JavaScript is disabled in your browser. Please enable JavaScript to view this website.
AB316976

Anti-B7-H6 antibody [EPR28658-68] - BSA and Azide free

Be the first to review this product! Submit a review

|

(0 Publication)

Rabbit Recombinant Monoclonal B7-H6 antibody. Carrier free. Suitable for IHC-P and reacts with Human samples.

View Alternative Names

B7H6, NCR3LG1, Natural cytotoxicity triggering receptor 3 ligand 1, B7 homolog 6, B7-H6

5 Images
Immunohistochemistry (Formalin/PFA-fixed paraffin-embedded sections) - Anti-B7-H6 antibody [EPR28658-68] - BSA and Azide free (AB316976)
  • IHC-P

Supplier Data

Immunohistochemistry (Formalin/PFA-fixed paraffin-embedded sections) - Anti-B7-H6 antibody [EPR28658-68] - BSA and Azide free (AB316976)

This data was developed using ab316975, the same antibody clone in a different buffer formulation.

Immunohistochemical analysis of paraffin-embedded Human lung tissue labeling B7-H6 with ab316975 at 1/100 (5.08 ug/ml) dilution, followed by a ready to use LeicaDS9800 (Bond™ Polymer Refine Detection).

Negative control : No staining in human lung (PMID : 25400778).
The section was incubated with ab316975 for 30 mins at room temperature.
The immunostaining was performed on a Leica Biosystems BOND® RX instrument

Counterstained with Hematoxylin.

Secondary antibody only control : Secondary antibody is a ready to use LeicaDS9800 (Bond™ Polymer Refine Detection).

Heat mediated antigen retrieval was performed with Tris-EDTA buffer (pH 9.0, Epitope Retrieval Solution2) for 20 mins

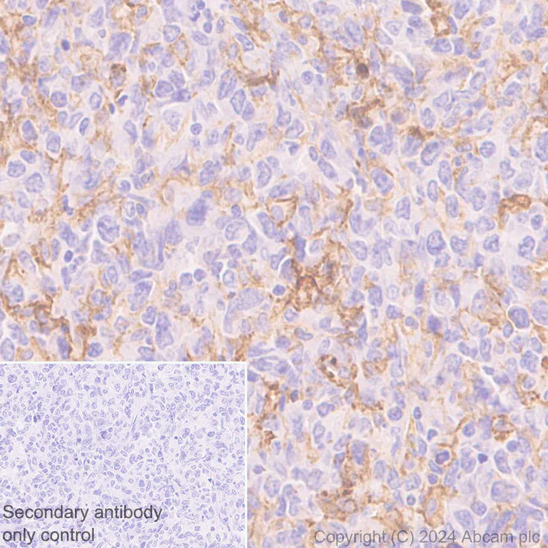
Immunohistochemistry (Formalin/PFA-fixed paraffin-embedded sections) - Anti-B7-H6 antibody [EPR28658-68] - BSA and Azide free (AB316976)
  • IHC-P

Supplier Data

Immunohistochemistry (Formalin/PFA-fixed paraffin-embedded sections) - Anti-B7-H6 antibody [EPR28658-68] - BSA and Azide free (AB316976)

This data was developed using ab316975, the same antibody clone in a different buffer formulation.

Immunohistochemical analysis of paraffin-embedded Human B cell lymphoma tissue labeling B7-H6 with ab316975 at 1/100 (5.08 ug/ml) dilution, followed by a ready to use LeicaDS9800 (Bond™ Polymer Refine Detection).

Positive staining in human B cell lymphoma (PMID : 19528259).
The section was incubated with ab316975 for 30 mins at room temperature.
The immunostaining was performed on a Leica Biosystems BOND® RX instrument

Counterstained with Hematoxylin.

Secondary antibody only control : Secondary antibody is a ready to use LeicaDS9800 (Bond™ Polymer Refine Detection).

