JavaScript is disabled in your browser. Please enable JavaScript to view this website.
AB215205

Anti-Axl antibody [EPR21107]

  • KO Validated
  • RabMAb
  • Recombinant
  • 20ul selling size
  • What is this?

2

(2 Reviews)

|

(15 Publications)

Rabbit Recombinant Monoclonal Axl antibody. Suitable for WB and reacts with Mouse, Rat, Human samples. Cited in 15 publications.

View Alternative Names

UFO, AXL, Tyrosine-protein kinase receptor UFO, AXL oncogene

8 Images
Western blot - Anti-Axl antibody [EPR21107] (AB215205)
  • WB

Supplier Data

Western blot - Anti-Axl antibody [EPR21107] (AB215205)

Exposure time : Lane 1 : 6 seconds; Lane 2 : 3 seconds; Lane 3 : 46 seconds; Lanes 4-5 : 3 minutes; Lanes 6-7 : 10 seconds.

Blocking/Dilution buffer : 5% NFDM/TBST.

The 140 kDa band corresponds to the full-length Axl, while the 80 kDa band could be the cleaved form of Axl (PMID : 7822279 and 19541935).

The apparent molecular mass is higher than predicted, likely due to glycosylation (PMID : 23629654).

All lanes:

Western blot - Anti-Axl antibody [EPR21107] (ab215205) at 1/1000 dilution

Lane 1:

Human skeletal muscle lysate at 20 µg

Lane 2:

Rat muscle lysate at 10 µg

Lane 3:

Mouse muscle lysate at 10 µg

Lane 4:

4T1 (mouse mammary gland carcinoma cell line) whole cell lysate at 20 µg

Lane 5:

C2C12 (mouse myoblast cell line) whole cell lysate at 20 µg

Lane 6:

HeLa (human epithelial cell line from cervix adenocarcinoma) whole cell lysate at 20 µg

Lane 7:

HUVEC (human umbilical vein endothelial cell line) whole cell lysate at 20 µg

Secondary

All lanes:

Western blot - Goat Anti-Rabbit IgG H&L (HRP) (<a href='/en-us/products/secondary-antibodies/goat-rabbit-igg-h-l-hrp-ab97051'>ab97051</a>) at 1/50000 dilution

Predicted band size: 98 kDa

Observed band size: 140 kDa,80 kDa

true

Western blot - Anti-Axl antibody [EPR21107] (AB215205)
  • WB

Lab

Western blot - Anti-Axl antibody [EPR21107] (AB215205)

Lanes 1 - 4 : Merged signal (red and green). Green - ab215205 observed at 135 kDa. Red - loading control, ab7291 (Mouse anti-Alpha Tubulin [DM1A]) observed at 55kDa.

ab215205 was shown to react with Axl in western blot. Membranes were blocked in 3% milk in TBS-T (0.1% Tween®) before incubation with ab215205 and ab7291 (Mouse anti-Alpha Tubulin [DM1A]) overnight at 4°C at a 1 in 1000 Dilution and a 1 in 20000 dilution respectively. Blots were incubated with Goat anti-Rabbit IgG H&L (IRDye® 800CW) preabsorbed (ab216773) and Goat anti-Mouse IgG H&L (IRDye® 680RD) preabsorbed (ab216776) secondary antibodies at 1 in 20000 dilution for 1 hour at room temperature before imaging.

All lanes:

Western blot - Anti-Axl antibody [EPR21107] (ab215205) at 1/1000 dilution

Lane 1:

Wild-type HeLa cell lysate at 40 µg

Lane 2:

AXL knockout HeLa cell lysate at 40 µg

Lane 3:

Wild-type HeLa cell lysate at 20 µg

Lane 4:

AXL knockout HeLa cell lysate at 20 µg

Predicted band size: 98 kDa

Observed band size: 135 kDa

false

Western blot - Anti-Axl antibody [EPR21107] (AB215205)
  • WB

Unknown

Western blot - Anti-Axl antibody [EPR21107] (AB215205)

Western blot : Anti-Axl antibody [EPR21107] (ab215205) staining at 1 : 1000 dilution, shown in green; Anti-GAPDH antibody [6C5] - Loading Control (ab8245) shown in red.

ab215205 was shown to bind specifically to Axl. A band was observed at 140 kDa in wild-type HeLa cell lysates with no signal observed at this size in Axl CRISPR-Cas9 edited cell line ab261810 (CRISPR-Cas9 edited cell lysate ab257151). The band observed in the CRISPR-Cas9 edited lysate lane below 90 kDa is likely to represent a truncated form of Axl. This has not been investigated further and the functional properties of the gene product have not been determined.

