JavaScript is disabled in your browser. Please enable JavaScript to view this website.
AB224035

Anti-AUTS2 antibody

Be the first to review this product! Submit a review

|

(0 Publication)

Rabbit Polyclonal AUTS2 antibody. Suitable for IHC-P, ICC/IF and reacts with Mouse, Human samples. Immunogen corresponding to Recombinant Fragment Protein within Human AUTS2 aa 1000-1150.

View Alternative Names

KIAA0442, AUTS2, Autism susceptibility gene 2 protein

7 Images
Immunohistochemistry (Formalin/PFA-fixed paraffin-embedded sections) - Anti-AUTS2 antibody (AB224035)
  • IHC-P

Supplier Data

Immunohistochemistry (Formalin/PFA-fixed paraffin-embedded sections) - Anti-AUTS2 antibody (AB224035)

Immunohistochemistry (Formalin/PFA-fixed paraffin-embedded sections) analysis of human cerebellum tissue labelling AUTS2 with ab224035 at 1/50 dilution.

Immunohistochemistry (Formalin/PFA-fixed paraffin-embedded sections) - Anti-AUTS2 antibody (AB224035)
  • IHC-P

Supplier Data

Immunohistochemistry (Formalin/PFA-fixed paraffin-embedded sections) - Anti-AUTS2 antibody (AB224035)

Immunohistochemical analysis of mouse embryo (E14) cortical plate tissue labeling AUTS2 in the nucleus of neuronal cells with ab224035 at a 1/50 dilution.

Performed heat mediated antigen retrieval with citrate buffer pH 6 before commencing with IHC staining protocol.

Immunohistochemistry (Formalin/PFA-fixed paraffin-embedded sections) - Anti-AUTS2 antibody (AB224035)
  • IHC-P

Supplier Data

Immunohistochemistry (Formalin/PFA-fixed paraffin-embedded sections) - Anti-AUTS2 antibody (AB224035)

Immunohistochemical analysis of human cerebral cortex tissue labeling AUTS2 in the nucleus of neuronal cells with ab224035 at a 1/50 dilution.

Performed heat mediated antigen retrieval with citrate buffer pH 6 before commencing with IHC staining protocol.

Immunocytochemistry/ Immunofluorescence - Anti-AUTS2 antibody (AB224035)
  • ICC/IF

Supplier Data

Immunocytochemistry/ Immunofluorescence - Anti-AUTS2 antibody (AB224035)

Immunocytochemical analysis of A431 (Human epidermoid carcinoma cell line) whole cells labeling AUTS2 in the nucleus of neuronal cells with ab224035 at 2 μg/ml.

Immunohistochemistry (Formalin/PFA-fixed paraffin-embedded sections) - Anti-AUTS2 antibody (AB224035)
  • IHC-P

Supplier Data

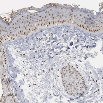
Immunohistochemistry (Formalin/PFA-fixed paraffin-embedded sections) - Anti-AUTS2 antibody (AB224035)

Immunohistochemical analysis of human skin tissue labeling AUTS2 in the nucleus with ab224035 at a 1/50 dilution.

Performed heat mediated antigen retrieval with citrate buffer pH 6 before commencing with IHC staining protocol.

Immunohistochemistry (Formalin/PFA-fixed paraffin-embedded sections) - Anti-AUTS2 antibody (AB224035)
  • IHC-P

Supplier Data

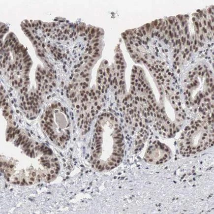
Immunohistochemistry (Formalin/PFA-fixed paraffin-embedded sections) - Anti-AUTS2 antibody (AB224035)

Immunohistochemical analysis of human prostate tissue labeling AUTS2 in the nucleus of glandular cells with ab224035 at a 1/50 dilution.

Performed heat mediated antigen retrieval with citrate buffer pH 6 before commencing with IHC staining protocol.

Immunohistochemistry (Formalin/PFA-fixed paraffin-embedded sections) - Anti-AUTS2 antibody (AB224035)
  • IHC-P

Supplier Data

Immunohistochemistry (Formalin/PFA-fixed paraffin-embedded sections) - Anti-AUTS2 antibody (AB224035)

Immunohistochemical analysis of human skeletal muscle tissue labeling AUTS2 with ab224035 at a 1/50 dilution. No positivity as expected.

Performed heat mediated antigen retrieval with citrate buffer pH 6 before commencing with IHC staining protocol.

Key facts

Host species

Rabbit

Clonality

Polyclonal

Isotype

IgG

Carrier free

No

Reacts with

Mouse, Human

Applications

ICC/IF, IHC-P

applications

Immunogen

Recombinant Fragment Protein within Human AUTS2 aa 1000-1150. The exact immunogen used to generate this antibody is proprietary information.

