JavaScript is disabled in your browser. Please enable JavaScript to view this website.
AB287960

Anti-Aurora B antibody [EPR25417-73]

  • BOND RX™ Validated
  • Advanced Validation
  • 20ul selling size
  • RabMAb
  • Recombinant
  • What is this?

Be the first to review this product! Submit a review

|

(5 Publications)

Rabbit Recombinant Monoclonal Aurora B antibody. Suitable for mIHC, ICC/IF, IP, WB, IHC-P, Flow Cyt (Intra) and reacts with Mouse, Rat, Recombinant full length protein - Mouse samples. Cited in 5 publications.

View Alternative Names

Aik2, Aim1, Airk2, Ark2, Stk1, Stk12, Stk5, Aurkb, Aurora kinase B, Aurora 1, Aurora- and IPL1-like midbody-associated protein 1, Aurora/IPL1-related kinase 2, STK-1, Serine/threonine-protein kinase 12, Serine/threonine-protein kinase 5, Serine/threonine-protein kinase aurora-B, ARK-2, Aurora-related kinase 2

12 Images
Multiplex immunohistochemistry - Anti-Aurora B antibody [EPR25417-73] (AB287960)
  • mIHC

Lab

Multiplex immunohistochemistry - Anti-Aurora B antibody [EPR25417-73] (AB287960)

Multiplex immunohistochemistry analysis of formalin/PFA-fixed paraffin-embedded mouse stomach tissue staining CaMKII beta with ab314897 at 1/5000 dilution, ab315150 anti-Serotonin used at 1/5000 dilution and ab287960 anti-Aurora B used at a 1/300 dilution. Opal Polymer HRP Ms + Rb was used as a secondary antibody, and DAPI was used for a nuclear counter stain. Heat mediated antigen retrieval with Tris-EDTA buffer (pH 9.0, epitope retrieval solution2) for 20 mins.

Panel A : merged staining of anti-CaMKII beta (magenta; Opal690), anti-Serotonin (green; Opal520) and anti-Aurora B (gray; Opal570) on mouse stomach.
Panel B : anti-CaMKII beta staining endocrine cells in mouse stomach.
Panel C : anti-Serotonin staining enterochromaffin cells in mouse stomach.
Panel D : anti-Aurora B staining proliferating cells in mouse stomach.
Nuclear DNA was labeled with DAPI (shown in blue).

The section was incubated in three rounds of staining : in the order of ab314897, ab315150 and ab287960 for 30 mins at room temperature. Each round was followed by a separate fluorescent tyramide signal amplification system.

The immunostaining was performed on a Leica Biosystems BOND® RX instrument with an Opal 4-color kit. Image acquisition was performed with Leica SP8 confocal microscope.

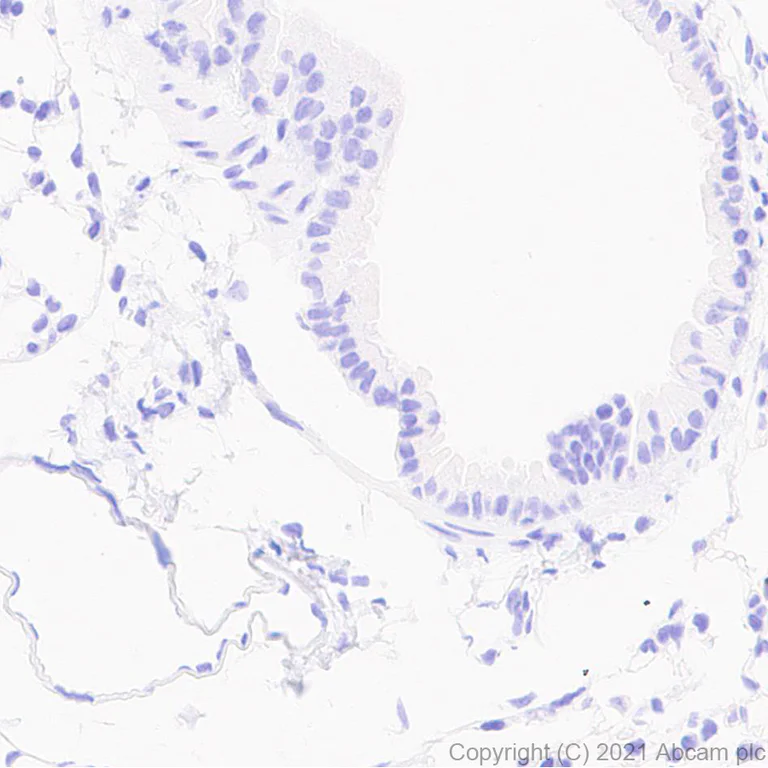
Immunohistochemistry (Formalin/PFA-fixed paraffin-embedded sections) - Anti-Aurora B antibody [EPR25417-73] (AB287960)
  • IHC-P

