JavaScript is disabled in your browser. Please enable JavaScript to view this website.
AB252438

Anti-B7H4 antibody [EPR23665-20]

  • BOND RX™ Validated
  • 20ul selling size
  • RabMAb
  • Advanced Validation
  • Recombinant
  • What is this?

Be the first to review this product! Submit a review

|

(7 Publications)

Anti-B7H4 antibody [EPR23665-20] (ab252438) is a rabbit monoclonal antibody detecting B7H4 in Western Blot, Flow Cytometry, IP, IHC-P, ICC/IF, mIHC. Suitable for Human, Mouse.

- Multiplex IHC validated on the Leica BOND® MAX using Opal reagents
- Biophysical QC for unrivalled batch-batch consistency

View Alternative Names

B7H4, UNQ659/PRO1291, VTCN1, V-set domain-containing T-cell activation inhibitor 1, B7 homolog 4, B7h.5, Immune costimulatory protein B7-H4, Protein B7S1, T-cell costimulatory molecule B7x, B7-H4

11 Images
Flow Cytometry - Anti-B7H4 antibody [EPR23665-20] (AB252438)
  • Flow Cyt

Lab

Flow Cytometry - Anti-B7H4 antibody [EPR23665-20] (AB252438)

Flow cytometry overlay histogram showing left SKBR3 positive cells and right negative HeLa stained with ab252438 (red line). The cells were incubated in 1x PBS containing 10% normal goat serum to block non-specific protein-protein interactionfollowed by the antibody (ab252438) (1x 106 in 100μl at 10.0 μg/ml (1/50)) for 30min on ice.

The secondary antibody Goat Anti-Rabbit IgG H&L (Alexa Fluor® 488) preadsorbed was incubated at 1/4000 for 30min on ice

Isotype control antibody (black line) was Recombinant Rabbit IgG, monoclonal [EPR25A] - Isotype Control used at the same concentration and conditions as the primary antibody. Unlabelled sample (blue line) was also used as a control.

Acquisition of >5000 events were collected using a 50 mW Blue laser (488nm) and 525/40 bandpass filter.

Immunohistochemistry (Formalin/PFA-fixed paraffin-embedded sections) - Anti-B7H4 antibody [EPR23665-20] (AB252438)
  • IHC-P

Unknown

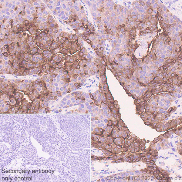
Immunohistochemistry (Formalin/PFA-fixed paraffin-embedded sections) - Anti-B7H4 antibody [EPR23665-20] (AB252438)

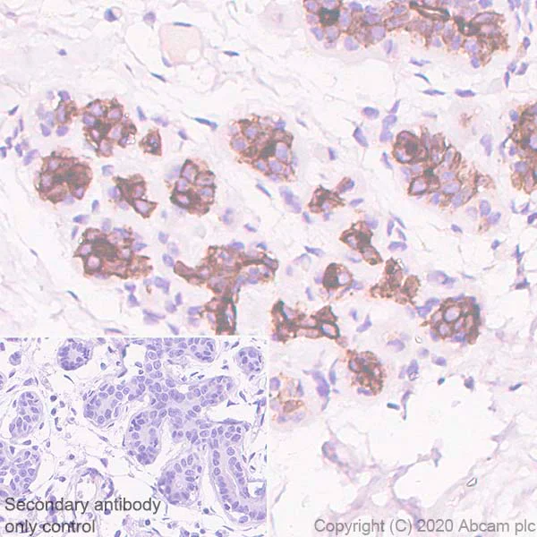
Immunohistochemical analysis of paraffin-embedded Human breast carcinoma tissue labeling B7H4 with ab252438 at 1/100 dilution followed by a ready to use Rabbit specific IHC polymer detection kit HRP/DAB (ab209101). Positive staining on human breast carcinoma (PMID : 15756008). The section was incubated with ab252438 for 30 mins at room temperature.The immunostaining was performed on a Leica Biosystems BOND® RX instrument. Counterstained with Hematoxylin.

