JavaScript is disabled in your browser. Please enable JavaScript to view this website.
AB124907

Anti-AVPR1A/V1aR antibody [EPR5642]

Be the first to review this product! Submit a review

|

(2 Publications)

Rabbit Recombinant Monoclonal AVPR1A/V1aR antibody. Suitable for WB and reacts with Human samples. Cited in 2 publications.

View Alternative Names

AVPR1, AVPR1A, Vasopressin V1a receptor, V1aR, AVPR V1a, Antidiuretic hormone receptor 1a, Vascular/hepatic-type arginine vasopressin receptor

2 Images
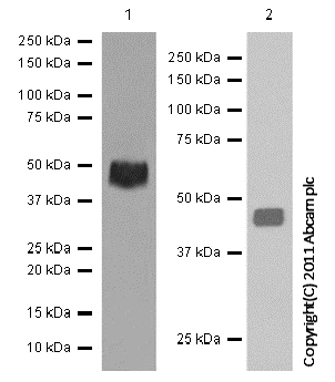
Western blot - Anti-AVPR1A/V1aR antibody [EPR5642] (AB124907)
  • WB

Lab

Western blot - Anti-AVPR1A/V1aR antibody [EPR5642] (AB124907)

Blocking and dilution buffer : 5% NFDM/TBST.

Exposure times :

Lane 1 : 1 minute
Lane 2 : 10 seconds

All lanes:

Western blot - Anti-AVPR1A/V1aR antibody [EPR5642] (ab124907) at 1/2000 dilution

Lane 1:

A549 (Human lung carcinoma epithelial cell) whole cell lysate at 10 µg

Lane 2:

MCF7 (Human breast adenocarcinoma epithelial cell) whole cell lysate at 10 µg

Secondary

All lanes:

Goat Anti-Rabbit IgG, HRP conjugated at 1/2000 dilution

Predicted band size: 47 kDa

Observed band size: 47 kDa

false

OI-RD Scanning - Anti-AVPR1A/V1aR antibody [EPR5642] (AB124907)
  • OI-RD Scanning

Unknown

OI-RD Scanning - Anti-AVPR1A/V1aR antibody [EPR5642] (AB124907)

We have systematically measured KD (the equilibrium dissociation constant between the antibody and its antigen), of more than 840 recombinant antibodies to assess not only their individual KD values but also to see the average affinity of antibody. Based on the comparison with published literature values for mouse monoclonal antibodies, Recombinant antibodies appear to be on average 1-2 order of magnitude higher affinity.

Key facts

Host species

Rabbit

Clonality

Monoclonal

Clone number

EPR5642

Isotype

IgG

Carrier free

No

Reacts with

Human

Applications

WB

applications

Immunogen

The exact immunogen used to generate this antibody is proprietary information.

Reactivity data

{ "title": "Reactivity Data", "filters": { "stats": ["", "Species", "Dilution Info", "Notes"], "tabs": { "all-applications": {"fullname" : "All Applications", "shortname": "All Applications"}, "ICCIF" : {"fullname" : "Immunocytochemistry/ Immunofluorescence", "shortname":"ICC/IF"}, "IP" : {"fullname" : "Immunoprecipitation", "shortname":"IP"}, "FlowCyt" : {"fullname" : "Flow Cytometry", "shortname":"Flow Cyt"}, "WB" : {"fullname" : "Western blot", "shortname":"WB"}, "IHCP" : {"fullname" : "Immunohistochemistry (Formalin/PFA-fixed paraffin-embedded sections)", "shortname":"IHC-P"} }, "product-promise": { "all": "all", "testedAndGuaranteed": "tested", "guaranteed": "expected", "predicted": "predicted", "notRecommended": "not-recommended" } }, "values": { "Human": { "ICCIF-species-checked": "notRecommended", "ICCIF-species-dilution-info": "", "ICCIF-species-notes": "<p></p>", "IP-species-checked": "notRecommended", "IP-species-dilution-info": "", "IP-species-notes": "<p></p>", "FlowCyt-species-checked": "notRecommended", "FlowCyt-species-dilution-info": "", "FlowCyt-species-notes": "<p></p>", "WB-species-checked": "testedAndGuaranteed", "WB-species-dilution-info": "1/1000 - 1/10000", "WB-species-notes": "<p></p>", "IHCP-species-checked": "notRecommended", "IHCP-species-dilution-info": "", "IHCP-species-notes": "<p></p>" }, "Mouse": { "ICCIF-species-checked": "notRecommended", "ICCIF-species-dilution-info": "", "ICCIF-species-notes": "<p></p>", "IP-species-checked": "notRecommended", "IP-species-dilution-info": "", "IP-species-notes": "<p></p>", "FlowCyt-species-checked": "notRecommended", "FlowCyt-species-dilution-info": "", "FlowCyt-species-notes": "<p></p>", "WB-species-checked": "notRecommended", "WB-species-dilution-info": "1/1000 - 1/10000", "WB-species-notes": "<p></p>", "IHCP-species-checked": "notRecommended", "IHCP-species-dilution-info": "", "IHCP-species-notes": "<p></p>" }, "Rat": { "ICCIF-species-checked": "notRecommended", "ICCIF-species-dilution-info": "", "ICCIF-species-notes": "<p></p>", "IP-species-checked": "notRecommended", "IP-species-dilution-info": "", "IP-species-notes": "<p></p>", "FlowCyt-species-checked": "notRecommended", "FlowCyt-species-dilution-info": "", "FlowCyt-species-notes": "<p></p>", "WB-species-checked": "notRecommended", "WB-species-dilution-info": "1/1000 - 1/10000", "WB-species-notes": "<p></p>", "IHCP-species-checked": "notRecommended", "IHCP-species-dilution-info": "", "IHCP-species-notes": "<p></p>" } } }