Heat mediated antigen retrieval was performed with Tris-EDTA buffer (pH 9.0, Epitope Retrieval Solution2) for 20 mins

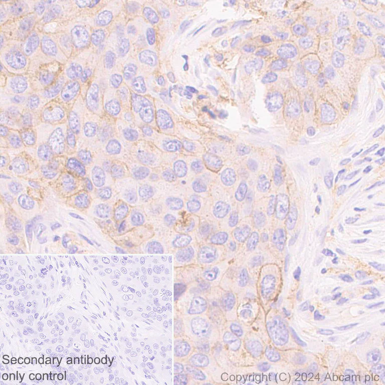
Immunohistochemistry (Formalin/PFA-fixed paraffin-embedded sections) - Anti-B7-H6 antibody [EPR28658-68] - BSA and Azide free (AB316976)
  • IHC-P

Supplier Data

Immunohistochemistry (Formalin/PFA-fixed paraffin-embedded sections) - Anti-B7-H6 antibody [EPR28658-68] - BSA and Azide free (AB316976)

This data was developed using ab316975, the same antibody clone in a different buffer formulation.

Immunohistochemical analysis of paraffin-embedded Human breast cancer tissue labeling B7-H6 with ab316975 at 1/100 (5.08 ug/ml) dilution, followed by a ready to use LeicaDS9800 (Bond™ Polymer Refine Detection).

Positive staining in human breast cancer.
The section was incubated with ab316975 for 30 mins at room temperature.
The immunostaining was performed on a Leica Biosystems BOND® RX instrument

Counterstained with Hematoxylin.

Secondary antibody only control : Secondary antibody is a ready to use LeicaDS9800 (Bond™ Polymer Refine Detection).

Heat mediated antigen retrieval was performed with Tris-EDTA buffer (pH 9.0, Epitope Retrieval Solution2) for 20 mins

Immunohistochemistry (Formalin/PFA-fixed paraffin-embedded sections) - Anti-B7-H6 antibody [EPR28658-68] - BSA and Azide free (AB316976)
  • IHC-P

Supplier Data

Immunohistochemistry (Formalin/PFA-fixed paraffin-embedded sections) - Anti-B7-H6 antibody [EPR28658-68] - BSA and Azide free (AB316976)

This data was developed using ab316975, the same antibody clone in a different buffer formulation.

Immunohistochemical analysis of paraffin-embedded (A) HepG2 (human hepatocellular carcinoma epithelial cell) cell pellet. (B) K562 (Human chronic myelogenous leukemia lymphoblast) cell pellets; (C) MCF-7 (human breast adenocarcinoma epithelial cell) cell pellet; (D) Daudi (human Burkitt's lymphoma lymphoblast) cell pellets; tissue labeling B7-H6 with ab316975 at 1/500 (1.016 ug/ml) dilution, followed by a ready to use LeicaDS9800 (Bond™ Polymer Refine Detection).

Positive staining in (A) HepG2 and (B) K562, no staining in (C) MCF-7 and (D) Daudi.
The section was incubated with ab316975 for 30 mins at room temperature.
The immunostaining was performed on a Leica Biosystems BOND® RX instrument

Counterstained with Hematoxylin.

Secondary antibody only control : Secondary antibody is a ready to use LeicaDS9800 (Bond™ Polymer Refine Detection).

Heat mediated antigen retrieval was performed with Tris-EDTA buffer (pH 9.0, Epitope Retrieval Solution2) for 20 mins

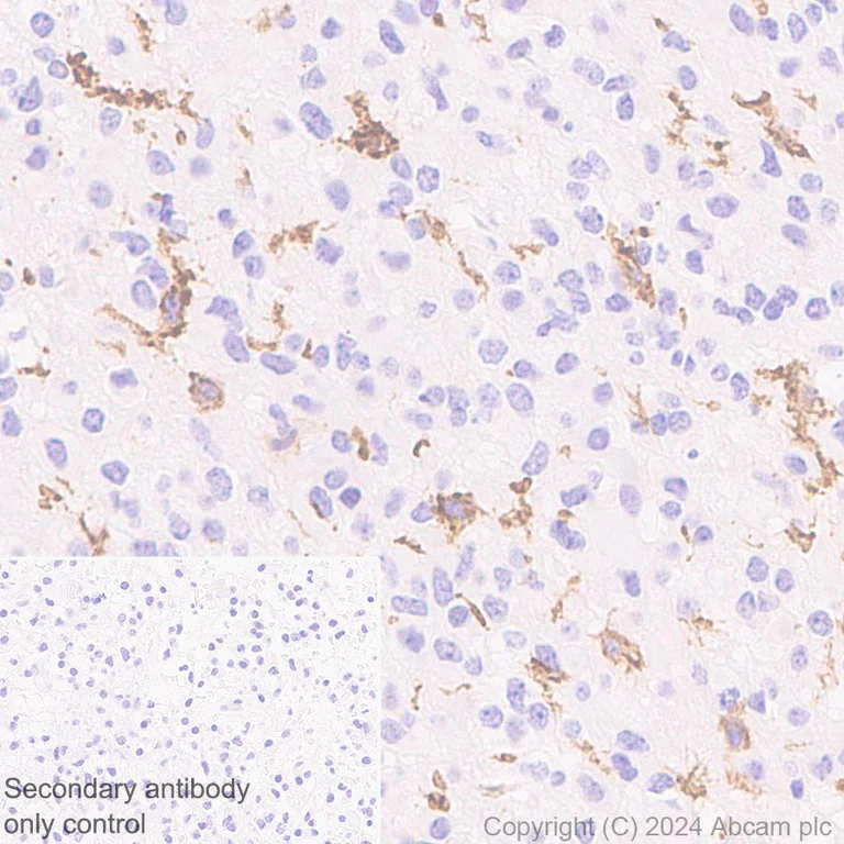
Immunohistochemistry (Formalin/PFA-fixed paraffin-embedded sections) - Anti-B7-H6 antibody [EPR28658-68] - BSA and Azide free (AB316976)
  • IHC-P