Supplier Data

Immunohistochemistry (Formalin/PFA-fixed paraffin-embedded sections) - Anti-Aurora B antibody [EPR25417-73] (AB287960)

Immunohistochemical analysis of paraffin-embedded Mouse lung tissue labelling Aurora B with ab287960 at 1/300 (1.803 ug/ml) dilution followed by a ready to use LeicaDS9800 (Bond™ Polymer Refine Detection) . Negative control : no staining on mouse lung. The section was incubated with ab287960 for 30 mins at room temperature. The immunostaining was performed on a Leica Biosystems BOND® RX instrument. Counterstained with Hematoxylin.

Secondary antibody only control : Secondary antibody is a ready to use LeicaDS9800 (Bond™ Polymer Refine Detection) .

Heat mediated antigen retrieval with Tris-EDTA buffer (pH 9.0, epitope retrieval solution2) for 20 mins

Immunocytochemistry/ Immunofluorescence - Anti-Aurora B antibody [EPR25417-73] (AB287960)
  • ICC/IF

Supplier Data

Immunocytochemistry/ Immunofluorescence - Anti-Aurora B antibody [EPR25417-73] (AB287960)

Immunofluorescent analysis of 4% Paraformaldehyde-fixed, 0.1% TritonX-100 permeabilized L-929 cells labelling Aurora B with ab287960 at 1/50 (10.82 ug/ml) dilution, followed by ab150081 Goat Anti-Rabbit IgG H&L (Alexa Fluor® 488) preadsorbed antibody at 1/1000 2 ug/ml dilution (Green). Confocal image showing positive staining in L-929 cells in M phase is observed. ab195889 Anti-alpha Tubulin mouse monoclonal antibody - Microtubule Marker (Alexa Fluor® 594) was used to counterstain tubulin at 1/200 2.5ug/ml dilution (Red). The Nuclear counterstain was DAPI (Blue). Secondary antibody only control : Secondary antibody is ab150081 Goat Anti-Rabbit IgG H&L (Alexa Fluor® 488) preadsorbed at 1/1000 2 ug/ml dilution.

Flow Cytometry (Intracellular) - Anti-Aurora B antibody [EPR25417-73] (AB287960)
  • Flow Cyt (Intra)

Supplier Data

Flow Cytometry (Intracellular) - Anti-Aurora B antibody [EPR25417-73] (AB287960)

Intracellular flow cytometric analysis of 4% paraformaldehyde fixed 90% methanol permeabilized NIH/3T3 (Mouse embryonic fibroblast) cells labelling Aurora B with ab287960 at 1/500 dilution (0.1ug)/ Right compared with a Rabbit monoclonal IgG (ab172730) / Left isotype control. A Goat Anti-Rabbit IgG (Alexa Fluor® 488, ab150081) at 1/2000 dilution was used as the secondary antibody. Cells were co-stained with DRAQ5 to differentiate cell cycle phase.

Immunohistochemistry (Formalin/PFA-fixed paraffin-embedded sections) - Anti-Aurora B antibody [EPR25417-73] (AB287960)
  • IHC-P

Supplier Data

Immunohistochemistry (Formalin/PFA-fixed paraffin-embedded sections) - Anti-Aurora B antibody [EPR25417-73] (AB287960)

Immunohistochemical analysis of paraffin-embedded Mouse colon tissue labelling Aurora B with ab287960 at 1/300 (1.803 ug/ml) dilution followed by a ready to use LeicaDS9800 (Bond™ Polymer Refine Detection) . Nuclear staining on mouse colon. The section was incubated with ab287960 for 30 mins at room temperature.The immunostaining was performed on a Leica Biosystems BOND® RX instrument Counterstained with Hematoxylin.

Secondary antibody only control : Secondary antibody is a ready to use LeicaDS9800 (Bond™ Polymer Refine Detection) .