Blots were washed four times in TBS-T, incubated with secondary antibodies for 1 h at room temperature, washed again four times then imaged. Secondary antibodies used were Goat anti-Rabbit IgG H&L (IRDye® 800CW) preabsorbed (ab216773) and Goat anti-Mouse IgG H&L (IRDye® 680RD) preabsorbed (ab216776) at 1/10000 dilution.

All lanes:

Western blot - Anti-Axl antibody [EPR21107] (ab215205) at 1/1000 dilution

Lane 1:

Wild-type HeLa cell lysate at 20 µg

Lane 2:

Western blot - Human AXL knockout HeLa cell line (<a href='/en-us/products/cell-lines/human-axl-knockout-hela-cell-line-ab261810'>ab261810</a>)

Lane 2:

Western blot - Human AXL knockout HeLa cell lysate (<a href='/en-us/products/cell-lysates/human-axl-knockout-hela-cell-lysate-ab257151'>ab257151</a>)

Lane 2:

AXL knockout HeLa cell lysate at 20 µg

Lane 3:

NCI-H1299 cell lysate at 20 µg

Lane 4:

Jurkat cell lysate at 20 µg

Predicted band size: 98 kDa

Observed band size: 80140 kDa

false

Western blot - Anti-Axl antibody [EPR21107] (AB215205)
  • WB

Supplier Data

Western blot - Anti-Axl antibody [EPR21107] (AB215205)

Blocking/Dilution buffer : 5% NFDM/TBST.

Negative control : JurkatThe 140 kDa band corresponds to the full-length Axl, while the 80 kDa band could be the cleaved form of Axl (PMID : 7822279 and 19541935).

The apparent molecular mass is higher than predicted, likely due to glycosylation (PMID : 23629654).

All lanes:

Western blot - Anti-Axl antibody [EPR21107] (ab215205) at 1/1000 dilution

Lane 1:

DU 145 (human prostate carcinoma cell line) whole cell lysate at 20 µg

Lane 2:

NCI-H1299 (human lung carcinoma cell line) whole cell lysate at 20 µg

Lane 3:

Jurkat (human T cell leukemia cell line from peripheral blood) whole cell lysate at 20 µg

Secondary

All lanes:

Western blot - Goat Anti-Rabbit IgG H&L (HRP) (<a href='/en-us/products/secondary-antibodies/goat-rabbit-igg-h-l-hrp-ab97051'>ab97051</a>) at 1/50000 dilution

Predicted band size: 98 kDa

Observed band size: 140 kDa,80 kDa

true

Exposure time: 29s

Western blot - Anti-Axl antibody [EPR21107] (AB215205)
  • WB

Lab

Western blot - Anti-Axl antibody [EPR21107] (AB215205)

Western blot : Anti-Axl antibody [EPR21107] (ab215205) staining at 1 : 1000 dilution, shown in green; Anti-GAPDH antibody [6C5] - Loading Control (ab8245) shown in red.

ab215205 was shown to bind specifically to Axl. A band was observed at 140 kDa in wild-type HeLa cell lysates with no signal observed at this size in Axl CRISPR-Cas9 edited cell line ab265392 (CRISPR-Cas9 edited cell lysate ab257152). The band observed in the CRISPR-Cas9 edited lysate lane below 90 kDa is likely to represent a truncated form of Axl. This has not been investigated further and the functional properties of the gene product have not been determined.

Blots were washed four times in TBS-T, incubated with secondary antibodies for 1 h at room temperature, washed again four times then imaged. Secondary antibodies used were Goat anti-Rabbit IgG H&L (IRDye® 800CW) preabsorbed (ab216773) and Goat anti-Mouse IgG H&L (IRDye® 680RD) preabsorbed (ab216776) at 1/10000 dilution.

