JavaScript is disabled in your browser. Please enable JavaScript to view this website.
AB314862

Anti-B MyB antibody [EPR26321-89]

  • BOND RX™ Validated
  • 20ul selling size
  • Recombinant
  • Advanced Validation
  • RabMAb
  • What is this?

Be the first to review this product! Submit a review

|

(1 Publication)

Rabbit Recombinant Monoclonal B MyB antibody. Suitable for WB, IHC-P, ICC/IF, ChIP-seq and reacts with Human, Recombinant fragment - Human, Mouse, Rat samples. Cited in 1 publication.

View Alternative Names

BMYB, MYBL2, Myb-related protein B, B-Myb, Myb-like protein 2

12 Images
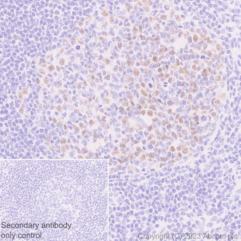
Immunohistochemistry (Formalin/PFA-fixed paraffin-embedded sections) - Anti-B MyB antibody [EPR26321-89] (AB314862)
  • IHC-P

Supplier Data

Immunohistochemistry (Formalin/PFA-fixed paraffin-embedded sections) - Anti-B MyB antibody [EPR26321-89] (AB314862)

Immunohistochemical analysis of paraffin-embedded human tonsil tissue labeling B MyB with ab314862 at 1/50 (10.4 ug/ml) dilution, followed by a ready to use LeicaDS9800 (Bond™ Polymer Refine Detection). Positive staining on human tonsil. The section was incubated with ab314862 for 30 mins at room temperature. The immunostaining was performed on a Leica Biosystems BOND® RX instrument. Counterstained with Hematoxylin. Secondary antibody only control : Secondary antibody is a ready to use LeicaDS9800 (Bond™ Polymer Refine Detection). Heat mediated antigen retrieval was performed with Tris-EDTA buffer (pH 9.0, Epitope Retrieval Solution2) for 20 mins.

Immunocytochemistry/ Immunofluorescence - Anti-B MyB antibody [EPR26321-89] (AB314862)
  • ICC/IF

Supplier Data

Immunocytochemistry/ Immunofluorescence - Anti-B MyB antibody [EPR26321-89] (AB314862)

Immunofluorescent analysis of 4% Paraformaldehyde-fixed, 0.1% TritonX-100 permeabilized 293T (human embryonic kidney epithelial cell) cells labelling B MyB with ab314862 at 1/50 (10.4 ug/ml) dilution, followed by ab150081 Goat Anti-Rabbit IgG H&L (Alexa Fluor® 488) preadsorbed antibody at 1/1000 2 ug/ml dilution (Green). Confocal image showing nuclear staining in 293T cell line. Image was taken with a confocal microscope(Leica-Microsystems, TCS SP8). ab195889 Anti-alpha Tubulin mouse monoclonal antibody - Microtubule Marker (Alexa Fluor® 594) was used to counterstain tubulin at 1/200 2.5ug/ml dilution (Red). The Nuclear counterstain was DAPI (Blue). Secondary antibody only control : Secondary antibody is ab150081 Goat Anti-Rabbit IgG H&L (Alexa Fluor® 488) preadsorbed at 1/1000 2 ug/ml dilution.

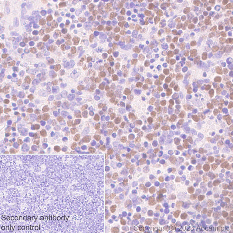
Immunohistochemistry (Formalin/PFA-fixed paraffin-embedded sections) - Anti-B MyB antibody [EPR26321-89] (AB314862)
  • IHC-P

Supplier Data

Immunohistochemistry (Formalin/PFA-fixed paraffin-embedded sections) - Anti-B MyB antibody [EPR26321-89] (AB314862)

Immunohistochemical analysis of paraffin-embedded human diffuse large B cell lymphoma tissue labeling B MyB with ab314862 at 1/50 (10.4 ug/ml) dilution, followed by a ready to use LeicaDS9800 (Bond™ Polymer Refine Detection). Positive staining on human diffuse large B cell lymphoma. The section was incubated with ab314862 for 30 mins at room temperature. The immunostaining was performed on a Leica Biosystems BOND® RX instrument. Counterstained with Hematoxylin. Secondary antibody only control : Secondary antibody is a ready to use LeicaDS9800 (Bond™ Polymer Refine Detection). Heat mediated antigen retrieval was performed with Tris-EDTA buffer (pH 9.0, Epitope Retrieval Solution2) for 20 mins.

