JavaScript is disabled in your browser. Please enable JavaScript to view this website.
AB3609

Anti-Aurora B antibody [mAbcam 3609]

5

(5 Reviews)

|

(32 Publications)

Mouse Monoclonal Aurora B antibody. Suitable for WB, IHC-P and reacts with Human samples. Cited in 32 publications.

View Alternative Names

AIK2, AIM1, AIRK2, ARK2, STK1, STK12, STK5, AURKB, Aurora kinase B, Aurora 1, Aurora- and IPL1-like midbody-associated protein 1, Aurora/IPL1-related kinase 2, STK-1, Serine/threonine-protein kinase 12, Serine/threonine-protein kinase 5, Serine/threonine-protein kinase aurora-B, AIM-1, ARK-2, Aurora-related kinase 2

2 Images
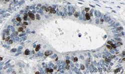
Immunohistochemistry (Formalin/PFA-fixed paraffin-embedded sections) - Anti-Aurora B antibody [mAbcam 3609] (AB3609)
  • IHC-P

Unknown

Immunohistochemistry (Formalin/PFA-fixed paraffin-embedded sections) - Anti-Aurora B antibody [mAbcam 3609] (AB3609)

Image courtesy of Human Protein Atlas Paraffin embedded human liver tumor tissue was incubated with ab3609 (1/35 dilution) for 30 mins at room temperature. Antigen retrieval was performed by heat induction in citrate buffer pH 6.

ab3609 was tested in a tissue microarray (TMA) containing a wide range of normal and cancer tissues as well as a cell microarray consisting of a range of commonly used, well characterised human cell lines. Further images can be found at www.proteinatlas.org

Image courtesy of Human Protein Atlas

Western blot - Anti-Aurora B antibody [mAbcam 3609] (AB3609)
  • WB

Lab

Western blot - Anti-Aurora B antibody [mAbcam 3609] (AB3609)

All lanes:

Western blot - Anti-Aurora B antibody [mAbcam 3609] (ab3609) at 1 µg/mL

Lane 1:

Hek293 Whole Cell Lysate at 20 µg

Lane 2:

Jurkat Whole Cell Lysate at 20 µg

Lane 3:

HeLa Whole Cell Lysate at 20 µg

Lane 4:

HeLa Whole Cell Lysate- Nocodozole Stimulated at 20 µg

Secondary

All lanes:

Goat polyclonal to Mouse IgG - H&L - Pre-Absorbed (HRP) at 1/3000 dilution

Predicted band size: 39 kDa

Observed band size: 37 kDa

true

Exposure time: 3min

Key facts

Host species

Mouse

Clonality

Monoclonal

Clone number

mAbcam 3609

Isotype

IgG1

Light chain type

kappa

Carrier free

No

Reacts with

Human

Applications

IHC-P, WB

applications

Immunogen

The exact immunogen used to generate this antibody is proprietary information.

Specificity

Based on the immunogen sequence, we do not expect the antibody to cross-react with AURKA or AURKC. No cross-reactivity testing has been performed.

Reactivity data

{ "title": "Reactivity Data", "filters": { "stats": ["", "Species", "Dilution Info", "Notes"], "tabs": { "all-applications": {"fullname" : "All Applications", "shortname": "All Applications"}, "WB" : {"fullname" : "Western blot", "shortname":"WB"}, "IHCP" : {"fullname" : "Immunohistochemistry (Formalin/PFA-fixed paraffin-embedded sections)", "shortname":"IHC-P"}, "ICCIF" : {"fullname" : "Immunocytochemistry/ Immunofluorescence", "shortname":"ICC/IF"} }, "product-promise": { "all": "all", "testedAndGuaranteed": "tested", "guaranteed": "expected", "predicted": "predicted", "notRecommended": "not-recommended" } }, "values": { "Human": { "WB-species-checked": "testedAndGuaranteed", "WB-species-dilution-info": "1 µg/mL", "WB-species-notes": "<p>Block with 1% BSA for 1 hour.</p>", "IHCP-species-checked": "testedAndGuaranteed", "IHCP-species-dilution-info": "", "IHCP-species-notes": "<p></p>", "ICCIF-species-checked": "notRecommended", "ICCIF-species-dilution-info": "", "ICCIF-species-notes": "<p></p>" }, "Mouse": { "WB-species-checked": "predicted", "WB-species-dilution-info": "", "WB-species-notes": "", "IHCP-species-checked": "predicted", "IHCP-species-dilution-info": "", "IHCP-species-notes": "", "ICCIF-species-checked": "notRecommended", "ICCIF-species-dilution-info": "", "ICCIF-species-notes": "" }, "Rat": { "WB-species-checked": "predicted", "WB-species-dilution-info": "", "WB-species-notes": "", "IHCP-species-checked": "predicted", "IHCP-species-dilution-info": "", "IHCP-species-notes": "", "ICCIF-species-checked": "notRecommended", "ICCIF-species-dilution-info": "", "ICCIF-species-notes": "" } } }

Product details

Want a custom formulation?
This antibody clone is manufactured by Abcam. If you require a custom buffer formulation or conjugation for your experiments, please contact orders@abcam.com

Properties and storage information

Form
Liquid
Purification technique
Affinity purification
Storage buffer
Preservative: 0.05% Sodium azide Constituents: PBS
Shipped at conditions
Blue Ice
Appropriate short-term storage duration
1-2 weeks
Appropriate short-term storage conditions
+4°C
Appropriate long-term storage conditions
-20°C
Aliquoting information
Upon delivery aliquot
Storage information
Avoid freeze / thaw cycle

Supplementary information

This supplementary information is collated from multiple sources and compiled automatically.