Secondary antibody only control : Secondary antibody is a ready to use Rabbit specific IHC polymer detection kit HRP/DAB (ab209101).

Heat mediated antigen retrieval with Tris-EDTA buffer (pH 9.0, epitope retrieval solution2) for 20 mins

Immunohistochemistry (Formalin/PFA-fixed paraffin-embedded sections) - Anti-B7H4 antibody [EPR23665-20] (AB252438)
  • IHC-P

Unknown

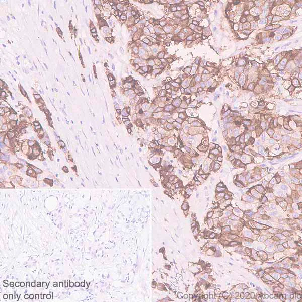
Immunohistochemistry (Formalin/PFA-fixed paraffin-embedded sections) - Anti-B7H4 antibody [EPR23665-20] (AB252438)

Immunohistochemical analysis of paraffin-embedded Human ovarian carcinoma tissue labeling B7H4 with ab252438 at 1/100 dilution followed by a ready to use Rabbit specific IHC polymer detection kit HRP/DAB (ab209101). Positive staining on human ovarian carcinoma (PMID : 27439899). The section was incubated with ab252438 for 30 mins at room temperature. The immunostaining was performed on a Leica Biosystems BOND® RX instrument. Counterstained with Hematoxylin.

Secondary antibody only control : Secondary antibody is a ready to use Rabbit specific IHC polymer detection kit HRP/DAB (ab209101).

Heat mediated antigen retrieval with Tris-EDTA buffer (pH 9.0, epitope retrieval solution2) for 20 mins

Flow Cytometry - Anti-B7H4 antibody [EPR23665-20] (AB252438)
  • Flow Cyt

Unknown

Flow Cytometry - Anti-B7H4 antibody [EPR23665-20] (AB252438)

Flow cytometric analysis of SK-BR-3 (Human breast adenocarcinoma epithelial cell) cells labelling B7H4 with ab252438 at 1/500 dilution (0.1ug) (Red) compared with a Rabbit monoclonal IgG (ab172730) (Black) isotype control and an unlabelled control (cells without incubation with primary antibody and secondary antibody) (Blue). Goat anti rabbit IgG (Alexa Fluor® 647, ab150079) at 1/2000 dilution was used as the secondary antibody. Gated on viable cells.

Immunocytochemistry/ Immunofluorescence - Anti-B7H4 antibody [EPR23665-20] (AB252438)
  • ICC/IF

Unknown

Immunocytochemistry/ Immunofluorescence - Anti-B7H4 antibody [EPR23665-20] (AB252438)

Immunofluorescent analysis of 4% Paraformaldehyde-fixed, 0.1% TritonX-100 permeabilized 293T+OE-612 cells labelling B7H4 with ab252438 at 1/50 dilution, followed by ab150077 Goat Anti-Rabbit IgG H&L (Alexa Fluor® 488) antibody at 1/1000 2 ug/ml dilution (Green). Confocal image showing cytoplasmic and membranous staining in HEK-293T cell line transfected with HA-tagged B7H4 expression vector. ab236632 Anti-HA tag rabbit monoclonal antibody was used to counterstain tubulin at 1/200 dilution (Red). The Nuclear counterstain was DAPI (Blue).

Secondary antibody only control : Secondary antibody is ab150077 Goat Anti-Rabbit IgG H&L (Alexa Fluor® 488) at 1/1000 dilution.

