JavaScript is disabled in your browser. Please enable JavaScript to view this website.
AB240396

Anti-Axl antibody [EPR19880] - BSA and Azide free

Be the first to review this product! Submit a review

|

(1 Publication)

Rabbit Recombinant Monoclonal Axl antibody. Carrier free. Suitable for WB, IHC-P and reacts with Human samples. Cited in 1 publication.

View Alternative Names

UFO, AXL, Tyrosine-protein kinase receptor UFO, AXL oncogene

5 Images
Immunohistochemistry (Formalin/PFA-fixed paraffin-embedded sections) - Anti-Axl antibody [EPR19880] - BSA and Azide free (AB240396)
  • IHC-P

Supplier Data

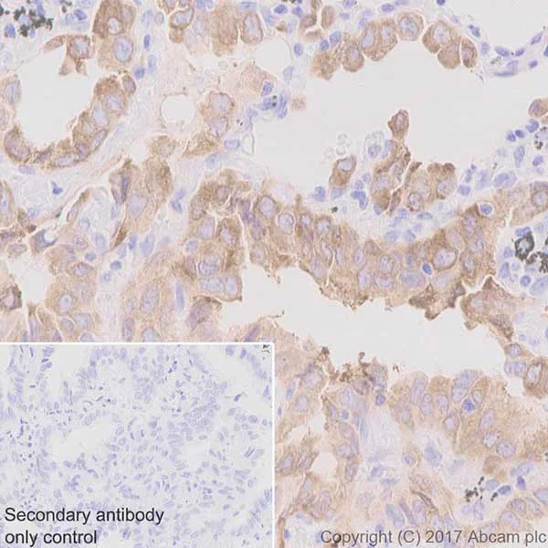
Immunohistochemistry (Formalin/PFA-fixed paraffin-embedded sections) - Anti-Axl antibody [EPR19880] - BSA and Azide free (AB240396)

Immunohistochemical analysis of paraffin-embedded human lung carcinoma tissue labeling Axl with ab219651 at 1/4000 dilution, followed by Goat Anti-Rabbit IgG H&L (HRP) Ready to use. Cytoplasmic staining on cancer cells of human lung carcinoma (PMID : 25337673).

Counter stained with Hematoxylin.

Secondary antibody only control : Used PBS instead of primary antibody, secondary antibody is Goat Anti-Rabbit IgG H&L (HRP) Ready to use.

This data was developed using the same antibody clone in a different buffer formulation containing PBS, BSA, glycerol, and sodium azide (ab219651).

Perform heat mediated antigen retrieval with Tris/EDTA buffer pH 9.0 before commencing with IHC staining protocol.

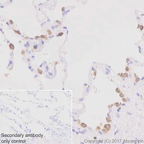
Immunohistochemistry (Formalin/PFA-fixed paraffin-embedded sections) - Anti-Axl antibody [EPR19880] - BSA and Azide free (AB240396)
  • IHC-P

Supplier Data

Immunohistochemistry (Formalin/PFA-fixed paraffin-embedded sections) - Anti-Axl antibody [EPR19880] - BSA and Azide free (AB240396)

Immunohistochemical analysis of paraffin-embedded human lung tissue labeling Axl with ab219651 at 1/4000 dilution, followed by Goat Anti-Rabbit IgG H&L (HRP) Ready to use. Sporadic cytoplasmic staining on human lung.

Counter stained with Hematoxylin.

Secondary antibody only control : Used PBS instead of primary antibody, secondary antibody is Goat Anti-Rabbit IgG H&L (HRP) Ready to use.

This data was developed using the same antibody clone in a different buffer formulation containing PBS, BSA, glycerol, and sodium azide (ab219651).

Perform heat mediated antigen retrieval with Tris/EDTA buffer pH 9.0 before commencing with IHC staining protocol.

Immunohistochemistry (Formalin/PFA-fixed paraffin-embedded sections) - Anti-Axl antibody [EPR19880] - BSA and Azide free (AB240396)
  • IHC-P

Supplier Data

Immunohistochemistry (Formalin/PFA-fixed paraffin-embedded sections) - Anti-Axl antibody [EPR19880] - BSA and Azide free (AB240396)

Immunohistochemical analysis of paraffin-embedded human adipose tissue labeling Axl with ab219651 at 1/4000 dilution, followed by Goat Anti-Rabbit IgG H&L (HRP) Ready to use.