Heat mediated antigen retrieval with Tris-EDTA buffer (pH 9.0, epitope retrieval solution2) for 20 mins

Immunocytochemistry/ Immunofluorescence - Anti-Aurora B antibody [EPR25417-73] (AB287960)
  • ICC/IF

Supplier Data

Immunocytochemistry/ Immunofluorescence - Anti-Aurora B antibody [EPR25417-73] (AB287960)

Immunofluorescent analysis of 4% Paraformaldehyde-fixed, 0.1% TritonX-100 permeabilized NIH/3T3 cells labelling Aurora B with ab287960 at 1/50 (10.82 ug/ml) dilution, followed by ab150081 Goat Anti-Rabbit IgG H&L (Alexa Fluor® 488) preadsorbed antibody at 1/1000 (2 ug/ml) dilution (Green). Confocal image showing positive staining in NIH/3T3 cells in M phase is observed. ab195889 Anti-alpha Tubulin mouse monoclonal antibody - Microtubule Marker (Alexa Fluor® 594) was used to counterstain tubulin at 1/200 (2.5ug/ml) dilution (Red). The Nuclear counterstain was DAPI (Blue).

Secondary antibody only control : Secondary antibody is ab150081 Goat Anti-Rabbit IgG H&L (Alexa Fluor® 488) preadsorbed at 1/1000 (2 ug/ml) dilution.

Immunohistochemistry (Formalin/PFA-fixed paraffin-embedded sections) - Anti-Aurora B antibody [EPR25417-73] (AB287960)
  • IHC-P

Supplier Data

Immunohistochemistry (Formalin/PFA-fixed paraffin-embedded sections) - Anti-Aurora B antibody [EPR25417-73] (AB287960)

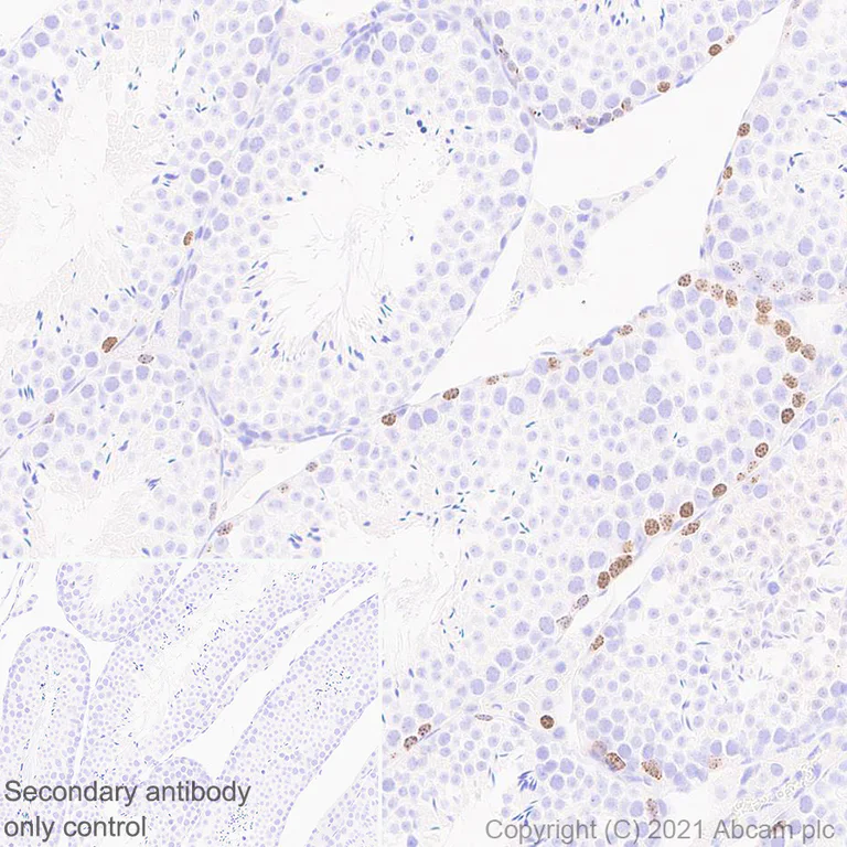
Immunohistochemical analysis of paraffin-embedded Mouse testis tissue labelling Aurora B with ab287960 at 1/300 (1.803 ug/ml) dilution followed by a ready to use LeicaDS9800 (Bond™Polymer Refine Detection) . Nuclear staining on mouse testis. The section was incubated with ab287960 for 30 mins at room temperature.The immunostaining was performed on a Leica Biosystems BOND® RX instrument Counterstained with Hematoxylin.

