JavaScript is disabled in your browser. Please enable JavaScript to view this website.
AB192230

Anti-Axin 2 antibody [EPR2005(2)] - BSA and Azide free

Be the first to review this product! Submit a review

|

(1 Publication)

Rabbit Recombinant Monoclonal Axin 2 antibody. Carrier free. Suitable for WB, ICC/IF, IHC-P and reacts with Mouse, Rat, Human samples. Cited in 1 publication.

View Alternative Names

Axin-2, Axin-like protein, Axis inhibition protein 2, Conductin, Axil, AXIN2

5 Images
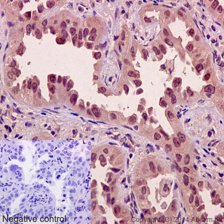
Immunohistochemistry (Formalin/PFA-fixed paraffin-embedded sections) - Anti-Axin 2 antibody [EPR2005(2)] - BSA and Azide free (AB192230)
  • IHC-P

Lab

Immunohistochemistry (Formalin/PFA-fixed paraffin-embedded sections) - Anti-Axin 2 antibody [EPR2005(2)] - BSA and Azide free (AB192230)

Immunohistochemistry (Formalin/PFA-fixed paraffin-embedded sections) analysis of human lung carcinoma tissue labelling Axin 2 with purified ab109307 at 1/150. Heat mediated antigen retrieval was performed using Tris/EDTA buffer pH 9. A prediluted HRP-polymer conjugated anti-rabbit IgG was used as the secondary antibody. Negative control using PBS instead of primary antibody. Counterstained with hematoxylin.

This data was developed using the same antibody clone in a different buffer formulation containing PBS, BSA, glycerol, and sodium azide (ab109307).

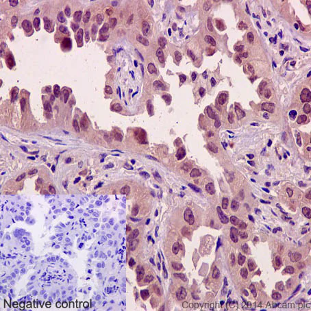
Immunohistochemistry (Formalin/PFA-fixed paraffin-embedded sections) - Anti-Axin 2 antibody [EPR2005(2)] - BSA and Azide free (AB192230)
  • IHC-P

Lab

Immunohistochemistry (Formalin/PFA-fixed paraffin-embedded sections) - Anti-Axin 2 antibody [EPR2005(2)] - BSA and Azide free (AB192230)

Immunohistochemistry (Formalin/PFA-fixed paraffin-embedded sections) analysis of human lung carcinoma tissue labelling Axin 2 with unpurified ab109307 at 1/150. Heat mediated antigen retrieval was performed using Tris/EDTA buffer pH 9. A prediluted HRP-polymer conjugated anti-rabbit IgG was used as the secondary antibody. Negative control using PBS instead of primary antibody. Counterstained with hematoxylin.

This data was developed using the same antibody clone in a different buffer formulation containing PBS, BSA, glycerol, and sodium azide (ab109307).

Immunocytochemistry/ Immunofluorescence - Anti-Axin 2 antibody [EPR2005(2)] - BSA and Azide free (AB192230)
  • ICC/IF

Lab

Immunocytochemistry/ Immunofluorescence - Anti-Axin 2 antibody [EPR2005(2)] - BSA and Azide free (AB192230)

Immunocytochemistry/Immunofluorescence analysis of LnCap cells labelling Axin 2 with unpurified ab109307 at 1/150. Cells were fixed with 4% paraformaldehyde. An Alexa Fluor® 555-conjugated goat anti-rabbit IgG (1/500) was used as the secondary antibody. DAPI (blue) was used as the nuclear counterstain.

Control : primary antibody (1/150) and secondary antibody, ab150113, an Alexa Fluor® 488-conjugated goat anti-mouse IgG (1/500).

This data was developed using the same antibody clone in a different buffer formulation containing PBS, BSA, glycerol, and sodium azide (ab109307).

Immunocytochemistry/ Immunofluorescence - Anti-Axin 2 antibody [EPR2005(2)] - BSA and Azide free (AB192230)
  • ICC/IF

Lab

Immunocytochemistry/ Immunofluorescence - Anti-Axin 2 antibody [EPR2005(2)] - BSA and Azide free (AB192230)

Immunocytochemistry/Immunofluorescence analysis of LnCap cells labelling Axin 2 with purified ab109307 at 1/150. Cells were fixed with 4% paraformaldehyde. An Alexa Fluor® 555-conjugated goat anti-rabbit IgG (1/500) was used as the secondary antibody. DAPI (blue) was used as the nuclear counterstain.

