JavaScript is disabled in your browser. Please enable JavaScript to view this website.
AB169759

Anti-B3GALT4 antibody [EPR11650]

Be the first to review this product! Submit a review

|

(4 Publications)

Rabbit Recombinant Monoclonal B3GALT4 antibody. Suitable for IHC-P, WB, Flow Cyt (Intra) and reacts with Human samples. Cited in 4 publications.

View Alternative Names

GALT4, B3GALT4, Beta3Gal-T4, Beta3GalT4, GalT4, b3Gal-T4, Gal-T2, Ganglioside galactosyltransferase

4 Images
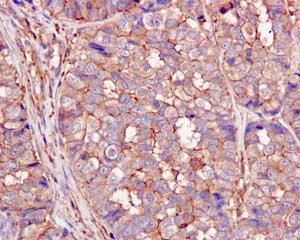
Immunohistochemistry (Formalin/PFA-fixed paraffin-embedded sections) - Anti-B3GALT4 antibody [EPR11650] (AB169759)
  • IHC-P

Supplier Data

Immunohistochemistry (Formalin/PFA-fixed paraffin-embedded sections) - Anti-B3GALT4 antibody [EPR11650] (AB169759)

Immunohistochemical analysis of paraffin-embedded Human breast carcinoma tissue labeling B3GALT4 with ab169759 at 1/50 dilution.

Perform heat mediated antigen retrieval with citrate buffer pH 6 before commencing with IHC staining protocol.

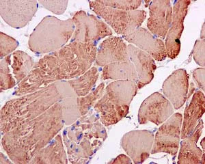
Immunohistochemistry (Formalin/PFA-fixed paraffin-embedded sections) - Anti-B3GALT4 antibody [EPR11650] (AB169759)
  • IHC-P

Supplier Data

Immunohistochemistry (Formalin/PFA-fixed paraffin-embedded sections) - Anti-B3GALT4 antibody [EPR11650] (AB169759)

Immunohistochemical analysis of paraffin-embedded Human muscle tissue labeling B3GALT4 with ab169759 at 1/50 dilution.

Perform heat mediated antigen retrieval with citrate buffer pH 6 before commencing with IHC staining protocol.

Western blot - Anti-B3GALT4 antibody [EPR11650] (AB169759)
  • WB

Supplier Data

Western blot - Anti-B3GALT4 antibody [EPR11650] (AB169759)

All lanes:

Western blot - Anti-B3GALT4 antibody [EPR11650] (ab169759) at 1/10000 dilution

Lane 1:

Fetal tissue lysate at 10 µg

Lane 2:

PC-3 cell lysate at 10 µg

Lane 3:

Jurkat cell lysate at 10 µg

Lane 4:

U87-MG cell lysate at 10 µg

Predicted band size: 42 kDa

false

Flow Cytometry (Intracellular) - Anti-B3GALT4 antibody [EPR11650] (AB169759)
  • Flow Cyt (Intra)

Supplier Data

Flow Cytometry (Intracellular) - Anti-B3GALT4 antibody [EPR11650] (AB169759)

Intracellular flow cytometric analysis of permeabilized Jurkat cells labeling B3GALT4 with ab169759 at 1/10 dilution (red) or a rabbit IgG (negative) (green).

  • Carrier free

    Anti-B3GALT4 antibody [EPR11650] - BSA and Azide free

Key facts

Host species

Rabbit

Clonality

Monoclonal

Clone number

EPR11650

Isotype

IgG

Carrier free

No

Reacts with

Human

Applications

Flow Cyt (Intra), IHC-P, WB

applications

Immunogen

The exact immunogen used to generate this antibody is proprietary information.