All lanes:

Western blot - Anti-Axl antibody [EPR21107] (ab215205) at 1/1000 dilution

Lane 1:

Wild-type HeLa cell lysate at 20 µg

Lane 2:

AXL knockout HeLa cell lysate at 20 µg

Lane 2:

Western blot - Human AXL knockout HeLa cell line (<a href='/en-us/products/cell-lines/human-axl-knockout-hela-cell-line-ab265392'>ab265392</a>)

Lane 2:

Western blot - Human AXL knockout HeLa cell lysate (<a href='/en-us/products/cell-lysates/human-axl-knockout-hela-cell-lysate-ab257152'>ab257152</a>)

Lane 3:

NCI-H1299 cell lysate at 20 µg

Lane 4:

Jurkat cell lysate at 20 µg

Predicted band size: 98 kDa

Observed band size: 80140 kDa

false

Western blot - Anti-Axl antibody [EPR21107] (AB215205)
  • WB

Lab

Western blot - Anti-Axl antibody [EPR21107] (AB215205)

Western blot : Anti-Axl antibody [EPR21107] (ab215205) staining at 1 : 1000 dilution, shown in green; Anti-GAPDH antibody [6C5] - Loading Control (ab8245) shown in red.

ab215205 was shown to bind specifically to Axl. A band was observed at 140 kDa in wild-type HeLa cell lysates with no signal observed at this size in Axl CRISPR-Cas9 edited cell line ab261810 (CRISPR-Cas9 edited cell lysate ab257151). The band observed in the CRISPR-Cas9 edited lysate lane below 90 kDa is likely to represent a truncated form of Axl. This has not been investigated further and the functional properties of the gene product have not been determined.

Blots were washed four times in TBS-T, incubated with secondary antibodies for 1 h at room temperature, washed again four times then imaged. Secondary antibodies used were Goat anti-Rabbit IgG H&L (IRDye® 800CW) preabsorbed (ab216773) and Goat anti-Mouse IgG H&L (IRDye® 680RD) preabsorbed (ab216776) at 1/10000 dilution.

All lanes:

Western blot - Anti-Axl antibody [EPR21107] (ab215205) at 1/1000 dilution

Lane 1:

Wild-type HeLa cell lysate at 20 µg

Lane 2:

AXL knockout HeLa cell lysate at 20 µg

Lane 3:

NCI-H1299 cell lysate at 20 µg

Lane 4:

Jurkat cell lysate at 20 µg

Predicted band size: 98 kDa

Observed band size: 140 kDa

false

Western blot - Anti-Axl antibody [EPR21107] (AB215205)
  • WB

Lab

Western blot - Anti-Axl antibody [EPR21107] (AB215205)

False colour image of Western blot : Anti-Axl antibody [EPR21107] staining at 1/1000 dilution, shown in green; Mouse anti-GAPDH antibody [6C5] (ab8245) loading control staining at 1/20000 dilution, shown in red. In Western blot, ab215205 was shown to bind specifically to Axl. A band was observed at 135 kDa in wild-type A549 cell lysates with no signal observed at this size in AXL knockout cell line ab273744 (knockout cell lysate ab273780). To generate this image, wild-type and AXL knockout A549 cell lysates were analysed. First, samples were run on an SDS-PAGE gel then transferred onto a nitrocellulose membrane. Membranes were blocked in 3 % milk in TBS-0.1 % Tween® 20 (TBS-T) before incubation with primary antibodies overnight at 4 °C. Blots were washed four times in TBS-T, incubated with secondary antibodies for 1 h at room temperature, washed again four times then imaged. Secondary antibodies used were Goat anti-Rabbit IgG H&L 800CW and Goat anti-Mouse IgG H&L 680RD at 1/20000 dilution.

All lanes:

Western blot - Anti-Axl antibody [EPR21107] (ab215205) at 1/1000 dilution

Lane 1:

Wild-type A549 cell lysate at 20 µg

Lane 2:

AXL knockout A549 cell lysate at 20 µg

Lane 2:

Western blot - Human AXL knockout A549 cell line (<a href='/en-us/products/cell-lines/human-axl-knockout-a549-cell-line-ab273744'>ab273744</a>)

Lane 3:

A549 cell lysate at 20 µg

Lane 4:

Jurkat cell lysate at 20 µg

Predicted band size: 98 kDa

Observed band size: 135 kDa

false

Western blot - Anti-Axl antibody [EPR21107] (AB215205)
  • WB

Lab

Western blot - Anti-Axl antibody [EPR21107] (AB215205)

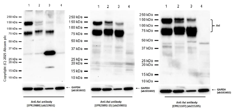
Blocking and diluting buffer and concentration : 5% NFDM/TBST.

ab219651 exhibits low sensitivity in western blot. It is recommended to use ab259831 or ab215205 as alternatives or to optimize experimental conditions by increasing the sample loading amount, using a lower antibody dilution ratio, and employing femtogram-level sensitivity substrates.