Secondary antibody only control : Secondary antibody is a ready to use LeicaDS9800 (Bond™Polymer Refine Detection) .

Heat mediated antigen retrieval with Tris-EDTA buffer (pH 9.0, epitope retrieval solution2) for 20 mins

Immunohistochemistry (Formalin/PFA-fixed paraffin-embedded sections) - Anti-Aurora B antibody [EPR25417-73] (AB287960)
  • IHC-P

Supplier Data

Immunohistochemistry (Formalin/PFA-fixed paraffin-embedded sections) - Anti-Aurora B antibody [EPR25417-73] (AB287960)

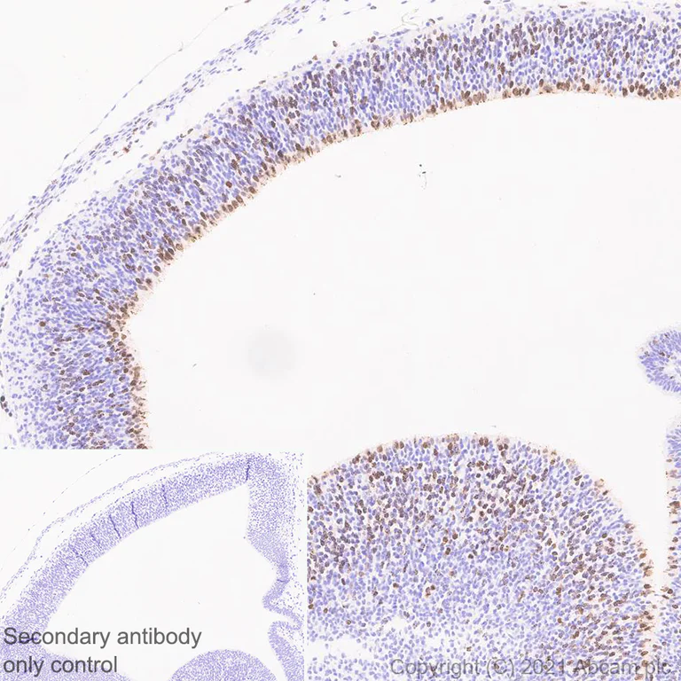
Immunohistochemical analysis of paraffin-embedded Mouse embryo 12.5 dpc tissue labelling Aurora B with ab287960 at 1/300 (1.803 ug/ml) dilution followed by a ready to use LeicaDS9800 (Bond™ Polymer Refine Detection) . Nuclear staining on mouse embryo 12.5 dpc . The section was incubated with ab287960 for 30 mins at room temperature.The immunostaining was performed on a Leica Biosystems BOND® RX instrument Counterstained with Hematoxylin.

Secondary antibody only control : Secondary antibody is a ready to use LeicaDS9800 (Bond™ Polymer Refine Detection) .

Heat mediated antigen retrieval with Tris-EDTA buffer (pH 9.0, epitope retrieval solution2) for 20 mins

Immunoprecipitation - Anti-Aurora B antibody [EPR25417-73] (AB287960)
  • IP

Supplier Data

Immunoprecipitation - Anti-Aurora B antibody [EPR25417-73] (AB287960)

Aurora B was immunoprecipitated from 0.35 mg NIH/3T3 (mouse embryonic fibroblast) whole cell lysate 10 ug with anti aurora b antibody epr2541773 immunoprecipitation nih3t3.jpg at 1/30 dilution (2ug in 0.35mg lysates). Western blot was performed on the immunoprecipitate using anti aurora b antibody epr2541773 immunoprecipitation NIH/3T3 at 1/1000 dilution. VeriBlot for IP secondary antibody(HRP)(ab131366) was used at 1/5000 dilution.

Lane 1 : NIH/3T3 (mouse embryonic fibroblast) whole cell lysate 10 ug

Lane 2 : ab287960 IP in NIH/3T3 whole cell lysate

Lane 3 : Rabbit monoclonal IgG (ab172730) instead of ab287960 in NIH/3T3 whole cell lysate

Blocking and dilution buffer and concentration : 5% NFDM/TBST.

Exposure time : 3 minutes

This blot was developed using a higher sensitivity ECL substrate.

