JavaScript is disabled in your browser. Please enable JavaScript to view this website.
AB269460

Anti-B7H4 antibody [EPR20236-9] - BSA and Azide free

Be the first to review this product! Submit a review

|

(0 Publication)

Rabbit Recombinant Monoclonal B7H4 antibody. Carrier free. Suitable for IP, Flow Cyt, WB, ICC/IF and reacts with Human, Mouse samples.

View Alternative Names

B7H4, UNQ659/PRO1291, VTCN1, V-set domain-containing T-cell activation inhibitor 1, B7 homolog 4, B7h.5, Immune costimulatory protein B7-H4, Protein B7S1, T-cell costimulatory molecule B7x, B7-H4

3 Images
Immunocytochemistry/ Immunofluorescence - Anti-B7H4 antibody [EPR20236-9] - BSA and Azide free (AB269460)
  • ICC/IF

Unknown

Immunocytochemistry/ Immunofluorescence - Anti-B7H4 antibody [EPR20236-9] - BSA and Azide free (AB269460)

Immunofluorescent analysis of 4% Paraformaldehyde-fixed, 0.1% Triton X-100 permeabilized HEK-293T (human embryonic kidney epithelial cell) cells labelling B7H4 with ab269455 at 1/500 dilution, followed by ab150077 AlexaFluor®488 Goat anti-Rabbit secondary antibody at 1/1000 dilution (Green). Confocal image showing cytoplasmic and membranous staining in HEK-293T cell line transfected with a HA-tagged B7-H4 expression vector. Alexa Fluor® 647 anti-HA.11 Epitope Tag Antibody was used at 200 dilution to detecte the overexpressed protein (Red). The nuclear counterstain was DAPI (Blue).

Secondary antibody only control : Secondary antibody is ab150077 AlexaFluo®488 Goat anti-Rabbit secondary at 1/1000 dilution.

This data was developed using the same antibody clone in a different buffer formulation containing PBS, BSA, glycerol, and sodium azide (ab269455).

Flow Cytometry - Anti-B7H4 antibody [EPR20236-9] - BSA and Azide free (AB269460)
  • Flow Cyt

Unknown

Flow Cytometry - Anti-B7H4 antibody [EPR20236-9] - BSA and Azide free (AB269460)

Flow cytometric analysis of 2% paraformaldehyde fixed 0.1% Tween-20 permeabilized HEK-293T (human embryonic kidney epithelial cell) transfected with myc-tagged B7-H4 expression vector cells labelling B7H4 with ab269455 at 1/60 dilution (Right) compared with a Rabbit monoclonal IgG (ab172730) isotype control (Left). PMID : 23722540 and PMID : 27632942 showed that cell surface expression of B7-H4 hard to detected in vitro cultured cell lines, and all the commercial B7H4 antibodies that recommend FC as an application use the overexpression system. Our RabMab also could recognise overexpressed B7H4.The overexpression plasmid contains the full length aa1-282 of human B7H4(Q7Z7D3) with HA tag in pcDNA3.1(+) vector.

Cells were surface stained with rabbit IgG (Left) or ab269455 (Right). Then fixed with 2% PFA followed by intracellularly stained with anti-HA tag conjugated to Alexa Fluor® 647.

This data was developed using the same antibody clone in a different buffer formulation containing PBS, BSA, glycerol, and sodium azide (ab269455).

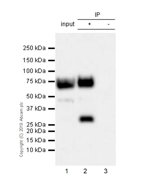
Immunoprecipitation - Anti-B7H4 antibody [EPR20236-9] - BSA and Azide free (AB269460)
  • IP

Unknown

Immunoprecipitation - Anti-B7H4 antibody [EPR20236-9] - BSA and Azide free (AB269460)

B7H4 was immunoprecipitated from 0.35 mg SK-BR-3 (Human breast adenocarcinoma epithelial cell) whole cell lysate with ab269455 at 1/30 dilution (2ug in 0.35mg lysates). Western blot was performed on the immunoprecipitate using ab269455 at 1/1000 dilution. VeriBlot for IP Detection Reagent (HRP) (ab131366) was used at 1/5000 dilution.

