JavaScript is disabled in your browser. Please enable JavaScript to view this website.
AB275029

Anti-B7-H6 antibody [EPR23470-210] - BSA and Azide free

Be the first to review this product! Submit a review

|

(0 Publication)

Rabbit Recombinant Monoclonal B7-H6 antibody. Carrier free. Suitable for IP, WB and reacts with Human samples.

View Alternative Names

B7H6, NCR3LG1, Natural cytotoxicity triggering receptor 3 ligand 1, B7 homolog 6, B7-H6

3 Images
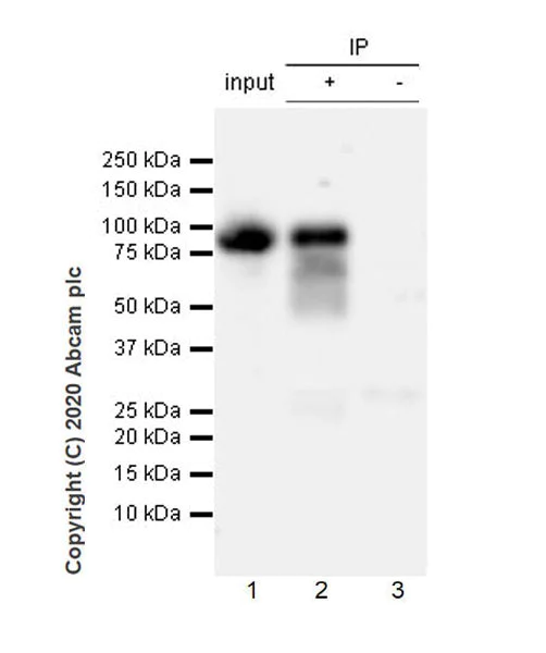
Immunoprecipitation - Anti-B7-H6 antibody [EPR23470-210] - BSA and Azide free (AB275029)
  • IP

Unknown

Immunoprecipitation - Anti-B7-H6 antibody [EPR23470-210] - BSA and Azide free (AB275029)

This data was developed using ab253180, the same antibody clone in a different buffer formulation.

B7-H6 was immunoprecipitated from 0.35 mg HepG2 (human liver hepatocellular carcinoma cell line) whole cell lysate with ab253180 at 1/30 dilution (2ug in 0.35mg lysates). Western blot was performed on the immunoprecipitate using ab253180 at 1/1000 dilution. VeriBlot for IP Detection Reagent (HRP)(ab131366) was used at 1/5000 dilution.

Lane 1 : HepG2 (human liver hepatocellular carcinoma cell line) whole cell lysate 10 μg

Lane 2 : ab253180 IP in HepG2 whole cell lysate

Lane 3 : Rabbit monoclonal IgG (ab172730) instead of ab253180 in HepG2 whole cell lysate

Blocking and dilution buffer and concentration : 5% NFDM/TBST.

Exposure time : 41 seconds.

The lower bands are likely to be the deglycosylated form of B7-H6

All lanes:

Immunoprecipitation - Anti-B7-H6 antibody [EPR23470-210] (<a href='/en-us/products/primary-antibodies/b7-h6-antibody-epr23470-210-ab253180'>ab253180</a>)

Predicted band size: 51 kDa

Observed band size: 80 kDa

false

Western blot - Anti-B7-H6 antibody [EPR23470-210] - BSA and Azide free (AB275029)
  • WB

Lab

Western blot - Anti-B7-H6 antibody [EPR23470-210] - BSA and Azide free (AB275029)

This data was developed using the same antibody clone in a different buffer formulation containing PBS, BSA, glycerol, and sodium azide (ab253180).

Western blot : Anti-B7-H6 antibody [EPR23470-210] ab253180 staining at 1/1000 dilution, shown in green; Mouse anti GAPDH ab8245 loading control staining at 1/20000 dilution, shown in magenta. A band was observed at 70-80 kDa in Wild-type Raji UNBOILED cell lysates with no signal observed at this size in NCR3LG1 knockout Raji UNBOILED cell line. To generate this image, samples were run on an SDS-PAGE gel then transferred onto a nitrocellulose membrane. Membranes were blocked in 5pc Milk in TBS-0.1 % Tween 20 (TBS-T) before incubation with primary antibodies overnight at 4 °C. Blots were washed four times in TBS-T, incubated with secondary antibodies for 1 h at room temperature, washed again four times then imaged. Secondary antibodies used were Goat anti-Rabbit 800CW and Goat anti-Mouse 680RD at 1/20,000 dilution.

