JavaScript is disabled in your browser. Please enable JavaScript to view this website.
AB302718

Anti-AXL (phospho Y702) + MERTK (phospho Y753) + TYRO3 (phospho Y685) antibody [EPR26140-66]

Be the first to review this product! Submit a review

|

(0 Publication)

Rabbit Recombinant Monoclonal Axl phospho Y702 antibody. Suitable for WB, IP, Dot and reacts with Human, Transfected cell lysate - Human, Synthetic peptide samples.

View Alternative Names

UFO, AXL, Tyrosine-protein kinase receptor UFO, AXL oncogene

5 Images
Immunoprecipitation - Anti-AXL (phospho Y702) + MERTK (phospho Y753) + TYRO3 (phospho Y685) antibody [EPR26140-66] (AB302718)
  • IP

Supplier Data

Immunoprecipitation - Anti-AXL (phospho Y702) + MERTK (phospho Y753) + TYRO3 (phospho Y685) antibody [EPR26140-66] (AB302718)

AXL (phospho Y702)+MERTK (phospho Y753)+TYRO3 (phospho Y685) was immunoprecipitated from 0.35 mg NCI-H1299 (human lung carcinoma epithelial cell) treated with 100ng/ml Gas6 and 10mM pervanadate for 10 minutes whole cell lysate with ab302718 at 1/30 dilution (2ug in 0.35mg lysates). Western blot was performed on the immunoprecipitate using ab302718 at 1/1000 dilution. VeriBlot for IP secondary antibody(HRP)(ab131366) was used at 1/5000 dilution. Lane 1 : NCI-H1299 treated with 100ng/ml Gas6 and 10mM pervanadate for 10 minutes whole cell lysate Lane 2 : ab302718 IP in NCI-H1299 treated with 100ng/ml Gas6 and 10mM pervanadate for 10 minutes whole cell lysate Lane 3 : Rabbit monoclonal IgG (ab172730) instead of ab302718 in NCI-H1299 treated with 100ng/ml Gas6 and 10mM pervanadate for 10 minutes whole cell lysate Blocking and dilution buffer and concentration : 5% NFDM/TBST. Exposure time : 3 minutes. This blot was developed using a higher sensitivity ECL substrate.

All lanes:

Immunoprecipitation - Anti-AXL (phospho Y702) + MERTK (phospho Y753) + TYRO3 (phospho Y685) antibody [EPR26140-66] (ab302718) at 1/30 dilution

All lanes:

NCI-H1299 whole cell lysate at 10 µg

Secondary

All lanes:

Immunoprecipitation - VeriBlot for IP Detection Reagent (HRP) (<a href='/en-us/products/reagents/veriblot-for-ip-detection-reagent-hrp-ab131366'>ab131366</a>) at 1/5000 dilution

Observed band size: 138 kDa

true

Exposure time: 3min

Western blot - Anti-AXL (phospho Y702) + MERTK (phospho Y753) + TYRO3 (phospho Y685) antibody [EPR26140-66] (AB302718)
  • WB

Supplier Data

Western blot - Anti-AXL (phospho Y702) + MERTK (phospho Y753) + TYRO3 (phospho Y685) antibody [EPR26140-66] (AB302718)

Blocking and diluting buffer and concentration : 5% NFDM/TBST. Immunoprecipitation experiments were performed with an Anti-6X His tag® antibody.  Recombinant Anti-AXL (phospho Y702)+MERTK (phospho Y753)+TYRO3 (phospho Y685) antibody [EPR26140-66] at 1 : 1000 dilution. In Western blot, anti-Axl antibody (ab219651) staining at 1/1000 dilution. Exposure time : 180 seconds.