Product details

Patented technology
Our RabMAb® technology is a patented hybridoma-based technology for making rabbit monoclonal antibodies. For details on our patents, please refer to RabMAb® patents.

What are the advantages of a recombinant monoclonal antibody?
This product is a recombinant monoclonal antibody, which offers several advantages including:

  • - High batch-to-batch consistency and reproducibility
  • - Improved sensitivity and specificity
  • - Long-term security of supply
  • - Animal-free batch production

For more information, read more on recombinant antibodies.

Properties and storage information

Form
Liquid
Purification technique
Affinity purification Protein A
Storage buffer
pH: 7.2 - 7.4 Preservative: 0.01% Sodium azide Constituents: PBS, 50% Tissue culture supernatant, 40% Glycerol (glycerin, glycerine), 0.05% BSA
Shipped at conditions
Blue Ice
Appropriate short-term storage conditions
+4°C
Appropriate long-term storage conditions
-20°C
Storage information
Stable for 12 months at -20°C

Supplementary information

This supplementary information is collated from multiple sources and compiled automatically.

The AVPR1A also known as V1aR is a receptor for the hormone arginine vasopressin displaying a molecular mass of approximately 41 kDa. It belongs to the class of G protein-coupled receptors and is expressed mainly in the liver kidney brain and vascular smooth muscle cells. This receptor binds vasopressin with high affinity and mediates its effects through the activation of phospholipase C leading to the generation of inositol triphosphate and diacylglycerol.
Biological function summary

AVPR1A affects cardiovascular renal and central nervous system functions. It does not form part of a complex but plays a critical role in the regulation of blood pressure water retention and social behaviors. The receptor mediates vasoconstriction and increases water reabsorption in the kidneys impacting fluid balance and vascular tone.

Pathways

AVPR1A is an important component in pathways like the vasopressin-regulated sodium concentration and ventricular hypertrophy pathways. It interacts with proteins such as Gq/11 which initiates signaling cascades leading to effects on vascular contraction and myocardium remodeling. The AVPR1A signals alongside other receptors like the V2 vasopressin receptor contributing to different physiological outcomes.

AVPR1A is linked to conditions such as hypertension and autism spectrum disorder. In hypertension the receptor's role in vasoconstriction and fluid homeostasis links it with high blood pressure. Research indicates a possible association with autism linking social behavior modulation through oxytocin and vasopressin pathways. In both diseases AVPR1A interacts with other proteins like the oxytocin receptor shaping its influence on pathophysiological processes.

Product protocols

For this product, it's our understanding that no specific protocols are required. You can visit:

Target data

Receptor for arginine vasopressin. The activity of this receptor is mediated by G proteins which activate a phosphatidyl-inositol-calcium second messenger system. Has been involved in social behaviors, including affiliation and attachment.
See full target information AVPR1A

Publications (2)

Recent publications for all applications. Explore the full list and refine your search

Molecular oncology 16:940-956 PubMed34057812

2021

FKBP51 and FKBP52 regulate androgen receptor dimerization and proliferation in prostate cancer cells.

Applications

Unspecified application

Species

Unspecified reactive species

Keisuke Maeda,Makoto Habara,Mitsuyasu Kawaguchi,Hiroaki Matsumoto,Shunsuke Hanaki,Takahiro Masaki,Yuki Sato,Hideyasu Matsuyama,Kazuki Kunieda,Hidehiko Nakagawa,Midori Shimada

The Journal of thoracic and cardiovascular surgery 156:2098-2107 PubMed30057184

2018

Enhanced coronary arteriolar contraction to vasopressin in patients with diabetes after cardiac surgery.

Applications

Unspecified application

Species

Unspecified reactive species

Nicholas Sellke,Alex Kuczmarski,Isabella Lawandy,Victoria L Cole,Afshin Ehsan,Arun K Singh,Yuhong Liu,Frank W Sellke,Jun Feng
View all publications

Product promise

We are committed to supporting your work with high-quality reagents, and we're here for you every step of the way. In the unlikely event that one of our products does not perform as expected, you're protected by our Product Promise.
For full details, please see our Terms & Conditions

Please note: All products are 'FOR RESEARCH USE ONLY. NOT FOR USE IN DIAGNOSTIC OR THERAPEUTIC PROCEDURES'.

For licensing inquiries, please contact partnerships@abcam.com