Aurora B also known as Aurora kinase B or AURKB is a serine/threonine protein kinase with a molecular mass of approximately 39 kDa. This protein expresses across various cell types and tissues playing a critical role during cell division. It localizes to the centromeres during early mitosis and later associates with the central spindle and midbody. Aurora B is a component of the chromosomal passenger complex (CPC) which includes other proteins such as INCENP survivin and borealin essential for its function.
Biological function summary

Aurora B kinase functions to ensure proper chromosome alignment segregation and cytokinesis during mitosis and meiosis. It phosphorylates various substrates to facilitate processes like correction of kinetochore-microtubule attachments and regulation of the mitotic checkpoint. As a part of the CPC Aurora B acts in coordination with other proteins to control these cellular events ensuring that cells divide accurately and safely.

Pathways

Aurora B integrates into the cell cycle and mitotic pathways operating closely with the spindle assembly checkpoint. It interacts with proteins like CENP-A and CENP-E ensuring error-free chromosome segregation. Aurora B's activity within these pathways is critical for maintaining genomic stability and preventing aneuploidy a condition linked to improper chromosome number.

Aurora B's malfunction associates with cancer and chromosomal instability. Overexpression or dysregulation of Aurora B kinase frequently occurs in several types of cancer contributing to tumorigenesis by promoting abnormal cell division. Proteins such as p53 a well-known tumor suppressor often become functionally compromised when Aurora B activity is altered further advancing disease progression. Aurora B also holds implications in other disorders marked by faulty cell cycle regulation emphasizing its potential as a therapeutic target.

Product protocols

For this product, it's our understanding that no specific protocols are required. You can visit:

Target data

Serine/threonine-protein kinase component of the chromosomal passenger complex (CPC), a complex that acts as a key regulator of mitosis (PubMed : 11516652, PubMed : 12925766, PubMed : 14610074, PubMed : 14722118, PubMed : 29449677). The CPC complex has essential functions at the centromere in ensuring correct chromosome alignment and segregation and is required for chromatin-induced microtubule stabilization and spindle assembly (PubMed : 11516652, PubMed : 12925766, PubMed : 14610074, PubMed : 14722118, PubMed : 26829474). Involved in the bipolar attachment of spindle microtubules to kinetochores and is a key regulator for the onset of cytokinesis during mitosis (PubMed : 15249581). Required for central/midzone spindle assembly and cleavage furrow formation (PubMed : 12458200, PubMed : 12686604). Key component of the cytokinesis checkpoint, a process required to delay abscission to prevent both premature resolution of intercellular chromosome bridges and accumulation of DNA damage : phosphorylates CHMP4C, leading to retain abscission-competent VPS4 (VPS4A and/or VPS4B) at the midbody ring until abscission checkpoint signaling is terminated at late cytokinesis (PubMed : 22422861, PubMed : 24814515). AURKB phosphorylates the CPC complex subunits BIRC5/survivin, CDCA8/borealin and INCENP (PubMed : 11516652, PubMed : 12925766, PubMed : 14610074). Phosphorylation of INCENP leads to increased AURKB activity (PubMed : 11516652, PubMed : 12925766, PubMed : 14610074). Other known AURKB substrates involved in centromeric functions and mitosis are CENPA, DES/desmin, GPAF, KIF2C, NSUN2, RACGAP1, SEPTIN1, VIM/vimentin, HASPIN, and histone H3 (PubMed : 11756469, PubMed : 11784863, PubMed : 11856369, PubMed : 12689593, PubMed : 14602875, PubMed : 16103226, PubMed : 21658950). A positive feedback loop involving HASPIN and AURKB contributes to localization of CPC to centromeres (PubMed : 21658950). Phosphorylation of VIM controls vimentin filament segregation in cytokinetic process, whereas histone H3 is phosphorylated at 'Ser-10' and 'Ser-28' during mitosis (H3S10ph and H3S28ph, respectively) (PubMed : 11784863, PubMed : 11856369). AURKB is also required for kinetochore localization of BUB1 and SGO1 (PubMed : 15020684, PubMed : 17617734). Phosphorylation of p53/TP53 negatively regulates its transcriptional activity (PubMed : 20959462). Key regulator of active promoters in resting B- and T-lymphocytes : acts by mediating phosphorylation of H3S28ph at active promoters in resting B-cells, inhibiting RNF2/RING1B-mediated ubiquitination of histone H2A and enhancing binding and activity of the USP16 deubiquitinase at transcribed genes (By similarity). Acts as an inhibitor of CGAS during mitosis : catalyzes phosphorylation of the N-terminus of CGAS during the G2-M transition, blocking CGAS liquid phase separation and activation, and thereby preventing CGAS-induced autoimmunity (PubMed : 33542149). Phosphorylates KRT5 during anaphase and telophase (By similarity). Phosphorylates ATXN10 which promotes phosphorylation of ATXN10 by PLK1 and may play a role in the regulation of cytokinesis and stimulating the proteasomal degradation of ATXN10 (PubMed : 25666058).
See full target information AURKB

