": "<p></p>", "IHCP-species-checked": "testedAndGuaranteed", "IHCP-species-dilution-info": "", "IHCP-species-notes": "<p></p> Perform heat-mediated antigen retrieval with citrate buffer pH 6 before commencing with IHC staining protocol.", "FlowCytIntra-species-checked": "testedAndGuaranteed", "FlowCytIntra-species-dilution-info": "", "FlowCytIntra-species-notes": "<p></p>" } } }

Product details

ab239837 is the carrier-free version of ab45145.

Species reactivity
Mouse, Rat: We have preliminary internal testing data to indicate this antibody may not react with these species.
Please contact us for more information.

Patented technology
Our RabMAb® technology is a patented hybridoma-based technology for making rabbit monoclonal antibodies. For details on our patents, please refer to RabMAb® patents.

What are the advantages of a recombinant monoclonal antibody?
This product is a recombinant monoclonal antibody, which offers several advantages including:

  • - High batch-to-batch consistency and reproducibility
  • - Improved sensitivity and specificity
  • - Long-term security of supply
  • - Animal-free batch production

For more information, read more on recombinant antibodies.

Conjugation ready
Our carrier-free antibodies are typically supplied in a PBS-only formulation, purified and free of BSA, sodium azide and glycerol. This conjugation-ready format is designed for use with fluorochromes, metal isotopes, oligonucleotides, and enzymes, which makes them ideal for antibody labelling, functional and cell-based assays, flow-based assays (e.g. mass cytometry) and Multiplex Imaging applications.

Use our conjugation kits for antibody conjugates that are ready-to-use in as little as 20 minutes with 1 minute hands-on-time and 100% antibody recovery: available for fluorescent dyes, HRP, biotin and gold.

Compatibility
This product is compatible with the Maxpar® Antibody Labeling Kit from Fluidigm, without the need for antibody preparation. Maxpar® is a trademark of Fluidigm Canada Inc.

Properties and storage information

Form
Liquid
Purification technique
Affinity purification Protein A
Storage buffer
pH: 7.2 - 7.4 Constituents: 100% PBS
Shipped at conditions
Blue Ice
Appropriate short-term storage conditions
+4°C
Appropriate long-term storage conditions
+4°C
Storage information
Do Not Freeze

Supplementary information

This supplementary information is collated from multiple sources and compiled automatically.

Aurora B also known as Aurora kinase B or AURKB is a serine/threonine protein kinase with a molecular mass of approximately 39 kDa. This protein expresses across various cell types and tissues playing a critical role during cell division. It localizes to the centromeres during early mitosis and later associates with the central spindle and midbody. Aurora B is a component of the chromosomal passenger complex (CPC) which includes other proteins such as INCENP survivin and borealin essential for its function.
Biological function summary

Aurora B kinase functions to ensure proper chromosome alignment segregation and cytokinesis during mitosis and meiosis. It phosphorylates various substrates to facilitate processes like correction of kinetochore-microtubule attachments and regulation of the mitotic checkpoint. As a part of the CPC Aurora B acts in coordination with other proteins to control these cellular events ensuring that cells divide accurately and safely.

Pathways

Aurora B integrates into the cell cycle and mitotic pathways operating closely with the spindle assembly checkpoint. It interacts with proteins like CENP-A and CENP-E ensuring error-free chromosome segregation. Aurora B's activity within these pathways is critical for maintaining genomic stability and preventing aneuploidy a condition linked to improper chromosome number.

Aurora B's malfunction associates with cancer and chromosomal instability. Overexpression or dysregulation of Aurora B kinase frequently occurs in several types of cancer contributing to tumorigenesis by promoting abnormal cell division. Proteins such as p53 a well-known tumor suppressor often become functionally compromised when Aurora B activity is altered further advancing disease progression. Aurora B also holds implications in other disorders marked by faulty cell cycle regulation emphasizing its potential as a therapeutic target.