Reactivity data

{ "title": "Reactivity Data", "filters": { "stats": ["", "Species", "Dilution Info", "Notes"], "tabs": { "all-applications": {"fullname" : "All Applications", "shortname": "All Applications"}, "IHCP" : {"fullname" : "Immunohistochemistry (Formalin/PFA-fixed paraffin-embedded sections)", "shortname":"IHC-P"}, "WB" : {"fullname" : "Western blot", "shortname":"WB"}, "FlowCytIntra" : {"fullname" : "Flow Cytometry (Intracellular)", "shortname":"Flow Cyt (Intra)"} }, "product-promise": { "all": "all", "testedAndGuaranteed": "tested", "guaranteed": "expected", "predicted": "predicted", "notRecommended": "not-recommended" } }, "values": { "Human": { "IHCP-species-checked": "testedAndGuaranteed", "IHCP-species-dilution-info": "1/50", "IHCP-species-notes": "<p></p> Perform heat-mediated antigen retrieval with citrate buffer pH 6 before commencing with IHC staining protocol.", "WB-species-checked": "testedAndGuaranteed", "WB-species-dilution-info": "1/1000", "WB-species-notes": "<p></p>", "FlowCytIntra-species-checked": "testedAndGuaranteed", "FlowCytIntra-species-dilution-info": "1/10", "FlowCytIntra-species-notes": "<p><a href='/en-us/products/primary-antibodies/rabbit-igg-monoclonal-epr25a-isotype-control-ab172730'>ab172730</a> - Rabbit monoclonal IgG, is suitable for use as an isotype control with this antibody.</p>" }, "Mouse": { "IHCP-species-checked": "predicted", "IHCP-species-dilution-info": "", "IHCP-species-notes": "", "WB-species-checked": "predicted", "WB-species-dilution-info": "", "WB-species-notes": "", "FlowCytIntra-species-checked": "predicted", "FlowCytIntra-species-dilution-info": "", "FlowCytIntra-species-notes": "" }, "Rat": { "IHCP-species-checked": "predicted", "IHCP-species-dilution-info": "", "IHCP-species-notes": "", "WB-species-checked": "predicted", "WB-species-dilution-info": "", "WB-species-notes": "", "FlowCytIntra-species-checked": "predicted", "FlowCytIntra-species-dilution-info": "", "FlowCytIntra-species-notes": "" } } }

Product details

Patented technology
Our RabMAb® technology is a patented hybridoma-based technology for making rabbit monoclonal antibodies. For details on our patents, please refer to RabMAb® patents.

What are the advantages of a recombinant monoclonal antibody?
This product is a recombinant monoclonal antibody, which offers several advantages including:

  • - High batch-to-batch consistency and reproducibility
  • - Improved sensitivity and specificity
  • - Long-term security of supply
  • - Animal-free batch production

For more information, read more on recombinant antibodies.

Properties and storage information

Form
Liquid
Purification technique
Affinity purification Protein A
Storage buffer
pH: 7.2 - 7.4 Preservative: 0.01% Sodium azide Constituents: 50% Tissue culture supernatant, 40% Glycerol (glycerin, glycerine), 9% PBS, 0.05% BSA
Shipped at conditions
Blue Ice
Appropriate short-term storage duration
1-2 weeks
Appropriate short-term storage conditions
+4°C
Appropriate long-term storage conditions
-20°C
Aliquoting information
Upon delivery aliquot

Supplementary information

This supplementary information is collated from multiple sources and compiled automatically.

B3GALT4 also known as beta-13-galactosyltransferase-4 is a glycosyltransferase enzyme that plays an important role in glycosylation processes. This enzyme facilitates the transfer of galactose from UDP-galactose to the terminal N-acetylglucosamine of glycoproteins and glycolipids forming a beta-13 bond. B3GALT4 has a molecular mass of approximately 42 kDa. Expression of B3GALT4 occurs in various tissues including the brain liver and kidney indicating its extensive involvement across different physiological systems.
Biological function summary

The enzyme B3GALT4 contributes to the synthesis of glycan structures. It participates in the glycosphingolipid biosynthesis pathway where it has involvement in the addition of galactose to lactosylceramide. By doing so B3GALT4 helps in transforming lactosylceramide into more complex glycolipids which are components of cell membranes and mediate cell-cell interactions. This enzyme is not known as part of a larger complex but it acts independently within the glycosylation machinery.