Negative control : No staining on human adipose tissues (PMID : 26573603).

Counter stained with Hematoxylin.

This data was developed using the same antibody clone in a different buffer formulation containing PBS, BSA, glycerol, and sodium azide (ab219651).

Perform heat mediated antigen retrieval with Tris/EDTA buffer pH 9.0 before commencing with IHC staining protocol.

Immunohistochemistry (Formalin/PFA-fixed paraffin-embedded sections) - Anti-Axl antibody [EPR19880] - BSA and Azide free (AB240396)
  • IHC-P

Supplier Data

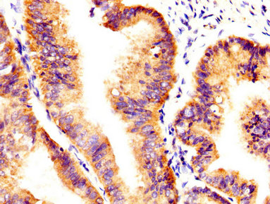
Immunohistochemistry (Formalin/PFA-fixed paraffin-embedded sections) - Anti-Axl antibody [EPR19880] - BSA and Azide free (AB240396)

Immunohistochemical analysis of paraffin-embedded human breast and breast carcinoma tissue labeling Axl with ab219651 at 1/4000 dilution, followed by Goat Anti-Rabbit IgG H&L (HRP) Ready to use. Cytoplasmic staining on cancer cells of the human breast carcinoma, and the pericarcinous tissue was nearly negative (magnification x150) (PMID : 25337673).

Counter stained with Hematoxylin.

Secondary antibody only control : Used PBS instead of primary antibody, secondary antibody is Goat Anti-Rabbit IgG H&L (HRP) Ready to use.

This data was developed using the same antibody clone in a different buffer formulation containing PBS, BSA, glycerol, and sodium azide (ab219651).

Perform heat mediated antigen retrieval with Tris/EDTA buffer pH 9.0 before commencing with IHC staining protocol.

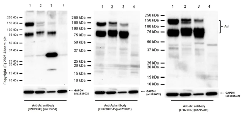
Western blot - Anti-Axl antibody [EPR19880] - BSA and Azide free (AB240396)
  • WB

Lab

Western blot - Anti-Axl antibody [EPR19880] - BSA and Azide free (AB240396)

This data was developed using ab219651, the same antibody clone in a different buffer formulation.

Blocking and diluting buffer and concentration : 5% NFDM/TBST.

ab219651 exhibits low sensitivity in western blot. It is recommended to use ab259831 or ab215205 as alternatives or to optimize experimental conditions by increasing the sample loading amount, using a lower antibody dilution ratio, and employing femtogram-level sensitivity substrates.

Lanes 1 - 3:

Western blot - Anti-Axl antibody [EPR19880] (<a href='/en-us/products/primary-antibodies/axl-antibody-epr19880-ab219651'>ab219651</a>) at 1/1000 dilution

Lanes 5 - 7:

Western blot - Anti-Axl antibody [EPR23892-15] (<a href='/en-us/products/primary-antibodies/axl-antibody-epr23892-15-ab259831'>ab259831</a>) at 1/1000 dilution

Lanes 9 - 11:

Western blot - Anti-Axl antibody [EPR21107] (<a href='/en-us/products/primary-antibodies/axl-antibody-epr21107-ab215205'>ab215205</a>) at 1/1000 dilution

Lanes 1, 5 and 9:

HeLa (human cervix adenocarcinoma epithelial cell) whole cell lysate 20 µg

Lanes 2, 6 and 9:

HUVEC (human umbilical vein endothelial cell line) whole cell lysate 20 µg

Lanes 3, 7 and 11:

A549 (Human lung carcinoma epithelial cell) whole cell lysate 20 µg

Lanes 4, 8 and 12:

Jurkat (human T cell leukemia cell line from peripheral blood) whole cell lysate at 20 µg

Secondary

All lanes:

Western blot - Goat Anti-Rabbit IgG H&L (HRP) (<a href='/en-us/products/secondary-antibodies/goat-rabbit-igg-h-l-hrp-ab97051'>ab97051</a>) at 1/20000 dilution

Predicted band size: 98 kDa

Observed band size: 80 kDa,140 kDa

false

Exposure time: 180s

Key facts

Host species

Rabbit

Clonality

Monoclonal

Clone number

EPR19880

Isotype

IgG

Carrier free

Yes

Reacts with

Human

Applications

WB, IHC-P

applications

Immunogen

The exact immunogen used to generate this antibody is proprietary information.