Supplier Data

Immunohistochemistry (Formalin/PFA-fixed paraffin-embedded sections) - Anti-B7-H6 antibody [EPR28658-68] - BSA and Azide free (AB316976)

This data was developed using ab316975, the same antibody clone in a different buffer formulation.

Immunohistochemical analysis of paraffin-embedded Human astrocytoma tissue labeling B7-H6 with ab316975 at 1/100 (5.08 ug/ml) dilution, followed by a ready to use LeicaDS9800 (Bond™ Polymer Refine Detection).

Positive staining in human astrocytoma (PMID : 27330308).
The section was incubated with ab316975 for 30 mins at room temperature.
The immunostaining was performed on a Leica Biosystems BOND® RX instrument

Counterstained with Hematoxylin.

Secondary antibody only control : Secondary antibody is a ready to use LeicaDS9800 (Bond™ Polymer Refine Detection).

Heat mediated antigen retrieval was performed with Tris-EDTA buffer (pH 9.0, Epitope Retrieval Solution2) for 20 mins

Key facts

Host species

Rabbit

Clonality

Monoclonal

Clone number

EPR28658-68

Isotype

IgG

Carrier free

Yes

Reacts with

Human

Applications

IHC-P

applications

Immunogen

The exact immunogen used to generate this antibody is proprietary information.

Reactivity data

{ "title": "Reactivity Data", "filters": { "stats": ["", "Species", "Dilution Info", "Notes"], "tabs": { "all-applications": {"fullname" : "All Applications", "shortname": "All Applications"}, "WB" : {"fullname" : "Western blot", "shortname":"WB"}, "IHCP" : {"fullname" : "Immunohistochemistry (Formalin/PFA-fixed paraffin-embedded sections)", "shortname":"IHC-P"}, "ICCIF" : {"fullname" : "Immunocytochemistry/ Immunofluorescence", "shortname":"ICC/IF"}, "FlowCyt" : {"fullname" : "Flow Cytometry", "shortname":"Flow Cyt"} }, "product-promise": { "all": "all", "testedAndGuaranteed": "tested", "guaranteed": "expected", "predicted": "predicted", "notRecommended": "not-recommended" } }, "values": { "Human": { "WB-species-checked": "notRecommended", "WB-species-dilution-info": "", "WB-species-notes": "<p></p>", "IHCP-species-checked": "testedAndGuaranteed", "IHCP-species-dilution-info": "", "IHCP-species-notes": "<p></p>", "ICCIF-species-checked": "notRecommended", "ICCIF-species-dilution-info": "", "ICCIF-species-notes": "<p></p>", "FlowCyt-species-checked": "notRecommended", "FlowCyt-species-dilution-info": "", "FlowCyt-species-notes": "<p></p>" }, "Mouse": { "WB-species-checked": "notRecommended", "WB-species-dilution-info": "", "WB-species-notes": "<p></p>", "IHCP-species-checked": "notRecommended", "IHCP-species-dilution-info": "", "IHCP-species-notes": "<p></p>", "ICCIF-species-checked": "notRecommended", "ICCIF-species-dilution-info": "", "ICCIF-species-notes": "", "FlowCyt-species-checked": "notRecommended", "FlowCyt-species-dilution-info": "", "FlowCyt-species-notes": "" }, "Rat": { "WB-species-checked": "notRecommended", "WB-species-dilution-info": "", "WB-species-notes": "<p></p>", "IHCP-species-checked": "notRecommended", "IHCP-species-dilution-info": "", "IHCP-species-notes": "<p></p>", "ICCIF-species-checked": "notRecommended", "ICCIF-species-dilution-info": "", "ICCIF-species-notes": "", "FlowCyt-species-checked": "notRecommended", "FlowCyt-species-dilution-info": "", "FlowCyt-species-notes": "" } } }