Publications (32)

Recent publications for all applications. Explore the full list and refine your search

Cells 14: PubMed40558559

2025

Cytokinesis in Suspension: A Distinctive Trait of Mesenchymal Stem Cells.

Applications

Unspecified application

Species

Unspecified reactive species

Bhavna Rani,Hong Qian,Staffan Johansson

Aging 15:12633-12650 PubMed37955677

2023

KIFC1 promotes proliferation and pseudo-bipolar division of ESCC through the transportation of Aurora B kinase.

Applications

Unspecified application

Species

Unspecified reactive species

Bin Du,Lingyu Wei,Jia Wang,Yanyan Li,Jing Huo,Jinsheng Wang,Pu Wang

EMBO reports 24:e56100 PubMed37291955

2023

The GCN2/eIF2αK stress kinase regulates PP1 to ensure mitotic fidelity.

Applications

Unspecified application

Species

Unspecified reactive species

Vilte Stonyte,Maria Mastrangelopoulou,Romy Timmer,Lilian Lindbergsengen,Marina Vietri,Coen Campsteijn,Beáta Grallert

Developmental cell 58:847-865.e10 PubMed37098350

2023

A tubule-sheet continuum model for the mechanism of nuclear envelope assembly.

Applications

Unspecified application

Species

Unspecified reactive species

Gengjing Zhao,Shiwei Liu,Sanjana Arun,Fioranna Renda,Alexey Khodjakov,David Pellman

Experimental dermatology 32:91-99 PubMed36168732

2022

Novel RNA polymerase I inhibitor CX-5461 suppresses imiquimod-induced experimental psoriasis.

Applications

Unspecified application

Species

Unspecified reactive species

Xiao Wu,Qihui Yin,Jie Wang,Chaochao Dai,Jianli Wang,Xiaosun Guo,Fan Jiang

Oncotarget 13:1078-1091 PubMed36187556

2022

Complementary CRISPR genome-wide genetic screens in PARP10-knockout and overexpressing cells identify synthetic interactions for PARP10-mediated cellular survival.

Applications

Unspecified application

Species

Unspecified reactive species

Jude B Khatib,Emily M Schleicher,Lindsey M Jackson,Ashna Dhoonmoon,George-Lucian Moldovan,Claudia M Nicolae

Cells 11: PubMed35326403

2022

Optogenetic Control of Engrafted Human Induced Pluripotent Stem Cell-Derived Cardiomyocytes in Live Mice: A Proof-of-Concept Study.

Applications

Unspecified application

Species

Unspecified reactive species

Jyotsna Joshi,Bing Xu,Michael Rubart,Yun Chang,Xiaoping Bao,Hari P Chaliki,Luis R Scott,Wuqiang Zhu

Molecular cell 81:67-87.e9 PubMed33248027

2020

BUB1 and CENP-U, Primed by CDK1, Are the Main PLK1 Kinetochore Receptors in Mitosis.

Applications

Unspecified application

Species

Unspecified reactive species

Priyanka Singh,Marion E Pesenti,Stefano Maffini,Sara Carmignani,Marius Hedtfeld,Arsen Petrovic,Anupallavi Srinivasamani,Tanja Bange,Andrea Musacchio

The Journal of cell biology 219: PubMed33053167

2020

Cell division requires RNA eviction from condensing chromosomes.

Applications

Unspecified application

Species

Unspecified reactive species

Judith A Sharp,Carlos Perea-Resa,Wei Wang,Michael D Blower

Cell research 31:450-462 PubMed32973339

2020

LRP6 downregulation promotes cardiomyocyte proliferation and heart regeneration.

Applications

Unspecified application

Species

Unspecified reactive species

Yahan Wu,Liping Zhou,Hongyu Liu,Ran Duan,Huixing Zhou,Fulei Zhang,Xiaoyu He,Dongbo Lu,Ke Xiong,Maolin Xiong,Jinzhu Zhuang,Yi Liu,Li Li,Dandan Liang,Yi-Han Chen
View all publications

Product promise

We are committed to supporting your work with high-quality reagents, and we're here for you every step of the way. In the unlikely event that one of our products does not perform as expected, you're protected by our Product Promise.
For full details, please see our Terms & Conditions

Please note: All products are 'FOR RESEARCH USE ONLY. NOT FOR USE IN DIAGNOSTIC OR THERAPEUTIC PROCEDURES'.

For licensing inquiries, please contact partnerships@abcam.com