JavaScript is disabled in your browser. Please enable JavaScript to view this website.
AB272707

Anti-B7H4 antibody [EPR23665-20] - BSA and Azide free

  • BOND RX™ Validated
  • RabMAb
  • Advanced Validation
  • Recombinant
  • What is this?

Be the first to review this product! Submit a review

|

(0 Publication)

Rabbit Recombinant Monoclonal B7H4 antibody. Carrier free. Suitable for mIHC, IP, Flow Cyt, WB, ICC/IF, IHC-P and reacts with Human, Mouse samples.

View Alternative Names

B7H4, UNQ659/PRO1291, VTCN1, V-set domain-containing T-cell activation inhibitor 1, B7 homolog 4, B7h.5, Immune costimulatory protein B7-H4, Protein B7S1, T-cell costimulatory molecule B7x, B7-H4

10 Images
Flow Cytometry - Anti-B7H4 antibody [EPR23665-20] - BSA and Azide free (AB272707)
  • Flow Cyt

Lab

Flow Cytometry - Anti-B7H4 antibody [EPR23665-20] - BSA and Azide free (AB272707)

This data was developed using the same antibody clone in a different buffer formulation containing PBS, BSA, glycerol, and sodium azide (ab252438).

Flow cytometry overlay histogram showing left SKBR3 positive cells and right negative HeLa stained with ab252438 (red line). The cells were incubated in 1x PBS containing 10% normal goat serum to block non-specific protein-protein interactionfollowed by the antibody (ab252438) (1x 106 in 100μl at 10.0 μg/ml (1/50)) for 30min on ice.

The secondary antibody Goat Anti-Rabbit IgG H&L (Alexa Fluor® 488) preadsorbed was incubated at 1/4000 for 30min on ice

Isotype control antibody (black line) was Recombinant Rabbit IgG, monoclonal [EPR25A] - Isotype Control used at the same concentration and conditions as the primary antibody. Unlabelled sample (blue line) was also used as a control.

Acquisition of >5000 events were collected using a 50 mW Blue laser (488nm) and 525/40 bandpass filter.

Immunohistochemistry (Formalin/PFA-fixed paraffin-embedded sections) - Anti-B7H4 antibody [EPR23665-20] - BSA and Azide free (AB272707)
  • IHC-P

Unknown

Immunohistochemistry (Formalin/PFA-fixed paraffin-embedded sections) - Anti-B7H4 antibody [EPR23665-20] - BSA and Azide free (AB272707)

Immunohistochemical analysis of paraffin-embedded Human ovarian carcinoma tissue labeling B7H4 with ab252438 at 1/100 dilution followed by a ready to use Rabbit specific IHC polymer detection kit HRP/DAB (ab209101). Positive staining on human ovarian carcinoma (PMID : 27439899). The section was incubated with ab252438 for 30 mins at room temperature.The immunostaining was performed on a Leica Biosystems BOND® RX instrument. Counterstained with Hematoxylin.

Secondary antibody only control : Secondary antibody is a ready to use Rabbit specific IHC polymer detection kit HRP/DAB (ab209101).

Heat mediated antigen retrieval with Tris-EDTA buffer (pH 9.0, epitope retrieval solution2) for 20 mins

This data was developed using the same antibody clone in a different buffer formulation containing PBS, BSA, glycerol, and sodium azide (ab252438).

Immunohistochemistry (Formalin/PFA-fixed paraffin-embedded sections) - Anti-B7H4 antibody [EPR23665-20] - BSA and Azide free (AB272707)
  • IHC-P

Unknown

Immunohistochemistry (Formalin/PFA-fixed paraffin-embedded sections) - Anti-B7H4 antibody [EPR23665-20] - BSA and Azide free (AB272707)

