JavaScript is disabled in your browser. Please enable JavaScript to view this website.
AB232521

Anti-B MyB (phospho T487) antibody [EPR2204Y] - BSA and Azide free

Be the first to review this product! Submit a review

|

(1 Publication)

Rabbit Recombinant Monoclonal B MyB phospho T487 antibody. Carrier free. Suitable for IHC-P, WB, ICC/IF, Dot, Flow Cyt (Intra) and reacts with Human, Transfected cell line - Human, Synthetic peptide samples. Cited in 1 publication.

View Alternative Names

BMYB, MYBL2, Myb-related protein B, B-Myb, Myb-like protein 2

8 Images
Immunocytochemistry/ Immunofluorescence - Anti-B MyB (phospho T487) antibody [EPR2204Y] - BSA and Azide free (AB232521)
  • ICC/IF

Lab

Immunocytochemistry/ Immunofluorescence - Anti-B MyB (phospho T487) antibody [EPR2204Y] - BSA and Azide free (AB232521)

Immunofluorescent analysis of 4% paraformaldehyde-fixed, 0.1% Triton X-100 permeabilized HeLa (human cervix adenocarcinoma epithelial cell) cells labelling B MyB (phospho T487) with primary antibody anti-B MyB (phospho T487) (ab76009) at 1/1000 dilution, followed by Goat Anti-Rabbit IgG H&L (Alexa Fluor® 488) preadsorbed (ab150081) secondary antibody at 1/1000 dilution. Confocal image showing nuclear staining in HeLa cells and no staining in HeLa cells with Alkaline Phosphatase treatment 37℃ for 1 hour. Anti-alpha Tubulin antibody (DM1A) - Microtubule Marker (Alexa Fluor® 594) (ab195889) was used to counterstain tubulin at 1/200 dilution. The nuclear counter stain is DAPI (blue).

This data was developed using the same antibody clone in a different buffer formulation containing PBS, BSA, glycerol, and sodium azide (ab76009).

Flow Cytometry (Intracellular) - Anti-B MyB (phospho T487) antibody [EPR2204Y] - BSA and Azide free (AB232521)
  • Flow Cyt (Intra)

Lab

Flow Cytometry (Intracellular) - Anti-B MyB (phospho T487) antibody [EPR2204Y] - BSA and Azide free (AB232521)

Intracellular Flow Cytometry analysis of HeLa (human cervix adenocarcinoma) cells treated with Alkaline Phosphatase overnight (Left) and untreated HeLa cells (Right) labeling B MyB (phospho T487) with ab76009 at 1/1000 dilution (Red). Cells were fixed with 4% Paraformaldehyde and permeabilised with 0.1% Tween-20. A Goat anti rabbit IgG (Alexa Fluor® 488, ab150081) secondary antibody was used at 1/2000 dilution. Isotype control - Rabbit monoclonal IgG (ab172730) (Black). Unlabeled control - Cell without incubation with primary antibody and secondary antibody (Blue).

This data was developed using the same antibody clone in a different buffer formulation containing PBS, BSA, glycerol, and sodium azide (ab76009).

Immunohistochemistry (Formalin/PFA-fixed paraffin-embedded sections) - Anti-B MyB (phospho T487) antibody [EPR2204Y] - BSA and Azide free (AB232521)
  • IHC-P

Lab

Immunohistochemistry (Formalin/PFA-fixed paraffin-embedded sections) - Anti-B MyB (phospho T487) antibody [EPR2204Y] - BSA and Azide free (AB232521)