Immunohistochemistry (Formalin/PFA-fixed paraffin-embedded sections) - Anti-B MyB antibody [EPR26321-89] (AB314862)
  • IHC-P

Supplier Data

Immunohistochemistry (Formalin/PFA-fixed paraffin-embedded sections) - Anti-B MyB antibody [EPR26321-89] (AB314862)

Immunohistochemical analysis of paraffin-embedded mouse Burkitt's lymphoma tissue labeling B MyB with ab314862 at 1/50 (10.4 ug/ml) dilution, followed by a ready to use LeicaDS9800 (Bond™ Polymer Refine Detection). Positive staining on mouse Burkitt's lymphoma. The section was incubated with ab314862 for 30 mins at room temperature. The immunostaining was performed on a Leica Biosystems BOND® RX instrument. Counterstained with Hematoxylin. Secondary antibody only control : Secondary antibody is a ready to use LeicaDS9800 (Bond™ Polymer Refine Detection). Heat mediated antigen retrieval was performed with Tris-EDTA buffer (pH 9.0, Epitope Retrieval Solution2) for 20 mins.

Immunohistochemistry (Formalin/PFA-fixed paraffin-embedded sections) - Anti-B MyB antibody [EPR26321-89] (AB314862)
  • IHC-P

Supplier Data

Immunohistochemistry (Formalin/PFA-fixed paraffin-embedded sections) - Anti-B MyB antibody [EPR26321-89] (AB314862)

Immunohistochemical analysis of paraffin-embedded rat colon tissue labeling B MyB with ab314862 at 1/50 (10.4 ug/ml) dilution, followed by a ready to use LeicaDS9800 (Bond™ Polymer Refine Detection). Positive staining on rat colon. The section was incubated with ab314862 for 30 mins at room temperature. The immunostaining was performed on a Leica Biosystems BOND® RX instrument. Counterstained with Hematoxylin. Secondary antibody only control : Secondary antibody is a ready to use LeicaDS9800 (Bond™ Polymer Refine Detection). Heat mediated antigen retrieval was performed with Tris-EDTA buffer (pH 9.0, Epitope Retrieval Solution2) for 20 mins.

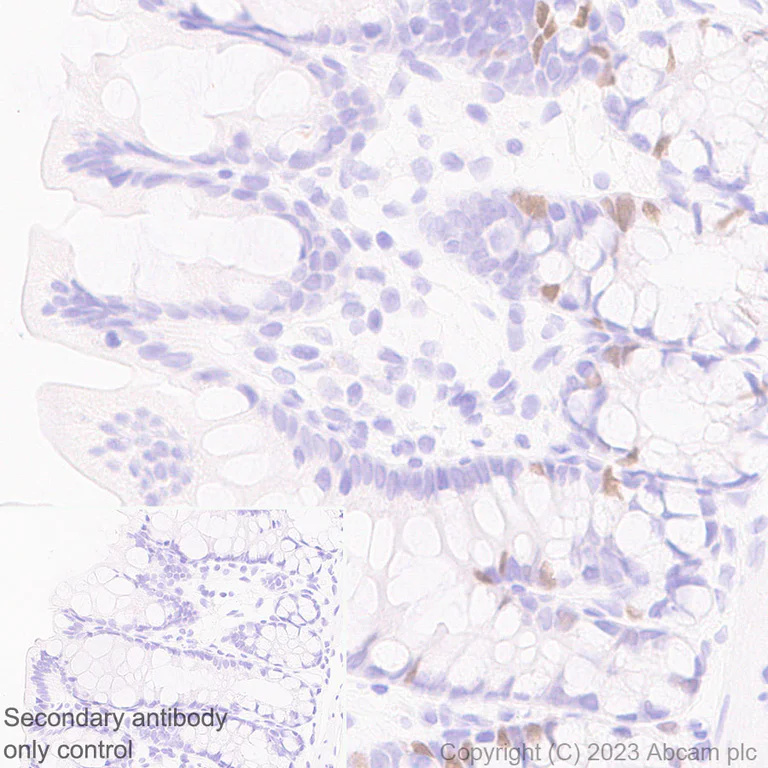
Immunohistochemistry (Formalin/PFA-fixed paraffin-embedded sections) - Anti-B MyB antibody [EPR26321-89] (AB314862)
  • IHC-P