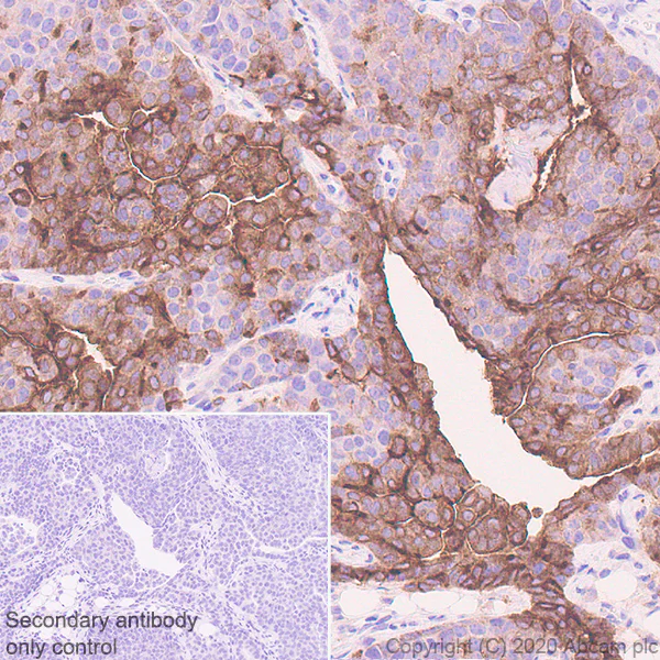
Immunohistochemical analysis of paraffin-embedded Human breast tissue labeling B7H4 with ab252438 at 1/1000 dilution followed by a ready to use Rabbit specific IHC polymer detection kit HRP/DAB (ab209101). Positive staining on human breast (PMID : 27439899). The section was incubated with ab252438 for 30 mins at room temperature.The immunostaining was performed on a Leica Biosystems BOND® RX instrument. Counterstained with Hematoxylin.

Secondary antibody only control : Secondary antibody is a ready to use Rabbit specific IHC polymer detection kit HRP/DAB (ab209101).

Heat mediated antigen retrieval with Tris-EDTA buffer (pH 9.0, epitope retrieval solution2) for 20 mins

This data was developed using the same antibody clone in a different buffer formulation containing PBS, BSA, glycerol, and sodium azide (ab252438).

Multiplex immunohistochemistry - Anti-B7H4 antibody [EPR23665-20] - BSA and Azide free (AB272707)
  • mIHC

Lab

Multiplex immunohistochemistry - Anti-B7H4 antibody [EPR23665-20] - BSA and Azide free (AB272707)

Fluorescence multiplex immunohistochemical analysis of the human breast (Formalin/PFA-fixed paraffin-embedded sections). Panel A : merged staining of anti-B7H4 (ab252438, red; Opal™690), anti-CD10 (ab255609, gray; Opal™520) and anti-FABP4 (ab92501, cyan; Opal™570) on human breast. Panel B : anti-B7H4 stained on glandular lumens. Panel C : anti-CD10 stained on myoepithelial cells. Panel D : anti-FABP4 stained on adipocytes. Opal Polymer HRP Ms + Rb was used as a secondary antibody. The section was incubated in three rounds of staining : in the order of ab252438 at 1/100 dilution (4.69 μg/ml), ab255609 at 1/1000 dilution (0.615 μg/ml) and ab92501 at 1/10000 dilution (0.047 μg/ml) for 30 mins at room temperature. Each round was followed by a separate fluorescent tyramide signal amplification system. The immunostaining was performed on a Leica Biosystems BOND® RX instrument with an Opal™ 4-color kit. Image acquisition was performed with Leica SP8 confocal microscope. Heat mediated antigen retrieval with Tris-EDTA buffer (pH 9.0, epitope retrieval solution2) for 20 mins. DAPI (blue) was used as a nuclear counter stain. This data was developed using the same antibody clone in a different buffer formulation containing PBS, BSA, glycerol, and sodium azide (ab252438).

Immunohistochemistry (Formalin/PFA-fixed paraffin-embedded sections) - Anti-B7H4 antibody [EPR23665-20] - BSA and Azide free (AB272707)
  • IHC-P

Unknown

Immunohistochemistry (Formalin/PFA-fixed paraffin-embedded sections) - Anti-B7H4 antibody [EPR23665-20] - BSA and Azide free (AB272707)