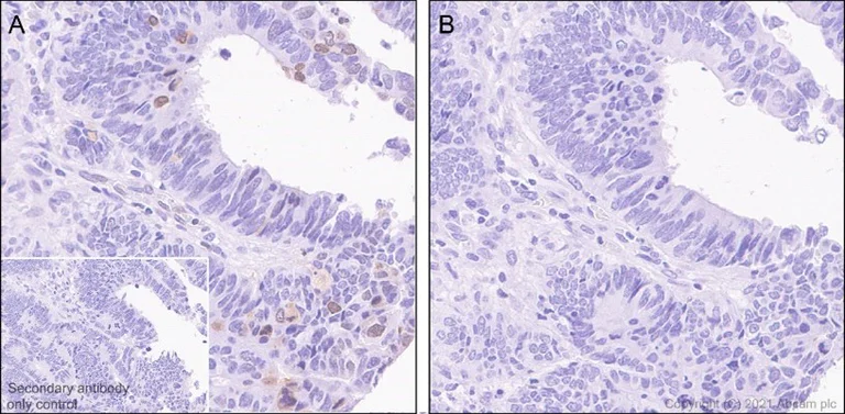
Immunohistochemistry analysis of paraffin-embedded Human colon cancer tissue sections labelling B MyB (phospho T487) with ab76009 at 1/8000 dilution. The section was incubated with ab76009 for 30 mins at room temperature. Rabbit specific IHC polymer detection kit HRP/DAB (ab209101) was used as the secondary antibody. Sections were counterstained with Hematoxylin. Heat mediated antigen retrieval with Tris-EDTA buffer (pH 9.0, epitope retrieval solution 2) for 20 mins.
Nuclear staining on Human colon cancer tissue without alkaline phosphatase treatment (Image A); No signal was detected when tissues were treated with alkaline phosphatase (Image B). The immunostaining was performed on a Leica Biosystems BOND® RX instrument.

This data was developed using the same antibody clone in a different buffer formulation containing PBS, BSA, glycerol, and sodium azide (ab76009).

Immunohistochemistry (Formalin/PFA-fixed paraffin-embedded sections) - Anti-B MyB (phospho T487) antibody [EPR2204Y] - BSA and Azide free (AB232521)
  • IHC-P

Lab

Immunohistochemistry (Formalin/PFA-fixed paraffin-embedded sections) - Anti-B MyB (phospho T487) antibody [EPR2204Y] - BSA and Azide free (AB232521)

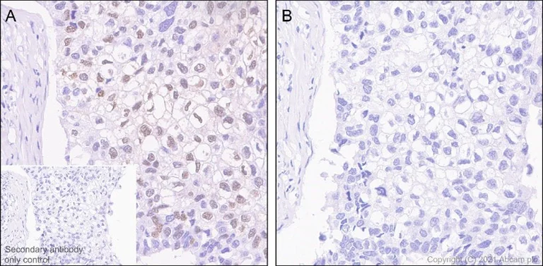
Immunohistochemistry analysis of paraffin-embedded Human lung cancer tissue sections labelling B MyB (phospho T487) with ab76009 at 1/8000 dilution. The section was incubated with ab76009 for 30 mins at room temperature. Rabbit specific IHC polymer detection kit HRP/DAB (ab209101) was used as the secondary antibody. Sections were counterstained with Hematoxylin. Heat mediated antigen retrieval with Tris-EDTA buffer (pH 9.0, epitope retrieval solution 2) for 20 mins.
Nuclear staining on Human lung cancer tissue without alkaline phosphatase treatment (Image A); No signal was detected when tissues were treated with alkaline phosphatase (Image B). The immunostaining was performed on a Leica Biosystems BOND® RX instrument.

This data was developed using the same antibody clone in a different buffer formulation containing PBS, BSA, glycerol, and sodium azide (ab76009).

Western blot - Anti-B MyB (phospho T487) antibody [EPR2204Y] - BSA and Azide free (AB232521)
  • WB

Lab

Western blot - Anti-B MyB (phospho T487) antibody [EPR2204Y] - BSA and Azide free (AB232521)

Blocking buffer and concentration : 5% NFDM/TBST Diluting buffer and concentration : 5% NFDM/TBST This data was developed using the same antibody clone in a different buffer formulation containing PBS, BSA, glycerol, and sodium azide (ab76009).