Q8WXX7

Reactivity data

{ "title": "Reactivity Data", "filters": { "stats": ["", "Species", "Dilution Info", "Notes"], "tabs": { "all-applications": {"fullname" : "All Applications", "shortname": "All Applications"}, "IHCP" : {"fullname" : "Immunohistochemistry (Formalin/PFA-fixed paraffin-embedded sections)", "shortname":"IHC-P"}, "ICCIF" : {"fullname" : "Immunocytochemistry/ Immunofluorescence", "shortname":"ICC/IF"} }, "product-promise": { "all": "all", "testedAndGuaranteed": "tested", "guaranteed": "expected", "predicted": "predicted", "notRecommended": "not-recommended" } }, "values": { "Human": { "IHCP-species-checked": "testedAndGuaranteed", "IHCP-species-dilution-info": "1/50.00000 - 1/200.00000", "IHCP-species-notes": "<p></p> Perform heat-mediated antigen retrieval with citrate buffer pH 6 before commencing with IHC staining protocol.", "ICCIF-species-checked": "testedAndGuaranteed", "ICCIF-species-dilution-info": "0.25000-2.00000 µg/mL", "ICCIF-species-notes": "<p>Fixation/Permeabilization: PFA/Triton X-100.</p>" }, "Mouse": { "IHCP-species-checked": "testedAndGuaranteed", "IHCP-species-dilution-info": "1/50.00000 - 1/200.00000", "IHCP-species-notes": "<p></p> Perform heat-mediated antigen retrieval with citrate buffer pH 6 before commencing with IHC staining protocol.", "ICCIF-species-checked": "guaranteed", "ICCIF-species-dilution-info": "", "ICCIF-species-notes": "" } } }

Properties and storage information

Form
Liquid
Purification technique
Affinity purification Immunogen
Storage buffer
pH: 7.2 Preservative: 0.02% Sodium azide Constituents: PBS, 40% Glycerol (glycerin, glycerine)
Shipped at conditions
Blue Ice
Appropriate short-term storage duration
1-2 weeks
Appropriate short-term storage conditions
+4°C
Appropriate long-term storage conditions
-20°C
Aliquoting information
Upon delivery aliquot
Storage information
Avoid freeze / thaw cycle

Supplementary information

This supplementary information is collated from multiple sources and compiled automatically.

AUTS2 also known as the Autism Susceptibility Gene 2 is a protein encoded by the AUTS2 gene and has a mass of approximately 141 kDa. This protein is expressed in several regions of the brain including the cerebral cortex hippocampus and cerebellum. It plays a role in neuronal development where it impacts neural progenitor cell proliferation and differentiation. Expression of AUTS2 is often regulated during key neurodevelopmental stages.
Biological function summary

The AUTS2 protein is involved in chromatin remodeling impacting gene expression regulation during brain development. It functions as part of a complex involving other transcription factors and regulators to influence diverse neural processes. This involvement in chromatin remodeling highlights its role in controlling when and how genes are activated within cells impacting neurodevelopmental processes significantly.

Pathways

AUTS2 participates in the regulation of neuronal signaling pathways such as the Wnt signaling pathway which is key for cell fate determination during development. Proteins like TCF/LEF are related to AUTS2 through the Wnt signaling pathway where they serve as transcriptional mediators affected by the pathway's activity. This connection indicates AUTS2's role in maintaining the balance between progenitor cell proliferation and differentiation in neural tissues.

AUTS2 has a significant association with autism spectrum disorders (ASD) and intellectual disability. Disruptions or mutations in the AUTS2 gene often associate with these neurodevelopmental conditions. The protein also has connections with other proteins like CHD8 which is often mutated in autism suggesting that alterations affecting AUTS2 could influence broader functional networks in the brain responsible for cognitive development and behavior.

Product protocols

For this product, it's our understanding that no specific protocols are required. You can visit:

Target data

Component of a Polycomb group (PcG) multiprotein PRC1-like complex, a complex class required to maintain the transcriptionally repressive state of many genes, including Hox genes, throughout development. PcG PRC1 complex acts via chromatin remodeling and modification of histones; it mediates monoubiquitination of histone H2A 'Lys-119', rendering chromatin heritably changed in its expressibility (PubMed : 25519132). The PRC1-like complex that contains PCGF5, RNF2, CSNK2B, RYBP and AUTS2 has decreased histone H2A ubiquitination activity, due to the phosphorylation of RNF2 by CSNK2B (PubMed : 25519132). As a consequence, the complex mediates transcriptional activation (PubMed : 25519132). In the cytoplasm, plays a role in axon and dendrite elongation and in neuronal migration during embryonic brain development. Promotes reorganization of the actin cytoskeleton, lamellipodia formation and neurite elongation via its interaction with RAC guanine nucleotide exchange factors, which then leads to the activation of RAC1 (By similarity).
See full target information AUTS2

Product promise

We are committed to supporting your work with high-quality reagents, and we're here for you every step of the way. In the unlikely event that one of our products does not perform as expected, you're protected by our Product Promise.
For full details, please see our Terms & Conditions

Associated Products

Select an associated product type
Alternative Product
Primary Antibodies

AB96326

Anti-AUTS2 antibody

primary-antibodies

auts2-antibody-ab96326

5

(1 reviews)

Alternative Product
Primary Antibodies

AB243042

Anti-AUTS2 antibody [CL7067]

primary-antibodies

auts2-antibody-cl7067-ab243042

0

(0 reviews)

Alternative Product
Primary Antibodies

AB243036

Anti-AUTS2 antibody [CL7084]

primary-antibodies

auts2-antibody-cl7084-ab243036

0

(0 reviews)

Please note: All products are 'FOR RESEARCH USE ONLY. NOT FOR USE IN DIAGNOSTIC OR THERAPEUTIC PROCEDURES'.

For licensing inquiries, please contact partnerships@abcam.com