All lanes:

Western blot - Anti-AXL (phospho Y702) + MERTK (phospho Y753) + TYRO3 (phospho Y685) antibody [EPR26140-66] (ab302718) at 1/1000 dilution

Lane 1:

Untreated 293T cells transfected with a human AXL expression vector containing a myc-His-tag® lysate

Lane 2:

Gas6/pervanadate treated 293T cells transfected with a human AXL expression vector containing a myc-His-tag®

Lane 3:

Untreated 293T cells transfected with a human AXL(Y702A mutant) expression vector containing a myc-His-tag® lysate

Lane 4:

Gas6/pervanadate 293T cells transfected with a human AXL(Y702A mutant) expression vector containing a myc-His-tag®

Secondary

All lanes:

Western blot - Goat Anti-Rabbit IgG H&L (HRP) (<a href='/en-us/products/secondary-antibodies/goat-rabbit-igg-h-l-hrp-ab97051'>ab97051</a>) at 1/20000 dilution

Observed band size: 138 kDa

false

Exposure time: 180s

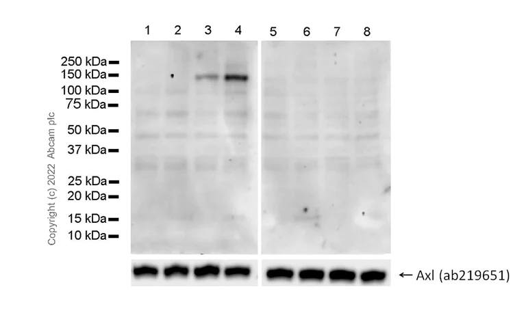
Western blot - Anti-AXL (phospho Y702) + MERTK (phospho Y753) + TYRO3 (phospho Y685) antibody [EPR26140-66] (AB302718)
  • WB

Supplier Data

Western blot - Anti-AXL (phospho Y702) + MERTK (phospho Y753) + TYRO3 (phospho Y685) antibody [EPR26140-66] (AB302718)

Blocking and diluting buffer and concentration : 5% NFDM/TBST

The molecular weight observed is consistent with what has been described in the literature (PMID : 32589311).

In Western blot, anti-Axl antibody (ab219651) staining at 1/1000 dilution.

This blot was developed using a high sensitivity ECL substrate. The high-sensitivity ECL substrate used allows for the detection of proteins in the mid-femtogram range.

All lanes:

Western blot - Anti-AXL (phospho Y702) + MERTK (phospho Y753) + TYRO3 (phospho Y685) antibody [EPR26140-66] (ab302718) at 1/1000 dilution

Lane 1:

Untreated NCI-H1299 whole cell lysate (Untreated membrane)

Lane 2:

NCI-H1299 treated with 100 ng/ml Gas6 for 10 minutes, whole cell lysate (Untreated membrane)

Lane 3:

NCI-H1299 treated with 10mM pervanadate for 10 minutes, whole cell lysate (Untreated membrane) at 40 µg

Lane 4:

NCI-H1299 treated with 100 ng/ml Gas6 and 10mM pervanadate for 10 minutes, whole cell lysate (Untreated membrane) at 40 µg

Lane 5:

Untreated NCI-H1299 whole cell lysate (Phosphatase treated membrane)

Lane 6:

NCI-H1299 treated with 100 ng/ml Gas6 for 10 minutes, whole cell lysate (Phosphatase treated membrane)

Lane 7:

NCI-H1299 treated with 10mM pervanadate for 10 minutes, whole cell lysate (Phosphatase treated membrane)

Lane 8:

NCI-H1299 treated with 100 ng/ml Gas6 and 10mM pervanadate for 10 minutes, whole cell lysate (Phosphatase treated membrane)

Secondary

All lanes:

Western blot - Goat Anti-Rabbit IgG H&L (HRP) (<a href='/en-us/products/secondary-antibodies/goat-rabbit-igg-h-l-hrp-ab97051'>ab97051</a>) at 1/20000 dilution

Observed band size: 138 kDa

true

Exposure time: 136s

Dot Blot - Anti-AXL (phospho Y702) + MERTK (phospho Y753) + TYRO3 (phospho Y685) antibody [EPR26140-66] (AB302718)
  • Dot

Supplier Data

Dot Blot - Anti-AXL (phospho Y702) + MERTK (phospho Y753) + TYRO3 (phospho Y685) antibody [EPR26140-66] (AB302718)