Lane 1 : SK-BR-3 whole cell lysate 10ug.

Lane 2 : ab269455 IP in SK-BR-3 whole cell lysate.

Lane 3 : Rabbit monoclonal IgG (ab172730) instead of ab269455 in SK-BR-3 whole cell lysate.

Blocking and dilution buffer and concentration : 5% NFDM/TBST.

Exposure time : 30 seconds.

B7H4 is N-glycosylated protein. The level of B7H4 glycosylation varies between different cells and tissues. The band at 65kDa represents glycosylated B7H4. The band at 28kDa represents non-glycosylated B7H4 (PMID : 15878339).

This data was developed using the same antibody clone in a different buffer formulation containing PBS, BSA, glycerol, and sodium azide (ab269455).

All lanes:

Immunoprecipitation - Anti-B7H4 antibody [EPR20236-9] (<a href='/en-us/products/primary-antibodies/b7h4-antibody-epr20236-9-ab269455'>ab269455</a>)

Predicted band size: 31 kDa

Observed band size: 28 kDa,65 kDa

false

Key facts

Host species

Rabbit

Clonality

Monoclonal

Clone number

EPR20236-9

Isotype

IgG

Carrier free

Yes

Reacts with

Mouse, Human

Applications

IP, WB, ICC/IF, Flow Cyt

applications

Immunogen

The exact immunogen used to generate this antibody is proprietary information.

Reactivity data

{ "title": "Reactivity Data", "filters": { "stats": ["", "Species", "Dilution Info", "Notes"], "tabs": { "all-applications": {"fullname" : "All Applications", "shortname": "All Applications"}, "IP" : {"fullname" : "Immunoprecipitation", "shortname":"IP"}, "FlowCyt" : {"fullname" : "Flow Cytometry", "shortname":"Flow Cyt"}, "WB" : {"fullname" : "Western blot", "shortname":"WB"}, "IHCP" : {"fullname" : "Immunohistochemistry (Formalin/PFA-fixed paraffin-embedded sections)", "shortname":"IHC-P"}, "ICCIF" : {"fullname" : "Immunocytochemistry/ Immunofluorescence", "shortname":"ICC/IF"} }, "product-promise": { "all": "all", "testedAndGuaranteed": "tested", "guaranteed": "expected", "predicted": "predicted", "notRecommended": "not-recommended" } }, "values": { "Human": { "IP-species-checked": "testedAndGuaranteed", "IP-species-dilution-info": "", "IP-species-notes": "<p></p>", "FlowCyt-species-checked": "testedAndGuaranteed", "FlowCyt-species-dilution-info": "", "FlowCyt-species-notes": "<p></p>", "WB-species-checked": "guaranteed", "WB-species-dilution-info": "", "WB-species-notes": "<p></p>", "IHCP-species-checked": "notRecommended", "IHCP-species-dilution-info": "", "IHCP-species-notes": "<p></p>", "ICCIF-species-checked": "testedAndGuaranteed", "ICCIF-species-dilution-info": "", "ICCIF-species-notes": "<p></p>" }, "Mouse": { "IP-species-checked": "predicted", "IP-species-dilution-info": "", "IP-species-notes": "", "FlowCyt-species-checked": "predicted", "FlowCyt-species-dilution-info": "", "FlowCyt-species-notes": "", "WB-species-checked": "guaranteed", "WB-species-dilution-info": "", "WB-species-notes": "<p></p>", "IHCP-species-checked": "notRecommended", "IHCP-species-dilution-info": "", "IHCP-species-notes": "<p></p>", "ICCIF-species-checked": "predicted", "ICCIF-species-dilution-info": "", "ICCIF-species-notes": "" } } }

Product details

ab269460 is the carrier-free version of ab269455.