Lanes 1 - 2:

Western blot - Anti-B MyB (phospho T487) antibody [EPR2204Y] - BSA and Azide free (ab232521) at 1/1000 dilution

Lanes 1 - 2:

Western blot - Anti-B MyB (phospho T487) antibody [EPR2204Y] (<a href='/en-us/products/primary-antibodies/b-myb-phospho-t487-antibody-epr2204y-ab76009'>ab76009</a>) at 1/1000 dilution

Lane 1:

HeLa (Human cervix adenocarcinoma epithelial cell) nuclear fraction lysate at 15 µg

Lane 2:

HeLa nuclear fraction lysate treated with Alkaline Phosphatase for 1 hour at 15 µg

Secondary

All lanes:

Western blot - Goat Anti-Rabbit IgG H&L (HRP) (<a href='/en-us/products/secondary-antibodies/goat-rabbit-igg-h-l-hrp-ab97051'>ab97051</a>) at 1/20000 dilution

Predicted band size: 79 kDa

Observed band size: 100 kDa

false

Exposure time: 120s

Western blot - Anti-B MyB (phospho T487) antibody [EPR2204Y] - BSA and Azide free (AB232521)
  • WB

Lab

Western blot - Anti-B MyB (phospho T487) antibody [EPR2204Y] - BSA and Azide free (AB232521)

Blocking buffer and concentration : 5% NFDM/TBST Diluting buffer and concentration : 5% NFDM/TBST This data was developed using the same antibody clone in a different buffer formulation containing PBS, BSA, glycerol, and sodium azide (ab76009).

Lanes 1 - 2:

Western blot - Anti-B MyB (phospho T487) antibody [EPR2204Y] - BSA and Azide free (ab232521) at 1/1000 dilution

Lanes 1 - 2:

Western blot - Anti-B MyB (phospho T487) antibody [EPR2204Y] (<a href='/en-us/products/primary-antibodies/b-myb-phospho-t487-antibody-epr2204y-ab76009'>ab76009</a>) at 1/1000 dilution

Lane 1:

HeLa (Human cervix adenocarcinoma epithelial cell) nuclear fraction lysate at 15 µg

Lane 2:

HeLa (Human cervix adenocarcinoma epithelial cell) without nuclear fraction lysate at 15 µg

Secondary

All lanes:

Western blot - Goat Anti-Rabbit IgG H&L (HRP) (<a href='/en-us/products/secondary-antibodies/goat-rabbit-igg-h-l-hrp-ab97051'>ab97051</a>) at 1/20000 dilution

Predicted band size: 79 kDa

Observed band size: 100 kDa

false

Exposure time: 60s

Western blot - Anti-B MyB (phospho T487) antibody [EPR2204Y] - BSA and Azide free (AB232521)
  • WB

Lab

Western blot - Anti-B MyB (phospho T487) antibody [EPR2204Y] - BSA and Azide free (AB232521)

Blocking buffer and concentration : 5% NFDM/TBST Diluting buffer and concentration : 5% NFDM/TBST This data was developed using the same antibody clone in a different buffer formulation containing PBS, BSA, glycerol, and sodium azide (ab76009).

Lanes 1 - 2:

Western blot - Anti-B MyB (phospho T487) antibody [EPR2204Y] - BSA and Azide free (ab232521) at 1/1000 dilution

Lanes 1 - 2:

Western blot - Anti-B MyB (phospho T487) antibody [EPR2204Y] (<a href='/en-us/products/primary-antibodies/b-myb-phospho-t487-antibody-epr2204y-ab76009'>ab76009</a>) at 1/1000 dilution

Lane 1:

293T (Human embryonic kidney epithelial cell) transfected with empty vector (vector control), containing a myc-His-tag®, whole cell lysate at 20 µg

Lane 2:

293T transfected with human B MyB (WT) expression vector containing a myc-His-tag®, whole cell lysate at 20 µg

Secondary

All lanes:

Western blot - Goat Anti-Rabbit IgG H&L (HRP) (<a href='/en-us/products/secondary-antibodies/goat-rabbit-igg-h-l-hrp-ab97051'>ab97051</a>) at 1/20000 dilution

Predicted band size: 79 kDa

Observed band size: 100 kDa

false

Exposure time: 20s

Dot Blot - Anti-B MyB (phospho T487) antibody [EPR2204Y] - BSA and Azide free (AB232521)
  • Dot

Lab

Dot Blot - Anti-B MyB (phospho T487) antibody [EPR2204Y] - BSA and Azide free (AB232521)

Dot blot analysis of B MyB (pT487) phospho peptide (lane 1) and B MyB non-phospho peptide (lane 2) with ab76009 at a 1/1000 dilution. Goat Anti-Rabbit IgG, (H+L), Peroxidase conjugated (ab97051) was used as the secondary antibody at a dilution of 1/20,000.
Blocking and dilution buffer : 5% NFDM/TBST
Exposure time : 3 minutes

This data was developed using the same antibody clone in a different buffer formulation containing PBS, BSA, glycerol, and sodium azide (ab76009).