All lanes:

Immunoprecipitation - Anti-Aurora B antibody [EPR25417-73] (ab287960)

Predicted band size: 39 kDa

false

Western blot - Anti-Aurora B antibody [EPR25417-73] (AB287960)
  • WB

Lab

Western blot - Anti-Aurora B antibody [EPR25417-73] (AB287960)

Blocking and diluting buffer and concentration : 5% NFDM/TBST

This blot was developed using a higher sensitivity ECL substrate.

Exposure time : 3 minutes

All lanes:

Western blot - Anti-Aurora B antibody [EPR25417-73] (ab287960) at 1/1000 dilution

All lanes:

C6 (rat glial tumor glial cell) whole cell lysate at 20 µg

Secondary

All lanes:

Goat Anti-Rabbit IgG, (H+L), Peroxidase conjugated (<a href='/en-us/products/secondary-antibodies/goat-rabbit-igg-h-l-hrp-ab97051'>ab97051</a>) at 1/20000 dilution

Predicted band size: 39 kDa

false

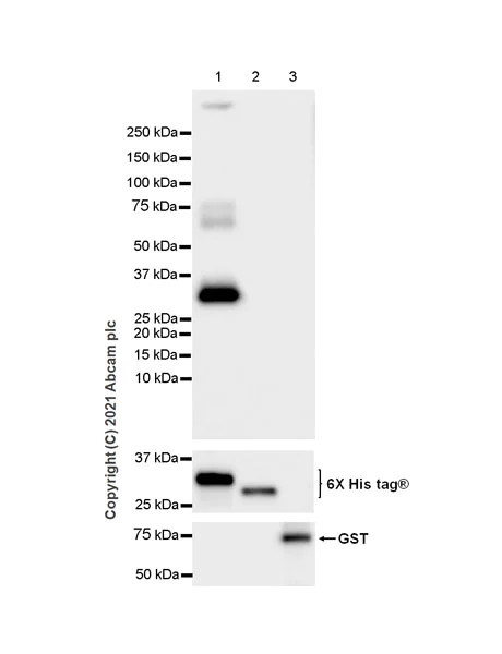
Western blot - Anti-Aurora B antibody [EPR25417-73] (AB287960)
  • WB

Lab

Western blot - Anti-Aurora B antibody [EPR25417-73] (AB287960)

Blocking and diluting buffer and concentration : 5% NFDM/TBST

Exposure time : 5.5 seconds

All lanes:

Western blot - Anti-Aurora B antibody [EPR25417-73] (ab287960) at 1/1000 dilution

Lane 1:

His-tagged mouse Aurora B recombinant protein (aa13-261) 10ng

Lane 2:

His-tagged mouse Aurora C recombinant protein (aa5-237) 10ng

Lane 3:

GST-tagged mouse Aurora A recombinant protein (fl-length) 10ng

Secondary

All lanes:

Goat Anti-Rabbit IgG, (H+L), Peroxidase conjugated (<a href='/en-us/products/secondary-antibodies/goat-rabbit-igg-h-l-hrp-ab97051'>ab97051</a>) at 1/100000 dilution

Predicted band size: 39 kDa

false

Western blot - Anti-Aurora B antibody [EPR25417-73] (AB287960)
  • WB

Lab

Western blot - Anti-Aurora B antibody [EPR25417-73] (AB287960)

Blocking and diluting buffer and concentration : 5% NFDM/TBST

Exposure time : 3 minutes

All lanes:

Western blot - Anti-Aurora B antibody [EPR25417-73] (ab287960) at 1/1000 dilution

Lane 1:

L-929 ( mouse connective tissue fibroblast) whole cell lysate at 20 µg

Lane 2:

L-929 treated with 100ng/ml nocodazole for 20 hours whole cell lysate at 20 µg

Secondary

All lanes:

Goat Anti-Rabbit IgG, (H+L), Peroxidase conjugated (<a href='/en-us/products/secondary-antibodies/goat-rabbit-igg-h-l-hrp-ab97051'>ab97051</a>) at 1/20000 dilution

Predicted band size: 39 kDa

false

  • Carrier free

    Anti-Aurora B antibody [EPR25417-73] - BSA and Azide free

Key facts

Host species

Rabbit

Clonality

Monoclonal

Clone number

EPR25417-73

Isotype

IgG

Carrier free

No

Reacts with

Rat, Mouse

Applications

IHC-P, ICC/IF, Flow Cyt (Intra), IP, WB, mIHC

applications

Immunogen

The exact immunogen used to generate this antibody is proprietary information.