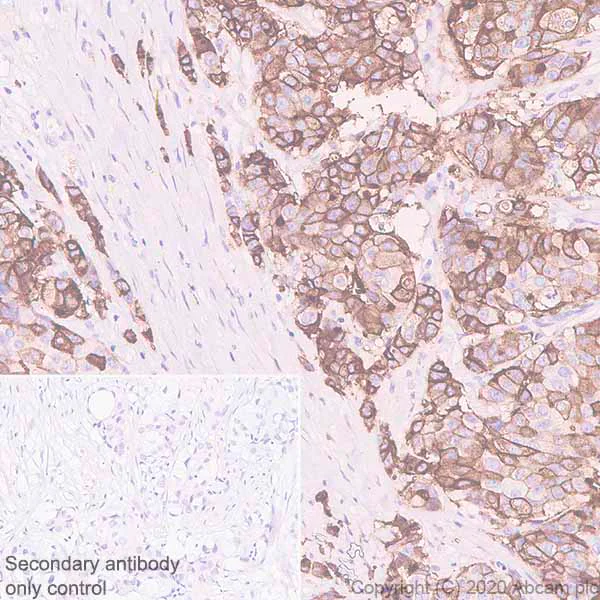
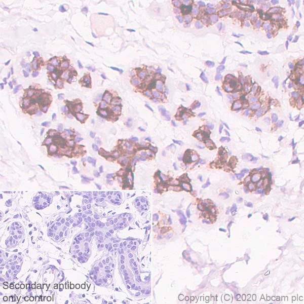
Immunohistochemical analysis of paraffin-embedded Human breast carcinoma tissue labeling B7H4 with ab252438 at 1/100 dilution followed by a ready to use Rabbit specific IHC polymer detection kit HRP/DAB (ab209101). Positive staining on human breast carcinoma (PMID : 15756008). The section was incubated with ab252438 for 30 mins at room temperature.The immunostaining was performed on a Leica Biosystems BOND® RX instrument. Counterstained with Hematoxylin.

Secondary antibody only control : Secondary antibody is a ready to use Rabbit specific IHC polymer detection kit HRP/DAB (ab209101).

Heat mediated antigen retrieval with Tris-EDTA buffer (pH 9.0, epitope retrieval solution2) for 20 mins

This data was developed using the same antibody clone in a different buffer formulation containing PBS, BSA, glycerol, and sodium azide (ab252438).

Flow Cytometry - Anti-B7H4 antibody [EPR23665-20] - BSA and Azide free (AB272707)
  • Flow Cyt

Unknown

Flow Cytometry - Anti-B7H4 antibody [EPR23665-20] - BSA and Azide free (AB272707)

Flow cytometric analysis of SK-BR-3 (Human breast adenocarcinoma epithelial cell) cells labelling B7H4 with ab252438 at 1/500 dilution (0.1ug) (Red) compared with a Rabbit monoclonal IgG (ab172730) (Black) isotype control and an unlabelled control (cells without incubation with primary antibody and secondary antibody) (Blue). Goat anti rabbit IgG (Alexa Fluor® 647, ab150079) at 1/2000 dilution was used as the secondary antibody. Gated on viable cells.

This data was developed using the same antibody clone in a different buffer formulation containing PBS, BSA, glycerol, and sodium azide (ab252438).

Immunocytochemistry/ Immunofluorescence - Anti-B7H4 antibody [EPR23665-20] - BSA and Azide free (AB272707)
  • ICC/IF

Unknown

Immunocytochemistry/ Immunofluorescence - Anti-B7H4 antibody [EPR23665-20] - BSA and Azide free (AB272707)

Immunofluorescent analysis of 4% Paraformaldehyde-fixed, 0.1% TritonX-100 permeabilized 293T+OE-612 cells labelling B7H4 with ab252438 at 1/50 dilution, followed by ab150077 Goat Anti-Rabbit IgG H&L (Alexa Fluor® 488) antibody at 1/1000 2 ug/ml dilution (Green). Confocal image showing cytoplasmic and membranous staining in HEK-293T cell line transfected with HA-tagged B7H4 expression vector. ab236632 Anti-HA tag rabbit monoclonal antibody was used to counterstain tubulin at 1/200 2.5 ug/ml dilution (Red). The Nuclear counterstain was DAPI (Blue).

Secondary antibody only control : Secondary antibody is ab150077 Goat Anti-Rabbit IgG H&L (Alexa Fluor® 488) at 1/1000 2 ug/ml dilution.

This data was developed using the same antibody clone in a different buffer formulation containing PBS, BSA, glycerol, and sodium azide (ab252438).