Product details

ab316976 is the carrier-free version of ab316975.

Patented technology
Our RabMAb® technology is a patented hybridoma-based technology for making rabbit monoclonal antibodies. For details on our patents, please refer to RabMAb® patents.

What are the advantages of a recombinant monoclonal antibody?
This product is a recombinant monoclonal antibody, which offers several advantages including:

  • - High batch-to-batch consistency and reproducibility
  • - Improved sensitivity and specificity
  • - Long-term security of supply
  • - Animal-free batch production

For more information, read more on recombinant antibodies.

Conjugation ready
Our carrier-free antibodies are typically supplied in a PBS-only formulation, purified and free of BSA, sodium azide and glycerol. This conjugation-ready format is designed for use with fluorochromes, metal isotopes, oligonucleotides, and enzymes, which makes them ideal for antibody labelling, functional and cell-based assays, flow-based assays (e.g. mass cytometry) and Multiplex Imaging applications.

Use our conjugation kits for antibody conjugates that are ready-to-use in as little as 20 minutes with 1 minute hands-on-time and 100% antibody recovery: available for fluorescent dyes, HRP, biotin and gold.

Compatibility
This product is compatible with the Maxpar® Antibody Labeling Kit from Fluidigm, without the need for antibody preparation. Maxpar® is a trademark of Fluidigm Canada Inc.

Properties and storage information

Form
Liquid
Purification technique
Affinity purification Protein A
Storage buffer
pH: 7.2 - 7.4 Constituents: PBS
Shipped at conditions
Blue Ice
Appropriate short-term storage conditions
+4°C
Appropriate long-term storage conditions
+4°C

Supplementary information

This supplementary information is collated from multiple sources and compiled automatically.

B7-H6 also called NCR3LG1 is a cell surface protein functioning as a ligand for the NKp30 receptor. The protein weighs approximately 55 kDa and is mainly expressed on tumor cells and certain activated immune cells. Scientists often use tools like B7-H6 flow assays to study its expression patterns in various cell types. In the immune landscape B7-H6 interacts with NKp30 to stimulate natural killer (NK) cell activation and mediate immune responses.
Biological function summary

B7-H6 acts as an important component in natural killer cell-mediated cytotoxicity. The protein is not part of a larger complex but operates independently to engage NK cell activity. It serves as a signal for NK cells to identify and destroy tumor cells. Additionally B7-H6 expression on tumor cells often correlates with immune cell recognition thereby playing an important role in tumor immunity.

Pathways

B7-H6 participates in the immune response pathways connected to natural killer cell activation. Specifically it interacts with proteins like NKp30 as part of the natural cytotoxicity triggering receptor signaling process. These interactions facilitate the destruction of target cells enhancing the body's innate immune response by activating downstream pathways vital to immune defense.

B7-H6 has associations with cancer and infectious diseases. In several cancer types including mesothelioma the protein's elevated expression can serve as an indicator of tumorigenesis. B7-H6 alongside its partner NKp30 potentially plays a role in immune escape mechanisms employed by tumors. Understanding this interaction offers insights into novel therapeutic strategies for tackling such conditions.

Product protocols

For this product, it's our understanding that no specific protocols are required. You can visit:

Target data

Triggers NCR3-dependent natural killer cell activation.
See full target information NCR3LG1

Product promise

We are committed to supporting your work with high-quality reagents, and we're here for you every step of the way. In the unlikely event that one of our products does not perform as expected, you're protected by our Product Promise.
For full details, please see our Terms & Conditions

Please note: All products are 'FOR RESEARCH USE ONLY. NOT FOR USE IN DIAGNOSTIC OR THERAPEUTIC PROCEDURES'.

For licensing inquiries, please contact partnerships@abcam.com