JavaScript is disabled in your browser. Please enable JavaScript to view this website.
AB209242

Anti-B7H4 antibody [EPR20236]

Be the first to review this product! Submit a review

|

(19 Publications)

Anti-B7H4 antibody [EPR20236] (ab209242) is a rabbit monoclonal antibody detecting B7H4 in Western Blot, IHC-P, ICC/IF. Suitable for Human samples.

Enhanced IHC validation data - Download the data
- detailed IHC expression profiling in normal and clinically relevant cancer FFPE TMAs- breast, endometrial, ovary and kidney
- protocol for BOND RX™
Over 15 publications
Biophysical QC for unrivalled batch-batch consistency

View Alternative Names

B7H4, UNQ659/PRO1291, VTCN1, V-set domain-containing T-cell activation inhibitor 1, B7 homolog 4, B7h.5, Immune costimulatory protein B7-H4, Protein B7S1, T-cell costimulatory molecule B7x, B7-H4

6 Images
Immunocytochemistry/ Immunofluorescence - Anti-B7H4 antibody [EPR20236] (AB209242)
  • ICC/IF

Supplier Data

Immunocytochemistry/ Immunofluorescence - Anti-B7H4 antibody [EPR20236] (AB209242)

Immunofluorescent analysis of 100% methanol-fixed SK-BR-3 (Human mammary gland adenocarcinoma cell line) cells labeling B7H4 with ab209242 at 1/250 dilution followed by Goat anti-rabbit IgG (Alexa Fluor® 488) (ab150077) secondary antibody at 1/1000 dilution (green). Confocal image showing membranous staining on SK-BR-3 cell line.

The nuclear counter stain is DAPI (blue). Tubulin is detected with ab195889 (Anti-alpha Tubulin antibody [DM1A] - Microtubule Marker (Alexa Fluor® 594)) at 1/200 dilution (red).

Secondary antibody only control : Used PBS instead of primary antibody secondary antibody is Goat anti-rabbit IgG (Alexa Fluor® 488) (ab150077) at 1/1000 dilution.

Immunohistochemistry (Formalin/PFA-fixed paraffin-embedded sections) - Anti-B7H4 antibody [EPR20236] (AB209242)
  • IHC-P

Lab

Immunohistochemistry (Formalin/PFA-fixed paraffin-embedded sections) - Anti-B7H4 antibody [EPR20236] (AB209242)

Tissue Microarrays stained for "Anti-B7H4 antibody [EPR20236]" using "ab209242"in immunohistochemical analysis. This table provides a detailed overview of positive (tick mark) and negative (cross mark) staining per sample type tested. The sections were pre-treated using Heat mediated antigen retrieval using ab93678 (citrate buffer, pH 6.0). The sections were incubated with ab209242 at +4°C overnight followed by a ready to use Goat Anti-Rabbit IgG H&L (HRP polymer).

Immunohistochemistry (Formalin/PFA-fixed paraffin-embedded sections) - Anti-B7H4 antibody [EPR20236] (AB209242)
  • IHC-P

Supplier Data

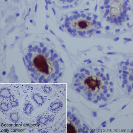
Immunohistochemistry (Formalin/PFA-fixed paraffin-embedded sections) - Anti-B7H4 antibody [EPR20236] (AB209242)

Immunohistochemical analysis of paraffin-embedded human breast tissue labeling B7H4 with ab209242 at 1/1000 dilution followed by Goat Anti-Rabbit IgG H&L (HRP) ready to use. Predominantly apical luminal membranous staining on human breast epithelium is observed [PMID : 15756008]. Counter stained with Hematoxylin.

Secondary antibody only control : Used PBS instead of primary antibody secondary antibody is Goat Anti-Rabbit IgG H&L (HRP) ready to use.

Perform heat mediated antigen retrieval with citrate buffer pH 6 before commencing with IHC staining protocol.