Pathways

B3GALT4 functions within the glycosphingolipid metabolism and the N-glycan biosynthesis pathways. It contributes to the complexity and diversity of glycan structures that are key in these pathways. B3GALT4 interacts with other glycosyltransferases such as beta-14-galactosyltransferase in orchestrating the stepwise extension of oligosaccharide chains. Understanding these pathways offers insight into how B3GALT4 contributes to essential cellular functions like cell signaling and immune response.

B3GALT4 dysregulation associates with GM1 gangliosidosis and Morquio syndrome type B. GM1 gangliosidosis results from the accumulation of GM1 gangliosides due to insufficient breakdown often influenced by abnormal glycosylation from B3GALT4 activity. This disorder connects B3GALT4 with the lysosomal enzyme beta-galactosidase which is directly involved in degrading glycolipids. In Morquio syndrome type B mutations impacting glycosylation pathways suggest an indirect link to B3GALT4's enzymatic processes ultimately contributing to skeletal abnormalities.

Product protocols

For this product, it's our understanding that no specific protocols are required. You can visit:

Target data

Involved in GM1/GD1B/GA1 ganglioside biosynthesis.
See full target information B3GALT4

Publications (4)

Recent publications for all applications. Explore the full list and refine your search

PLoS biology 23:e3003362 PubMed40934285

2025

The mTORC2 subunit RICTOR drives breast cancer progression by promoting ganglioside biosynthesis through transcriptional and epigenetic mechanisms.

Applications

Unspecified application

Species

Unspecified reactive species

Mohammad Nafees Ansari,Somesh K Jha,Ali Khan,Kajal Rajput,Nishant Pandey,Dolly Jain,Rajeshwari Tripathi,Nihal Medatwal,Pankaj Sharma,Sudeshna Datta,Animesh Kar,Trishna Pani,Sk Asif Ali,Kaushavi Cholke,Kajal Rana,Valiya P Snijesh,Geetashree Mukherjee,Suryanarayana V S Deo,Soumen Basak,Ashutosh Mishra,Jyothi S Prabhu,Arnab Mukhopadhyay,Avinash Bajaj,Ujjaini Dasgupta

Discover oncology 15:488 PubMed39331217

2024

B3GALT4 modulates tumor progression and autophagy by AKT/mTOR signaling pathway in breast cancer.

Applications

Unspecified application

Species

Unspecified reactive species

Yongliang Sha,Huijie Zhuang,Jin Shi,Song Ge,Shiqing He,Yiqiu Wang,Li Ma,Hao Guo,Hui Cheng

Frontiers in immunology 13:1061814 PubMed36605200

2022

A novel ganglioside-related risk signature can reveal the distinct immune landscape of neuroblastoma and predict the immunotherapeutic response.

Applications

Unspecified application

Species

Unspecified reactive species

Jiaxing Yang,Lei Han,Yongliang Sha,Yan Jin,Zhongyuan Li,Baocheng Gong,Jie Li,Yun Liu,Yangyang Wang,Qiang Zhao

International journal of biological sciences 18:637-651 PubMed35002514

2022

CircCCNB1 silencing acting as a miR-106b-5p sponge inhibited GPM6A expression to promote HCC progression by enhancing DYNC1I1 expression and activating the AKT/ERK signaling pathway.

Applications

Unspecified application

Species

Unspecified reactive species

Yan-Ming Liu,Yue Cao,Ping-Sen Zhao,Liang-Yin Wu,Ya-Min Lu,Yu-Long Wang,Jia-Feng Zhao,Xin-Guang Liu
View all publications

Product promise

We are committed to supporting your work with high-quality reagents, and we're here for you every step of the way. In the unlikely event that one of our products does not perform as expected, you're protected by our Product Promise.
For full details, please see our Terms & Conditions

Please note: All products are 'FOR RESEARCH USE ONLY. NOT FOR USE IN DIAGNOSTIC OR THERAPEUTIC PROCEDURES'.

For licensing inquiries, please contact partnerships@abcam.com