Product protocols

For this product, it's our understanding that no specific protocols are required. You can visit:

Target data

Serine/threonine-protein kinase component of the chromosomal passenger complex (CPC), a complex that acts as a key regulator of mitosis (PubMed : 11516652, PubMed : 12925766, PubMed : 14610074, PubMed : 14722118, PubMed : 29449677). The CPC complex has essential functions at the centromere in ensuring correct chromosome alignment and segregation and is required for chromatin-induced microtubule stabilization and spindle assembly (PubMed : 11516652, PubMed : 12925766, PubMed : 14610074, PubMed : 14722118, PubMed : 26829474). Involved in the bipolar attachment of spindle microtubules to kinetochores and is a key regulator for the onset of cytokinesis during mitosis (PubMed : 15249581). Required for central/midzone spindle assembly and cleavage furrow formation (PubMed : 12458200, PubMed : 12686604). Key component of the cytokinesis checkpoint, a process required to delay abscission to prevent both premature resolution of intercellular chromosome bridges and accumulation of DNA damage : phosphorylates CHMP4C, leading to retain abscission-competent VPS4 (VPS4A and/or VPS4B) at the midbody ring until abscission checkpoint signaling is terminated at late cytokinesis (PubMed : 22422861, PubMed : 24814515). AURKB phosphorylates the CPC complex subunits BIRC5/survivin, CDCA8/borealin and INCENP (PubMed : 11516652, PubMed : 12925766, PubMed : 14610074). Phosphorylation of INCENP leads to increased AURKB activity (PubMed : 11516652, PubMed : 12925766, PubMed : 14610074). Other known AURKB substrates involved in centromeric functions and mitosis are CENPA, DES/desmin, GPAF, KIF2C, NSUN2, RACGAP1, SEPTIN1, VIM/vimentin, HASPIN, and histone H3 (PubMed : 11756469, PubMed : 11784863, PubMed : 11856369, PubMed : 12689593, PubMed : 14602875, PubMed : 16103226, PubMed : 21658950). A positive feedback loop involving HASPIN and AURKB contributes to localization of CPC to centromeres (PubMed : 21658950). Phosphorylation of VIM controls vimentin filament segregation in cytokinetic process, whereas histone H3 is phosphorylated at 'Ser-10' and 'Ser-28' during mitosis (H3S10ph and H3S28ph, respectively) (PubMed : 11784863, PubMed : 11856369). AURKB is also required for kinetochore localization of BUB1 and SGO1 (PubMed : 15020684, PubMed : 17617734). Phosphorylation of p53/TP53 negatively regulates its transcriptional activity (PubMed : 20959462). Key regulator of active promoters in resting B- and T-lymphocytes : acts by mediating phosphorylation of H3S28ph at active promoters in resting B-cells, inhibiting RNF2/RING1B-mediated ubiquitination of histone H2A and enhancing binding and activity of the USP16 deubiquitinase at transcribed genes (By similarity). Acts as an inhibitor of CGAS during mitosis : catalyzes phosphorylation of the N-terminus of CGAS during the G2-M transition, blocking CGAS liquid phase separation and activation, and thereby preventing CGAS-induced autoimmunity (PubMed : 33542149). Phosphorylates KRT5 during anaphase and telophase (By similarity). Phosphorylates ATXN10 which promotes phosphorylation of ATXN10 by PLK1 and may play a role in the regulation of cytokinesis and stimulating the proteasomal degradation of ATXN10 (PubMed : 25666058).
See full target information AURKB

Publications (1)

Recent publications for all applications. Explore the full list and refine your search

Nature communications 13:7307 PubMed36435852

2022

Kinetochore- and chromosome-driven transition of microtubules into bundles promotes spindle assembly.

Applications

Unspecified application

Species

Unspecified reactive species

Jurica Matković,Subhadip Ghosh,Mateja Ćosić,Susana Eibes,Marin Barišić,Nenad Pavin,Iva M Tolić
View all publications

Product promise

We are committed to supporting your work with high-quality reagents, and we're here for you every step of the way. In the unlikely event that one of our products does not perform as expected, you're protected by our Product Promise.
For full details, please see our Terms & Conditions

Please note: All products are 'FOR RESEARCH USE ONLY. NOT FOR USE IN DIAGNOSTIC OR THERAPEUTIC PROCEDURES'.

For licensing inquiries, please contact partnerships@abcam.com