Dot blot analysis of AXL (phospho Y702)+MERTK (phospho Y753)+TYRO3 (phospho Y685) using ab302718 at 1 : 1000 (0.526 ug/ml) followed by a Goat Anti-Rabbit IgG, (H+L), Peroxidase conjugated (ab97051) at 1 : 100,000 dilution. Exposure time : 3 minutes. Blocking and diluting buffer and concentration : 5% NFDM/TBST. Lane 1 : AXL (Phospho Y698+Y702+Y703) peptide Lane 2 : AXL (Phospho Y698+Y702) peptide Lane 3 : AXL (Phospho Y698+Y703) peptide Lane 4 : AXL (Phospho Y702+Y703) peptide Lane 5 : AXL (Phospho Y698) peptide Lane 6 : AXL (Phospho Y703) peptide Lane 7 : AXL (Phospho Y702) peptide a Lane 8 : AXL (Phospho Y702) peptide b Lane 9 : AXL non-phospho peptide a Lane 10 : AXL non-phospho peptide b

Dot Blot - Anti-AXL (phospho Y702) + MERTK (phospho Y753) + TYRO3 (phospho Y685) antibody [EPR26140-66] (AB302718)
  • Dot

Supplier Data

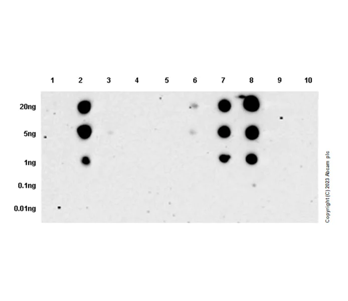
Dot Blot - Anti-AXL (phospho Y702) + MERTK (phospho Y753) + TYRO3 (phospho Y685) antibody [EPR26140-66] (AB302718)

Dot blot analysis of AXL (phospho Y702)+MERTK (phospho Y753)+TYRO3 (phospho Y685) using ab302718 at 1 : 1000 (0.526 ug/ml) followed by a Goat Anti-Rabbit IgG, (H+L), Peroxidase conjugated (ab97051) at 1 : 100,000 dilution. Exposure time : 3 minutes. Blocking and diluting buffer and concentration : 5% NFDM/TBST. Lane 1 : AXL (Phospho Y702) peptide a Lane 2 : AXL (Phospho Y702) peptide b Lane 3 : AXL non-phospho peptide Lane 4 : MERTK (Phospho Y753) peptide Lane 5 : TYRO3 (Phospho Y685) peptide

  • Carrier free

    Anti-AXL (pY702) + MERTK (pY753) + TYRO3 (pY685) antibody [EPR26140-66] - BSA and Azide free

Key facts

Host species

Rabbit

Clonality

Monoclonal

Clone number

EPR26140-66

Isotype

IgG

Carrier free

No

Reacts with

Human

Applications

IP, WB, Dot

applications

Immunogen

The exact immunogen used to generate this antibody is proprietary information.

Specificity

This antibody cross-reacts with phosphorylated MERTK Y753 and TYRO3 Y685 based on dot blot data.