Patented technology
Our RabMAb® technology is a patented hybridoma-based technology for making rabbit monoclonal antibodies. For details on our patents, please refer to RabMAb® patents.

What are the advantages of a recombinant monoclonal antibody?
This product is a recombinant monoclonal antibody, which offers several advantages including:

  • - High batch-to-batch consistency and reproducibility
  • - Improved sensitivity and specificity
  • - Long-term security of supply
  • - Animal-free batch production

For more information, read more on recombinant antibodies.

Conjugation ready
Our carrier-free antibodies are typically supplied in a PBS-only formulation, purified and free of BSA, sodium azide and glycerol. This conjugation-ready format is designed for use with fluorochromes, metal isotopes, oligonucleotides, and enzymes, which makes them ideal for antibody labelling, functional and cell-based assays, flow-based assays (e.g. mass cytometry) and Multiplex Imaging applications.

Use our conjugation kits for antibody conjugates that are ready-to-use in as little as 20 minutes with 1 minute hands-on-time and 100% antibody recovery: available for fluorescent dyes, HRP, biotin and gold.

Compatibility
This product is compatible with the Maxpar® Antibody Labeling Kit from Fluidigm, without the need for antibody preparation. Maxpar® is a trademark of Fluidigm Canada Inc.

Properties and storage information

Form
Liquid
Purification technique
Affinity purification Protein A
Storage buffer
pH: 7.2 - 7.4 Constituents: PBS
Shipped at conditions
Blue Ice
Appropriate short-term storage conditions
+4°C
Appropriate long-term storage conditions
+4°C
Storage information
Do Not Freeze

Supplementary information

This supplementary information is collated from multiple sources and compiled automatically.

B7-H4 also known as VTCN1 or B7x is a member of the B7 family of immunoregulatory proteins. It has an approximate molecular mass of 50 kDa. B7-H4 expression is detected on the surface of various cells including B cells T cells monocytes and some cancer cells. Its expression is often inducible; immune cells can express B7-H4 in response to specific conditions or signals in the environment.
Biological function summary

B7-H4 acts as an immune checkpoint molecule that negatively regulates T cell immunity. It does not form a known complex with other proteins but instead interacts directly with T cells. By inhibiting T cell activation and proliferation B7-H4 contributes to the regulation of immune responses helping to maintain self-tolerance and prevent autoimmunity.

Pathways

B7-H4 is involved in the regulation of immune checkpoints prominently in the pathways related to immune tolerance and suppression. It plays a critical role in the pathways that modulate tumor evasion of the immune system. B7-H4 is related to other immune checkpoint proteins such as PD-L1 which are also pivotal in immune regulation and therapy targets.

B7-H4 is connected to cancer progression and autoimmune conditions. Overexpression of B7-H4 in certain cancers such as ovarian and breast cancer associates with tumor immune evasion allowing tumors to grow unchecked by the immune system. Its expression links with proteins like CTLA-4 in maintaining immune suppression. B7-H4 modifications could serve as a potential target in cancer immunotherapy aiming to enhance the immune system's ability to combat malignancies.

Product protocols

For this product, it's our understanding that no specific protocols are required. You can visit:

Target data

Negatively regulates T-cell-mediated immune response by inhibiting T-cell activation, proliferation, cytokine production and development of cytotoxicity. When expressed on the cell surface of tumor macrophages, plays an important role, together with regulatory T-cells (Treg), in the suppression of tumor-associated antigen-specific T-cell immunity. Involved in promoting epithelial cell transformation.
See full target information VTCN1

Product promise

We are committed to supporting your work with high-quality reagents, and we're here for you every step of the way. In the unlikely event that one of our products does not perform as expected, you're protected by our Product Promise.
For full details, please see our Terms & Conditions

Please note: All products are 'FOR RESEARCH USE ONLY. NOT FOR USE IN DIAGNOSTIC OR THERAPEUTIC PROCEDURES'.

For licensing inquiries, please contact partnerships@abcam.com