All lanes:

Western blot - Anti-B7-H6 antibody [EPR23470-210] (<a href='/en-us/products/primary-antibodies/b7-h6-antibody-epr23470-210-ab253180'>ab253180</a>) at 1/1000 dilution

Lane 1:

Wild-type Raji UNBOILED whole cell lysate at 20 µg

Lane 2:

Western blot - Human NCR3LG1 knockout Raji cell line (<a href='/en-us/products/cell-lines/human-ncr3lg1-knockout-raji-cell-line-ab290414'>ab290414</a>) at 20 µg

Lane 3:

HepG2 UNBOILED whole cell lysate at 20 µg

Lane 4:

K562 UNBOILED whole cell lysate at 20 µg

Lane 5:

Daudi UNBOILED whole cell lysate at 20 µg

Lane 6:

SK-OV-3 UNBOILED whole cell lysate at 20 µg

Secondary

All lanes:

Goat anti-Rabbit 800CW & Goat anti-Mouse 680RD at 1/20000 dilution

Predicted band size: 51 kDa

Observed band size: 70-80 kDa

false

Western blot - Anti-B7-H6 antibody [EPR23470-210] - BSA and Azide free (AB275029)
  • WB

Unknown

Western blot - Anti-B7-H6 antibody [EPR23470-210] - BSA and Azide free (AB275029)

This data was developed using ab253180, the same antibody clone in a different buffer formulation.

Blocking and dilution buffer : 5% NFDM/TBST.

Exposure time : 3 minutes.

Negative control : MCF7.

The expression profile is consistent with the literature (PMID : 22851709).
B7-H6 is a glycoprotein and can be de-glycosylated by PNGase F. The molecular mass observed is consistent with the literature (PMID : 24780758).

All lanes:

Western blot - Anti-B7-H6 antibody [EPR23470-210] (<a href='/en-us/products/primary-antibodies/b7-h6-antibody-epr23470-210-ab253180'>ab253180</a>) at 1/1000 dilution

Lane 1:

Untreated HepG2 (human liver hepatocellular carcinoma cell line) whole cell lysate at 20 µg

Lane 2:

HepG2 whole cell lysate treated with PNGase F 20 at 20 µg

Lane 3:

K562 (human chronic myelogenous leukemia cell line from bone marrow) whole cell lysate at 20 µg

Lane 4:

MCF7 (human breast adenocarcinoma cell line) whole cell lysate at 20 µg

Secondary

All lanes:

Goat Anti-Rabbit IgG, (H+L), Peroxidase conjugated (<a href='/en-us/products/secondary-antibodies/goat-rabbit-igg-h-l-hrp-ab97051'>ab97051</a>) at 1/100000 dilution

Predicted band size: 51 kDa

Observed band size: 50 kDa,80 kDa

false

Key facts

Host species

Rabbit

Clonality

Monoclonal

Clone number

EPR23470-210

Isotype

IgG

Carrier free

Yes

Reacts with

Human

Applications

WB, IP

applications

Immunogen

The exact immunogen used to generate this antibody is proprietary information.

Reactivity data

{ "title": "Reactivity Data", "filters": { "stats": ["", "Species", "Dilution Info", "Notes"], "tabs": { "all-applications": {"fullname" : "All Applications", "shortname": "All Applications"}, "ICCIF" : {"fullname" : "Immunocytochemistry/ Immunofluorescence", "shortname":"ICC/IF"}, "IP" : {"fullname" : "Immunoprecipitation", "shortname":"IP"}, "FlowCyt" : {"fullname" : "Flow Cytometry", "shortname":"Flow Cyt"}, "WB" : {"fullname" : "Western blot", "shortname":"WB"}, "IHCP" : {"fullname" : "Immunohistochemistry (Formalin/PFA-fixed paraffin-embedded sections)", "shortname":"IHC-P"} }, "product-promise": { "all": "all", "testedAndGuaranteed": "tested", "guaranteed": "expected", "predicted": "predicted", "notRecommended": "not-recommended" } }, "values": { "Human": { "ICCIF-species-checked": "notRecommended", "ICCIF-species-dilution-info": "", "ICCIF-species-notes": "<p></p>", "IP-species-checked": "testedAndGuaranteed", "IP-species-dilution-info": "", "IP-species-notes": "<p></p>", "FlowCyt-species-checked": "notRecommended", "FlowCyt-species-dilution-info": "", "FlowCyt-species-notes": "<p></p>", "WB-species-checked": "testedAndGuaranteed", "WB-species-dilution-info": "", "WB-species-notes": "<p></p>", "IHCP-species-checked": "notRecommended", "IHCP-species-dilution-info": "", "IHCP-species-notes": "<p></p>" }, "Mouse": { "ICCIF-species-checked": "notRecommended", "ICCIF-species-dilution-info": "", "ICCIF-species-notes": "", "IP-species-checked": "notRecommended", "IP-species-dilution-info": "", "IP-species-notes": "", "FlowCyt-species-checked": "notRecommended", "FlowCyt-species-dilution-info": "", "FlowCyt-species-notes": "", "WB-species-checked": "notRecommended", "WB-species-dilution-info": "", "WB-species-notes": "<p></p>", "IHCP-species-checked": "notRecommended", "IHCP-species-dilution-info": "", "IHCP-species-notes": "<p></p>" }, "Rat": { "ICCIF-species-checked": "notRecommended", "ICCIF-species-dilution-info": "", "ICCIF-species-notes": "", "IP-species-checked": "notRecommended", "IP-species-dilution-info": "", "IP-species-notes": "", "FlowCyt-species-checked": "notRecommended", "FlowCyt-species-dilution-info": "", "FlowCyt-species-notes": "", "WB-species-checked": "notRecommended", "WB-species-dilution-info": "", "WB-species-notes": "<p></p>", "IHCP-species-checked": "notRecommended", "IHCP-species-dilution-info": "", "IHCP-species-notes": "<p></p>" } } }