Immunohistochemistry (Formalin/PFA-fixed paraffin-embedded sections) - Anti-B7H4 antibody [EPR23665-20] (AB252438)
  • IHC-P

Unknown

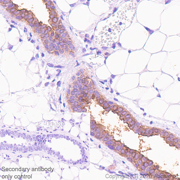
Immunohistochemistry (Formalin/PFA-fixed paraffin-embedded sections) - Anti-B7H4 antibody [EPR23665-20] (AB252438)

Immunohistochemical analysis of paraffin-embedded Human breast tissue labeling B7H4 with ab252438 at 1/100 dilution followed by a ready to use Rabbit specific IHC polymer detection kit HRP/DAB (ab209101). Positive staining on human breast (PMID : 27439899). The section was incubated with ab252438 for 30 mins at room temperature.The immunostaining was performed on a Leica Biosystems BOND® RX instrument. Counterstained with Hematoxylin.

Secondary antibody only control : Secondary antibody is a ready to use Rabbit specific IHC polymer detection kit HRP/DAB (ab209101).

Heat mediated antigen retrieval with Tris-EDTA buffer (pH 9.0, epitope retrieval solution2) for 20 mins

Multiplex immunohistochemistry - Anti-B7H4 antibody [EPR23665-20] (AB252438)
  • mIHC

Lab

Multiplex immunohistochemistry - Anti-B7H4 antibody [EPR23665-20] (AB252438)

Fluorescence multiplex immunohistochemical analysis of the human breast (Formalin/PFA-fixed paraffin-embedded sections). Panel A : merged staining of anti-B7H4 (ab252438, red; Opal™690), anti-CD10 (ab255609, gray; Opal™520) and anti-FABP4 (ab92501, cyan; Opal™570) on human breast. Panel B : anti-B7H4 stained on glandular lumens. Panel C : anti-CD10 stained on myoepithelial cells. Panel D : anti-FABP4 stained on adipocytes. Opal Polymer HRP Ms + Rb was used as a secondary antibody. The section was incubated in three rounds of staining : in the order of ab252438 at 1/100 dilution (4.69 μg/ml), ab255609 at 1/1000 dilution (0.615 μg/ml) and ab92501 at 1/10000 dilution (0.047 μg/ml) for 30 mins at room temperature. Each round was followed by a separate fluorescent tyramide signal amplification system. The immunostaining was performed on a Leica Biosystems BOND® RX instrument with an Opal™ 4-color kit. Image acquisition was performed with Leica SP8 confocal microscope. Heat mediated antigen retrieval with Tris-EDTA buffer (pH 9.0, epitope retrieval solution2) for 20 mins. DAPI (blue) was used as a nuclear counter stain.

Immunoprecipitation - Anti-B7H4 antibody [EPR23665-20] (AB252438)
  • IP

Unknown

Immunoprecipitation - Anti-B7H4 antibody [EPR23665-20] (AB252438)

B7H4 was immunoprecipitated from 0.35 mg SK-BR-3 (human breast adenocarcinoma epithelial cell) whole cell lysate with ab252438 at 1/30 dilution (2ug in 0.35mg lysates). Western blot was performed on the immunoprecipitate using ab252438 at 1/1000 dilution. VeriBlot for IP Detection Reagent (HRP)(ab131366) was used at 1/5000 dilution.

Lane 1 : SK-BR-3 whole cell lysate 10 ug

Lane 2 : ab252438 IP in SK-BR-3 whole cell lysate 10 ug

Lane 3 : Rabbit monoclonal IgG (ab172730) instead of ab252438 in SK-BR-3 whole cell lysate

Blocking and dilution buffer and concentration : 5% NFDM/TBST.

Exposure time : 127 seconds

The bands at 65kDa represent glycosylated B7H4 (PMID : 15878339).