Immunohistochemistry (Formalin/PFA-fixed paraffin-embedded sections) - Anti-B7H4 antibody [EPR20236] (AB209242)
  • IHC-P

Supplier Data

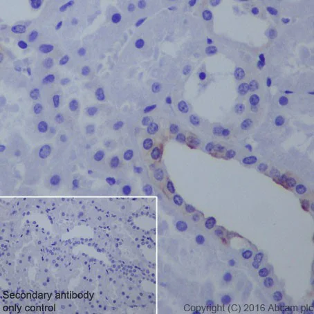
Immunohistochemistry (Formalin/PFA-fixed paraffin-embedded sections) - Anti-B7H4 antibody [EPR20236] (AB209242)

Immunohistochemical analysis of paraffin-embedded human kidney tissue labeling B7H4 with ab209242 at 1/1000 dilution followed by Goat Anti-Rabbit IgG H&L (HRP) ready to use. Membranous staining on distal convoluted renal tubules of human kidney is observed [PMID : 16798883]. Counter stained with Hematoxylin.

Secondary antibody only control : Used PBS instead of primary antibody secondary antibody is Goat Anti-Rabbit IgG H&L (HRP) ready to use.

Perform heat mediated antigen retrieval with citrate buffer pH 6 before commencing with IHC staining protocol.

Immunohistochemistry (Formalin/PFA-fixed paraffin-embedded sections) - Anti-B7H4 antibody [EPR20236] (AB209242)
  • IHC-P

Supplier Data

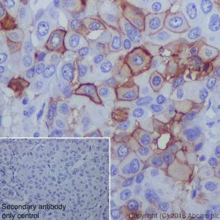
Immunohistochemistry (Formalin/PFA-fixed paraffin-embedded sections) - Anti-B7H4 antibody [EPR20236] (AB209242)

Immunohistochemical analysis of paraffin-embedded human breast cancer tissue labeling B7H4 with ab209242 at 1/1000 dilution followed by Goat Anti-Rabbit IgG H&L (HRP) ready to use. Membranous and weak cytoplasmic staining on tumor cells of human breast cancer is observed [PMID : 15756008]. Counter stained with Hematoxylin.

Secondary antibody only control : Used PBS instead of primary antibody secondary antibody is Goat Anti-Rabbit IgG H&L (HRP) ready to use.

Perform heat mediated antigen retrieval with citrate buffer pH 6 before commencing with IHC staining protocol.

Western blot - Anti-B7H4 antibody [EPR20236] (AB209242)
  • WB

Supplier Data

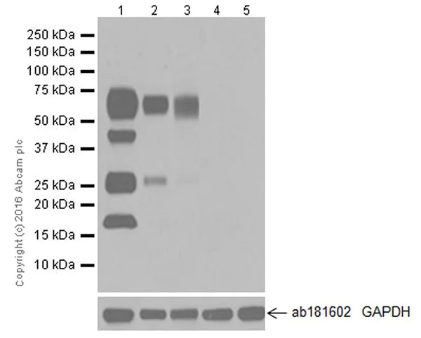
Western blot - Anti-B7H4 antibody [EPR20236] (AB209242)

Blocking/Dilution buffer : 5% NFDM/TBST.

B7H4 is N-glycosylated protein. The level of B7H4 glycosylation varies between different cells and tissues. The bands at 65kDa and 45kDa represent glycosylated B7H4. The bands at 28kDa and 18kDa represent de-glycosylated B7H4. HT-29 and HeLa cell lines are negative controls. (PMID : 15878339).

All lanes:

Western blot - Anti-B7H4 antibody [EPR20236] (ab209242) at 1/1000 dilution

Lane 1:

SK-BR-3 (Human mammary gland adenocarcinoma cell line) whole cell lysate at 20 µg

Lane 2:

T-47D (Human ductal breast epithelial tumor cell line) whole cell lysate at 20 µg

Lane 3:

Human breast cancer lysate at 20 µg

Lane 4:

HT-29 (Human colorectal adenocarcinoma cell line) whole cell lysate at 20 µg

Lane 5:

HeLa (Human epithelial cell line from cervix adenocarcinoma) whole cell lysate at 20 µg

Secondary

All lanes:

Western blot - Goat Anti-Rabbit IgG H&L (HRP) (<a href='/en-us/products/secondary-antibodies/goat-rabbit-igg-h-l-hrp-ab97051'>ab97051</a>) at 1/100000 dilution

Predicted band size: 31 kDa

Observed band size: 18 kDa,28 kDa,45 kDa,65 kDa

false

Exposure time: 30s

Key facts

Host species

Rabbit

Clonality

Monoclonal

Clone number

EPR20236

Isotype

IgG

Carrier free

No

Reacts with

Human

Applications

IHC-P, WB, ICC/IF

applications

Immunogen

The exact immunogen used to generate this antibody is proprietary information.