Product details

ab275029 is the carrier-free version of ab253180.

Patented technology
Our RabMAb® technology is a patented hybridoma-based technology for making rabbit monoclonal antibodies. For details on our patents, please refer to RabMAb® patents.

What are the advantages of a recombinant monoclonal antibody?
This product is a recombinant monoclonal antibody, which offers several advantages including:

  • - High batch-to-batch consistency and reproducibility
  • - Improved sensitivity and specificity
  • - Long-term security of supply
  • - Animal-free batch production

For more information, read more on recombinant antibodies.

Conjugation ready
Our carrier-free antibodies are typically supplied in a PBS-only formulation, purified and free of BSA, sodium azide and glycerol. This conjugation-ready format is designed for use with fluorochromes, metal isotopes, oligonucleotides, and enzymes, which makes them ideal for antibody labelling, functional and cell-based assays, flow-based assays (e.g. mass cytometry) and Multiplex Imaging applications.

Use our conjugation kits for antibody conjugates that are ready-to-use in as little as 20 minutes with 1 minute hands-on-time and 100% antibody recovery: available for fluorescent dyes, HRP, biotin and gold.

Compatibility
This product is compatible with the Maxpar® Antibody Labeling Kit from Fluidigm, without the need for antibody preparation. Maxpar® is a trademark of Fluidigm Canada Inc.

Properties and storage information

Form
Liquid
Purification technique
Affinity purification Protein A
Storage buffer
Constituents: PBS
Shipped at conditions
Blue Ice
Appropriate short-term storage conditions
+4°C
Appropriate long-term storage conditions
+4°C
Storage information
Do Not Freeze

Supplementary information

This supplementary information is collated from multiple sources and compiled automatically.

B7-H6 also called NCR3LG1 is a cell surface protein functioning as a ligand for the NKp30 receptor. The protein weighs approximately 55 kDa and is mainly expressed on tumor cells and certain activated immune cells. Scientists often use tools like B7-H6 flow assays to study its expression patterns in various cell types. In the immune landscape B7-H6 interacts with NKp30 to stimulate natural killer (NK) cell activation and mediate immune responses.
Biological function summary

B7-H6 acts as an important component in natural killer cell-mediated cytotoxicity. The protein is not part of a larger complex but operates independently to engage NK cell activity. It serves as a signal for NK cells to identify and destroy tumor cells. Additionally B7-H6 expression on tumor cells often correlates with immune cell recognition thereby playing an important role in tumor immunity.

Pathways

B7-H6 participates in the immune response pathways connected to natural killer cell activation. Specifically it interacts with proteins like NKp30 as part of the natural cytotoxicity triggering receptor signaling process. These interactions facilitate the destruction of target cells enhancing the body's innate immune response by activating downstream pathways vital to immune defense.

B7-H6 has associations with cancer and infectious diseases. In several cancer types including mesothelioma the protein's elevated expression can serve as an indicator of tumorigenesis. B7-H6 alongside its partner NKp30 potentially plays a role in immune escape mechanisms employed by tumors. Understanding this interaction offers insights into novel therapeutic strategies for tackling such conditions.

Product protocols

For this product, it's our understanding that no specific protocols are required. You can visit:

Target data

Triggers NCR3-dependent natural killer cell activation.
See full target information NCR3LG1

Product promise

We are committed to supporting your work with high-quality reagents, and we're here for you every step of the way. In the unlikely event that one of our products does not perform as expected, you're protected by our Product Promise.
For full details, please see our Terms & Conditions

Please note: All products are 'FOR RESEARCH USE ONLY. NOT FOR USE IN DIAGNOSTIC OR THERAPEUTIC PROCEDURES'.

For licensing inquiries, please contact partnerships@abcam.com