JavaScript is disabled in your browser. Please enable JavaScript to view this website.
AB167336

Anti-Azurocidin antibody

Be the first to review this product! Submit a review

|

(2 Publications)

Mouse Polyclonal Azurocidin antibody. Suitable for IHC-P, WB and reacts with Human samples. Cited in 2 publications. Immunogen corresponding to Recombinant Full Length Protein corresponding to Human Azurocidin.

View Alternative Names

Azurocidin, Cationic antimicrobial protein CAP37, Heparin-binding protein, HBP, hHBP, AZU1

3 Images
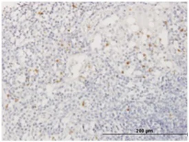
Immunohistochemistry (Formalin/PFA-fixed paraffin-embedded sections) - Anti-Azurocidin antibody (AB167336)
  • IHC-P

Unknown

Immunohistochemistry (Formalin/PFA-fixed paraffin-embedded sections) - Anti-Azurocidin antibody (AB167336)

Immunohistochemical analysis of Azurocidin expression in formalin-fixed paraffin-embedded Human lymph node tissue using ab167336 at 3 µg/ml dilution

Western blot - Anti-Azurocidin antibody (AB167336)
  • WB

Unknown

Western blot - Anti-Azurocidin antibody (AB167336)

All lanes:

Western blot - Anti-Azurocidin antibody (ab167336) at 1 µg/mL

All lanes:

Human spleen lysate at 50 µg

Secondary

All lanes:

Goat Anti-Mouse IgG HRP at 1/2500 dilution

Predicted band size: 26 kDa,30 kDa

false

Western blot - Anti-Azurocidin antibody (AB167336)
  • WB

Unknown

Western blot - Anti-Azurocidin antibody (AB167336)

All lanes:

Western blot - Anti-Azurocidin antibody (ab167336) at 1 µg/mL

Lane 1:

Azurocidin transfected 293T cell lysate at 15 µL

Lane 2:

non transfected 293T cell lysate at 15 µL

Secondary

All lanes:

Goat Anti-Mouse IgG HRP at 1/2500 dilution

Predicted band size: 26 kDa

false

Key facts

Host species

Mouse

Clonality

Polyclonal

Isotype

IgG

Carrier free

No

Reacts with

Human

Applications

WB, IHC-P

applications

Immunogen

Recombinant Full Length Protein corresponding to Human Azurocidin.

P20160

Reactivity data

{ "title": "Reactivity Data", "filters": { "stats": ["", "Species", "Dilution Info", "Notes"], "tabs": { "all-applications": {"fullname" : "All Applications", "shortname": "All Applications"}, "IHCP" : {"fullname" : "Immunohistochemistry (Formalin/PFA-fixed paraffin-embedded sections)", "shortname":"IHC-P"}, "WB" : {"fullname" : "Western blot", "shortname":"WB"}, "ICCIF" : {"fullname" : "Immunocytochemistry/ Immunofluorescence", "shortname":"ICC/IF"} }, "product-promise": { "all": "all", "testedAndGuaranteed": "tested", "guaranteed": "expected", "predicted": "predicted", "notRecommended": "not-recommended" } }, "values": { "Human": { "IHCP-species-checked": "testedAndGuaranteed", "IHCP-species-dilution-info": "3 µg/mL", "IHCP-species-notes": "<p></p> Perform heat-mediated antigen retrieval with citrate buffer pH 6 before commencing with IHC staining protocol.", "WB-species-checked": "testedAndGuaranteed", "WB-species-dilution-info": "1 µg/mL", "WB-species-notes": "<p></p>", "ICCIF-species-checked": "notRecommended", "ICCIF-species-dilution-info": "10 µg/mL", "ICCIF-species-notes": "<p></p>" } } }

Properties and storage information

Form
Liquid
Purification technique
Affinity purification Protein A
Storage buffer
pH: 7.4 Constituents: PBS
Shipped at conditions
Blue Ice
Appropriate short-term storage conditions
+4°C
Appropriate long-term storage conditions
-20°C
Aliquoting information
Upon delivery aliquot
Storage information
Avoid freeze / thaw cycle

Supplementary information

This supplementary information is collated from multiple sources and compiled automatically.