All lanes:

Immunoprecipitation - Anti-B7H4 antibody [EPR23665-20] (ab252438)

Predicted band size: 31 kDa

false

Immunohistochemistry (Formalin/PFA-fixed paraffin-embedded sections) - Anti-B7H4 antibody [EPR23665-20] (AB252438)
  • IHC-P

Supplier Data

Immunohistochemistry (Formalin/PFA-fixed paraffin-embedded sections) - Anti-B7H4 antibody [EPR23665-20] (AB252438)

Immunohistochemical analysis of paraffin-embedded mouse breast tissue labeling B7H4 with ab252438 at 1/100 dilution followed by a ready to use Rabbit specific IHC polymer detection kit HRP/DAB (ab209101).Positive staining on mouse breast. The section was incubated with ab252438 for 30 mins at room temperature.The immunostaining was performed on a Leica Biosystems BOND® RX instrument. Counterstained with Hematoxylin.

Secondary antibody only control : Secondary antibody is a ready to use Rabbit specific IHC polymer detection kit HRP/DAB (ab209101).

Heat mediated antigen retrieval with Tris-EDTA buffer (pH 9.0, epitope retrieval solution2) for 20 mins

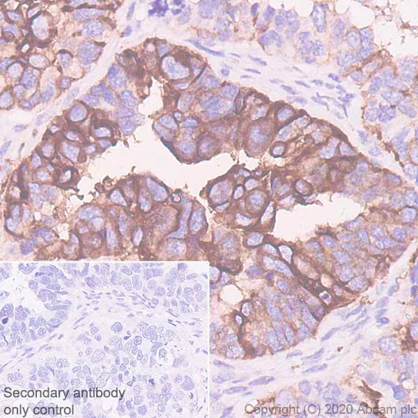
Immunohistochemistry (Formalin/PFA-fixed paraffin-embedded sections) - Anti-B7H4 antibody [EPR23665-20] (AB252438)
  • IHC-P

Supplier Data

Immunohistochemistry (Formalin/PFA-fixed paraffin-embedded sections) - Anti-B7H4 antibody [EPR23665-20] (AB252438)

Immunohistochemical analysis of paraffin-embedded mouse breast carcinoma tissue labeling B7H4 with ab252438 at 1/100 dilution followed by a ready to use Rabbit specific IHC polymer detection kit HRP/DAB (ab209101).Positive staining on mouse breast cancer cells. The section was incubated with ab252438 for 30 mins at room temperature.The immunostaining was performed on a Leica Biosystems BOND® RX instrument. Counterstained with Hematoxylin.

Secondary antibody only control : Secondary antibody is a ready to use Rabbit specific IHC polymer detection kit HRP/DAB (ab209101).

Heat mediated antigen retrieval with Tris-EDTA buffer (pH 9.0, epitope retrieval solution2) for 20 mins

Western blot - Anti-B7H4 antibody [EPR23665-20] (AB252438)
  • WB

Lab

Western blot - Anti-B7H4 antibody [EPR23665-20] (AB252438)

Blocking and diluting buffer and concentration : 5% NFDM/TBST

B7H4 is N-glycosylated protein. The level of B7H4 glycosylation varies between different cells and tissues. The bands at 65kDa and 45kDa represent glycosylated B7H4. (PMID : 15878339).

Negative control : HT-29 and HeLa. (PMID : 15878339).

Exposure time : 3 minutes

All lanes:

Western blot - Anti-B7H4 antibody [EPR23665-20] (ab252438) at 1/1000 dilution

Lane 1:

SK-BR-3 (human breast adenocarcinoma epithelial cell), whole cell lysate at 20 µg

Lane 2:

MDA-MB-468 (human breast adenocarcinoma epithelial cell), whole cell lysate at 20 µg

Lane 3:

NIH:OVCAR-3 (human ovary adenocarcinoma epithelial cell), whole cell lysate at 10 µg

Lane 4:

HT-29 (human colorectal adenocarcinoma epithelial cell), whole cell lysate at 20 µg

Lane 5:

HeLa (human cervix adenocarcinoma epithelial cell), whole cell lysate at 20 µg

Secondary

All lanes:

Goat Anti-Rabbit IgG, (H+L), Peroxidase conjugated (<a href='/en-us/products/secondary-antibodies/goat-rabbit-igg-h-l-hrp-ab97051'>ab97051</a>) at 1/100000 dilution