Immunohistochemistry (Formalin/PFA-fixed paraffin-embedded sections) - Anti-B7H4 antibody [EPR23665-20] - BSA and Azide free (AB272707)
  • IHC-P

Supplier Data

Immunohistochemistry (Formalin/PFA-fixed paraffin-embedded sections) - Anti-B7H4 antibody [EPR23665-20] - BSA and Azide free (AB272707)

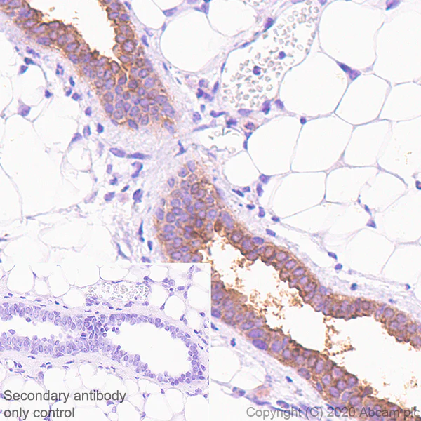
Immunohistochemical analysis of paraffin-embedded mouse breast tissue labeling B7H4 with ab252438 at 1/100 dilution followed by a ready to use Rabbit specific IHC polymer detection kit HRP/DAB (ab209101).Positive staining on mouse breast. The section was incubated with ab252438 for 30 mins at room temperature.The immunostaining was performed on a Leica Biosystems BOND® RX instrument. Counterstained with Hematoxylin.

Secondary antibody only control : Secondary antibody is a ready to use Rabbit specific IHC polymer detection kit HRP/DAB (ab209101).

Heat mediated antigen retrieval with Tris-EDTA buffer (pH 9.0, epitope retrieval solution2) for 20 mins

This data was developed using the same antibody clone in a different buffer formulation containing PBS, BSA, glycerol, and sodium azide (ab252438).

Immunohistochemistry (Formalin/PFA-fixed paraffin-embedded sections) - Anti-B7H4 antibody [EPR23665-20] - BSA and Azide free (AB272707)
  • IHC-P

Supplier Data

Immunohistochemistry (Formalin/PFA-fixed paraffin-embedded sections) - Anti-B7H4 antibody [EPR23665-20] - BSA and Azide free (AB272707)

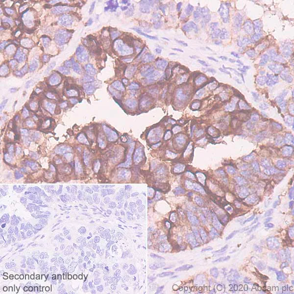
Immunohistochemical analysis of paraffin-embedded mouse breast carcinoma tissue labeling B7H4 with ab252438 at 1/100 dilution followed by a ready to use Rabbit specific IHC polymer detection kit HRP/DAB (ab209101).Positive staining on mouse breast cancer cells. The section was incubated with ab252438 for 30 mins at room temperature.The immunostaining was performed on a Leica Biosystems BOND® RX instrument. Counterstained with Hematoxylin.

Secondary antibody only control : Secondary antibody is a ready to use Rabbit specific IHC polymer detection kit HRP/DAB (ab209101).

Heat mediated antigen retrieval with Tris-EDTA buffer (pH 9.0, epitope retrieval solution2) for 20 mins

This data was developed using the same antibody clone in a different buffer formulation containing PBS, BSA, glycerol, and sodium azide (ab252438).

Immunoprecipitation - Anti-B7H4 antibody [EPR23665-20] - BSA and Azide free (AB272707)
  • IP

Unknown

Immunoprecipitation - Anti-B7H4 antibody [EPR23665-20] - BSA and Azide free (AB272707)

B7H4 was immunoprecipitated from 0.35 mg SK-BR-3 (human breast adenocarcinoma epithelial cell), whole cell lysate with ab252438 at 1/30 dilution (2ug in 0.35mg lysates). Western blot was performed on the immunoprecipitate using ab252438 at 1/1000 dilution. VeriBlot for IP Detection Reagent (HRP)(ab131366) was used at 1/5000 dilution.

Lane 1 : SK-BR-3 whole cell lysate 10 ug

Lane 2 : ab252438 IP in SK-BR-3 whole cell lysate 10 ug

Lane 3 : Rabbit monoclonal IgG (ab172730) instead of ab252438 in SK-BR-3 whole cell lysate

Blocking and dilution buffer and concentration : 5% NFDM/TBST.

