JavaScript is disabled in your browser. Please enable JavaScript to view this website.
AB140500

Anti-AVPR1B antibody - Cytoplasmic domain

Be the first to review this product! Submit a review

|

(1 Publication)

Rabbit Polyclonal AVPR1B antibody. Suitable for IHC-P and reacts with Human samples. Cited in 1 publication. Immunogen corresponding to Synthetic Peptide within Human AVPR1B.

View Alternative Names

AVPR3, VPR3, AVPR1B, Vasopressin V1b receptor, V1bR, AVPR V1b, AVPR V3, Antidiuretic hormone receptor 1b, Vasopressin V3 receptor

1 Images
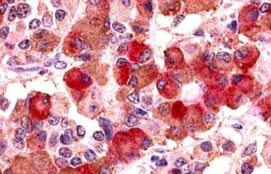
Immunohistochemistry (Formalin/PFA-fixed paraffin-embedded sections) - Anti-AVPR1B antibody - Cytoplasmic domain (AB140500)
  • IHC-P

Unknown

Immunohistochemistry (Formalin/PFA-fixed paraffin-embedded sections) - Anti-AVPR1B antibody - Cytoplasmic domain (AB140500)

Immunohistochemical analysis of formalin fixed, paraffin embedded Human pituitary, anterior tissue labelling AVPR1B with ab140500 at 10 µg/ml.

Key facts

Host species

Rabbit

Clonality

Polyclonal

Isotype

IgG

Carrier free

No

Reacts with

Human

Applications

IHC-P

applications

Immunogen

Synthetic Peptide within Human AVPR1B. The exact immunogen used to generate this antibody is proprietary information.

P47901

Reactivity data

{ "title": "Reactivity Data", "filters": { "stats": ["", "Species", "Dilution Info", "Notes"], "tabs": { "all-applications": {"fullname" : "All Applications", "shortname": "All Applications"}, "IHCP" : {"fullname" : "Immunohistochemistry (Formalin/PFA-fixed paraffin-embedded sections)", "shortname":"IHC-P"} }, "product-promise": { "all": "all", "testedAndGuaranteed": "tested", "guaranteed": "expected", "predicted": "predicted", "notRecommended": "not-recommended" } }, "values": { "Human": { "IHCP-species-checked": "testedAndGuaranteed", "IHCP-species-dilution-info": "2-10 µg/mL", "IHCP-species-notes": "<p></p> Perform heat-mediated antigen retrieval with citrate buffer pH 6 before commencing with IHC staining protocol." }, "Gorilla": { "IHCP-species-checked": "predicted", "IHCP-species-dilution-info": "", "IHCP-species-notes": "" }, "Monkey": { "IHCP-species-checked": "predicted", "IHCP-species-dilution-info": "", "IHCP-species-notes": "" } } }

Properties and storage information

Form
Liquid
Purification technique
Affinity purification Immunogen
Storage buffer
pH: 7.4 Preservative: 0.1% Sodium azide Constituents: PBS
Shipped at conditions
Blue Ice
Appropriate short-term storage conditions
+4°C
Appropriate long-term storage conditions
-20°C

Supplementary information

This supplementary information is collated from multiple sources and compiled automatically.

AVPR1B also known as the arginine vasopressin receptor 1B or V1bR is a G-protein coupled receptor involved in various physiological processes. It has a mass of approximately 46 kDa. This receptor is largely expressed in the anterior pituitary gland but can also be found in other tissues such as the pancreas adrenal gland and the central nervous system. AVPR1B plays an important mechanical role in the transmission of signals following the binding of the hormone arginine vasopressin facilitating cellular responses by activating phospholipase C and increasing intracellular calcium levels.
Biological function summary

AVPR1B plays an essential role in the regulation of the hypothalamic-pituitary-adrenal (HPA) axis. It helps in synthesizing and releasing adrenocorticotropic hormone (ACTH) from the pituitary which influences cortisol secretion from the adrenal glands. In the central nervous system AVPR1B contributes to stress-related behavioral responses. While not part of a large complex AVPR1B's interaction with other receptor types modulates its activity and response to vasopressin signaling.

Pathways

AVPR1B is important in the stress-response pathway and hydromineral balance. It aligns with proteins such as CRH and corticotropin-releasing hormone receptors to modulate the hormone cascade. The stress-response pathway involves corticotropin-releasing hormone ACTH and cortisol with AVPR1B regulating ACTH release in response to stress signals. The interplay with these pathways demonstrates its significance in maintaining homeostasis during stress.

AVPR1B has implications in stress-related disorders and depression. Dysregulation of AVPR1B signaling can exacerbate conditions linked to the HPA axis leading to chronic stress or depression. Studies suggest that AVPR1B overexpression links it to elevated cortisol levels contributing to depression symptomatology. Through its disease association AVPR1B exhibits functional connections to other proteins involved in HPA axis regulation such as glucocorticoid receptors providing a target for therapeutic interventions.

Product protocols

For this product, it's our understanding that no specific protocols are required. You can visit:

Target data

Receptor for arginine vasopressin. The activity of this receptor is mediated by G proteins which activate a phosphatidyl-inositol-calcium second messenger system.. (Microbial infection) During SARS coronavirus-2/SARS-CoV-2 infection, may recognize and internalize the complex formed by AVP/Arg-vasopressin, SARS-CoV-2 spike protein and secreted ACE2 through DNM2/dynamin 2-dependent endocytosis.
See full target information AVPR1B

Publications (1)

Recent publications for all applications. Explore the full list and refine your search

Molecular systems biology 20:403-427 PubMed38287148

2024

Systematic identification of 20S proteasome substrates.

Applications

Unspecified application

Species

Unspecified reactive species

Monika Pepelnjak,Rivkah Rogawski,Galina Arkind,Yegor Leushkin,Irit Fainer,Gili Ben-Nissan,Paola Picotti,Michal Sharon
View all publications

Product promise

We are committed to supporting your work with high-quality reagents, and we're here for you every step of the way. In the unlikely event that one of our products does not perform as expected, you're protected by our Product Promise.
For full details, please see our Terms & Conditions

Please note: All products are 'FOR RESEARCH USE ONLY. NOT FOR USE IN DIAGNOSTIC OR THERAPEUTIC PROCEDURES'.

For licensing inquiries, please contact partnerships@abcam.com