  • Unconjugated

    Anti-B MyB (phospho T487) antibody [EPR2204Y]

Key facts

Host species

Rabbit

Clonality

Monoclonal

Clone number

EPR2204Y

Isotype

IgG

Carrier free

Yes

Reacts with

Human

Applications

WB, IHC-P, Flow Cyt (Intra), ICC/IF, Dot

applications

Immunogen

The exact immunogen used to generate this antibody is proprietary information.

Reactivity data

{ "title": "Reactivity Data", "filters": { "stats": ["", "Species", "Dilution Info", "Notes"], "tabs": { "all-applications": {"fullname" : "All Applications", "shortname": "All Applications"}, "IHCP" : {"fullname" : "Immunohistochemistry (Formalin/PFA-fixed paraffin-embedded sections)", "shortname":"IHC-P"}, "WB" : {"fullname" : "Western blot", "shortname":"WB"}, "ICCIF" : {"fullname" : "Immunocytochemistry/ Immunofluorescence", "shortname":"ICC/IF"}, "Dot" : {"fullname" : "Dot Blot", "shortname":"Dot"}, "FlowCytIntra" : {"fullname" : "Flow Cytometry (Intracellular)", "shortname":"Flow Cyt (Intra)"} }, "product-promise": { "all": "all", "testedAndGuaranteed": "tested", "guaranteed": "expected", "predicted": "predicted", "notRecommended": "not-recommended" } }, "values": { "Human": { "IHCP-species-checked": "testedAndGuaranteed", "IHCP-species-dilution-info": "", "IHCP-species-notes": "<p></p>", "WB-species-checked": "testedAndGuaranteed", "WB-species-dilution-info": "", "WB-species-notes": "<p></p>", "ICCIF-species-checked": "testedAndGuaranteed", "ICCIF-species-dilution-info": "", "ICCIF-species-notes": "<p></p>", "Dot-species-checked": "guaranteed", "Dot-species-dilution-info": "", "Dot-species-notes": "", "FlowCytIntra-species-checked": "testedAndGuaranteed", "FlowCytIntra-species-dilution-info": "", "FlowCytIntra-species-notes": "<p><a href='/en-us/products/primary-antibodies/rabbit-igg-monoclonal-epr25a-isotype-control-ab172730'>ab172730</a> - Rabbit monoclonal IgG, is suitable for use as an isotype control with this antibody.</p>" }, "Synthetic peptide": { "IHCP-species-checked": "notRecommended", "IHCP-species-dilution-info": "", "IHCP-species-notes": "", "WB-species-checked": "notRecommended", "WB-species-dilution-info": "", "WB-species-notes": "", "ICCIF-species-checked": "notRecommended", "ICCIF-species-dilution-info": "", "ICCIF-species-notes": "", "Dot-species-checked": "testedAndGuaranteed", "Dot-species-dilution-info": "", "Dot-species-notes": "<p></p>", "FlowCytIntra-species-checked": "notRecommended", "FlowCytIntra-species-dilution-info": "", "FlowCytIntra-species-notes": "" }, "Transfected cell line - Human": { "IHCP-species-checked": "notRecommended", "IHCP-species-dilution-info": "", "IHCP-species-notes": "", "WB-species-checked": "testedAndGuaranteed", "WB-species-dilution-info": "", "WB-species-notes": "<p></p>", "ICCIF-species-checked": "notRecommended", "ICCIF-species-dilution-info": "", "ICCIF-species-notes": "", "Dot-species-checked": "notRecommended", "Dot-species-dilution-info": "", "Dot-species-notes": "", "FlowCytIntra-species-checked": "notRecommended", "FlowCytIntra-species-dilution-info": "", "FlowCytIntra-species-notes": "" } } }

Product details

ab232521 is the carrier-free version of ab76009.

Patented technology
Our RabMAb® technology is a patented hybridoma-based technology for making rabbit monoclonal antibodies. For details on our patents, please refer to RabMAb® patents.