Exposure time : 127 seconds

The bands at 65kDa represent glycosylated B7H4 (PMID : 15878339).

This data was developed using the same antibody clone in a different buffer formulation containing PBS, BSA, glycerol, and sodium azide (ab252438).

All lanes:

Immunoprecipitation - Anti-B7H4 antibody [EPR23665-20] (<a href='/en-us/products/primary-antibodies/b7h4-antibody-epr23665-20-ab252438'>ab252438</a>)

Predicted band size: 31 kDa

false

Key facts

Host species

Rabbit

Clonality

Monoclonal

Clone number

EPR23665-20

Isotype

IgG

Carrier free

Yes

Reacts with

Mouse, Human

Applications

ICC/IF, IHC-P, mIHC, IP, Flow Cyt, WB

applications

Immunogen

The exact immunogen used to generate this antibody is proprietary information.

Reactivity data

{ "title": "Reactivity Data", "filters": { "stats": ["", "Species", "Dilution Info", "Notes"], "tabs": { "all-applications": {"fullname" : "All Applications", "shortname": "All Applications"}, "mIHC" : {"fullname" : "Multiplex immunohistochemistry", "shortname":"mIHC"}, "IP" : {"fullname" : "Immunoprecipitation", "shortname":"IP"}, "FlowCyt" : {"fullname" : "Flow Cytometry", "shortname":"Flow Cyt"}, "WB" : {"fullname" : "Western blot", "shortname":"WB"}, "ICCIF" : {"fullname" : "Immunocytochemistry/ Immunofluorescence", "shortname":"ICC/IF"}, "IHCP" : {"fullname" : "Immunohistochemistry (Formalin/PFA-fixed paraffin-embedded sections)", "shortname":"IHC-P"} }, "product-promise": { "all": "all", "testedAndGuaranteed": "tested", "guaranteed": "expected", "predicted": "predicted", "notRecommended": "not-recommended" } }, "values": { "Human": { "mIHC-species-checked": "testedAndGuaranteed", "mIHC-species-dilution-info": "", "mIHC-species-notes": "<p></p>", "IP-species-checked": "testedAndGuaranteed", "IP-species-dilution-info": "", "IP-species-notes": "<p></p>", "FlowCyt-species-checked": "testedAndGuaranteed", "FlowCyt-species-dilution-info": "", "FlowCyt-species-notes": "<p></p>", "WB-species-checked": "guaranteed", "WB-species-dilution-info": "", "WB-species-notes": "<p></p>", "ICCIF-species-checked": "testedAndGuaranteed", "ICCIF-species-dilution-info": "", "ICCIF-species-notes": "<p></p>", "IHCP-species-checked": "testedAndGuaranteed", "IHCP-species-dilution-info": "", "IHCP-species-notes": "<p></p>" }, "Mouse": { "mIHC-species-checked": "guaranteed", "mIHC-species-dilution-info": "", "mIHC-species-notes": "", "IP-species-checked": "guaranteed", "IP-species-dilution-info": "", "IP-species-notes": "", "FlowCyt-species-checked": "guaranteed", "FlowCyt-species-dilution-info": "", "FlowCyt-species-notes": "", "WB-species-checked": "notRecommended", "WB-species-dilution-info": "", "WB-species-notes": "<p></p>", "ICCIF-species-checked": "guaranteed", "ICCIF-species-dilution-info": "", "ICCIF-species-notes": "", "IHCP-species-checked": "testedAndGuaranteed", "IHCP-species-dilution-info": "", "IHCP-species-notes": "<p></p>" }, "Rat": { "mIHC-species-checked": "notRecommended", "mIHC-species-dilution-info": "", "mIHC-species-notes": "", "IP-species-checked": "notRecommended", "IP-species-dilution-info": "", "IP-species-notes": "", "FlowCyt-species-checked": "notRecommended", "FlowCyt-species-dilution-info": "", "FlowCyt-species-notes": "", "WB-species-checked": "notRecommended", "WB-species-dilution-info": "", "WB-species-notes": "<p></p>", "ICCIF-species-checked": "notRecommended", "ICCIF-species-dilution-info": "", "ICCIF-species-notes": "", "IHCP-species-checked": "notRecommended", "IHCP-species-dilution-info": "", "IHCP-species-notes": "<p></p>" } } }

Product details

ab272707 is the carrier-free version of ab252438.