Supplier Data

Immunohistochemistry (Formalin/PFA-fixed paraffin-embedded sections) - Anti-B MyB antibody [EPR26321-89] (AB314862)

Immunohistochemical analysis of paraffin-embedded mouse colon tissue labeling B MyB with ab314862 at 1/50 (10.4 ug/ml) dilution, followed by a ready to use LeicaDS9800 (Bond™ Polymer Refine Detection). Positive staining on mouse colon. The section was incubated with ab314862 for 30 mins at room temperature. The immunostaining was performed on a Leica Biosystems BOND® RX instrument. Counterstained with Hematoxylin. Secondary antibody only control : Secondary antibody is a ready to use LeicaDS9800 (Bond™ Polymer Refine Detection). Heat mediated antigen retrieval was performed with Tris-EDTA buffer (pH 9.0, Epitope Retrieval Solution2) for 20 mins.

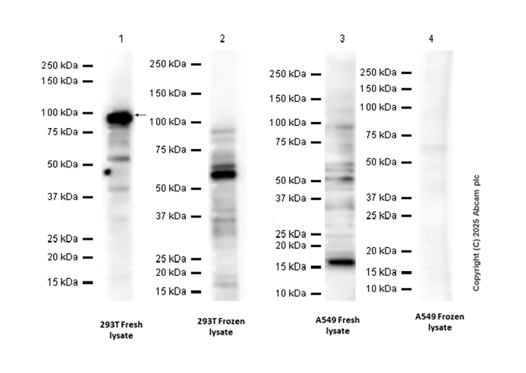
Western blot - Anti-B MyB antibody [EPR26321-89] (AB314862)
  • WB

Lab

Western blot - Anti-B MyB antibody [EPR26321-89] (AB314862)

This product does not work in A549 cell lysate.

To preserve protein degradation, harvested cells were immediately lysed, followed by rapid gel electrophoresis and membrane transfer procedures.

All lanes:

Western blot - Anti-B MyB antibody [EPR26321-89] (ab314862) at 1/1000 dilution

Lane 1:

Fresh 293T (human embryonic kidney epithelial cell) whole cell lysate at 20 µg

Lane 2:

Frozen 293T (human embryonic kidney epithelial cell) whole cell lysate at 20 µg

Lane 3:

Fresh A549 (human lung carcinoma epithelial cell) whole cell lysate at 20 µg

Lane 4:

Frozen A549 (human lung carcinoma epithelial cell) whole cell lysate at 20 µg

Secondary

All lanes:

Western blot - Goat Anti-Rabbit IgG H&L (HRP) (<a href='/en-us/products/secondary-antibodies/goat-rabbit-igg-h-l-hrp-ab97051'>ab97051</a>) at 1/20000 dilution

Observed band size: 100 kDa

false

Exposure time: 20s

Western blot - Anti-B MyB antibody [EPR26321-89] (AB314862)
  • WB

Supplier Data

Western blot - Anti-B MyB antibody [EPR26321-89] (AB314862)

Blocking and diluting buffer and concentration : 5% NFDM/TBST.

In Western blot, Anti-GAPDH antibody [EPR16891] - Loading Control (ab181602) staining at 1/200,000 dilution.

This blot was developed using a high-sensitivity ECL substrate, allowing for the detection of proteins in the mid-femtogram range.