Reactivity data

{ "title": "Reactivity Data", "filters": { "stats": ["", "Species", "Dilution Info", "Notes"], "tabs": { "all-applications": {"fullname" : "All Applications", "shortname": "All Applications"}, "IHCP" : {"fullname" : "Immunohistochemistry (Formalin/PFA-fixed paraffin-embedded sections)", "shortname":"IHC-P"}, "WB" : {"fullname" : "Western blot", "shortname":"WB"}, "IP" : {"fullname" : "Immunoprecipitation", "shortname":"IP"}, "ICCIF" : {"fullname" : "Immunocytochemistry/ Immunofluorescence", "shortname":"ICC/IF"}, "Dot" : {"fullname" : "Dot Blot", "shortname":"Dot"}, "FlowCytIntra" : {"fullname" : "Flow Cytometry (Intracellular)", "shortname":"Flow Cyt (Intra)"} }, "product-promise": { "all": "all", "testedAndGuaranteed": "tested", "guaranteed": "expected", "predicted": "predicted", "notRecommended": "not-recommended" } }, "values": { "Human": { "IHCP-species-checked": "notRecommended", "IHCP-species-dilution-info": "", "IHCP-species-notes": "<p></p>", "WB-species-checked": "testedAndGuaranteed", "WB-species-dilution-info": "1/1000", "WB-species-notes": "<p></p>", "IP-species-checked": "testedAndGuaranteed", "IP-species-dilution-info": "1/30", "IP-species-notes": "<p></p>", "ICCIF-species-checked": "notRecommended", "ICCIF-species-dilution-info": "", "ICCIF-species-notes": "<p></p>", "Dot-species-checked": "guaranteed", "Dot-species-dilution-info": "", "Dot-species-notes": "", "FlowCytIntra-species-checked": "notRecommended", "FlowCytIntra-species-dilution-info": "", "FlowCytIntra-species-notes": "<p></p>" }, "Mouse": { "IHCP-species-checked": "notRecommended", "IHCP-species-dilution-info": "", "IHCP-species-notes": "<p></p>", "WB-species-checked": "notRecommended", "WB-species-dilution-info": "", "WB-species-notes": "", "IP-species-checked": "notRecommended", "IP-species-dilution-info": "", "IP-species-notes": "", "ICCIF-species-checked": "notRecommended", "ICCIF-species-dilution-info": "", "ICCIF-species-notes": "", "Dot-species-checked": "notRecommended", "Dot-species-dilution-info": "", "Dot-species-notes": "", "FlowCytIntra-species-checked": "notRecommended", "FlowCytIntra-species-dilution-info": "", "FlowCytIntra-species-notes": "" }, "Rat": { "IHCP-species-checked": "notRecommended", "IHCP-species-dilution-info": "", "IHCP-species-notes": "<p></p>", "WB-species-checked": "notRecommended", "WB-species-dilution-info": "", "WB-species-notes": "", "IP-species-checked": "notRecommended", "IP-species-dilution-info": "", "IP-species-notes": "", "ICCIF-species-checked": "notRecommended", "ICCIF-species-dilution-info": "", "ICCIF-species-notes": "", "Dot-species-checked": "notRecommended", "Dot-species-dilution-info": "", "Dot-species-notes": "", "FlowCytIntra-species-checked": "notRecommended", "FlowCytIntra-species-dilution-info": "", "FlowCytIntra-species-notes": "" }, "Synthetic peptide": { "IHCP-species-checked": "notRecommended", "IHCP-species-dilution-info": "", "IHCP-species-notes": "", "WB-species-checked": "notRecommended", "WB-species-dilution-info": "", "WB-species-notes": "", "IP-species-checked": "notRecommended", "IP-species-dilution-info": "", "IP-species-notes": "", "ICCIF-species-checked": "notRecommended", "ICCIF-species-dilution-info": "", "ICCIF-species-notes": "", "Dot-species-checked": "testedAndGuaranteed", "Dot-species-dilution-info": "1/1000", "Dot-species-notes": "<p></p>", "FlowCytIntra-species-checked": "notRecommended", "FlowCytIntra-species-dilution-info": "", "FlowCytIntra-species-notes": "" }, "Transfected cell lysate - Human": { "IHCP-species-checked": "notRecommended", "IHCP-species-dilution-info": "", "IHCP-species-notes": "", "WB-species-checked": "testedAndGuaranteed", "WB-species-dilution-info": "1/1000", "WB-species-notes": "<p></p>", "IP-species-checked": "notRecommended", "IP-species-dilution-info": "", "IP-species-notes": "", "ICCIF-species-checked": "notRecommended", "ICCIF-species-dilution-info": "", "ICCIF-species-notes": "", "Dot-species-checked": "notRecommended", "Dot-species-dilution-info": "", "Dot-species-notes": "", "FlowCytIntra-species-checked": "notRecommended", "FlowCytIntra-species-dilution-info": "", "FlowCytIntra-species-notes": "" } } }

Product details

Patented technology
Our RabMAb® technology is a patented hybridoma-based technology for making rabbit monoclonal antibodies. For details on our patents, please refer to RabMAb® patents.

What are the advantages of a recombinant monoclonal antibody?
This product is a recombinant monoclonal antibody, which offers several advantages including:

  • - High batch-to-batch consistency and reproducibility
  • - Improved sensitivity and specificity
  • - Long-term security of supply
  • - Animal-free batch production

For more information, read more on recombinant antibodies.

Properties and storage information

Form
Liquid
Purification technique
Affinity purification Protein A
Storage buffer
pH: 7.2 - 7.4 Preservative: 0.01% Sodium azide Constituents: PBS, 40% Glycerol (glycerin, glycerine), 0.05% BSA
Shipped at conditions
Blue Ice
Appropriate short-term storage duration
1-2 weeks
Appropriate short-term storage conditions
+4°C
Appropriate long-term storage conditions
-20°C
Aliquoting information
Upon delivery aliquot
Storage information
Avoid freeze / thaw cycle

Supplementary information

This supplementary information is collated from multiple sources and compiled automatically.