Specificity

Rat species is recommended based on WB result only.

Reactivity data

{ "title": "Reactivity Data", "filters": { "stats": ["", "Species", "Dilution Info", "Notes"], "tabs": { "all-applications": {"fullname" : "All Applications", "shortname": "All Applications"}, "mIHC" : {"fullname" : "Multiplex immunohistochemistry", "shortname":"mIHC"}, "ICCIF" : {"fullname" : "Immunocytochemistry/ Immunofluorescence", "shortname":"ICC/IF"}, "IP" : {"fullname" : "Immunoprecipitation", "shortname":"IP"}, "WB" : {"fullname" : "Western blot", "shortname":"WB"}, "IHCP" : {"fullname" : "Immunohistochemistry (Formalin/PFA-fixed paraffin-embedded sections)", "shortname":"IHC-P"}, "FlowCytIntra" : {"fullname" : "Flow Cytometry (Intracellular)", "shortname":"Flow Cyt (Intra)"} }, "product-promise": { "all": "all", "testedAndGuaranteed": "tested", "guaranteed": "expected", "predicted": "predicted", "notRecommended": "not-recommended" } }, "values": { "Human": { "mIHC-species-checked": "notRecommended", "mIHC-species-dilution-info": "", "mIHC-species-notes": "", "ICCIF-species-checked": "notRecommended", "ICCIF-species-dilution-info": "", "ICCIF-species-notes": "", "IP-species-checked": "notRecommended", "IP-species-dilution-info": "", "IP-species-notes": "", "WB-species-checked": "notRecommended", "WB-species-dilution-info": "1/500", "WB-species-notes": "<p></p>", "IHCP-species-checked": "notRecommended", "IHCP-species-dilution-info": "1/300", "IHCP-species-notes": "<p></p> Perform heat-mediated antigen retrieval with Tris/EDTA buffer pH 9.0 before commencing with IHC staining protocol.", "FlowCytIntra-species-checked": "notRecommended", "FlowCytIntra-species-dilution-info": "", "FlowCytIntra-species-notes": "" }, "Mouse": { "mIHC-species-checked": "testedAndGuaranteed", "mIHC-species-dilution-info": "1/300", "mIHC-species-notes": "<p></p> Perform heat-mediated antigen retrieval with Tris/EDTA buffer pH 9.0 before commencing with IHC staining protocol.", "ICCIF-species-checked": "testedAndGuaranteed", "ICCIF-species-dilution-info": "1/50", "ICCIF-species-notes": "<p></p>", "IP-species-checked": "testedAndGuaranteed", "IP-species-dilution-info": "1/30", "IP-species-notes": "<p></p>", "WB-species-checked": "testedAndGuaranteed", "WB-species-dilution-info": "1/1000", "WB-species-notes": "<p></p>", "IHCP-species-checked": "testedAndGuaranteed", "IHCP-species-dilution-info": "", "IHCP-species-notes": "<p></p> Perform heat-mediated antigen retrieval with Tris/EDTA buffer pH 9.0 before commencing with IHC staining protocol.", "FlowCytIntra-species-checked": "testedAndGuaranteed", "FlowCytIntra-species-dilution-info": "1/500", "FlowCytIntra-species-notes": "<p></p>" }, "Rat": { "mIHC-species-checked": "guaranteed", "mIHC-species-dilution-info": "", "mIHC-species-notes": "", "ICCIF-species-checked": "guaranteed", "ICCIF-species-dilution-info": "", "ICCIF-species-notes": "", "IP-species-checked": "guaranteed", "IP-species-dilution-info": "", "IP-species-notes": "", "WB-species-checked": "testedAndGuaranteed", "WB-species-dilution-info": "1/1000", "WB-species-notes": "<p></p>", "IHCP-species-checked": "notRecommended", "IHCP-species-dilution-info": "1/300", "IHCP-species-notes": "<p></p> Perform heat-mediated antigen retrieval with Tris/EDTA buffer pH 9.0 before commencing with IHC staining protocol.", "FlowCytIntra-species-checked": "guaranteed", "FlowCytIntra-species-dilution-info": "", "FlowCytIntra-species-notes": "" }, "Recombinant full length protein - Mouse": { "mIHC-species-checked": "notRecommended", "mIHC-species-dilution-info": "", "mIHC-species-notes": "", "ICCIF-species-checked": "notRecommended", "ICCIF-species-dilution-info": "", "ICCIF-species-notes": "", "IP-species-checked": "notRecommended", "IP-species-dilution-info": "", "IP-species-notes": "", "WB-species-checked": "testedAndGuaranteed", "WB-species-dilution-info": "1/1000", "WB-species-notes": "<p></p>", "IHCP-species-checked": "notRecommended", "IHCP-species-dilution-info": "", "IHCP-species-notes": "", "FlowCytIntra-species-checked": "notRecommended", "FlowCytIntra-species-dilution-info": "", "FlowCytIntra-species-notes": "" } } }