All lanes:

Western blot - Anti-B MyB antibody [EPR26321-89] (ab314862) at 1/1000 dilution

Lane 1:

293T (human embryonic kidney epithelial cell) transfected with scrambled siRNA control whole cell lysate at 20 µg

Lane 2:

293T transfected with siRNA specifically targeting MYBL2 whole cell lysate at 20 µg

Secondary

All lanes:

Western blot - Goat Anti-Rabbit IgG H&L (HRP) (<a href='/en-us/products/secondary-antibodies/goat-rabbit-igg-h-l-hrp-ab97051'>ab97051</a>) at 1/100000 dilution

Observed band size: 100 kDa

false

Exposure time: 158s

ChIP-sequencing - Anti-B MyB antibody [EPR26321-89] (AB314862)
  • ChIP-seq

Lab

ChIP-sequencing - Anti-B MyB antibody [EPR26321-89] (AB314862)

Chromatin was prepared from HeLa cells. Cells were fixed with 1% formaldehyde for 10 minutes. ChIP was performed with 10^7 cells and 8 µg of ab314862 [EPR26321-89]. ChIP DNA was sequenced on the Illumina NovaSeq 6000 to a depth of 30 million reads. The Input control is also shown.

ChIP-sequencing - Anti-B MyB antibody [EPR26321-89] (AB314862)
  • ChIP-seq

Lab

ChIP-sequencing - Anti-B MyB antibody [EPR26321-89] (AB314862)

Chromatin was prepared from HeLa cells. Cells were fixed with 1% formaldehyde for 10 minutes. ChIP was performed with 10^7 cells and 8 µg of ab314862 [EPR26321-89]. ChIP DNA was sequenced on the Illumina NovaSeq 6000 to a depth of 30 million reads. The Input control is also shown.

ChIP-sequencing - Anti-B MyB antibody [EPR26321-89] (AB314862)
  • ChIP-seq

Lab

ChIP-sequencing - Anti-B MyB antibody [EPR26321-89] (AB314862)

Chromatin was prepared from HeLa cells. Cells were fixed with 1% formaldehyde for 10 minutes. ChIP was performed with 10^7 cells and 8 µg of ab314862 [EPR26321-89]. ChIP DNA was sequenced on the Illumina NovaSeq 6000 to a depth of 30 million reads. The Input control is also shown.

Western blot - Anti-B MyB antibody [EPR26321-89] (AB314862)
  • WB

Supplier Data

Western blot - Anti-B MyB antibody [EPR26321-89] (AB314862)

Blocking and diluting buffer and concentration : 5% NFDM/TBST. This antibody does not cross-react with human MYBL1 and human MYB. All the recombinant proteins were made in-house. In western blot, Anti-6X His tag® antibody [EPR20547] - ChIP Grade (ab213204) staining at 1/5000 dilution.

All lanes:

Western blot - Anti-B MyB antibody [EPR26321-89] (ab314862) at 1/1000 dilution

Lane 1:

Purified His-tagged human MYBL2 fragment at 20 ng

Lane 2:

Purified His-tagged human MYBL1 recombinant protein at 200 ng

Lane 3:

Purified His-tagged human MYB recombinant protein at 20 ng

Secondary

All lanes:

Western blot - Goat Anti-Rabbit IgG H&L (HRP) (<a href='/en-us/products/secondary-antibodies/goat-rabbit-igg-h-l-hrp-ab97051'>ab97051</a>) at 1/100000 dilution

Observed band size: 36 kDa

false

Exposure time: 92s

Key facts

Host species

Rabbit

Clonality

Monoclonal

Clone number

EPR26321-89

Isotype

IgG

Carrier free

No

Reacts with

Human, Mouse, Rat

Applications

IHC-P, ICC/IF, WB, ChIP-seq

applications

Immunogen

The exact immunogen used to generate this antibody is proprietary information.

Specificity

Unsuitable for mouse WB, rat WB and mouse ICC/IF.