Axl MERTK and TYRO3 are receptor tyrosine kinases collectively known as TAM receptors. These proteins play important roles in cell signaling with Axl weighing around 98 kDa MERTK approximately 110 kDa and TYRO3 approximately 93 kDa. They are expressed in various tissues including the immune system the nervous system and reproductive organs. TAM receptors depend on ligands like Gas6 and Protein S to carry out their signaling mechanisms which are essential for their function.
Biological function summary

Axl MERTK and TYRO3 contribute to diverse cellular processes such as cell survival proliferation and phagocytosis. They form complexes with their ligands triggering downstream signaling pathways that regulate these vital processes. These receptors also maintain homeostasis in various systems by regulating the clearance of apoptotic cells and controlling immune response. Their signaling pathway often involves phosphorylation events that transmit signals from the extracellular environment into the cell.

Pathways

These receptors mainly participate in the PI3K/AKT and MAPK pathways acting as key modulators in cell growth and immune response. TAM receptors interact with molecules like PI3K an important mediator in the AKT pathway facilitating cellular processes like metabolism growth and survival. Their interactions support critical feedback loops that balance cellular functions and immune system adaptability.

Dysregulation of Axl MERTK and TYRO3 associates with cancer and autoimmune diseases. Overexpression or underexpression of these receptors can lead to tumor progression or inadequate immune response respectively. In cancer overactivated Axl often partners with EGFR or MET leading to enhanced proliferation and metastasis of cancerous cells. In autoimmune disorders such as systemic lupus erythematosus MERTK dysregulation can result in improper clearance of apoptotic cells contributing to persistent inflammation and autoantibody production.

Product protocols

For this product, it's our understanding that no specific protocols are required. You can visit:

Target data

Receptor tyrosine kinase that transduces signals from the extracellular matrix into the cytoplasm by binding growth factor GAS6 and which is thus regulating many physiological processes including cell survival, cell proliferation, migration and differentiation. Ligand binding at the cell surface induces dimerization and autophosphorylation of AXL. Following activation by ligand, AXL binds and induces tyrosine phosphorylation of PI3-kinase subunits PIK3R1, PIK3R2 and PIK3R3; but also GRB2, PLCG1, LCK and PTPN11. Other downstream substrate candidates for AXL are CBL, NCK2, SOCS1 and TNS2. Recruitment of GRB2 and phosphatidylinositol 3 kinase regulatory subunits by AXL leads to the downstream activation of the AKT kinase. GAS6/AXL signaling plays a role in various processes such as endothelial cell survival during acidification by preventing apoptosis, optimal cytokine signaling during human natural killer cell development, hepatic regeneration, gonadotropin-releasing hormone neuron survival and migration, platelet activation, or regulation of thrombotic responses. Also plays an important role in inhibition of Toll-like receptors (TLRs)-mediated innate immune response.. (Microbial infection) Acts as a receptor for lassa virus and lymphocytic choriomeningitis virus, possibly through GAS6 binding to phosphatidyl-serine at the surface of virion envelope.. (Microbial infection) Acts as a receptor for Ebolavirus, possibly through GAS6 binding to phosphatidyl-serine at the surface of virion envelope.. (Microbial infection) Promotes Zika virus entry in glial cells, Sertoli cells and astrocytes (PubMed : 28076778, PubMed : 29379210, PubMed : 31311882). Additionally, Zika virus potentiates AXL kinase activity to antagonize type I interferon signaling and thereby promotes infection (PubMed : 28076778). Interferon signaling inhibition occurs via an SOCS1-dependent mechanism (PubMed : 29379210).
See full target information AXL phospho Y702

Additional targets

,

Product promise

We are committed to supporting your work with high-quality reagents, and we're here for you every step of the way. In the unlikely event that one of our products does not perform as expected, you're protected by our Product Promise.
For full details, please see our Terms & Conditions

Please note: All products are 'FOR RESEARCH USE ONLY. NOT FOR USE IN DIAGNOSTIC OR THERAPEUTIC PROCEDURES'.

For licensing inquiries, please contact partnerships@abcam.com