JavaScript is disabled in your browser. Please enable JavaScript to view this website.
AB176891

Anti-B3GALNT1 antibody

Be the first to review this product! Submit a review

|

(1 Publication)

Rabbit Polyclonal B3GALNT1 antibody. Suitable for WB, IHC-P and reacts with Rat, Mouse, Human samples. Cited in 1 publication. Immunogen corresponding to Recombinant Fragment Protein within Human B3GALNT1 aa 1-250.

View Alternative Names

B3GALT3, UNQ531/PRO1074, B3GALNT1, Beta-3-Gx-T3, Galactosylgalactosylglucosylceramide beta-D-acetyl-galactosaminyltransferase, Globoside synthase, Beta3Gal-T3, Beta3GalT3, b3Gal-T3

2 Images
Western blot - Anti-B3GALNT1 antibody (AB176891)
  • WB

Supplier Data

Western blot - Anti-B3GALNT1 antibody (AB176891)

All lanes:

Western blot - Anti-B3GALNT1 antibody (ab176891) at 1/200 dilution

Lane 1:

Rat muscle lysate

Lane 2:

Mouse brain lysate

Predicted band size: 40 kDa

true

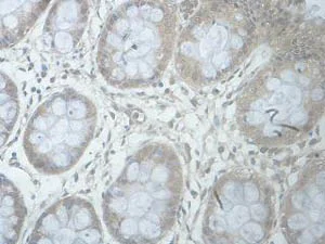
Immunohistochemistry (Formalin/PFA-fixed paraffin-embedded sections) - Anti-B3GALNT1 antibody (AB176891)
  • IHC-P

Supplier Data

Immunohistochemistry (Formalin/PFA-fixed paraffin-embedded sections) - Anti-B3GALNT1 antibody (AB176891)

Immunohistochemical analysis of formalin fixed and paraffin embedded Human fetal colon labeling B3GALNT1 with ab176891 at 1/00 dilution.

Key facts

Host species

Rabbit

Clonality

Polyclonal

Isotype

IgG

Carrier free

No

Reacts with

Mouse, Rat, Human

Applications

IHC-P, WB

applications

Immunogen

Recombinant Fragment Protein within Human B3GALNT1 aa 1-250. The exact immunogen used to generate this antibody is proprietary information.

O75752

Reactivity data

{ "title": "Reactivity Data", "filters": { "stats": ["", "Species", "Dilution Info", "Notes"], "tabs": { "all-applications": {"fullname" : "All Applications", "shortname": "All Applications"}, "WB" : {"fullname" : "Western blot", "shortname":"WB"}, "IHCP" : {"fullname" : "Immunohistochemistry (Formalin/PFA-fixed paraffin-embedded sections)", "shortname":"IHC-P"} }, "product-promise": { "all": "all", "testedAndGuaranteed": "tested", "guaranteed": "expected", "predicted": "predicted", "notRecommended": "not-recommended" } }, "values": { "Human": { "WB-species-checked": "guaranteed", "WB-species-dilution-info": "", "WB-species-notes": "", "IHCP-species-checked": "testedAndGuaranteed", "IHCP-species-dilution-info": "1/100 - 1/500", "IHCP-species-notes": "<p></p>" }, "Mouse": { "WB-species-checked": "testedAndGuaranteed", "WB-species-dilution-info": "1/200 - 1/1000", "WB-species-notes": "<p></p>", "IHCP-species-checked": "guaranteed", "IHCP-species-dilution-info": "", "IHCP-species-notes": "" }, "Rat": { "WB-species-checked": "testedAndGuaranteed", "WB-species-dilution-info": "1/200 - 1/1000", "WB-species-notes": "<p></p>", "IHCP-species-checked": "guaranteed", "IHCP-species-dilution-info": "", "IHCP-species-notes": "" } } }

Properties and storage information

Form
Lyophilized
Reconstitution
reconstitute with water at 200µL
Purification technique
Affinity purification Immunogen
Storage buffer
pH: 7.2 Preservative: 0.02% Sodium azide Constituents: PBS, 1% BSA
Shipped at conditions
Blue Ice
Appropriate short-term storage duration
1-2 weeks
Appropriate short-term storage conditions
+4°C
Appropriate long-term storage conditions
-20°C
Aliquoting information
Upon delivery aliquot
Storage information
Avoid freeze / thaw cycle

Supplementary information

This supplementary information is collated from multiple sources and compiled automatically.

{B3GALNT1} also known as beta-13-N-acetylgalactosaminyltransferase 1 is an enzyme that catalyzes the addition of N-acetylgalactosamine in a beta-13 linkage to its substrate. The enzyme has a molecular weight of approximately 60 kDa. It plays a significant role in the biosynthesis of certain glycoproteins and glycolipids. {B3GALNT1} is expressed in various tissues with higher levels observed in the brain and the central nervous system.
Biological function summary

The {B3GALNT1} enzyme contributes to the synthesis of Ganglioside GM2 an important component of neuronal membranes. It is not part of a complex but interacts with other enzymes in the sialylation pathways to ensure the correct structure of gangliosides. These interactions stabilize cellular membranes and facilitate cell signaling. Proper function of {B3GALNT1} ensures the integrity of cell communication and adhesion.

Pathways

{B3GALNT1} plays a role in the O-glycan biosynthesis pathway. This pathway contributes to the formation of glycoproteins essential for cellular interactions and signal transduction. The enzyme also participates in the metabolism of glycosphingolipids which connects it to proteins like ST3GAL2 that further modify gangliosides. These pathways highlight its importance in maintaining cellular homeostasis and health.

Mutations or dysregulation of {B3GALNT1} are linked to GM2 gangliosidosis a neurodegenerative disorder. Altered enzymatic activity can also associate with cancer as abnormal glycosylation affects tumor progression and metastasis. {B3GALNT1} interacts with proteins such as HEXA in these diseases highlighting its significance in pathological conditions. Understanding {B3GALNT1}'s roles aids in the development of therapeutic approaches for these disorders.

Product protocols

For this product, it's our understanding that no specific protocols are required. You can visit:

Target data

Transfers N-acetylgalactosamine onto globotriaosylceramide (PubMed : 10993897). Plays a critical role in preimplantation stage embryonic development (By similarity).
See full target information B3GALNT1

Publications (1)

Recent publications for all applications. Explore the full list and refine your search

Cell reports 42:112513 PubMed37204925

2023

Tissue-resident, extravascular Ly6c monocytes are critical for inflammation in the synovium.

Applications

Unspecified application

Species

Unspecified reactive species

Anna B Montgomery,Shang Yang Chen,Yidan Wang,Gaurav Gadhvi,Maximilian G Mayr,Carla M Cuda,Salina Dominguez,Hadijat-Kubura Moradeke Makinde,Miranda G Gurra,Alexander V Misharin,Arthur M Mandelin,Eric M Ruderman,Anjali Thakrar,Simran Brar,Mary Carns,Kathleen Aren,Mahzad Akbarpour,Andrew Filer,Saba Nayar,Ana Teososio,Triin Major,Ankit Bharat,G R Scott Budinger,Deborah R Winter,Harris Perlman
View all publications

Product promise

We are committed to supporting your work with high-quality reagents, and we're here for you every step of the way. In the unlikely event that one of our products does not perform as expected, you're protected by our Product Promise.
For full details, please see our Terms & Conditions

Please note: All products are 'FOR RESEARCH USE ONLY. NOT FOR USE IN DIAGNOSTIC OR THERAPEUTIC PROCEDURES'.

For licensing inquiries, please contact partnerships@abcam.com