Predicted band size: 31 kDa

Observed band size: 45 kDa,65 kDa

false

  • Carrier free

    Anti-B7H4 antibody [EPR23665-20] - BSA and Azide free

Key facts

Host species

Rabbit

Clonality

Monoclonal

Clone number

EPR23665-20

Isotype

IgG

Carrier free

No

Reacts with

Mouse, Human

Applications

ICC/IF, IP, Flow Cyt, IHC-P, mIHC, WB

applications

Immunogen

The exact immunogen used to generate this antibody is proprietary information.

Reactivity data

{ "title": "Reactivity Data", "filters": { "stats": ["", "Species", "Dilution Info", "Notes"], "tabs": { "all-applications": {"fullname" : "All Applications", "shortname": "All Applications"}, "mIHC" : {"fullname" : "Multiplex immunohistochemistry", "shortname":"mIHC"}, "IP" : {"fullname" : "Immunoprecipitation", "shortname":"IP"}, "FlowCyt" : {"fullname" : "Flow Cytometry", "shortname":"Flow Cyt"}, "WB" : {"fullname" : "Western blot", "shortname":"WB"}, "ICCIF" : {"fullname" : "Immunocytochemistry/ Immunofluorescence", "shortname":"ICC/IF"}, "IHCP" : {"fullname" : "Immunohistochemistry (Formalin/PFA-fixed paraffin-embedded sections)", "shortname":"IHC-P"} }, "product-promise": { "all": "all", "testedAndGuaranteed": "tested", "guaranteed": "expected", "predicted": "predicted", "notRecommended": "not-recommended" } }, "values": { "Human": { "mIHC-species-checked": "testedAndGuaranteed", "mIHC-species-dilution-info": "1/100", "mIHC-species-notes": "<p></p>", "IP-species-checked": "testedAndGuaranteed", "IP-species-dilution-info": "1/30", "IP-species-notes": "<p></p>", "FlowCyt-species-checked": "testedAndGuaranteed", "FlowCyt-species-dilution-info": "1/500", "FlowCyt-species-notes": "<p></p>", "WB-species-checked": "testedAndGuaranteed", "WB-species-dilution-info": "1/1000", "WB-species-notes": "<p></p>", "ICCIF-species-checked": "testedAndGuaranteed", "ICCIF-species-dilution-info": "1/50", "ICCIF-species-notes": "<p></p>", "IHCP-species-checked": "testedAndGuaranteed", "IHCP-species-dilution-info": "1/100", "IHCP-species-notes": "<p></p>" }, "Mouse": { "mIHC-species-checked": "guaranteed", "mIHC-species-dilution-info": "", "mIHC-species-notes": "", "IP-species-checked": "guaranteed", "IP-species-dilution-info": "", "IP-species-notes": "", "FlowCyt-species-checked": "guaranteed", "FlowCyt-species-dilution-info": "", "FlowCyt-species-notes": "", "WB-species-checked": "notRecommended", "WB-species-dilution-info": "1/1000", "WB-species-notes": "<p></p>", "ICCIF-species-checked": "guaranteed", "ICCIF-species-dilution-info": "", "ICCIF-species-notes": "", "IHCP-species-checked": "testedAndGuaranteed", "IHCP-species-dilution-info": "1/100", "IHCP-species-notes": "<p></p>" }, "Rat": { "mIHC-species-checked": "notRecommended", "mIHC-species-dilution-info": "", "mIHC-species-notes": "", "IP-species-checked": "notRecommended", "IP-species-dilution-info": "", "IP-species-notes": "", "FlowCyt-species-checked": "notRecommended", "FlowCyt-species-dilution-info": "", "FlowCyt-species-notes": "", "WB-species-checked": "notRecommended", "WB-species-dilution-info": "1/1000", "WB-species-notes": "<p></p>", "ICCIF-species-checked": "notRecommended", "ICCIF-species-dilution-info": "", "ICCIF-species-notes": "", "IHCP-species-checked": "notRecommended", "IHCP-species-dilution-info": "1/100", "IHCP-species-notes": "<p></p>" } } }