Reactivity data

{ "title": "Reactivity Data", "filters": { "stats": ["", "Species", "Dilution Info", "Notes"], "tabs": { "all-applications": {"fullname" : "All Applications", "shortname": "All Applications"}, "IHCP" : {"fullname" : "Immunohistochemistry (Formalin/PFA-fixed paraffin-embedded sections)", "shortname":"IHC-P"}, "WB" : {"fullname" : "Western blot", "shortname":"WB"}, "ICCIF" : {"fullname" : "Immunocytochemistry/ Immunofluorescence", "shortname":"ICC/IF"} }, "product-promise": { "all": "all", "testedAndGuaranteed": "tested", "guaranteed": "expected", "predicted": "predicted", "notRecommended": "not-recommended" } }, "values": { "Human": { "IHCP-species-checked": "testedAndGuaranteed", "IHCP-species-dilution-info": "1/1000", "IHCP-species-notes": "<p></p> Perform heat-mediated antigen retrieval with citrate buffer pH 6 before commencing with IHC staining protocol.", "WB-species-checked": "testedAndGuaranteed", "WB-species-dilution-info": "1/1000", "WB-species-notes": "<p></p>", "ICCIF-species-checked": "testedAndGuaranteed", "ICCIF-species-dilution-info": "1/250", "ICCIF-species-notes": "<p></p>" } } }

Product details

What is this antibody validated in?
Anti-B7H4 antibody [EPR20236] (ab209242) is a rabbit recombinant monoclonal antibody and is validated for use in Western Blot (WB), Immunohistochemistry (IHC-P), Immunocytochemistry/immunofluorescence (ICC/IF) in Human samples.

What is the molecular weight of B7H4?
Anti-B7H4 [EPR20236] (ab209242) specifically detects a band for B7H4 (UniProt: Q7Z7D3) at a molecular weight of 31kDa.

Trusted by the scientific community
Anti-B7H4 [EPR20236] (ab209242) was first used in a scientific publication in 2016 and has been cited over 10 times in peer-reviewed journals.

Trial sizes available!
Test your antibody or perform pre-screening before committing to a larger quantity. Sold in 20µl. Discover our selection of trial-size antibodies.

Other related products
We have a range of other formats of antibody clone [EPR20236] also available for your convenience: ab209242, Carrier free - ab222927, Alexa Fluor® 488 - ab225487, Alexa Fluor® 647 - ab225488, Carrier free - ab271987, Alexa Fluor® 594 - ab277937, ac10021

Patented technology
Our RabMAb® technology is a patented hybridoma-based technology for making rabbit monoclonal antibodies. For details on our patents, please refer to RabMAb® patents.

What are the advantages of a recombinant monoclonal antibody?
This product is a recombinant monoclonal antibody, which offers several advantages including:

  • - High batch-to-batch consistency and reproducibility
  • - Improved sensitivity and specificity
  • - Long-term security of supply
  • - Animal-free batch production

For more information, read more on recombinant antibodies.

Properties and storage information

Form
Liquid
Purification technique
Affinity purification Protein A
Storage buffer
pH: 7.2 - 7.4 Preservative: 0.01% Sodium azide Constituents: PBS, 40% Glycerol (glycerin, glycerine), 0.05% BSA
Shipped at conditions
Blue Ice
Appropriate short-term storage duration
1-2 weeks
Appropriate short-term storage conditions
+4°C
Appropriate long-term storage conditions
-20°C
Aliquoting information
Upon delivery aliquot
Storage information
Avoid freeze / thaw cycle

Supplementary information

This supplementary information is collated from multiple sources and compiled automatically.