Lanes 1 - 3:

Western blot - Anti-Axl antibody [EPR19880] (<a href='/en-us/products/primary-antibodies/axl-antibody-epr19880-ab219651'>ab219651</a>) at 1/1000 dilution

Lanes 5 - 7:

Western blot - Anti-Axl antibody [EPR23892-15] (<a href='/en-us/products/primary-antibodies/axl-antibody-epr23892-15-ab259831'>ab259831</a>) at 1/1000 dilution

Lanes 9 - 11:

Western blot - Anti-Axl antibody [EPR21107] (ab215205) at 1/1000 dilution

Lanes 1, 5 and 9:

HeLa (human cervix adenocarcinoma epithelial cell) whole cell lysate 20 µg

Lanes 2, 6 and 9:

HUVEC (human umbilical vein endothelial cell line) whole cell lysate 20 µg

Lanes 3, 7 and 11:

A549 (Human lung carcinoma epithelial cell) whole cell lysate 20 µg

Lanes 4, 8 and 12:

Jurkat (human T cell leukemia cell line from peripheral blood) whole cell lysate at 20 µg

Secondary

All lanes:

Western blot - Goat Anti-Rabbit IgG H&L (HRP) (<a href='/en-us/products/secondary-antibodies/goat-rabbit-igg-h-l-hrp-ab97051'>ab97051</a>) at 1/20000 dilution

Predicted band size: 98 kDa

Observed band size: 80 kDa,140 kDa

false

Exposure time: 180s

Key facts

Host species

Rabbit

Clonality

Monoclonal

Clone number

EPR21107

Isotype

IgG

Carrier free

No

Reacts with

Mouse, Rat, Human

Applications

WB

applications

Immunogen

The exact immunogen used to generate this antibody is proprietary information.

Reactivity data

{ "title": "Reactivity Data", "filters": { "stats": ["", "Species", "Dilution Info", "Notes"], "tabs": { "all-applications": {"fullname" : "All Applications", "shortname": "All Applications"}, "WB" : {"fullname" : "Western blot", "shortname":"WB"} }, "product-promise": { "all": "all", "testedAndGuaranteed": "tested", "guaranteed": "expected", "predicted": "predicted", "notRecommended": "not-recommended" } }, "values": { "Human": { "WB-species-checked": "testedAndGuaranteed", "WB-species-dilution-info": "1/1000", "WB-species-notes": "<p></p>" }, "Mouse": { "WB-species-checked": "testedAndGuaranteed", "WB-species-dilution-info": "1/1000", "WB-species-notes": "<p></p>" }, "Rat": { "WB-species-checked": "testedAndGuaranteed", "WB-species-dilution-info": "1/1000", "WB-species-notes": "<p></p>" } } }

Product details

Patented technology
Our RabMAb® technology is a patented hybridoma-based technology for making rabbit monoclonal antibodies. For details on our patents, please refer to RabMAb® patents.

What are the advantages of a recombinant monoclonal antibody?
This product is a recombinant monoclonal antibody, which offers several advantages including:

  • - High batch-to-batch consistency and reproducibility
  • - Improved sensitivity and specificity
  • - Long-term security of supply
  • - Animal-free batch production

For more information, read more on recombinant antibodies.

Properties and storage information

Form
Liquid
Purification technique
Affinity purification Protein A
Storage buffer
pH: 7.2 - 7.4 Preservative: 0.01% Sodium azide Constituents: PBS, 40% Glycerol (glycerin, glycerine), 0.05% BSA
Shipped at conditions
Blue Ice
Appropriate short-term storage duration
1-2 weeks
Appropriate short-term storage conditions
+4°C
Appropriate long-term storage conditions
-20°C
Aliquoting information
Upon delivery aliquot
Storage information
Avoid freeze / thaw cycle

Supplementary information

This supplementary information is collated from multiple sources and compiled automatically.

The Axl protein also known as AXL receptor tyrosine kinase plays a significant role in cell signaling. It has a molecular weight of approximately 98 kDa. Axl is a transmembrane receptor that is expressed in a variety of tissues including the immune system reproductive organs and the central nervous system. It is mainly recognized for transmitting signals from the extracellular matrix into the cytoplasm by binding with its ligand Gas6.
Biological function summary

Axl is important in mediating cell survival proliferation and migration. It functions as part of the TAM family of receptors which also includes Tyro3 and Mer. Axl often forms complexes with these receptors to facilitate efficient signaling. This interaction triggers phosphorylation events that activate downstream signaling proteins reinforcing its influence in cellular functions.