What are the advantages of a recombinant monoclonal antibody?
This product is a recombinant monoclonal antibody, which offers several advantages including:

  • - High batch-to-batch consistency and reproducibility
  • - Improved sensitivity and specificity
  • - Long-term security of supply
  • - Animal-free batch production

For more information, read more on recombinant antibodies.

Conjugation ready
Our carrier-free antibodies are typically supplied in a PBS-only formulation, purified and free of BSA, sodium azide and glycerol. This conjugation-ready format is designed for use with fluorochromes, metal isotopes, oligonucleotides, and enzymes, which makes them ideal for antibody labelling, functional and cell-based assays, flow-based assays (e.g. mass cytometry) and Multiplex Imaging applications.

Use our conjugation kits for antibody conjugates that are ready-to-use in as little as 20 minutes with 1 minute hands-on-time and 100% antibody recovery: available for fluorescent dyes, HRP, biotin and gold.

Compatibility
This product is compatible with the Maxpar® Antibody Labeling Kit from Fluidigm, without the need for antibody preparation. Maxpar® is a trademark of Fluidigm Canada Inc.

Properties and storage information

Form
Liquid
Purification technique
Affinity purification Protein A
Storage buffer
pH: 7.2 - 7.4 Constituents: PBS
Shipped at conditions
Blue Ice
Appropriate short-term storage conditions
+4°C
Appropriate long-term storage conditions
+4°C
Storage information
Do Not Freeze

Supplementary information

This supplementary information is collated from multiple sources and compiled automatically.

The B MyB protein also known as MYBL2 or B-MYB is a transcription factor involved in cell cycle regulation. It belongs to the MYB family of proteins and has a molecular weight of approximately 92 kDa. This protein is expressed in a range of tissues including proliferating cells. B MyB's activity as a transcription factor involves binding to specific DNA sequences to regulate gene expression essential for cell cycle progression particularly in the S phase where it plays a role in DNA replication and mitosis.
Biological function summary

MYBL2 participates in processes important for normal cell cycle and proliferation. It does not appear to form part of a larger protein complex but regulates genes necessary for cell division independently. B MyB significantly impacts the expression of factors that facilitate the transition from G1 to S phase of the cell cycle impacting cellular growth and replication. Its function ensures that the cells adequately prepare for DNA synthesis and subsequent mitotic division.

Pathways

Various cell cycle regulatory pathways rely on MYBL2 for their correct functioning. B MyB influences the G1/S phase transition and is associated with the E2F transcription factor pathway. In this context it regulates E2F target genes necessary for DNA synthesis. B MyB interacts with other proteins such as CDK2 and cyclins to orchestrate a synchronized cell cycle progression ensuring that cells divide correctly and effectively.

B MyB is frequently associated with cancer development and progression notably in contexts where there is rapid cell proliferation such as in breast cancer and leukemia. Dysregulation of MYBL2 expression or its downstream targets can lead to uncontrolled cell division thereby contributing to oncogenesis. It associates with proteins such as p53 a pivotal tumor suppressor where alterations in their pathways can lead to malignancy. Researchers evaluate B MyB's expression and activity as potential markers for cancer diagnosis and as targets for therapeutic intervention.

Product protocols

For this product, it's our understanding that no specific protocols are required. You can visit:

Target data

Transcription factor involved in the regulation of cell survival, proliferation, and differentiation. Transactivates the expression of the CLU gene.
See full target information MYBL2 phospho T487

Publications (1)

Recent publications for all applications. Explore the full list and refine your search

Bioscience reports 40: PubMed33015714

2020

Chlorogenic acid ameliorated allergic rhinitis-related symptoms in mice by regulating Th17 cells.

Applications

Unspecified application

Species

Unspecified reactive species

Zhaohui Shi,Weihong Jiang,Xiaodong Chen,Min Xu,Jian Wang,Yubin Lai,Dingjun Zha
View all publications

Product promise

We are committed to supporting your work with high-quality reagents, and we're here for you every step of the way. In the unlikely event that one of our products does not perform as expected, you're protected by our Product Promise.
For full details, please see our Terms & Conditions

Please note: All products are 'FOR RESEARCH USE ONLY. NOT FOR USE IN DIAGNOSTIC OR THERAPEUTIC PROCEDURES'.

For licensing inquiries, please contact partnerships@abcam.com