B7-H4 also known as VTCN1 or B7x is a member of the B7 family of immunoregulatory proteins. It has an approximate molecular mass of 50 kDa. B7-H4 expression is detected on the surface of various cells including B cells T cells monocytes and some cancer cells. Its expression is often inducible; immune cells can express B7-H4 in response to specific conditions or signals in the environment.
Biological function summary

B7-H4 acts as an immune checkpoint molecule that negatively regulates T cell immunity. It does not form a known complex with other proteins but instead interacts directly with T cells. By inhibiting T cell activation and proliferation B7-H4 contributes to the regulation of immune responses helping to maintain self-tolerance and prevent autoimmunity.

Pathways

B7-H4 is involved in the regulation of immune checkpoints prominently in the pathways related to immune tolerance and suppression. It plays a critical role in the pathways that modulate tumor evasion of the immune system. B7-H4 is related to other immune checkpoint proteins such as PD-L1 which are also pivotal in immune regulation and therapy targets.

B7-H4 is connected to cancer progression and autoimmune conditions. Overexpression of B7-H4 in certain cancers such as ovarian and breast cancer associates with tumor immune evasion allowing tumors to grow unchecked by the immune system. Its expression links with proteins like CTLA-4 in maintaining immune suppression. B7-H4 modifications could serve as a potential target in cancer immunotherapy aiming to enhance the immune system's ability to combat malignancies.

Product protocols

For this product, it's our understanding that no specific protocols are required. You can visit:

Target data

Negatively regulates T-cell-mediated immune response by inhibiting T-cell activation, proliferation, cytokine production and development of cytotoxicity. When expressed on the cell surface of tumor macrophages, plays an important role, together with regulatory T-cells (Treg), in the suppression of tumor-associated antigen-specific T-cell immunity. Involved in promoting epithelial cell transformation.
See full target information VTCN1

Publications (19)

Recent publications for all applications. Explore the full list and refine your search

Hepatology communications 9: PubMed40366121

2025

Single-cell transcription reveals hepatocyte-to-cholangiocyte reprogramming and biliary gene profile in biliary atresia.

Applications

Unspecified application

Species

Unspecified reactive species

Lingdu Meng,Min Du,Haodong Li,Fanyang Kong,Jiajian Yang,Rui Dong,Shan Zheng,Gong Chen,Zhen Shen,Junfeng Wang

Nature communications 16:4254 PubMed40341398

2025

Palmitoylation prevents B7-H4 lysosomal degradation sustaining tumor immune evasion.

Applications

Unspecified application

Species

Unspecified reactive species

Yijian Yan,Jiali Yu,Weichao Wang,Ying Xu,Kole Tison,Rongxin Xiao,Sara Grove,Shuang Wei,Linda Vatan,Max Wicha,Ilona Kryczek,Weiping Zou

Nature protocols 20:67-91 PubMed39261744

2024

Assembly of a stem cell-derived human postimplantation embryo model.

Applications

Unspecified application

Species

Unspecified reactive species

Carlos W Gantner,Bailey A T Weatherbee,Yuntao Wang,Magdalena Zernicka-Goetz

Cell 187:4713-4732.e19 PubMed38968937

2024

Progestogen-driven B7-H4 contributes to onco-fetal immune tolerance.

Applications

Unspecified application

Species

Unspecified reactive species

Jiali Yu,Yijian Yan,Shasha Li,Ying Xu,Abhijit Parolia,Syed Rizvi,Weichao Wang,Yiwen Zhai,Rongxin Xiao,Xiong Li,Peng Liao,Jiajia Zhou,Karolina Okla,Heng Lin,Xun Lin,Sara Grove,Shuang Wei,Linda Vatan,Jiantao Hu,Justyna Szumilo,Jan Kotarski,Zachary T Freeman,Stephanie Skala,Max Wicha,Kathleen R Cho,Arul M Chinnaiyan,Samantha Schon,Fei Wen,Ilona Kryczek,Shaomeng Wang,Lieping Chen,Weiping Zou

Immunology 171:104-116 PubMed37814391

2023

Unlocking the role of the B7-H4 polymorphism in psoriasis: Insights into methotrexate treatment outcomes: A prospective cohort study.