Pathways

Axl is deeply involved in the PI3K-Akt and MAPK signaling pathways which are central to cellular growth and survival. In these pathways Axl interacts closely with proteins like PI3K and Akt to regulate processes such as apoptosis and metabolism. Its interaction with these pathways places Axl as an important modulator of intracellular signaling cascades.

Axl has been implicated in cancer progression and immune response dysregulation. In many cancer types Axl overexpression links to tumor invasion metastasis and resistance to therapy. Moreover Axl’s role in autoimmune diseases becomes evident through its association with the Gas6 protein. Exploring these connections furthers understanding of how Axl's aberrant activity influences health and disease.

Product protocols

For this product, it's our understanding that no specific protocols are required. You can visit:

Target data

Receptor tyrosine kinase that transduces signals from the extracellular matrix into the cytoplasm by binding growth factor GAS6 and which is thus regulating many physiological processes including cell survival, cell proliferation, migration and differentiation. Ligand binding at the cell surface induces dimerization and autophosphorylation of AXL. Following activation by ligand, AXL binds and induces tyrosine phosphorylation of PI3-kinase subunits PIK3R1, PIK3R2 and PIK3R3; but also GRB2, PLCG1, LCK and PTPN11. Other downstream substrate candidates for AXL are CBL, NCK2, SOCS1 and TNS2. Recruitment of GRB2 and phosphatidylinositol 3 kinase regulatory subunits by AXL leads to the downstream activation of the AKT kinase. GAS6/AXL signaling plays a role in various processes such as endothelial cell survival during acidification by preventing apoptosis, optimal cytokine signaling during human natural killer cell development, hepatic regeneration, gonadotropin-releasing hormone neuron survival and migration, platelet activation, or regulation of thrombotic responses. Also plays an important role in inhibition of Toll-like receptors (TLRs)-mediated innate immune response.. (Microbial infection) Acts as a receptor for lassa virus and lymphocytic choriomeningitis virus, possibly through GAS6 binding to phosphatidyl-serine at the surface of virion envelope.. (Microbial infection) Acts as a receptor for Ebolavirus, possibly through GAS6 binding to phosphatidyl-serine at the surface of virion envelope.. (Microbial infection) Promotes Zika virus entry in glial cells, Sertoli cells and astrocytes (PubMed : 28076778, PubMed : 29379210, PubMed : 31311882). Additionally, Zika virus potentiates AXL kinase activity to antagonize type I interferon signaling and thereby promotes infection (PubMed : 28076778). Interferon signaling inhibition occurs via an SOCS1-dependent mechanism (PubMed : 29379210).
See full target information AXL

Publications (15)

Recent publications for all applications. Explore the full list and refine your search

Cancer biology & therapy 26:2558402 PubMed40947978

2025

USP7 overexpression prevents the progression of clear cell renal cell carcinoma by enhancing pyroptosis via TRIP12 deubiquitination.

Applications

Unspecified application

Species

Unspecified reactive species

Hongsheng Li,Yao Ning,Junjie Yu,Yiju Chen,Qiang He,Juan Jin

Journal of experimental & clinical cancer research : CR 44:11 PubMed39794830

2025

PRMT5 inhibition has a potent anti-tumor activity against adenoid cystic carcinoma of salivary glands.

Applications

Unspecified application

Species

Unspecified reactive species

Vasudha Mishra,Alka Singh,Michael Korzinkin,Xiangying Cheng,Claudia Wing,Viktoria Sarkisova,Ashwin L Koppayi,Alexandra Pogorelskaya,Oksana Glushchenko,Manu Sundaresan,Venkat Thodima,Jack Carter,Koichi Ito,Peggy Scherle,Anna Trzcinska,Ivan Ozerov,Everett E Vokes,Grayson Cole,Frank W Pun,Le Shen,Yuxuan Miao,Alexander T Pearson,Mark W Lingen,Bruce Ruggeri,Ari J Rosenberg,Alex Zhavoronkov,Nishant Agrawal,Evgeny Izumchenko

The Journal of clinical investigation 135: PubMed39774471

2025

Tumor-initiating cells escape tumor immunity via CCL8 from tumor-associated macrophages in mice.