Reactivity data

{ "title": "Reactivity Data", "filters": { "stats": ["", "Species", "Dilution Info", "Notes"], "tabs": { "all-applications": {"fullname" : "All Applications", "shortname": "All Applications"}, "WB" : {"fullname" : "Western blot", "shortname":"WB"}, "IHCP" : {"fullname" : "Immunohistochemistry (Formalin/PFA-fixed paraffin-embedded sections)", "shortname":"IHC-P"} }, "product-promise": { "all": "all", "testedAndGuaranteed": "tested", "guaranteed": "expected", "predicted": "predicted", "notRecommended": "not-recommended" } }, "values": { "Human": { "WB-species-checked": "testedAndGuaranteed", "WB-species-dilution-info": "", "WB-species-notes": "<p>Detection of endogenous expression of AXL in WB will need optimization. Under our experimental conditions we could not detect endogenous AXL in human cell and tissue lysates.</p><p><a href='/en-us/products/primary-antibodies/axl-antibody-epr19880-ab219651'>ab219651</a> exhibits low sensitivity in western blot. It is recommended to use <a href='/en-us/products/primary-antibodies/axl-antibody-epr23892-15-ab259831'>ab259831</a> or <a href='/en-us/products/primary-antibodies/axl-antibody-epr21107-ab215205'>ab215205</a> as alternatives or to optimize experimental conditions by increasing the sample loading amount, using a lower antibody dilution ratio, and employing femtogram-level sensitivity substrates.</p>", "IHCP-species-checked": "testedAndGuaranteed", "IHCP-species-dilution-info": "", "IHCP-species-notes": "<p></p>" } } }

Product details

ab240396 is the carrier-free version of ab219651.

Patented technology
Our RabMAb® technology is a patented hybridoma-based technology for making rabbit monoclonal antibodies. For details on our patents, please refer to RabMAb® patents.

What are the advantages of a recombinant monoclonal antibody?
This product is a recombinant monoclonal antibody, which offers several advantages including:

  • - High batch-to-batch consistency and reproducibility
  • - Improved sensitivity and specificity
  • - Long-term security of supply
  • - Animal-free batch production

For more information, read more on recombinant antibodies.

Conjugation ready
Our carrier-free antibodies are typically supplied in a PBS-only formulation, purified and free of BSA, sodium azide and glycerol. This conjugation-ready format is designed for use with fluorochromes, metal isotopes, oligonucleotides, and enzymes, which makes them ideal for antibody labelling, functional and cell-based assays, flow-based assays (e.g. mass cytometry) and Multiplex Imaging applications.

Use our conjugation kits for antibody conjugates that are ready-to-use in as little as 20 minutes with 1 minute hands-on-time and 100% antibody recovery: available for fluorescent dyes, HRP, biotin and gold.

Compatibility
This product is compatible with the Maxpar® Antibody Labeling Kit from Fluidigm, without the need for antibody preparation. Maxpar® is a trademark of Fluidigm Canada Inc.

Properties and storage information

Form
Liquid
Purification technique
Affinity purification Protein A
Storage buffer
pH: 7.2 - 7.4 Constituents: PBS
Shipped at conditions
Blue Ice
Appropriate short-term storage conditions
+4°C
Appropriate long-term storage conditions
+4°C
Storage information
Do Not Freeze

Supplementary information

This supplementary information is collated from multiple sources and compiled automatically.