Reactivity data

{ "title": "Reactivity Data", "filters": { "stats": ["", "Species", "Dilution Info", "Notes"], "tabs": { "all-applications": {"fullname" : "All Applications", "shortname": "All Applications"}, "WB" : {"fullname" : "Western blot", "shortname":"WB"}, "IHCP" : {"fullname" : "Immunohistochemistry (Formalin/PFA-fixed paraffin-embedded sections)", "shortname":"IHC-P"}, "ICCIF" : {"fullname" : "Immunocytochemistry/ Immunofluorescence", "shortname":"ICC/IF"}, "IP" : {"fullname" : "Immunoprecipitation", "shortname":"IP"}, "FlowCytIntra" : {"fullname" : "Flow Cytometry (Intracellular)", "shortname":"Flow Cyt (Intra)"}, "ChIPseq" : {"fullname" : "ChIP-sequencing", "shortname":"ChIP-seq"} }, "product-promise": { "all": "all", "testedAndGuaranteed": "tested", "guaranteed": "expected", "predicted": "predicted", "notRecommended": "not-recommended" } }, "values": { "Human": { "WB-species-checked": "testedAndGuaranteed", "WB-species-dilution-info": "1/1000", "WB-species-notes": "<p>This product does not work in A549 cell lysate. It is recommended to optimize experimental conditions by increasing the sample loading amount, using a lower antibody dilution ratio, and employing femtogram-level sensitivity substrates. Please also use freshly made lysate in Western blot test to preserve protein degradation.</p>", "IHCP-species-checked": "testedAndGuaranteed", "IHCP-species-dilution-info": "1/50", "IHCP-species-notes": "<p></p> Perform heat-mediated antigen retrieval with Tris/EDTA buffer pH 9.0 before commencing with IHC staining protocol.", "ICCIF-species-checked": "testedAndGuaranteed", "ICCIF-species-dilution-info": "1/50", "ICCIF-species-notes": "<p></p>", "IP-species-checked": "notRecommended", "IP-species-dilution-info": "", "IP-species-notes": "<p></p>", "FlowCytIntra-species-checked": "notRecommended", "FlowCytIntra-species-dilution-info": "", "FlowCytIntra-species-notes": "<p></p>", "ChIPseq-species-checked": "testedAndGuaranteed", "ChIPseq-species-dilution-info": "8 µg/cells for 10^7 Cells", "ChIPseq-species-notes": "<p></p>" }, "Mouse": { "WB-species-checked": "notRecommended", "WB-species-dilution-info": "", "WB-species-notes": "<p></p>", "IHCP-species-checked": "testedAndGuaranteed", "IHCP-species-dilution-info": "1/50", "IHCP-species-notes": "<p></p> Perform heat-mediated antigen retrieval with Tris/EDTA buffer pH 9.0 before commencing with IHC staining protocol.", "ICCIF-species-checked": "notRecommended", "ICCIF-species-dilution-info": "", "ICCIF-species-notes": "<p></p>", "IP-species-checked": "notRecommended", "IP-species-dilution-info": "", "IP-species-notes": "<p></p>", "FlowCytIntra-species-checked": "notRecommended", "FlowCytIntra-species-dilution-info": "", "FlowCytIntra-species-notes": "<p></p>", "ChIPseq-species-checked": "guaranteed", "ChIPseq-species-dilution-info": "", "ChIPseq-species-notes": "" }, "Rat": { "WB-species-checked": "notRecommended", "WB-species-dilution-info": "", "WB-species-notes": "<p></p>", "IHCP-species-checked": "testedAndGuaranteed", "IHCP-species-dilution-info": "1/50", "IHCP-species-notes": "<p></p> Perform heat-mediated antigen retrieval with Tris/EDTA buffer pH 9.0 before commencing with IHC staining protocol.", "ICCIF-species-checked": "guaranteed", "ICCIF-species-dilution-info": "", "ICCIF-species-notes": "", "IP-species-checked": "notRecommended", "IP-species-dilution-info": "", "IP-species-notes": "", "FlowCytIntra-species-checked": "notRecommended", "FlowCytIntra-species-dilution-info": "", "FlowCytIntra-species-notes": "", "ChIPseq-species-checked": "guaranteed", "ChIPseq-species-dilution-info": "", "ChIPseq-species-notes": "" }, "Recombinant fragment - Human": { "WB-species-checked": "testedAndGuaranteed", "WB-species-dilution-info": "1/1000", "WB-species-notes": "<p></p>", "IHCP-species-checked": "notRecommended", "IHCP-species-dilution-info": "", "IHCP-species-notes": "", "ICCIF-species-checked": "notRecommended", "ICCIF-species-dilution-info": "", "ICCIF-species-notes": "", "IP-species-checked": "notRecommended", "IP-species-dilution-info": "", "IP-species-notes": "", "FlowCytIntra-species-checked": "notRecommended", "FlowCytIntra-species-dilution-info": "", "FlowCytIntra-species-notes": "", "ChIPseq-species-checked": "notRecommended", "ChIPseq-species-dilution-info": "", "ChIPseq-species-notes": "" } } }

Product details

Patented technology
Our RabMAb® technology is a patented hybridoma-based technology for making rabbit monoclonal antibodies. For details on our patents, please refer to RabMAb® patents.