Azurocidin also known as heparin-binding protein or CAP37 is a serine protease homolog with a molecular mass of approximately 37 kDa. Unlike other serine proteases it doesn’t have protease activity due to specific structural changes in its catalytic triad. Azurocidin expresses mainly in azurophilic granules of neutrophils and monocytes. Upon activation these cells release it into the extracellular environment where it exerts its functions.
Biological function summary

Azurocidin plays a role in innate immune responses by promoting leukocyte recruitment and increasing vascular permeability. It does not form a part of any known enzyme complex though cooperates with other proteins to mount an effective defense against pathogens. Azurocidin works by acting as an antimicrobial agent demonstrating activity against a variety of gram-negative and gram-positive bacteria. It also modulates inflammatory responses and impacts cellular signaling.

Pathways

Azurocidin contributes to the innate immune signaling pathways and inflammation processes. It interacts with the inflammatory cascade by promoting the chemotaxis of monocytes and macrophages. Azurocidin relates to other inflammation modulating proteins such as cathepsin G and elastase which also originate from neutrophil granules. The interplay between these proteins forms a network that amplifies and sustains immune responses during infection or tissue injury.

Researchers associate azurocidin with conditions characterized by excessive inflammation such as sepsis and rheumatoid arthritis. During these conditions azurocidin's activity tends to increase contributing to pathophysiological developments. It connects particularly to proteinase 3 during inflammatory response in rheumatoid arthritis where they jointly participate in the degradation of cartilage and perpetuation of inflammation. In sepsis its role in increasing vascular permeability and promoting immune cell infiltration can intensify the inflammatory damage seen in patients.

Product protocols

For this product, it's our understanding that no specific protocols are required. You can visit:

Target data

This is a neutrophil granule-derived antibacterial and monocyte- and fibroblast-specific chemotactic glycoprotein. Binds heparin. The cytotoxic action is limited to many species of Gram-negative bacteria; this specificity may be explained by a strong affinity of the very basic N-terminal half for the negatively charged lipopolysaccharides that are unique to the Gram-negative bacterial outer envelope. It may play a role in mediating recruitment of monocytes in the second wave of inflammation. Has antibacterial activity against the Gram-negative bacterium P.aeruginosa, this activity is inhibited by LPS from P.aeruginosa. Acting alone, it does not have antimicrobial activity against the Gram-negative bacteria A.actinomycetemcomitans ATCC 29532, A.actinomycetemcomitans NCTC 9709, A.actinomycetemcomitans FDC-Y4, H.aphrophilus ATCC 13252, E.corrodens ATCC 23834, C.sputigena ATCC 33123, Capnocytophaga sp ATCC 33124, Capnocytophaga sp ATCC 27872 or E.coli ML-35. Has antibacterial activity against C.sputigena ATCC 33123 when acting synergistically with either elastase or cathepsin G.
See full target information Azurocidin

Publications (2)

Recent publications for all applications. Explore the full list and refine your search

FEBS letters 595:2522-2532 PubMed34418081

2021

Azurocidin is loaded into small extracellular vesicles via its N-linked glycosylation and promotes intravasation of renal cell carcinoma cells.

Applications

Unspecified application

Species

Unspecified reactive species

Takuya Naito,Kentaro Jingushi,Koji Ueda,Kazutake Tsujikawa

Theranostics 8:13-30 PubMed29290790

2018

Changes in the microarchitecture of the pancreatic cancer stroma are linked to neutrophil-dependent reprogramming of stellate cells and reflected by diffusion-weighted magnetic resonance imaging.

Applications

Unspecified application

Species

Unspecified reactive species

Philipp Mayer,Christine Dinkic,Ralf Jesenofsky,Miriam Klauss,Peter Schirmacher,Ulrike Dapunt,Thilo Hackert,Florian Uhle,G Maria Hänsch,Matthias M Gaida
View all publications

Product promise

We are committed to supporting your work with high-quality reagents, and we're here for you every step of the way. In the unlikely event that one of our products does not perform as expected, you're protected by our Product Promise.
For full details, please see our Terms & Conditions

Please note: All products are 'FOR RESEARCH USE ONLY. NOT FOR USE IN DIAGNOSTIC OR THERAPEUTIC PROCEDURES'.

For licensing inquiries, please contact partnerships@abcam.com