Applications

Unspecified application

Species

Unspecified reactive species

Shuang Chen,Chensong Huang,Kang Li,Maosheng Cheng,Caihua Zhang,Jianqi Xiong,Guoli Tian,Ruoxing Zhou,Rongsong Ling,Xiaochen Wang,Gan Xiong,Zhihui Zhang,Jieyi Ma,Yan Zhu,Bin Zhou,Liang Peng,Zhenwei Peng,Heping Li,Demeng Chen

Cell death & disease 15:623 PubMed39187498

2024

TREM2-dependent activation of microglial cell protects photoreceptor cell during retinal degeneration via PPARγ and CD36.

Applications

Unspecified application

Species

Unspecified reactive species

Wenchuan Zhou,Jincan He,Guiyan Shen,Ya Liu,Peiquan Zhao,Jing Li

CNS neuroscience & therapeutics 30:e14742 PubMed38715283

2024

Inhibition of ADORA3 promotes microglial phagocytosis and alleviates chronic ischemic white matter injury.

Applications

Unspecified application

Species

Unspecified reactive species

Yuhao Xu,Limoran Tang,Chao Zhou,Liang Sun,Yujie Hu,Zhi Zhang,Shengnan Xia,Xinyu Bao,Haiyan Yang,Yun Xu

Experimental and therapeutic medicine 26:448 PubMed37614420

2023

Triple‑negative breast cancer cells that survive ionizing radiation exhibit an Axl‑dependent aggressive radioresistant phenotype.

Applications

Unspecified application

Species

Unspecified reactive species

Jianfeng Ji,Yuqin Ding,Yue Kong,Min Fang,Xiaofu Yu,Xiaojing Lai,Qing Gu

Nature communications 14:4162 PubMed37443109

2023

Inhibition of AXL receptor tyrosine kinase enhances brown adipose tissue functionality in mice.

Applications

Unspecified application

Species

Unspecified reactive species

Vissarion Efthymiou,Lianggong Ding,Miroslav Balaz,Wenfei Sun,Lucia Balazova,Leon G Straub,Hua Dong,Eric Simon,Adhideb Ghosh,Aliki Perdikari,Svenja Keller,Umesh Ghoshdastider,Carla Horvath,Caroline Moser,Bradford Hamilton,Heike Neubauer,Christian Wolfrum

Cell discovery 9:2 PubMed36609376

2023

Extracellular vesicles mediate antibody-resistant transmission of SARS-CoV-2.

Applications

Unspecified application

Species

Unspecified reactive species

Bingqing Xia,Xiaoyan Pan,Rong-Hua Luo,Xurui Shen,Shuangqu Li,Yi Wang,Xiaoli Zuo,Yan Wu,Yingqi Guo,Gengfu Xiao,Qiguang Li,Xin-Yan Long,Xiao-Yan He,Hong-Yi Zheng,Ying Lu,Wei Pang,Yong-Tang Zheng,Jia Li,Lei-Ke Zhang,Zhaobing Gao

Acta pharmacologica Sinica 44:984-998 PubMed36450791

2022

Circulating small extracellular vesicles promote proliferation and migration of vascular smooth muscle cells via AXL and MerTK activation.

Applications

Unspecified application

Species

Unspecified reactive species

Young Joo Lee,Miso Park,Hyun Young Kim,Jin-Ki Kim,Won-Ki Kim,Sung Chul Lim,Keon Wook Kang

Molecular cancer therapeutics 22:179-191 PubMed36399631

2022

Preclinical Characterization of XL092, a Novel Receptor Tyrosine Kinase Inhibitor of MET, VEGFR2, AXL, and MER.

Applications

Unspecified application

Species

Unspecified reactive species

Jeff Hsu,Colin Chong,Jeffrey Serrill,Levina Goon,Joan Balayan,Eric N Johnson,Grachelle Lorenzana,Sharon Wu,Kevin G Leong,Theodore J Yun,Yong Wang,Faming Jiang,Lynne Bannen,Peter Lamb,Wei Xu,Peiwen Yu
View all publications

Product promise

We are committed to supporting your work with high-quality reagents, and we're here for you every step of the way. In the unlikely event that one of our products does not perform as expected, you're protected by our Product Promise.
For full details, please see our Terms & Conditions

Please note: All products are 'FOR RESEARCH USE ONLY. NOT FOR USE IN DIAGNOSTIC OR THERAPEUTIC PROCEDURES'.

For licensing inquiries, please contact partnerships@abcam.com