What are the advantages of a recombinant monoclonal antibody?
This product is a recombinant monoclonal antibody, which offers several advantages including:

  • - High batch-to-batch consistency and reproducibility
  • - Improved sensitivity and specificity
  • - Long-term security of supply
  • - Animal-free batch production

For more information, read more on recombinant antibodies.

Properties and storage information

Form
Liquid
Purification technique
Affinity purification Protein A
Storage buffer
pH: 7.2 - 7.4 Preservative: 0.01% Sodium azide Constituents: PBS, 40% Glycerol (glycerin, glycerine), 0.05% BSA
Shipped at conditions
Blue Ice
Appropriate short-term storage duration
1-2 weeks
Appropriate short-term storage conditions
+4°C
Appropriate long-term storage conditions
-20°C
Aliquoting information
Upon delivery aliquot
Storage information
Avoid freeze / thaw cycle

Supplementary information

This supplementary information is collated from multiple sources and compiled automatically.

The B MyB protein also known as MYBL2 or B-MYB is a transcription factor involved in cell cycle regulation. It belongs to the MYB family of proteins and has a molecular weight of approximately 92 kDa. This protein is expressed in a range of tissues including proliferating cells. B MyB's activity as a transcription factor involves binding to specific DNA sequences to regulate gene expression essential for cell cycle progression particularly in the S phase where it plays a role in DNA replication and mitosis.
Biological function summary

MYBL2 participates in processes important for normal cell cycle and proliferation. It does not appear to form part of a larger protein complex but regulates genes necessary for cell division independently. B MyB significantly impacts the expression of factors that facilitate the transition from G1 to S phase of the cell cycle impacting cellular growth and replication. Its function ensures that the cells adequately prepare for DNA synthesis and subsequent mitotic division.

Pathways

Various cell cycle regulatory pathways rely on MYBL2 for their correct functioning. B MyB influences the G1/S phase transition and is associated with the E2F transcription factor pathway. In this context it regulates E2F target genes necessary for DNA synthesis. B MyB interacts with other proteins such as CDK2 and cyclins to orchestrate a synchronized cell cycle progression ensuring that cells divide correctly and effectively.

B MyB is frequently associated with cancer development and progression notably in contexts where there is rapid cell proliferation such as in breast cancer and leukemia. Dysregulation of MYBL2 expression or its downstream targets can lead to uncontrolled cell division thereby contributing to oncogenesis. It associates with proteins such as p53 a pivotal tumor suppressor where alterations in their pathways can lead to malignancy. Researchers evaluate B MyB's expression and activity as potential markers for cancer diagnosis and as targets for therapeutic intervention.

Product protocols

For this product, it's our understanding that no specific protocols are required. You can visit:

Target data

Transcription factor involved in the regulation of cell survival, proliferation, and differentiation. Transactivates the expression of the CLU gene.
See full target information MYBL2

Publications (1)

Recent publications for all applications. Explore the full list and refine your search

Journal of Cancer 16:1768-1781 PubMed40092688

2025

System Analysis Identifies MYBL2 As a Novel Oncogene Target for Metastatic Prostate Cancer.

Applications

Unspecified application

Species

Unspecified reactive species

Renlun Huang,Jing Li,Jiawei Zhu,Wei Deng,Zhichao Wang,Songtao Xiang
View all publications

Product promise

We are committed to supporting your work with high-quality reagents, and we're here for you every step of the way. In the unlikely event that one of our products does not perform as expected, you're protected by our Product Promise.
For full details, please see our Terms & Conditions

Please note: All products are 'FOR RESEARCH USE ONLY. NOT FOR USE IN DIAGNOSTIC OR THERAPEUTIC PROCEDURES'.

For licensing inquiries, please contact partnerships@abcam.com