Product details

What is this antibody validated in?
Anti-B7H4 antibody [EPR23665-20] (ab252438) is a rabbit recombinant monoclonal antibody and is validated for use in Western Blot (WB), Flow Cytometry (Flow Cyt), Immunoprecipitation (IP), Immunohistochemistry (IHC-P), Immunocytochemistry/immunofluorescence (ICC/IF), Multiplex IHC (mIHC) in Human, Mouse samples.

What is the molecular weight of B7H4?
Anti-B7H4 [EPR23665-20] (ab252438) specifically detects a band for B7H4 (UniProt: Q7Z7D3) at a molecular weight of 31kDa.

Trial sizes available!
Test your antibody or perform pre-screening before committing to a larger quantity. Sold in 10µl. Discover our selection of trial-size antibodies.

Other related products
We have a range of other formats of antibody clone [EPR23665-20] also available for your convenience: ab252438, Carrier free - ab272707

Patented technology
Our RabMAb® technology is a patented hybridoma-based technology for making rabbit monoclonal antibodies. For details on our patents, please refer to RabMAb® patents.

What are the advantages of a recombinant monoclonal antibody?
This product is a recombinant monoclonal antibody, which offers several advantages including:

  • - High batch-to-batch consistency and reproducibility
  • - Improved sensitivity and specificity
  • - Long-term security of supply
  • - Animal-free batch production

For more information, read more on recombinant antibodies.

Properties and storage information

Form
Liquid
Purification technique
Affinity purification Protein A
Storage buffer
pH: 7.2 - 7.4 Preservative: 0.01% Sodium azide Constituents: PBS, 40% Glycerol (glycerin, glycerine), 0.05% BSA
Shipped at conditions
Blue Ice
Appropriate short-term storage duration
1-2 weeks
Appropriate short-term storage conditions
+4°C
Appropriate long-term storage conditions
-20°C
Aliquoting information
Upon delivery aliquot
Storage information
Avoid freeze / thaw cycle

Supplementary information

This supplementary information is collated from multiple sources and compiled automatically.

B7-H4 also known as VTCN1 or B7x is a member of the B7 family of immunoregulatory proteins. It has an approximate molecular mass of 50 kDa. B7-H4 expression is detected on the surface of various cells including B cells T cells monocytes and some cancer cells. Its expression is often inducible; immune cells can express B7-H4 in response to specific conditions or signals in the environment.
Biological function summary

B7-H4 acts as an immune checkpoint molecule that negatively regulates T cell immunity. It does not form a known complex with other proteins but instead interacts directly with T cells. By inhibiting T cell activation and proliferation B7-H4 contributes to the regulation of immune responses helping to maintain self-tolerance and prevent autoimmunity.

Pathways

B7-H4 is involved in the regulation of immune checkpoints prominently in the pathways related to immune tolerance and suppression. It plays a critical role in the pathways that modulate tumor evasion of the immune system. B7-H4 is related to other immune checkpoint proteins such as PD-L1 which are also pivotal in immune regulation and therapy targets.

B7-H4 is connected to cancer progression and autoimmune conditions. Overexpression of B7-H4 in certain cancers such as ovarian and breast cancer associates with tumor immune evasion allowing tumors to grow unchecked by the immune system. Its expression links with proteins like CTLA-4 in maintaining immune suppression. B7-H4 modifications could serve as a potential target in cancer immunotherapy aiming to enhance the immune system's ability to combat malignancies.