Applications

Unspecified application

Species

Unspecified reactive species

Bing Wang,Zhicheng Wang,Wenjing Yang,Ling Han,Qiong Huang,Nikhil Yawalkar,Zhenghua Zhang,Yu Yao,Kexiang Yan

Molecular cancer therapeutics 22:999-1012 PubMed37294948

2023

Discovery and Preclinical Characterization of XMT-1660, an Optimized B7-H4-Targeted Antibody-Drug Conjugate for the Treatment of Cancer.

Applications

Unspecified application

Species

Unspecified reactive species

Dorin Toader,Shawn P Fessler,Scott D Collins,Patrick R Conlon,Reddy Bollu,Kalli C Catcott,Chen-Ni Chin,Anouk Dirksen,Bingfan Du,Jeremy R Duvall,Stacy Higgins,Mariya V Kozytska,Kamela Bellovoda,Chelsey Faircloth,David Lee,Fu Li,Liuliang Qin,Caitlin Routhier,Pamela Shaw,Cheri A Stevenson,Jason Wang,Phonphimon Wongthida,Elena Ter-Ovanesyan,Elizabeth Ditty,Stephen P Bradley,Ling Xu,Mao Yin,Alexandr V Yurkovetskiy,Rebecca Mosher,Marc Damelin,Timothy B Lowinger

Frontiers in endocrinology 14:1069395 PubMed37008954

2023

The immune checkpoint molecule, VTCN1/B7-H4, guides differentiation and suppresses proinflammatory responses and MHC class I expression in an embryonic stem cell-derived model of human trophoblast.

Applications

Unspecified application

Species

Unspecified reactive species

Jie Zhou,Yuchen Tian,Ying Qu,Madyson Williams,Ye Yuan,Rowan M Karvas,Megan A Sheridan,Laura C Schulz,Toshihiko Ezashi,Michael R Roberts,Danny J Schust

Nature 609:136-143 PubMed35709828

2022

Spatial profiling of early primate gastrulation in utero.

Applications

Unspecified application

Species

Unspecified reactive species

Sophie Bergmann,Christopher A Penfold,Erin Slatery,Dylan Siriwardena,Charis Drummer,Stephen Clark,Stanley E Strawbridge,Keiko Kishimoto,Alice Vickers,Mukul Tewary,Timo N Kohler,Florian Hollfelder,Wolf Reik,Erika Sasaki,Rüdiger Behr,Thorsten E Boroviak

Pathology, research and practice 234:153911 PubMed35489125

2022

Prognostic values of B7-H3, B7-H4, and HHLA2 expression in human pancreatic cancer tissues based on mIHC and spatial distribution analysis.

Applications

Unspecified application

Species

Unspecified reactive species

Yulan Zhu,Junjun Chen,Yingting Liu,Xiao Zheng,Jun Feng,Xuemin Chen,Tianwei Jiang,Yuan Li,Lujun Chen

Reproductive biology and endocrinology : RB&E 19:114 PubMed34289871

2021

Mifepristone inhibited the expression of B7-H2, B7-H3, B7-H4 and PD-L2 in adenomyosis.

Applications

Unspecified application

Species

Unspecified reactive species

Xiaoyan Qin,Wenjing Sun,Chong Wang,Mingjiang Li,Xingbo Zhao,Changzhong Li,Hui Zhang
View all publications
enhancedValidationDataWebsite
en

Product promise

We are committed to supporting your work with high-quality reagents, and we're here for you every step of the way. In the unlikely event that one of our products does not perform as expected, you're protected by our Product Promise.
For full details, please see our Terms & Conditions

Please note: All products are 'FOR RESEARCH USE ONLY. NOT FOR USE IN DIAGNOSTIC OR THERAPEUTIC PROCEDURES'.

For licensing inquiries, please contact partnerships@abcam.com