Patented technology
Our RabMAb® technology is a patented hybridoma-based technology for making rabbit monoclonal antibodies. For details on our patents, please refer to RabMAb® patents.

What are the advantages of a recombinant monoclonal antibody?
This product is a recombinant monoclonal antibody, which offers several advantages including:

  • - High batch-to-batch consistency and reproducibility
  • - Improved sensitivity and specificity
  • - Long-term security of supply
  • - Animal-free batch production

For more information, read more on recombinant antibodies.

Conjugation ready
Our carrier-free antibodies are typically supplied in a PBS-only formulation, purified and free of BSA, sodium azide and glycerol. This conjugation-ready format is designed for use with fluorochromes, metal isotopes, oligonucleotides, and enzymes, which makes them ideal for antibody labelling, functional and cell-based assays, flow-based assays (e.g. mass cytometry) and Multiplex Imaging applications.

Use our conjugation kits for antibody conjugates that are ready-to-use in as little as 20 minutes with 1 minute hands-on-time and 100% antibody recovery: available for fluorescent dyes, HRP, biotin and gold.

Compatibility
This product is compatible with the Maxpar® Antibody Labeling Kit from Fluidigm, without the need for antibody preparation. Maxpar® is a trademark of Fluidigm Canada Inc.

Properties and storage information

Form
Liquid
Purification technique
Affinity purification Protein A
Storage buffer
pH: 7.2 - 7.4 Constituents: PBS
Shipped at conditions
Blue Ice
Appropriate short-term storage conditions
+4°C
Appropriate long-term storage conditions
+4°C
Storage information
Do Not Freeze

Supplementary information

This supplementary information is collated from multiple sources and compiled automatically.

B7-H4 also known as VTCN1 or B7x is a member of the B7 family of immunoregulatory proteins. It has an approximate molecular mass of 50 kDa. B7-H4 expression is detected on the surface of various cells including B cells T cells monocytes and some cancer cells. Its expression is often inducible; immune cells can express B7-H4 in response to specific conditions or signals in the environment.
Biological function summary

B7-H4 acts as an immune checkpoint molecule that negatively regulates T cell immunity. It does not form a known complex with other proteins but instead interacts directly with T cells. By inhibiting T cell activation and proliferation B7-H4 contributes to the regulation of immune responses helping to maintain self-tolerance and prevent autoimmunity.

Pathways

B7-H4 is involved in the regulation of immune checkpoints prominently in the pathways related to immune tolerance and suppression. It plays a critical role in the pathways that modulate tumor evasion of the immune system. B7-H4 is related to other immune checkpoint proteins such as PD-L1 which are also pivotal in immune regulation and therapy targets.

B7-H4 is connected to cancer progression and autoimmune conditions. Overexpression of B7-H4 in certain cancers such as ovarian and breast cancer associates with tumor immune evasion allowing tumors to grow unchecked by the immune system. Its expression links with proteins like CTLA-4 in maintaining immune suppression. B7-H4 modifications could serve as a potential target in cancer immunotherapy aiming to enhance the immune system's ability to combat malignancies.

Product protocols

For this product, it's our understanding that no specific protocols are required. You can visit:

Target data

Negatively regulates T-cell-mediated immune response by inhibiting T-cell activation, proliferation, cytokine production and development of cytotoxicity. When expressed on the cell surface of tumor macrophages, plays an important role, together with regulatory T-cells (Treg), in the suppression of tumor-associated antigen-specific T-cell immunity. Involved in promoting epithelial cell transformation.
See full target information VTCN1

Product promise

We are committed to supporting your work with high-quality reagents, and we're here for you every step of the way. In the unlikely event that one of our products does not perform as expected, you're protected by our Product Promise.
For full details, please see our Terms & Conditions

Please note: All products are 'FOR RESEARCH USE ONLY. NOT FOR USE IN DIAGNOSTIC OR THERAPEUTIC PROCEDURES'.

For licensing inquiries, please contact partnerships@abcam.com