Product protocols

For this product, it's our understanding that no specific protocols are required. You can visit:

Target data

Negatively regulates T-cell-mediated immune response by inhibiting T-cell activation, proliferation, cytokine production and development of cytotoxicity. When expressed on the cell surface of tumor macrophages, plays an important role, together with regulatory T-cells (Treg), in the suppression of tumor-associated antigen-specific T-cell immunity. Involved in promoting epithelial cell transformation.
See full target information VTCN1

Publications (7)

Recent publications for all applications. Explore the full list and refine your search

FASEB journal : official publication of the Federation of American Societies for Experimental Biology 39:e70986 PubMed40922707

2025

Abundance of Maternal Mitochondrial Genome Is Dispensable up to the Mitochondrial Genome Activation in Post-Implantation Embryos.

Applications

Unspecified application

Species

Unspecified reactive species

Miki Shavit,Marie Vancová,Jan Jedlicka,Tomáš Bílý,Mushrek Mahrouk,Jan Cendelin,Kateřina Grygarova,Kristýna Popelková,Zdeněk Tůma,Gabriela Pribanova,Jitka Kuncová,Jan Nevoral

Cancer cell international 24:205 PubMed38858701

2024

Comprehensive characterization of B7 family members in breast cancer: B7-H5 switch reverses breast cancer from "immuno-cold" into "immuno-hot" status.

Applications

Unspecified application

Species

Unspecified reactive species

Jiayu Liu,Cenzhu Wang,Ying Jiang,Yunxu Zhou,Lingyan Chen,Zhiwen Qian,Lu Liu,Danping Wu,Yan Zhang

Archives of dermatological research 316:382 PubMed38850312

2024

Aberrant expression of B7-H4 and B7-H5 contributes to the development of cutaneous squamous cell carcinoma.

Applications

Unspecified application

Species

Unspecified reactive species

Lu Chen,Bin Zhou,Minhui Tang,Yuxu Yao,Yue Zhao,Ying Hu,Yuxin Lin,Jiang Ji,Qingqing Jiao

Frontiers in immunology 13:984172 PubMed36159808

2022

Novel immune scoring dynamic nomograms based on B7-H3, B7-H4, and HHLA2: Potential prediction in survival and immunotherapeutic efficacy for gallbladder cancer.

Applications

Unspecified application

Species

Unspecified reactive species

Chao Lv,Shukun Han,Baokang Wu,Zhiyun Liang,Yang Li,Yizhou Zhang,Qi Lang,Chongli Zhong,Lei Fu,Yang Yu,Feng Xu,Yu Tian

BMC cancer 22:584 PubMed35624419

2022

Clinical significance and correlation of PD-L1, B7-H3, B7-H4, and TILs in pancreatic cancer.

Applications

Unspecified application

Species

Unspecified reactive species

Jiayue Yang,Zhen Tian,Han Gao,Fan Xiong,Cuiping Cao,Jiaojiao Yu,Wei Shi,Qiang Zhan,Cheng Yang

BMC cancer 22:211 PubMed35219310

2022

Co-deficiency of B7-H3 and B7-H4 identifies high CD8 + T cell infiltration and better prognosis in pancreatic cancer.

Applications

Unspecified application

Species

Unspecified reactive species

Shuping Si,Lei Wang,Hui Cao,Yuhua Xu,Qiang Zhan

Cancer cell international 22:3 PubMed34983532

2022

The B7H4-PDL1 classifier stratifies immuno-phenotype in cervical cancer.

Applications

Unspecified application

Species

Unspecified reactive species

Lingyan Chen,Jianfeng Dong,Zeying Li,Yu Chen,Yan Zhang
View all publications

Product promise

We are committed to supporting your work with high-quality reagents, and we're here for you every step of the way. In the unlikely event that one of our products does not perform as expected, you're protected by our Product Promise.
For full details, please see our Terms & Conditions

Please note: All products are 'FOR RESEARCH USE ONLY. NOT FOR USE IN DIAGNOSTIC OR THERAPEUTIC PROCEDURES'.

For licensing inquiries, please contact partnerships@abcam.com