JavaScript is disabled in your browser. Please enable JavaScript to view this website.
AB277806

Anti-B2R antibody [13HCLC]

Be the first to review this product! Submit a review

|

(1 Publication)

Rabbit Recombinant Multiclonal B2R antibody. Suitable for IHC-P, WB and reacts with Human samples. Cited in 1 publication. Immunogen corresponding to Synthetic Peptide within Human BDKRB2 aa 350 to C-terminus.

View Alternative Names

BKR2, BDKRB2, B2 bradykinin receptor, B2R, BK-2 receptor

2 Images
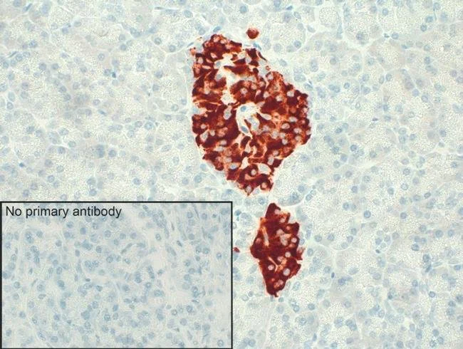
Immunohistochemistry (Formalin/PFA-fixed paraffin-embedded sections) - Anti-B2R antibody [13HCLC] (AB277806)
  • IHC-P

Supplier Data

Immunohistochemistry (Formalin/PFA-fixed paraffin-embedded sections) - Anti-B2R antibody [13HCLC] (AB277806)

Sections of human pancreas were dewaxed, microwaved in citric acid and incubated with ab277806 at a 1/500 dilution. Sections were then sequentially treated with biotinylated Anti-rabbit IgG and AB solution. Sections were then developed in AEC and lightly counterstained with hematoxylin. Control inset.

Western blot - Anti-B2R antibody [13HCLC] (AB277806)
  • WB

Supplier Data

Western blot - Anti-B2R antibody [13HCLC] (AB277806)

HEK-293 (human epithelial cell line from embryonic kidney) cells were stably transfected with BR2. Cells were lysed in detergent buffer and glycoproteins were enriched using wheat germ lectin agarose beads. Receptors were eluted from the beads using SDS sample buffer for 20 min at 45°C. Extracts were separated on 7.5% SDS-polyacrylamide gels and blotted onto PVDF membranes. Membranes were then incubated with ab277806 at a 1/500 dilution.

Lane 1 : Mock transfected.

Lane 2 : B2R transfected.

All lanes:

Western blot - Anti-B2R antibody [13HCLC] (ab277806)

Predicted band size: 44 kDa

false

Key facts

Host species

Rabbit

Clonality

Multiclonal

Clone number

13HCLC

Isotype

IgG

Carrier free

No

Reacts with

Human

Applications

WB, IHC-P

applications

Immunogen

Synthetic Peptide within Human BDKRB2 aa 350 to C-terminus. The exact immunogen used to generate this antibody is proprietary information.

P30411

Reactivity data

{ "title": "Reactivity Data", "filters": { "stats": ["", "Species", "Dilution Info", "Notes"], "tabs": { "all-applications": {"fullname" : "All Applications", "shortname": "All Applications"}, "IHCP" : {"fullname" : "Immunohistochemistry (Formalin/PFA-fixed paraffin-embedded sections)", "shortname":"IHC-P"}, "WB" : {"fullname" : "Western blot", "shortname":"WB"} }, "product-promise": { "all": "all", "testedAndGuaranteed": "tested", "guaranteed": "expected", "predicted": "predicted", "notRecommended": "not-recommended" } }, "values": { "Human": { "IHCP-species-checked": "testedAndGuaranteed", "IHCP-species-dilution-info": "1/500", "IHCP-species-notes": "<p></p>", "WB-species-checked": "testedAndGuaranteed", "WB-species-dilution-info": "1/500", "WB-species-notes": "<p></p>" } } }

Product details

What are recombinant multiclonals?
Recombinant multiclonals are a mixture of recombinant antibodies co-expressed from a library of heavy and light chains. They offer several advantages including:

  • - The sensitivity of polyclonal antibodies by recognising multiple epitopes
  • - High batch-to-batch consistency and reproducibility
  • - Improved sensitivity and specificity
  • - Long-term security of supply
  • - Animal-free batch production

View our range of recombinant multiclonal antibodies.

Properties and storage information

Form
Liquid
Purification technique
Affinity purification Protein A
Storage buffer
pH: 7.4 Preservative: 0.09% Sodium azide Constituents: PBS
Shipped at conditions
Blue Ice
Appropriate short-term storage duration
1-2 weeks
Appropriate short-term storage conditions
+4°C
Appropriate long-term storage conditions
-20°C
Aliquoting information
Upon delivery aliquot
Storage information
Avoid freeze / thaw cycle

Supplementary information

This supplementary information is collated from multiple sources and compiled automatically.

B2R also known as Bradykinin B2 Receptor is a receptor protein with a mass of approximately 41 kDa. It is part of the G-protein coupled receptor (GPCR) family. B2R receptors are widely expressed in various tissues including the prostate tissue cardiovascular system and central nervous system. This receptor primarily binds to bradykinin a peptide involved in numerous physiological processes.
Biological function summary

B2R plays a pivotal role in mediating responses to bradykinin influencing processes such as vasodilation inflammation and pain. It does not typically form part of a larger complex but operates as a membrane receptor. The interaction of bradykinin with B2R results in cellular responses that include the release of nitric oxide and prostaglandins which are important signaling molecules.

Pathways

B2R is involved in the kinin-kallikrein system and the inflammatory response pathway. In the kinin-kallikrein system B2R interacts with other proteins like kallikreins which activate bradykinin. In the inflammatory pathway B2R influences the prostaglandin biosynthesis process. Its function in these pathways makes it important for the regulation of blood pressure and inflammatory reactions.

B2R has been implicated in conditions such as hypertension and hereditary angioedema. The receptor's role in hypertension is linked to its ability to mediate vasodilation and blood pressure regulation. In hereditary angioedema B2R is associated with excessive bradykinin activity leading to edema. Connections with proteins like kallikreins in these disorders highlight B2R's involvement in abnormal protein function that can result in clinical symptoms.

Product protocols

For this product, it's our understanding that no specific protocols are required. You can visit:

Target data

Receptor for bradykinin. It is associated with G proteins that activate a phosphatidylinositol-calcium second messenger system.
See full target information BDKRB2

Publications (1)

Recent publications for all applications. Explore the full list and refine your search

The Journal of pharmacy and pharmacology 73:1643-1651 PubMed34061162

2021

Remimazolam alleviates neuropathic pain via regulating bradykinin receptor B1 and autophagy.

Applications

Unspecified application

Species

Unspecified reactive species

Haiyu Xie,Feng Lu,Weilian Liu,Enfu Wang,Lifeng Wang,Maolin Zhong
View all publications

Product promise

We are committed to supporting your work with high-quality reagents, and we're here for you every step of the way. In the unlikely event that one of our products does not perform as expected, you're protected by our Product Promise.
For full details, please see our Terms & Conditions

Please note: All products are 'FOR RESEARCH USE ONLY. NOT FOR USE IN DIAGNOSTIC OR THERAPEUTIC PROCEDURES'.

For licensing inquiries, please contact partnerships@abcam.com