The Axl protein also known as AXL receptor tyrosine kinase plays a significant role in cell signaling. It has a molecular weight of approximately 98 kDa. Axl is a transmembrane receptor that is expressed in a variety of tissues including the immune system reproductive organs and the central nervous system. It is mainly recognized for transmitting signals from the extracellular matrix into the cytoplasm by binding with its ligand Gas6.
Biological function summary

Axl is important in mediating cell survival proliferation and migration. It functions as part of the TAM family of receptors which also includes Tyro3 and Mer. Axl often forms complexes with these receptors to facilitate efficient signaling. This interaction triggers phosphorylation events that activate downstream signaling proteins reinforcing its influence in cellular functions.

Pathways

Axl is deeply involved in the PI3K-Akt and MAPK signaling pathways which are central to cellular growth and survival. In these pathways Axl interacts closely with proteins like PI3K and Akt to regulate processes such as apoptosis and metabolism. Its interaction with these pathways places Axl as an important modulator of intracellular signaling cascades.

Axl has been implicated in cancer progression and immune response dysregulation. In many cancer types Axl overexpression links to tumor invasion metastasis and resistance to therapy. Moreover Axl’s role in autoimmune diseases becomes evident through its association with the Gas6 protein. Exploring these connections furthers understanding of how Axl's aberrant activity influences health and disease.

Product protocols

For this product, it's our understanding that no specific protocols are required. You can visit:

Target data

Receptor tyrosine kinase that transduces signals from the extracellular matrix into the cytoplasm by binding growth factor GAS6 and which is thus regulating many physiological processes including cell survival, cell proliferation, migration and differentiation. Ligand binding at the cell surface induces dimerization and autophosphorylation of AXL. Following activation by ligand, AXL binds and induces tyrosine phosphorylation of PI3-kinase subunits PIK3R1, PIK3R2 and PIK3R3; but also GRB2, PLCG1, LCK and PTPN11. Other downstream substrate candidates for AXL are CBL, NCK2, SOCS1 and TNS2. Recruitment of GRB2 and phosphatidylinositol 3 kinase regulatory subunits by AXL leads to the downstream activation of the AKT kinase. GAS6/AXL signaling plays a role in various processes such as endothelial cell survival during acidification by preventing apoptosis, optimal cytokine signaling during human natural killer cell development, hepatic regeneration, gonadotropin-releasing hormone neuron survival and migration, platelet activation, or regulation of thrombotic responses. Also plays an important role in inhibition of Toll-like receptors (TLRs)-mediated innate immune response.. (Microbial infection) Acts as a receptor for lassa virus and lymphocytic choriomeningitis virus, possibly through GAS6 binding to phosphatidyl-serine at the surface of virion envelope.. (Microbial infection) Acts as a receptor for Ebolavirus, possibly through GAS6 binding to phosphatidyl-serine at the surface of virion envelope.. (Microbial infection) Promotes Zika virus entry in glial cells, Sertoli cells and astrocytes (PubMed : 28076778, PubMed : 29379210, PubMed : 31311882). Additionally, Zika virus potentiates AXL kinase activity to antagonize type I interferon signaling and thereby promotes infection (PubMed : 28076778). Interferon signaling inhibition occurs via an SOCS1-dependent mechanism (PubMed : 29379210).
See full target information AXL

Publications (1)

Recent publications for all applications. Explore the full list and refine your search

Scientific reports 13:15508 PubMed37726363

2023

A 3D adrenocortical carcinoma tumor platform for preclinical modeling of drug response and matrix metalloproteinase activity.

Applications

Unspecified application

Species

Unspecified reactive species

Priya H Dedhia,Hemamylammal Sivakumar,Marco A Rodriguez,Kylie G Nairon,Joshua M Zent,Xuguang Zheng,Katie Jones,Liudmila V Popova,Jennifer L Leight,Aleksander Skardal
View all publications

Product promise

We are committed to supporting your work with high-quality reagents, and we're here for you every step of the way. In the unlikely event that one of our products does not perform as expected, you're protected by our Product Promise.
For full details, please see our Terms & Conditions

Please note: All products are 'FOR RESEARCH USE ONLY. NOT FOR USE IN DIAGNOSTIC OR THERAPEUTIC PROCEDURES'.

For licensing inquiries, please contact partnerships@abcam.com