Control : primary antibody (1/150) and secondary antibody, ab150113, an Alexa Fluor® 488-conjugated goat anti-mouse IgG (1/500).

This data was developed using the same antibody clone in a different buffer formulation containing PBS, BSA, glycerol, and sodium azide (ab109307).

Immunocytochemistry/ Immunofluorescence - Anti-Axin 2 antibody [EPR2005(2)] - BSA and Azide free (AB192230)
  • ICC/IF

AbReview46275****

Immunocytochemistry/ Immunofluorescence - Anti-Axin 2 antibody [EPR2005(2)] - BSA and Azide free (AB192230)

Unpurified ab109307 staining Axin 2 in 293T cells by ICC/IF (Immunocytochemistry/immunofluorescence). Cells were fixed with paraformaldehyde, permeabilized with 1% Triton X-100 and blocked with 3% BSA for 1 hour at room temperature. Samples were incubated with primary antibody (1/50 in PBS + 3% BSA) for 16 hours. An Alexa Fluor® 488-conjugated donkey anti-rabbit IgG polyclonal (1/500) was used as the secondary antibody.

This data was developed using the same antibody clone in a different buffer formulation containing PBS, BSA, glycerol, and sodium azide (ab109307).

This image is courtesy of an anonymous Abreview

Key facts

Host species

Rabbit

Clonality

Monoclonal

Clone number

EPR2005(2)

Isotype

IgG

Carrier free

Yes

Reacts with

Mouse, Rat, Human

Applications

ICC/IF, WB, IHC-P

applications

Immunogen

The exact immunogen used to generate this antibody is proprietary information.

Reactivity data

{ "title": "Reactivity Data", "filters": { "stats": ["", "Species", "Dilution Info", "Notes"], "tabs": { "all-applications": {"fullname" : "All Applications", "shortname": "All Applications"}, "WB" : {"fullname" : "Western blot", "shortname":"WB"}, "ICCIF" : {"fullname" : "Immunocytochemistry/ Immunofluorescence", "shortname":"ICC/IF"}, "IHCP" : {"fullname" : "Immunohistochemistry (Formalin/PFA-fixed paraffin-embedded sections)", "shortname":"IHC-P"} }, "product-promise": { "all": "all", "testedAndGuaranteed": "tested", "guaranteed": "expected", "predicted": "predicted", "notRecommended": "not-recommended" } }, "values": { "Human": { "WB-species-checked": "guaranteed", "WB-species-dilution-info": "", "WB-species-notes": "<p></p>", "ICCIF-species-checked": "testedAndGuaranteed", "ICCIF-species-dilution-info": "", "ICCIF-species-notes": "<p></p>", "IHCP-species-checked": "testedAndGuaranteed", "IHCP-species-dilution-info": "", "IHCP-species-notes": "<p></p>" }, "Mouse": { "WB-species-checked": "guaranteed", "WB-species-dilution-info": "", "WB-species-notes": "<p></p>", "ICCIF-species-checked": "predicted", "ICCIF-species-dilution-info": "", "ICCIF-species-notes": "", "IHCP-species-checked": "predicted", "IHCP-species-dilution-info": "", "IHCP-species-notes": "" }, "Rat": { "WB-species-checked": "guaranteed", "WB-species-dilution-info": "", "WB-species-notes": "<p></p>", "ICCIF-species-checked": "predicted", "ICCIF-species-dilution-info": "", "ICCIF-species-notes": "", "IHCP-species-checked": "predicted", "IHCP-species-dilution-info": "", "IHCP-species-notes": "" }, "Pig": { "WB-species-checked": "predicted", "WB-species-dilution-info": "", "WB-species-notes": "", "ICCIF-species-checked": "predicted", "ICCIF-species-dilution-info": "", "ICCIF-species-notes": "", "IHCP-species-checked": "predicted", "IHCP-species-dilution-info": "", "IHCP-species-notes": "" } } }

Product details

ab192230 is the carrier-free version of ab109307.

Patented technology
Our RabMAb® technology is a patented hybridoma-based technology for making rabbit monoclonal antibodies. For details on our patents, please refer to RabMAb® patents.