Product details

Patented technology
Our RabMAb® technology is a patented hybridoma-based technology for making rabbit monoclonal antibodies. For details on our patents, please refer to RabMAb® patents.

What are the advantages of a recombinant monoclonal antibody?
This product is a recombinant monoclonal antibody, which offers several advantages including:

  • - High batch-to-batch consistency and reproducibility
  • - Improved sensitivity and specificity
  • - Long-term security of supply
  • - Animal-free batch production

For more information, read more on recombinant antibodies.

Properties and storage information

Form
Liquid
Purification technique
Affinity purification Protein A
Storage buffer
pH: 7.2 - 7.4 Preservative: 0.01% Sodium azide Constituents: 59% PBS, 40% Glycerol (glycerin, glycerine), 0.05% BSA
Shipped at conditions
Blue Ice
Appropriate short-term storage duration
1-2 weeks
Appropriate short-term storage conditions
+4°C
Appropriate long-term storage conditions
-20°C
Aliquoting information
Upon delivery aliquot
Storage information
Avoid freeze / thaw cycle

Supplementary information

This supplementary information is collated from multiple sources and compiled automatically.

Aurora B also known as Aurora kinase B or AURKB is a serine/threonine protein kinase with a molecular mass of approximately 39 kDa. This protein expresses across various cell types and tissues playing a critical role during cell division. It localizes to the centromeres during early mitosis and later associates with the central spindle and midbody. Aurora B is a component of the chromosomal passenger complex (CPC) which includes other proteins such as INCENP survivin and borealin essential for its function.
Biological function summary

Aurora B kinase functions to ensure proper chromosome alignment segregation and cytokinesis during mitosis and meiosis. It phosphorylates various substrates to facilitate processes like correction of kinetochore-microtubule attachments and regulation of the mitotic checkpoint. As a part of the CPC Aurora B acts in coordination with other proteins to control these cellular events ensuring that cells divide accurately and safely.

Pathways

Aurora B integrates into the cell cycle and mitotic pathways operating closely with the spindle assembly checkpoint. It interacts with proteins like CENP-A and CENP-E ensuring error-free chromosome segregation. Aurora B's activity within these pathways is critical for maintaining genomic stability and preventing aneuploidy a condition linked to improper chromosome number.

Aurora B's malfunction associates with cancer and chromosomal instability. Overexpression or dysregulation of Aurora B kinase frequently occurs in several types of cancer contributing to tumorigenesis by promoting abnormal cell division. Proteins such as p53 a well-known tumor suppressor often become functionally compromised when Aurora B activity is altered further advancing disease progression. Aurora B also holds implications in other disorders marked by faulty cell cycle regulation emphasizing its potential as a therapeutic target.

Product protocols

For this product, it's our understanding that no specific protocols are required. You can visit:

Target data

Serine/threonine-protein kinase component of the chromosomal passenger complex (CPC), a complex that acts as a key regulator of mitosis (By similarity). The CPC complex has essential functions at the centromere in ensuring correct chromosome alignment and segregation and is required for chromatin-induced microtubule stabilization and spindle assembly (By similarity). Involved in the bipolar attachment of spindle microtubules to kinetochores and is a key regulator for the onset of cytokinesis during mitosis (By similarity). Required for central/midzone spindle assembly and cleavage furrow formation (By similarity). Key component of the cytokinesis checkpoint, a process required to delay abscission to prevent both premature resolution of intercellular chromosome bridges and accumulation of DNA damage : phosphorylates CHMP4C, leading to retain abscission-competent VPS4 (VPS4A and/or VPS4B) at the midbody ring until abscission checkpoint signaling is terminated at late cytokinesis (By similarity). AURKB phosphorylates the CPC complex subunits BIRC5/survivin, CDCA8/borealin and INCENP (By similarity). Phosphorylation of INCENP leads to increased AURKB activity (By similarity). Other known AURKB substrates involved in centromeric functions and mitosis are CENPA, DES/desmin, GPAF, KIF2C, NSUN2, RACGAP1, SEPTIN1, VIM/vimentin, HASPIN, and histone H3 (By similarity). A positive feedback loop involving HASPIN and AURKB contributes to localization of CPC to centromeres (By similarity). Phosphorylation of VIM controls vimentin filament segregation in cytokinetic process, whereas histone H3 is phosphorylated at 'Ser-10' and 'Ser-28' during mitosis (H3S10ph and H3S28ph, respectively) (PubMed : 11784863). AURKB is also required for kinetochore localization of BUB1 and SGO1 (By similarity). Phosphorylation of p53/TP53 negatively regulates its transcriptional activity (By similarity). Key regulator of active promoters in resting B- and T-lymphocytes : acts by mediating phosphorylation of H3S28ph at active promoters in resting B-cells, inhibiting RNF2/RING1B-mediated ubiquitination of histone H2A and enhancing binding and activity of the USP16 deubiquitinase at transcribed genes (PubMed : 24034696). Acts as an inhibitor of CGAS during mitosis : catalyzes phosphorylation of the N-terminus of CGAS during the G2-M transition, blocking CGAS liquid phase separation and activation, and thereby preventing CGAS-induced autoimmunity (By similarity). Phosphorylates KRT5 during anaphase and telophase (PubMed : 29518391). Phosphorylates ATXN10 which promotes phosphorylation of ATXN10 by PLK1 and may play a role in the regulation of cytokinesis and stimulating the proteasomal degradation of ATXN10 (By similarity).
See full target information Aurkb

Publications (5)

Recent publications for all applications. Explore the full list and refine your search

Journal of cardiovascular development and disease 12: PubMed40710803

2025

Nuclear Lactate Dehydrogenase A Resists Cardiomyocyte Cell Cycle Arrest Induced by Oxidative Stress.

Applications

Unspecified application

Species

Unspecified reactive species

Mengfei Cao,Jie Luo,Kewei Fu,Yao Xu,Yinyu Wang,Junying Duan,Rui Chen,Wei Yuan

Frontiers in endocrinology 16:1564441 PubMed40433412

2025

Maternal diabetes disrupts early corticogenesis through altered mitotic gene regulation: a transcriptomic analysis.

Applications

Unspecified application

Species

Unspecified reactive species

Rocío Valle-Bautista,Diana S de la Merced-García,Dafne A Díaz-Piña,Néstor Fabián Díaz,Daniela Ávila-González,Anayansi Molina-Hernández

Clinical and translational medicine 15:e70164 PubMed39763034

2025

EHMT2-mediated R-loop formation promotes the malignant progression of prostate cancer via activating Aurora B.

Applications

Unspecified application

Species

Unspecified reactive species

Yuyang Zhang,Mingqin Su,Yiming Chen,Li Cui,Wei Xia,Renfang Xu,Dong Xue,Xiansheng Zhang,Xingliang Feng

The EMBO journal 42:e114558 PubMed37905571

2023

MST2 methylation by PRMT5 inhibits Hippo signaling and promotes pancreatic cancer progression.

Applications

Unspecified application

Species

Unspecified reactive species

Yan Sun,Xin Jin,Junpeng Meng,Feng Guo,Taoyu Chen,Xiaoyan Zhao,Heshui Wu,Dianyun Ren

Developmental cell 58:2666-2683.e9 PubMed37875116

2023

The anaphase-promoting complex controls a ubiquitination-phosphoprotein axis in chromatin during neurodevelopment.

Applications

Unspecified application

Species

Unspecified reactive species

Leya Ledvin,Brandon M Gassaway,Jonathan Tawil,Olivia Urso,Donald Pizzo,Kaeli A Welsh,Derek L Bolhuis,Daniel Fisher,Azad Bonni,Steven P Gygi,Nicholas G Brown,Cole J Ferguson
View all publications

Product promise

We are committed to supporting your work with high-quality reagents, and we're here for you every step of the way. In the unlikely event that one of our products does not perform as expected, you're protected by our Product Promise.
For full details, please see our Terms & Conditions

Please note: All products are 'FOR RESEARCH USE ONLY. NOT FOR USE IN DIAGNOSTIC OR THERAPEUTIC PROCEDURES'.

For licensing inquiries, please contact partnerships@abcam.com