What are the advantages of a recombinant monoclonal antibody?
This product is a recombinant monoclonal antibody, which offers several advantages including:

  • - High batch-to-batch consistency and reproducibility
  • - Improved sensitivity and specificity
  • - Long-term security of supply
  • - Animal-free batch production

For more information, read more on recombinant antibodies.

Conjugation ready
Our carrier-free antibodies are typically supplied in a PBS-only formulation, purified and free of BSA, sodium azide and glycerol. This conjugation-ready format is designed for use with fluorochromes, metal isotopes, oligonucleotides, and enzymes, which makes them ideal for antibody labelling, functional and cell-based assays, flow-based assays (e.g. mass cytometry) and Multiplex Imaging applications.

Use our conjugation kits for antibody conjugates that are ready-to-use in as little as 20 minutes with 1 minute hands-on-time and 100% antibody recovery: available for fluorescent dyes, HRP, biotin and gold.

Compatibility
This product is compatible with the Maxpar® Antibody Labeling Kit from Fluidigm, without the need for antibody preparation. Maxpar® is a trademark of Fluidigm Canada Inc.

Properties and storage information

Form
Liquid
Purification technique
Affinity purification Protein A
Purification notes
Protein-A purification via MabSelect SuRe
Storage buffer
pH: 7.2 - 7.4 Constituents: PBS
Shipped at conditions
Blue Ice
Appropriate short-term storage conditions
+4°C
Appropriate long-term storage conditions
+4°C
Storage information
Do Not Freeze

Supplementary information

This supplementary information is collated from multiple sources and compiled automatically.

Axin 2 also known as Axin Invasion is a protein belonging to the Axin family. It serves as a negative regulator of the Wnt signaling pathway. The molecular weight of Axin 2 is approximately 96 kDa. It is expressed in various tissues including the brain heart and skeletal muscle. Within cellular structures Axin 2 localizes to the cytoplasm where it interacts with other key proteins in its signaling pathways.
Biological function summary

Axin 2 functions as a scaffolding protein facilitating the assembly of multi-protein complexes. It forms part of the beta-catenin destruction complex which includes proteins like GSK-3β and APC. This complex plays a critical role in degrading beta-catenin an important player in the Wnt signaling pathway. Axin 2 therefore acts to downregulate signaling cascades that lead to cell proliferation and differentiation.

Pathways

Axin 2 is integral to the Wnt/β-catenin signaling pathway and also influences the JNK signaling pathway. By interacting with proteins like β-catenin and GSK-3β Axin 2 helps regulate gene expression initiatives important for developmental processes and cellular homeostasis. It acts as a check against unwarranted cellular proliferation maintaining balance within these signaling networks.

Axin 2 has significant implications in colorectal cancer and osteomalacia. Its regulation of the Wnt signaling pathway links it closely with the progression of these diseases. Mutations or dysregulation in Axin 2 can lead to the abnormal accumulation of β-catenin which disrupts cellular processes and promotes cancer development. Furthermore altered expression of Axin 2 in osteomalacia highlights its role in bone formation and mineralization processes.

Product protocols

For this product, it's our understanding that no specific protocols are required. You can visit:

Target data

Inhibitor of the Wnt signaling pathway. Down-regulates beta-catenin. Probably facilitate the phosphorylation of beta-catenin and APC by GSK3B.
See full target information Axin-2

Publications (1)

Recent publications for all applications. Explore the full list and refine your search

Cell communication and signaling : CCS 23:96 PubMed39966859

2025

REG3A secreted by peritumoral acinar cells enhances pancreatic ductal adenocarcinoma progression via activation of EGFR signaling.

Applications

Unspecified application

Species

Unspecified reactive species

Xiaojing Ren,Yunfei Teng,Kunxin Xie,Xiao He,Gang Chen,Kaini Zhang,Qingyi Liao,Jia Zhang,Xiaohang Zhou,Yating Zhu,Wenyu Song,Yuege Lin,Yi Zhang,Zhijian Xu,Noriaki Maeshige,Xiubin Liang,Dongming Su,Peng Sun,Ying Ding
View all publications

Product promise

We are committed to supporting your work with high-quality reagents, and we're here for you every step of the way. In the unlikely event that one of our products does not perform as expected, you're protected by our Product Promise.
For full details, please see our Terms & Conditions

Please note: All products are 'FOR RESEARCH USE ONLY. NOT FOR USE IN DIAGNOSTIC OR THERAPEUTIC PROCEDURES'.

For licensing inquiries, please contact partnerships@abcam.com